
报道1例类风湿关节炎继发髋臼骨盆内陷合并股骨颈骨折病例。患者既往有类风湿关节炎病史38年,屈髋拾物时出现左髋疼痛和异响就诊。通过病史、体格检查和影像学检查确诊为类风湿关节炎继发髋臼骨盆内陷合并左侧股骨颈骨折。采用人工全髋关节置换术,术中髋关节脱位、取出股骨头、髋臼重建、臼杯固定和骨量评估是技术性难题。通过文献复习,本例属于继发性髋臼骨盆内陷,可能与类风湿关节炎引起的髋臼软化有关。来自股骨头的压应力超出软化髋臼的承受力时,髋臼突入盆腔,且逐渐包绕股骨头。以此病理改变为基础,推测导致该例患者出现股骨颈骨折的暴力原因为屈髋拾物动作引起的股骨颈-髋臼缘的直接撞击。术中使用螺旋臼假体,既实现了假体的初始稳定性,又保留了髋臼周围的骨量。
版权归中华医学会所有。
未经授权,不得转载、摘编本刊文章,不得使用本刊的版式设计。
除非特别声明,本刊刊出的所有文章不代表中华医学会和本刊编委会的观点。
髋臼骨盆内陷(acetabular protrusions)又称Otto骨盆,是以股骨头慢性、进展性向髋臼和骨盆内突出为主要病理特征的疾病,临床上较少见[1],可原发或继发于感染、代谢、创伤等疾病。类风湿关节炎作为最常见的一种炎性关节病[2],有继发髋臼骨盆内陷的报道[3,4]。与类风湿髋关节炎相比,在髋关节解剖形态方面,继发髋臼骨盆内陷病例表现为内侧髋臼骨量减少明显、髋臼周缘薄弱、骨床欠理想、严重的骨质疏松以及关节窝形态异常等。
由于髋臼内陷的存在,全髋关节置换术可能很难提供理想的初始稳定性[5]。但也有研究通过植骨恢复骨床和多孔钽金属臼杯的全髋关节置换术取得了满意疗效[4,6]。因此,在恰当地选择假体以及熟练掌握手术技术的前提下,全髋关节置换术也可以用于治疗类风湿关节炎继发髋臼骨盆内陷病例。
无论髋臼骨盆内陷继发于何种原发疾病,合并股骨颈骨折都鲜有文献报道。Kharrazi等[7]报告了1例Marfan综合征继发髋臼骨盆内陷合并双侧股骨颈骨折病例,经内固定治疗后骨折愈合。本文报告1例类风湿关节炎继发髋臼骨盆内陷合并股骨颈骨折病例,结合文献复习探讨其手术治疗方法。
女,64岁,十余天前屈髋拾物时出现左髋疼痛和异响。既往有38年类风湿关节炎病史,病程中逐渐出现双膝关节、双髋关节、双手关节疼痛及畸形,规律口服抗类风湿药物,病情稳定。此次入院前13年曾在全身麻醉下接受双膝关节置换术,术后膝关节活动范围良好,假体位置理想。
入院体格检查:左髋软组织肿胀,左下肢短缩、外旋畸形,左腹股沟中点上方压痛,左股骨大转子及足底轴向叩击痛阳性,左髋关节因疼痛活动范围检查欠配合。右髋关节活动范围:屈曲45°,内旋、外旋、内收、外展均为0°。左侧肢体长度较对侧短缩4 cm。双侧下肢肌力5-级,膝腱反射及跟腱反射正常,病理征未引出。
辅助检查:肝肾功能、血常规及凝血时间均正常,红细胞沉降率25 mm/1 h,C反应蛋白29.07 mg/L。
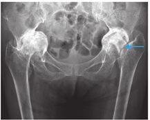
影像学检查:骨盆正位X线片示双侧髋臼内陷,髋关节病变继发双侧股骨头坏死,伴左侧股骨颈GardenⅡ型骨折(图1)。CT扫描示髋臼壁硬化,髋臼口增生明显,股骨颈皮质不连续(图2)。髋关节内陷程度:Sotelo-Garza和Charnley分型Ⅱ型。




入院后第3天,在腰麻下行左侧全髋关节置换术。患者侧卧位,经改良Hardinge入路逐层切开皮肤、皮下组织及阔筋膜,紧贴臀中肌大转子处附着点,部分切断臀中肌、臀小肌,经股直肌与臀中肌、臀小肌间隙显露关节囊。切除关节囊并处理周围软组织,显露骨折线。用取头器取股骨头,未能顺利取出。经检查见髋臼周缘增生明显致髋臼口狭窄,髋臼口呈握拳状包绕股骨头。换用小号髋臼锉缓慢对股骨头进行磨除,剩余约1/3股骨头时成功将其取出。探查髋臼形态,见髋臼呈"葫芦状"(口小腔大),且髋臼马蹄窝被增生的骨质填充。使用电刀清除软组织,用咬骨钳清除增生骨质,找到真正的髋臼底皮质骨,打磨髋臼。当磨锉至49号时,髋臼锉边缘与髋臼周缘恰好贴合。但由于髋臼腔大口小,髋臼锉未达髋臼底部,无法使用生物性臼杯通过压配的原理进行固定。于外展45°、前倾15°位拧入49号BICON-PLUS螺旋臼(施乐辉,瑞士),检查臼杯稳定性并关窗,置入32号聚乙烯内衬。屈髋并内收、外旋股骨,暴露股骨近端,继续处理股骨侧。使用股骨柄锉扩髓至3号时,股骨矩处骨质出现劈裂,采用捆绑带固定。放置3号股骨柄试模,锥度位于髋臼上缘约5 cm处,复位困难。改用0号股骨柄假体(Polarstem,施乐辉,瑞士),打入骨水泥固定。骨水泥凝固后安装32+0号黑晶球头(施乐辉,瑞士),复位髋关节。检查关节活动度,屈髋、内收、外展、外旋均无脱位。术后摄髋关节正位X线片,观察假体位置(图3)。


术后3个月随访,左髋关节屈曲80°、内旋20°、外旋30°;髋关节正位X线片示假体位置理想,人工股骨头位于臼杯内,股骨柄与骨质贴合良好,未见透光带(图4)。


髋臼骨盆内陷最早于1824年由Otto在骨骼标本上发现,表现为髋臼及股骨头异常陷入骨盆。最初命名为"Pro-trusioacetabuli",之后由其改称为Otto骨盆或髋臼骨盆内陷[8]。关于此病最早的文献是1924发表的,报告了38例髋臼骨盆内陷患者。其临床表现为跛行、疼痛、髋关节活动受限、骨盆前倾及腰骶椎前凸等。1932年,Pomeranz等对髋臼骨盆内陷进行了文献综述,总结了当时文献中的79例及由其发现的6例患者。1933年,Reed等报告了1例髋臼骨盆内陷病例。1934年,Schaap、Golding和Gellman等各报告了1例Otto骨盆患者[9]。2016年的一项研究对32例接受外科脱位髋臼周缘修复术的髋臼骨盆内陷患者进行了长达10年的随访,结果显示髋臼骨盆内陷造成保髋率下降[10]。
1934年Golding等首次基于影像学特征提出了一种髋臼骨盆内陷分型方法,包括非炎症性的骨软骨型、炎症性的风湿型以及其他疾病继发型。1939年Gilmour等基于临床特点将其分为特发性和继发性两种。特发性髋臼骨盆内陷临床罕见[11,12],属于先天性发育异常性疾病;继发性髋臼骨盆内陷多源于感染、代谢、创伤等原发疾病,其中病例报道相对较多的常继发于类风湿关节炎及Marfan综合征。由于髋臼骨盆内陷的发病率较低,文献多为综述和病例报告,因此尚无发病率或患病率的公开数据。
特发性髋臼骨盆内陷女性多见,多为双侧发病,早期症状不明显,进入壮年时多继发骨关节炎。特发性髋臼骨盆内陷有家族集中发病的趋势,因此可能与遗传因素相关[13,14]。
继发性髋臼骨盆内陷多为单侧发病,可继发于类风湿关节炎[15]、强直性脊柱炎[16]、骨质软化症、创伤、Marfan综合征[17]等原发疾病。病理表现为髋关节周围骨质改变明显,如髋臼周围骨质硬化等。国外曾有学者报告类风湿关节炎进展过程中发生髋臼骨盆内陷的病例[18]。此类继发性髋臼骨盆内陷的病理生理学基础是患有类风湿关节炎的髋关节在生长发育过程中出现髋臼软化,作用于髋臼的压力,特别是来自股骨头的压力超出髋臼的承受压力时,股骨头向髋臼方向深入,最终髋臼呈弧形突入骨性盆腔。
目前,髋臼骨盆内陷的发病原因尚不明确,大约2/3的患者单侧发病,常从青少年时期开始,至中年出现症状[19]。发病原因或进展风险与感染、肿瘤、炎症、代谢、创伤及遗传等因素有关[20,21]。
针对髋臼骨盆内陷主要的诊断标准为髋臼底突破髂坐线内侧且CE角大于40°。若伴有疼痛或功能受限时需手术治疗,常采用全髋关节置换术或截骨术。对年轻患者,可行经转子间的股骨近端外翻截骨术[19]。
目前尚无类风湿关节炎继发髋臼骨盆内陷合并股骨颈骨折的文献报道。本例X线检查发现双侧髋臼显著变深并向骨盆内突出,髋臼边缘密度增高,股骨头深陷髋臼内,且边缘不规则,股骨颈基底部见骨折线。基于类风湿关节炎病史和影像学表现支持类风湿关节炎继发髋臼骨盆内陷的诊断。本例患者屈髋拾物时股骨颈与包绕股骨头的髋臼周缘发生撞击也许是造成股骨颈骨折的直接暴力原因。我们认为,此类患者具备股骨颈骨折的一般临床特征,加上髋臼骨盆内陷的特殊影像学改变,若进一步结合MR检查可能发现髋关节发育异常和继发退行性改变[22]。
本例患者既往有类风湿病史多年,继发髋臼骨盆内陷,有髋关节疼痛及功能障碍,骨折前已具有手术指征。屈髋动作可能使股骨颈-髋臼缘发生撞击而导致股骨颈骨折,结合既往髋臼病变特点,满足全髋关节置换手术指征。因此我们认为,对继发于髋臼骨盆内陷的高龄股骨颈骨折患者应同时重建髋臼和股骨近端,首选全髋关节置换术。本例病变髋臼呈"葫芦状"(口小腔大)包绕股骨头,术中股骨头取出困难,应使用髋臼锉逐渐磨除股骨头至髋臼完全暴露,磨锉股骨头的同时可以重建髋臼周缘的形态。因髋臼骨质硬化改变,尤其内突的髋臼底异常薄弱,如使用压配臼不易骨长入且易松动,持续髋臼磨锉还可能会导致臼底穿透,因此选用了螺旋臼假体。螺旋臼假体通过与臼口四壁的骨质结合可以较好地实现初始稳定性,同时不会因为过分追求磨锉髋臼而导致骨质的进一步流失。
因此,对此类患者要充分考虑髋臼骨盆内陷的特殊解剖结构给全髋关节置换术带来的困难,包括手术显露过程、髋关节脱位、髋臼侧准备、骨量的保留、下肢长度的恢复以及偏心距的恢复等。另外,髋臼骨盆内陷的病因复杂,需注意原发病的围手术期管理,如控制类风湿病情活动、排除骨骼畸形的诱因等。应重视术前计划,如髋关节旋转中心外移、选择合适的股骨柄假体。髋臼形态异常需考虑股骨头取出难度和臼杯的选择,避免暴力脱位,安装假体后切勿过度屈伸而导致骨折。特别要注意术后康复策略的选择,因髋关节本身病变导致外展肌力不足者需要进行肌力训练。





















