
探讨经前外侧入路旋转支撑接骨板治疗胫骨后外侧平台骨折的手术方式及疗效。
回顾性分析2016年5月至2017年9月,采用前外侧入路经上胫腓关节间隙复位、旋转支撑接骨板固定治疗10例胫骨后外侧平台骨折患者资料,男6例,女4例;年龄23~66岁,平均46.2岁;均为闭合性骨折;坠落伤5例,交通伤4例,摔伤1例。按AO-OTA分型:41-B2型1例,41-B3型8例,41-C3型1例;按Schatzker胫骨平台骨折分型:Ⅱ型6例,Ⅲ型1例,Ⅴ型2例,Ⅵ型1例;其中4例合并其他部位骨折(1例合并骨盆骨折、同侧股骨干、内踝骨折,1例合并同侧胫腓骨骨折,1例合并同侧腓骨头和股骨内上髁骨折,1例合并同侧腓骨头骨折)。术后系统随访并记录骨折愈合情况、并发症、膝关节活动度,末次随访时采用美国特种外科医院(Hospital for Special Surgery,HSS)评分标准评价膝关节功能。
10例患者均获得随访,随访时间12~27个月,平均15.25个月;骨折全部获得愈合,愈合时间3.0~4.5个月,平均3.2个月。末次随访时,患者膝关节活动度105°~161.4°,平均膝关节活动度139.9°;HSS膝关节功能评分为64~98分,平均88分,其中优8例,可2例,优良率为80% (8/10);无一例发生皮肤坏死、感染、内固定物松动、断裂、骨折复位丢失等并发症。
经前外侧入路旋转支撑接骨板治疗胫骨后外侧平台骨折固定牢固可靠,术后膝关节功能恢复满意,且手术操作简单,组织损伤小。
版权归中华医学会所有。
未经授权,不得转载、摘编本刊文章,不得使用本刊的版式设计。
除非特别声明,本刊刊出的所有文章不代表中华医学会和本刊编委会的观点。
单纯胫骨后外侧平台骨折发生率相对较低,约占全部胫骨平台骨折的7%[1]。胫骨后外侧平台骨折常与胫骨平台其他部位骨折合并出现,胫骨平台骨折合并后外侧平台骨折约占所有胫骨平台骨折的15%~44.2%,其中胫骨外侧平台骨折合并后外侧平台骨折的发生率为55.35%[2]。
治疗后外侧平台骨折主要是固定后外侧平台骨折块,其固定方法多为支撑接骨板直接置于胫骨上段后外侧。传统的治疗方式是经后侧或后外侧入路,直接显露后外侧平台骨折块后进行固定,但腘窝处解剖结构复杂,胫骨后外侧平台毗邻腘肌、腓肠肌外侧头、腘血管、腓总神经、腓肠外侧皮神经等重要结构。而采用后正中"S"形入路、腓骨截骨入路[3]、倒"L"形入路[4]、改良后外侧入路[5]等,需要对腘窝处重要的神经、血管进行分离或截骨,操作复杂,血管神经损伤风险高。解剖结构相对简单的前外侧入路可以经腓骨上间隙进行后外侧平台骨折块固定,但内固定物的选择受到限制,内固定效果受到影响。对于此种类型骨折治疗的手术入路及固定方式众多,但目前尚无治疗方法可兼顾手术入路解剖结构简单和内固定物固定效果可靠。
为此我们研发了一种符合胫骨后外侧平台解剖形态的旋转支撑接骨板(图1),可经前外侧入路[6](图2),经上胫腓关节间隙前方旋转环绕至胫骨平台后外侧,进行骨折块的复位和支撑固定,术中无需显露膝关节后方或后外侧即可置入和固定。这种骨膜下操作可有效避免神经、血管损伤。前期的生物力学研究和有限元分析证明此旋转支撑接骨板的固定效果可靠,能够满足临床要求[7]。自2016年5月起,我们采用此种手术方式治疗胫骨后外侧平台骨折,本研究对随访1年以上的病例进行回顾性分析,目的是:①介绍经前外侧入路使用旋转支撑接骨板治疗胫骨后外侧平台骨折的手术方式和手术技巧;②评估该手术方式的临床疗效;③探讨该手术方式在胫骨后外侧平台骨折治疗中的优势。




纳入标准:①胫骨后外侧平台骨折;②采用前外侧入路旋转支撑接骨板进行固定;③主要观察指标为骨折复位与固定情况、膝关节功能及术后并发症;④回顾性研究。
排除标准:①开放性骨折;②病理性骨折;③合并神经、血管损伤;④随访资料不完整,随访时间不足1年。
2016年5月至2017年9月,采用前外侧入路经上胫腓关节间复位、旋转支撑接骨板固定治疗12例胫骨后外侧平台骨折,根据纳入及排除标准10例患者纳入本研究。其中男6例,女4例;年龄23~66岁,平均46.2岁;坠落伤5例,交通伤4例,摔伤1例;AO-OTA分型:41-B2型1例,41-B3型8例,41-C3型1例;胫骨平台骨折Schatzker分型:Ⅱ型6例,Ⅲ型1例,Ⅴ型2例,Ⅵ型1例。合并其他部位骨折者4例(1例合并骨盆骨折、同侧股骨干、内踝骨折,1例合并同侧胫腓骨骨折,1例合并同侧腓骨头和股骨内上髁骨折,1例合并同侧腓骨头骨折)。
本组患者术前膝关节正侧位X线片示骨折均累及胫骨后外侧平台;CT扫描及三维重建可明确骨折移位及塌陷程度。
本组10例患者的胫骨平台骨折,除均有后外侧平台骨折外,10例合并外侧平台骨折,2例合并内侧平台骨折。
本研究已经获得伦理委员会审批(伦理批号#2016-005-1)。所有手术均由同一组医生完成。
患者全麻或腰麻后,取仰卧位,患肢屈髋、屈膝约30°~40°,小腿处于旋转中立位。
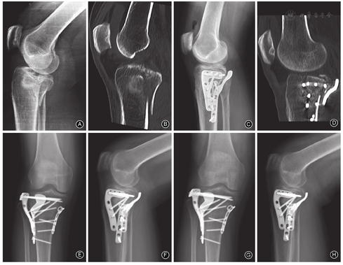
取前外侧入路,切口起自膝关节外侧关节线近端约1 cm,弧形向前越过Gerdy结节,在胫骨前缘外侧约1 cm处向远端延长(图2);分离皮下组织,锐性切开髂胫束,纵行切开膝关节囊外侧面至外侧半月板;切开半月板下方与胫骨平台之间的板胫韧带至后外侧,仔细剥离外侧半月板下方附着的软组织,充分剥离半月板以显露外侧胫骨平台上表面,注意保留其前方和后方的附着;将外侧半月板连同前部髂胫束、浅层组织用7#线缝至外上方并抬起,将外侧副韧带、后部髂胫束、腘肌腱连同浅层组织用7#线向后缝合并牵拉;在股骨中下段、胫骨中下段分别置入1枚Schanz钉,采用牵开器牵拉、内翻、内旋膝关节,可清晰显露后外侧胫骨平台骨折,同时检查前侧、外侧、后外侧关节面及后外侧角。
通过骨间膜卵圆裂孔处,紧贴上胫腓关节下方沿胫骨平台外侧采用微型骨膜起子骨膜下剥离至胫骨平台后外侧,向前上方顶起后外侧平台骨折块(图3A),可通过前外侧关节间隙观察复位情况,必要时克氏针临时固定,同时为旋转支撑接骨板置入建立了软组织通道,操作时紧贴骨膜下进行,以防损伤后方重要血管神经。


紧贴胫骨上外侧经上述软组织通道插入旋转支撑接骨板(图3B),弯曲部分置于后外侧平台骨折块后方,自直板部分最远端先置入1枚螺钉,然后于直板部分与弯曲部分交界处斜向滑动孔置入1枚普通螺钉,利用螺钉滑动加压作用,推动接骨板滑向前上方进一步加压并复位骨折块,最后远端自直板最远孔连续置入2~3枚锁定螺钉。
对于合并胫骨外侧平台骨折的患者,先常规复位外侧平台,再以胫骨外侧平台关节面为参考,复位后外侧骨折块;复位后可辅助3.5 mm外侧"L"形解剖锁定接骨板固定外侧骨折(图3C)。术中透视明确骨折块复位满意,关节面恢复平整,内固定物位置合适。
对于合并胫骨内侧平台骨折的患者,均加用前内侧切口,常规复位内侧平台骨折块,根据骨折块情况,可使用3.5 mm"T"形锁定接骨板或前内侧拉力螺钉固定;均不会影响旋转支撑接骨板的置入。
1例合并骨盆骨折、同侧股骨干、内踝骨折者,骨盆骨折采用切开复位接骨板螺钉固定,股骨干骨折采用闭合复位髓内钉固定,内踝骨折采用切开复位2枚空心螺钉固定。1例合并同侧胫腓骨骨折者,采用外侧"高尔夫"锁定接骨板同时固定胫骨骨折及外侧平台骨折,腓骨骨折未特殊处理。1例合并同侧腓骨头和股骨内上髁骨折者,股骨内上髁骨折采用切开复位3枚空心螺钉固定,腓骨头骨折未特殊处理;1例合并同侧腓骨头骨折者,腓骨头骨折未特殊处理。
修复板胫韧带及关节囊,切口内放置引流管,关闭切口,逐层缝合,加压包扎。
术后常规使用抗生素及止疼药物。患者术后即进行股四头肌功能锻炼及膝关节屈伸和踝、趾关节屈伸锻炼等非负重性活动。术后6周部分负重行走,术后12周复查膝关节X线证实骨折愈合后,完全负重行走。
术后行膝关节CT检查,观察骨折复位及固定情况,术后6、12、24周、1年分别复查膝关节X线片,记录膝关节活动度。
采用美国特种外科医院(Hospital for Special Surgery,HSS)膝关节功能评定标准[8]对膝关节功能进行评价。该评分系统从疼痛、功能、活动度、肌力、固定畸形、不稳定性等方面进行评价,满分为100分;其中≥85分为优,70~84分为良,60~69分为可,≤ 59分为差。
本组10例患者均采用前外侧入路及旋转支撑接骨板固定,其中9例合并外侧平台骨折者加用外侧"L"形解剖锁定接骨板固定(图4,图5),另1例合并胫腓骨及外侧平台骨折者加用外侧4.5 mm"高尔夫"锁定接骨板固定。




本组2例SchatzkerⅤ型骨折患者加用前内侧入路暴露复位内侧平台骨折,其中1例使用3.5 mm"T"形锁定接骨板固定内侧平台骨折,另1例采用前内侧螺钉固定。
本组9例患者关节面塌陷复位后骨缺损区采用同种异体骨植入。
本组患者术后14 d拆线,切口均一期愈合。10例患者均随访满1年,随访时间12~27个月,平均15.25个月。随访过程中无一例发生皮肤坏死、感染、内固定物松动、断裂、骨折复位丢失等并发症。
本组10例患者所有骨折均获得愈合,骨折愈合时间3.0~4.5个月,平均3.2个月。
术后6周复查时,9例患者X线片示骨折块位置良好,无内固定物松动、断裂,遂指导患者开始部分负重行走;术后12周复查时,9例患者X线片示骨折均愈合,指导患者完全负重行走。1例患者术后6周及12周未按时复查及接受相应负重指导,其术后1年复查时X线片显示骨折愈合良好。
末次随访时,患者膝关节活动度105°~161.4°,平均139.9°。HSS评分为64~98分,平均88分;其中优8例,可2例,优良率为80%(8/10)。HSS评分较低的2例患者,其中1例原因考虑与术后6周及12周未复查,未能接受功能恢复锻炼指导有关;另1例患者在接受功能恢复锻炼指导后,因担心再次骨折,未按指导及时进行膝关节活动锻炼。
本组10例患者,均顺利完成手术,术中无一例发生神经、血管损伤;随访期间均未见复位丢失及手术相关并发症。
胫腓骨骨间膜的上端存在一个缺损区,称为骨间膜孔,胫前动脉由此孔下缘通过,胫前动脉穿出点与腓骨头顶点距离为(51.2±5.4)mm[9],这给旋转支撑接骨板经上胫腓间隙从前绕到后方支撑胫骨平台后外侧骨折块提供了足够的解剖空间。
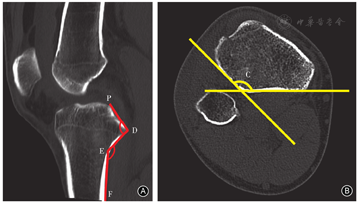
前期研究依据Kuwano等[10]报告的方法建立胫骨平台坐标体系,测量了上胫腓关节下方胫骨后外侧骨皮质长轴间夹角(∠C)、后外侧平台斜坡角(∠PDE)、后外侧斜坡骨干角(∠DEF)三项角度指标(图6)。我们根据这些数据设计了符合胫骨后外侧平台解剖形态的旋转支撑接骨板,获得了中国发明专利(中国专利号:CN104706413A)。


本组患者除存在后外侧平台骨折块外,10例患者合并外侧平台骨折,其中2例同时合并内侧平台骨折。治疗过程中旋转支撑接骨板的位置并未影响常规外侧平台"L"形接骨板的放置,且通过同一个切口进行操作,无需扩大分离组织,对软组织损伤小,可保护胫骨血运,减轻术后肿胀。
本组10例患者术后均未发生皮肤坏死、感染等并发症。这除与严格的手术无菌操作有关外,考虑还与本方法手术操作简单,软组织损伤小有关。
10例患者术后骨折均获得愈合,无一例发生后外侧骨折块塌陷,证明其固定强度可达到与后外侧支撑接骨板同等效果。与后外侧支撑接骨板相比,旋转支撑接骨板通过胫腓骨前方操作进行后外侧骨折块的固定,操作简单,突破了常规思维方式。本组患者术后膝关节活动度均可满足日常生活需要,其中2例HSS评分较低的患者,可能与未按指导进行术后康复锻炼有关,提示术后进行膝关节功能锻炼对膝关节功能恢复具有重要作用。
旋转支撑接骨板由直板体部、弯曲颈部和稍宽大的头部构成,体部置于胫骨上外侧,颈部可经骨间膜孔处绕向后外方,头部像"手掌"托住后方骨折块。其适应证为:胫骨后外侧平台骨折块较小,难以通过外侧螺钉固定者及胫骨后外侧平台粉碎性骨折。
Kim等[11]通过对138例胫骨平台骨折的回顾性研究指出,对于胫骨平台后方冠状骨折块,后方直接支撑接骨板牢固固定效果可靠。胫骨后外侧平台骨折的治疗多采用外侧或后外侧入路,直接显露骨折块,支撑钢板放置于后外侧固定,但均存在不同程度的局限性,对于手术入路及内固定的选择难以形成共识。传统的后正中"S"形入路、倒"L"形入路[4]需要分离腘窝部血管神经;Gavaskar等[12]采用的扩大后外侧入路需游离保护腓总神经并行腓骨截骨,部分患者还需加用Gerdy结节截骨;Lobenhoffer等[13]报告跨腓骨的后外侧入路,需游离腓总神经及腓骨颈处截骨;Frosch等[14]提出的改良后外侧入路避免了腓骨截骨,但仍需要游离腓总神经;Yoon等[15]报告一种通过股骨髁截骨治疗胫骨平台后外侧骨折的方法,同样操作复杂。另外,以上各种入路对于合并胫骨平台其他部位骨折时,常需采用漂浮体位。再有,以上入路均需分离膝关节后外侧韧带及重要血管、神经或截骨以直接暴露后外侧骨折块,对周围软组织的损伤较大,甚至会破坏后外侧复合体。而Cho等[2]虽采用改良的前外侧入路置入环状接骨板,但这种接骨板固定范围有限,无支撑作用,对后外侧粉碎性骨折难以达到有效固定。这些因素可能影响患者术后膝关节功能恢复。
经前外侧入路旋转支撑接骨板治疗胫骨后外侧平台骨折时,可有效避免上述问题。前外侧入路解剖结构简单,远离腘窝复杂的神经、血管结构,通过上胫腓关节间隙即可进入并放置旋转支撑接骨板,有效复位后外侧骨折块,无需游离腓总神经或截骨。另外,手术采用平卧位,便于术中观察,手术创伤小、操作简单,不破坏膝关节周围重要结构,且接骨板放置位置不影响同时伴随的内侧、外侧或前外侧骨折的处理,可安全有效地复位固定后外侧平台骨折。
综上所述,经前外侧入路旋转支撑接骨板治疗胫骨后外侧平台骨折固定牢固可靠,术后膝关节功能恢复满意,且手术操作简单,组织损伤小,值得推广应用。





















