
蜡泪样骨病是一种非常罕见的病变。小儿蜡泪样骨病的临床表现与成人截然不同,表现为骨内膜型骨质增生,在X线片上显现致密的条纹骨偏居髓腔一侧,患肢常出现严重的软组织挛缩和关节畸形。本文报告1例小儿蜡泪样骨病导致膝关节严重外翻畸形和髌骨顽固性脱位患者,应用外侧软组织松解、内侧强化软组织稳定和股内侧肌外移(动力性稳定)的手术方案。术后成功获得复位和矫形,随访19年下肢发育正常,功能良好,能参加体育运动。2014年Kitta等报告了1例相同的病例,经手术治疗获得复位和矫形,并指出手术治疗应在骨骺闭合前尽早实施。
版权归中华医学会所有。
未经授权,不得转载、摘编本刊文章,不得使用本刊的版式设计。
除非特别声明,本刊刊出的所有文章不代表中华医学会和本刊编委会的观点。
蜡泪样骨病属硬化性骨发育不良,1922年由Leri和Joanny首先报告。他们在伊皮尤塔克墓地(Ipiutak burial)的一具骨架上,发现右侧腓骨附有一条排列无序的骨柱,形如融蜡流注,故名蜡泪样骨病[1]。此后,在临床上多以这个X线特征诊断此病。但小儿蜡泪样骨病的X线表现与成人不同,为骨内膜型骨质增生,长骨为条纹状、短骨为斑点状,不同于成人的骨膜下型骨质增生。其临床症状也异于成人,常表现为单肢软组织挛缩和畸形,很少发生疼痛[2]。这个差异使小儿蜡泪样骨病的诊断常被延误,其多变的临床症状和机体损害程度也被忽视[3]。1968年Campbell等[4]报告了14例蜡泪样骨病,仅6例在儿童时期被诊断;3例到成人才明确诊断,但其临床症状始于儿童。1979年Younge等[2]报告了14例小儿蜡泪样骨病,从发现临床症状到正确诊断的间隔时间平均为6年,错误的诊断包括条纹状骨病和骨斑点症。
我们收治1例小儿蜡泪样骨病导致膝关节严重外翻畸形和髌骨顽固性脱位患者,当时误诊为陈旧性后外旋转脱位合并髌骨脱位和条纹状骨病,经手术成功复位和矫形,术后随访19年。经文献检索2014年Kitta等[5]报告1例小儿蜡泪样骨病导致膝关节严重外翻畸形和顽固性髌骨脱位患者,症状与本例几乎相同,经手术治疗成功复位和矫形。他们提出,对小儿蜡泪样骨病导致的膝关节严重畸形和髌骨顽固性脱位,手术复位和矫形治疗应在骨骺闭合前尽早实施。
通过文献复习,本文着重阐述小儿蜡泪样骨病的临床症状和影像学表现特点,并讨论受累肢体膝关节严重外翻畸形和髌骨顽固性脱位的治疗方法。
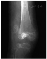
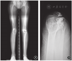
女,6岁,因右膝严重外翻畸形入院。4年前下楼扭伤膝关节,其后逐渐出现外翻畸形并跛行。体格检查:右膝关节外翻约28°,伸-30°、屈130°,挛缩的髂胫束制约膝关节伸直,髌骨固着在外侧,小腿相对大腿于外旋位(图1)。Kujala髌股关节功能评分49分。影像学检查:右膝关节X线片示胫骨后外旋转移位,内侧胫骨平台凸起,髌骨向外侧脱位,股胫角155°,股骨髓内可见致密的条状纹理(图2)。




诊断:蜡泪样骨病,右膝关节外翻,髌骨顽固性脱位。
一期切断髂胫束中挛缩的条索,行胫骨干骨牵引。6周后二期手术,去除骨牵引,行髂胫束和股二头肌肌腱"Z"形延长;在肌间隔剥离股外侧肌,骨膜下推开股四头肌,髌骨处切断股外侧肌腱膜并上移固定在股四头肌腱外侧,切开髌外侧支持带,松解髌骨,完成外侧软组织松解。在髌骨内缘切断股内侧肌腱膜,外移固定在股四头肌腱前侧;重叠缝合髌内侧支持带;鹅足前移,固定在髌腱内侧,强化内侧软组织稳定。胫骨内侧平台隆凸阻碍胫骨完全复位(图3),因此在胫骨内侧平台前缘切开小口,刮除少量骨质,按压平台隆凸,使之与股骨内髁匹配。术中未发现异位钙化组织。术后用斯氏针经髁间交叉固定膝关节于屈曲20°位,长腿石膏托固定。5周后拔除斯氏针并开始进行膝关节屈伸活动锻炼,6周后扶双拐轻负重行走。


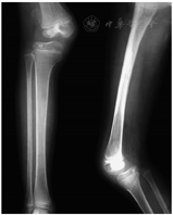
术后4个月,因胫骨内翻畸形行近端骨骺外侧阻滞术,6个月后获得矫正(图4)。术后10个月,因下肢内旋和股骨超长2 cm,行股骨下端外旋短缩截骨术,3个月后截骨愈合。


术后19年复查,下肢发育基本对称,膝关节伸屈0°-140°,无不适症状,能参加体育活动。X线片示胫骨平台平整对称,股胫角170°,髌股关节正常,骨硬化无进展(图5)。Kujala髌股关节功能评分98分,Tegner评级4级。生育一女,发育正常。


以"蜡泪样骨病"、"骨骺发育不良"、"小儿膝关节脱位",在中国知网和万方数据库进行中文文献检索;以"melorheostosis"、"epiphyseal dysplasia"and"knee dislocation in children",在PubMed和中国知网中进行英文文献检索。文献时间为1922年1月至2014年6月。纳入标准:①文献类型为已发表的期刊论文、综述;②文章研究内容与蜡泪样骨病的诊断和治疗相关,随访时间在2年以上。排除标准:①质量较低的、证据等级不高的文献;②无法获得全文的文献。共检索到相关文献236篇,其中中文文献45篇、英文文献190篇、法文文献1篇。根据排除标准剔除文献84篇,最终纳入文献152篇,包括中文文献25篇、英文文献126篇、法文文献1篇。其中病例报告文献85篇,仅1篇病例报告与本例类同。
蜡泪样骨病是一种非遗传性硬化性骨发育异常,患病率约为百万分之0.9[6],无性别差异。病变多见于下肢,可累及单骨、多骨或单肢,很少累及多个肢体和躯干骨[4]。由于病变分布与生骨节相对应,Murray和McCredie[7]认为蜡泪样骨病可能是节段性感觉神经损害的晚期结果,但其病因尚不明确。
Freyschmidt[3]报告了23例蜡泪样骨病,仅5例有典型的蜡泪样表现。他认为蜡泪样骨病X线片表现的多样性已超出其典型特征,并根据X线表现提出五种类型:类骨瘤型、经典蜡泪型、类条纹状骨病型、类骨化性肌炎型和混合型。类条纹状骨病型很容易与条纹状骨病混淆,鉴别要点是前者条纹较宽,偏居一侧,骨皮质增厚;后者条纹较细,自干骺端向骨干延伸,均匀分布在髓腔内,双侧发病,骨皮质正常[3,8]。本例股骨髓内条纹骨较宽,偏居外侧,同侧皮质骨增厚,骨骺内有致密的骨癍,应诊断为蜡泪样骨病类条纹状骨病型。
蜡泪样骨病的临床表现变异很大,从受累肢体的慢性疼痛到肢体严重畸形均可见到。疼痛是成人病例常见的症状,可能与骨膜感觉神经纤维受到骨质增生的刺激有关;而小儿病例是骨内膜增生,因此疼痛不明显[9]。软组织症状常是蜡泪样骨病的初始症状[10]。软组织挛缩始于儿童时期,多发生在单侧肢体,不断进展,甚至造成肢体严重畸形[2,4]。软组织纤维化、异位骨化和增生骨突出关节面是肢体功能障碍的主要原因[4,11,12]。患者也可长期没有症状,骨病变常在一次偶然的放射线检查中被发现[13]。常见的畸形有髋、膝关节屈曲挛缩、膝外翻、跟腱挛缩、足内翻或外翻畸形、足趾屈曲重叠等[8]。本例右膝关节严重外翻畸形和髌骨顽固性脱位是蜡泪样骨病软组织挛缩的结果,与外伤无关。
依靠常规X线片检查就能明确蜡泪样骨病的诊断[14]。CT可进一步显示病变骨与正常骨的边界;在MRI的所有序列上病变骨均表现为低信号强度[11],还能确定软组织受累范围,有助于手术方案的制定[13]。放射性核素骨扫描可根据骨摄取的浓度,判断病变骨的部位和监测其进展程度[15]。实验室检查,包括血清钙、磷、碱性磷酸酶,均在正常范围内。组织学检查病变骨为不规则的致密骨,无特异性发现[2,12]。
蜡泪样骨病至今尚无特定的治疗方法,复习文献都是对其导致的症状和肢体畸形进行对症治疗。保守治疗包括口服镇痛药和非甾体类抗炎药[15,16]、静脉滴注帕米磷酸二钠[17]、神经阻滞、理疗、推拿及支具矫形[18]等。手术治疗适用于保守治疗无效或肢体严重畸形者,手术方法包括异位骨化切除[19]、瘤骨切除[20,21]、骨皮质开窗[3]、软组织松解和肌腱延长[22]、松解和重建稳定[5]、截骨[23]、外固定器矫形[9,13,24]、干骺端固定、关节固定、关节成形[25]及截肢[26,27]等。
本例病程较长,髂胫束挛缩严重,因此先行骨牵引,逐渐延伸挛缩的软组织,避免急速拉长造成局部缺血损害[9],也为之后的软组织松解和重建稳定打下基础。本例膝关节外侧软组织挛缩是造成膝外翻、胫骨后外旋转移位和髌骨脱位的主要因素,因此采用外侧软组织松解和内侧软组织强化的手术方案。外侧软组织松解包括髂胫束和股二头肌腱"Z"形延长、股外侧肌上移、股四头肌剥离和髌外侧支持带切开;内侧软组织强化包括股内侧肌外移(动力性稳定)、髌内侧支持带重叠缝合和鹅足前移。胫骨内侧平台隆凸是股胫角减小、负重区自然外移、内侧间隙长期失压的结果,对此我们采用了骨骺成形术,取前切口避免骨骺侧方滋养血管损伤,术后经19年随访胫骨平台发育正常、平整对称、隆凸消失。
文献中仅1篇病例报告与本例类同。2014年Kitta等[5]报告1例8岁蜡泪样骨病导致左膝关节严重外翻和髌骨顽固性脱位患者,采用外侧软组织松解和内侧重建稳定的手术方案获得成功,并指出股内侧肌已作为髌骨的一个主要动力性稳定装置被广泛应用。术后5年复查时膝外翻消失,膝关节屈伸范围140°,可以参加体育活动。他们提出小儿蜡泪样骨病的手术治疗应在骨骺闭合前尽早实施,因膝关节外翻和胫骨外旋畸形可随年龄恶化导致髌骨脱位不可逆转。本例初期诊断时发生了误诊,但在治疗上没有偏离蜡泪样骨病对症治疗的原则,长期随访结果满意。
Morris等[12]报告1例随访19年的蜡泪样骨病患者,两次病理检查相隔18年,显示病变区大部分血管已从血管炎进展为血管闭塞。Younge等[2]报告2例膝关节长期屈曲畸形的蜡泪样骨病患儿,采用矫形术后肢体远端发生不可挽救的缺血,不得不于髁上截肢,他们认为缺血与血管病变有关。因此,对肢体软组织长期挛缩者应考虑先行持续骨牵引或外固定器逐渐延伸挛缩的软组织[9,13,24],避免急速牵拉。
两种或多种硬化性骨发育不良并发,称为"重叠综合征"(overlap syndromes),以条纹状骨病、骨斑点症和蜡泪样骨病多见[8]。对不典型的蜡泪样骨病应与硬化性骨髓炎、骨化性肌炎、骨硬化病、硬皮病、多发性关节挛缩症和骨骺发育异常等鉴别。尤其是并发恶性硬化性骨肿瘤的病例,文献中已有3例报告,都发生在股骨,年龄分别为66、44、43岁,其中1例在9年前已明确诊断蜡泪样骨病[28,29,30]。Böstman等[28]指出,在某些良性骨病变中,特别是Paget病和骨梗死,容易出现骨源性肉瘤。已有个案报告成骨不全症或骨斑点症,及曾经骨折的部位并发骨肉瘤,共同之处均为骨生成的修复过程漫长[28,31]。蜡泪样骨病具有持续性软骨内成骨和膜内成骨的病理特点,表明可能有类似致癌或恶性转化倾向[30]。为此,对蜡泪样骨病患者应长期随访。
感谢天津市天津医院马宝通、胡永成、杨建平三位教授在稿件撰写期间给予的热心指导!





















