
对重度僵硬性颈椎后凸畸形的手术治疗仍然是目前脊柱外科畸形治疗的难点之一,不管是一期矫形还是分期矫正以及截骨方式、截骨范围、截骨入路的选择意见并不一致。通过1例大角度僵硬性颈椎后凸畸形的诊治过程及相关文献回顾,期待得到进一步的认识和提高。女,23岁,因颈部畸形活动受限3年入院。通过颈椎X线片、CT、MR及CTA检查,显示颈椎后凸顶点为C3,4椎间隙,后凸Cobb角为86°,柔韧性为8.1%,以及寰枢椎脱位并存在失稳;并评估颈椎分节、序列、椎弓根及侧块形态、椎动脉走行等情况。手术采用一期前后联合入路(手术顺序为前、后、前)实施颈椎椎间隙及寰枢椎松解、后方椎板关节突截骨、植骨融合完成畸形矫正。手术过程顺利,术后恢复颈椎前凸角至6.7°。术后随访4年,无围手术期及术后并发症发生,获得满意地矫形并维持良好。
版权归中华医学会所有。
未经授权,不得转载、摘编本刊文章,不得使用本刊的版式设计。
除非特别声明,本刊刊出的所有文章不代表中华医学会和本刊编委会的观点。
重度颈椎后凸畸形的病因很多,先天性、医源性、退变性、创伤性、肿瘤性和感染性因素均可引起颈椎后凸畸形[1],甚至心理因素也可导致。因该部位相对脊柱其他区域解剖结构复杂,颈椎后凸的治疗较为棘手,尤其是颈椎重度后凸畸形(后凸Cobb角≥40°)手术方法的选择仍属难题。颈椎截骨术是一项难度及风险极高的技术,一期行前后联合入路截骨矫形手术国内外报道较少,且围手术期并发症多。颈椎重度后凸畸形的手术治疗在脊柱外科手术中极具挑战性。
我院于2017年2月收治1例女性重度颈椎后凸畸形患者,颈椎后凸Cobb角为86°,接受一期前后联合入路截骨矫形手术治疗,术后恢复前凸Cobb角至6.7°,围手术期和手术后未发生相关并发症。
女,23岁,3年来逐渐出现抬头、左右转头受限,伴双手麻木及颈后部疼痛。无行走不稳及下肢麻木、无力。既往有抑郁症病史,长期持续低头,未治疗。
颈椎后凸畸形,颈部前屈、后伸、旋转活动受限。四肢肌力、皮肤浅感觉及肌张力未见异常。颈椎运动范围(range of motion,ROM)为前屈30°、后伸10°、左侧屈30°、右侧屈30°。腱反射正常,双侧Hoffmann征和Babinski征均阴性。
日本骨科协会(Japanese Orthopaedic Association Scores,JOA)评分为17分,颈椎功能障碍指数(neck disabilitv index,NDI)为78%,美国脊柱损伤协会(American Spinal Injury Association,ASIA)脊髓损伤分级E级。
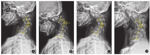
侧位X线片示颈椎后凸顶点为C3,4椎间隙,后凸Cobb角为86°,寰枢椎脱位伴失稳;过屈位X线片示后凸Cobb角为93°,过伸位X线片示后凸Cobb角为79°;颅骨牵引位X线片示后凸Cobb角为76°,柔韧度8.1%(图1)。未见骶髂关节硬化、融合等。


CT示齿突超过Chamberlain线5 mm,寰齿前间距为7.7 mm,牵引下寰齿前间隙减少至6 mm。寰齿侧间距:左侧5.4 mm,右侧6.7 mm。枕颈融合畸形(寰椎后弓与枕骨融合);C3~C5椎体前缘骨桥形成,且C2,3、C3,4和C4,5椎间隙骨性融合;C2~C6后方椎板及关节突关节融合(图2A,B)。


MRI示脊髓前方受压,脑脊液透亮带消失(图2C)。
血常规、红细胞沉降率及C反应蛋白均正常。风湿相关指标均阴性。
肺通气功能检查示肺通气功能及换气功能均正常。颈部血管CTA检查示双侧椎动脉走形及与周围组织毗邻关系基本正常(图2D)。颈椎CT及三维重建评估患者椎弓根发育情况,未见明显的椎弓根异常情况(图3)。CT示椎体无明显的楔形变,椎间隙中部高度C3,4为4.8 mm、C4,5为4.7 mm、C5,6为6.2 mm,C5椎体后方移位,C6,7椎间隙呈前宽后窄。


①重度僵硬性颈椎后凸畸形(后凸Cobb角为86°);②上颈椎畸形(枕颈融合、寰枢椎脱位及颅底凹陷);③颈椎融合。
本例的特点是颈椎前、后方均有融合,后凸角度大,累及节段超过4个;畸形复杂、涉及范围广且僵硬,并合并上颈椎畸形。
经颅骨牵引(6 kg)5 d后,增加重量至7 kg持续2 d,牵引后矫正度数仅10°(颈椎后凸牵引矫正率<50%)。拟采用前后联合入路(前、后、前)实施畸形矫正,即先行前路椎间隙松解、撑开;再行后路经椎板及关节突间截骨,通过后路固定完成复位、矫形及融合;最后通过前路椎间植骨、撑开,进一步矫正畸形,重建颈椎前凸。
本例患者采用全身麻醉。
患者取仰卧位,取右侧斜切口。"C"型臂X线机透视确定椎间隙,行C3,4、C4,5、C5,6椎间隙松解,磨钻去除椎间隙前方骨赘及椎间骨性融合部分,找到椎间隙,切除椎间盘并松解两侧钩椎关节。术中正确找到椎间隙,松解过程中减少对骨性终板的破坏,对通过良好支撑获得满意的颈椎前凸重建,减少椎体塌陷导致矫正丢失至关重要。术中牵引用撑开器对松解的椎间隙逐一撑开后,可见颈椎活动度较前好转,后伸活动范围增大,再次透视确认颈椎后凸较松解前有改善(图4A,B)。


敷料包扎切口后将患者置于俯卧位,取后正中切口。显露C1~C7棘突锥板及关节突关节,探查可见后方椎板间关节突关节融合,此时,通过颈椎后方外侧找到椎间孔外缘,确认小关节关节突、椎间孔和椎板间隙是顺利实施Schamb 2级截骨的关键。磨钻在后弓与枕骨之间分离寰枕间隙并去除椎板间骨质,并使后弓得以完整保留。分别植入寰椎侧块螺钉和C2~C7椎弓根螺钉,去除C4~C6部分椎板及两侧关节突。寰椎后弓与枕骨松解、分离,不仅可以获得较好的寰枢椎复位,而且是枕颈关节的功能得以保留的保障。安装连接棒,由台下助手通过颅骨牵引弓牵引状态下逐渐后仰患者头部使寰椎复位、颈椎后凸得到改善,并逐渐锁紧钉棒系统,完成后路矫正。术中透视见寰枢椎复位、颈椎后凸畸形矫正满意,脊髓无明显皱褶(图4C)。术中脊髓监护未见异常,术中唤醒患者上、下肢活动良好。制作植骨床并植骨。
再次翻身后患者置于仰卧位,行C3,4、C4,5、C5,6行颈前路椎体次全切除减压融合术(anterior cervical corpectomy decompression and fusion,ACDF),cage支撑植骨融合内固定术增加前柱支撑。前路钉板系统固定,进一步完成颈椎畸形矫正及前凸重建,术中透视见恢复颈椎前凸(图4D)。
手术时间9.5 h,术中出血量为950 ml,输注4 U红细胞。
术后第2天佩戴颈托下地活动,四肢活动良好,无麻木疼痛不适等。术后1、3、6、12和48个月随访。术后1年随访颈椎前凸Cobb角丢失2.7°;椎间植骨融合良好,后路植骨有部分吸收;术后随访寰齿前间隙和寰齿侧间隙较术前明显改善(图5)。内固定位置好,未见松动与断裂。术后1年,患者JOA评分为17分,NDI为14%,ASIA分级E级。


术后4年随访,患者颈椎ROM为前屈45°、后伸10°、左侧屈30°、右侧屈30°。
引起后凸畸形的原因很多,前柱结构抗压能力或后方结构抗拉能力的损伤均会影响正常颈椎前凸状态的维持。临床常见引起颈椎重度后凸畸形的病因包括医源性、病理性和创伤性和退变性因素。医源性因素:颈椎手术、放射性治疗。医源性因素导致的颈椎后凸畸形比较常见,颈椎后路全椎板切除可导致颈椎后凸被称为"鹅颈"畸形,且容易发展为重度僵硬性颈椎后凸畸形。Herkowitz[2]报告切除患者双侧关节突后,颈椎后凸畸形的发生率为25%。Kimura等[3]报告成人患者如果术前颈椎生理弧度正常,且无明显的不稳定,行椎板切除术后发生畸形的可能性较小。任何术前已经存在的颈椎后凸畸形,将增加椎板切除术后畸形加重的危险性[4,5]。病理性因素:强直性脊柱炎、肿瘤、感染、神经纤维瘤病、先天性疾病、代谢性疾病。创伤因素:骨折畸形愈合,脊髓损伤等。退变因素:年龄、姿势。Bonney和Corlett[6]证实头颅的位置将影响颈椎前柱的负荷。头颅重心的前移,可以导致颈椎出现力矩增大,颈椎后部结构的抗张力负荷增加。需要长期低头的职业容易导致颈椎后部抗张力结构逐渐出现疲劳,颈椎前后力学平衡失调,在前方屈曲性力矩作用下出现颈椎生理曲度的变化,颈椎前凸曲度减小,这种改变进一步加大屈曲性力矩和颈椎后部结构的抗张力负荷,导致恶性循环,最终出现颈椎后凸畸形。本例考虑患者抑郁症病史,持续低头姿势,引起颈椎退变增生,解剖结构发生改变,引起颈椎后凸畸形。
颈椎后凸畸形的主要影像学测量参数包括:①颈椎后凸Cobb角,即后凸上端椎上终板与下端椎下终板垂线所形成的夹角。②C2~C7角,即C2椎体下终板垂线与C7椎体下终板垂线所形成的夹角。③C0~C2角,即颅底连线与C2椎体下终板连线的夹角。④C7倾斜角,即C7椎体上终板延长线与水平线所形成的夹角。⑤C2~C7矢状位平衡(sagittal vertical axis,SVA),即通过C2椎体的几何中心(或齿突)垂线至经C7后上角垂线的水平距离[7,8]。⑥颈椎后凸指数(kyphosis index,KI):上端椎后上缘至下端椎后下缘连线的长度,并测量后凸内各椎体后下缘距此线的距离之和,两者比值即为后凸指数。颈椎后凸畸形严重的患者,为了维持水平视角,C0~C2角代偿性增大,非后凸节段过度前凸。Shen等[9]指出计算KI时,由于各椎体后上缘均在连线的后方,且结果显示KI与颈椎后凸Cobb角具有明显的相关性,因此,适合采用KI评估颈椎后凸畸形。
当后凸畸形呈进行性加重导致姿势及活动障碍,或继发神经系统症状时往往需要手术治疗。手术的目的包括神经减压、畸形矫正以重建脊柱平衡、恢复脊柱稳定性。过于追求矫正的度数或矫正率,术中过多的操作及大幅度矫形会增加神经损害及内固定失败的发生率。
对于关节突关节未融合、畸形涉及少于4个节段的颈椎后凸畸形、柔韧性好、脊髓压迫由后凸畸形所致的患者,可以行单纯前路手术,有利于彻底减压,并可在减压的同时获得畸形矫正。尤其是颈椎后凸畸形的主要问题位于前柱者,单纯行前路手术即可达到畸形矫正和减压的目的。术中行前路松解后将颈部少许伸展,有利于颈椎畸形的矫正。按术前设计切除椎间盘和(或)椎体,可大为降低了颈椎抵抗的压应力、张应力和抗扭转力,从而降低了内固定失败的发生率[10]。文献报道单纯行前柱撑开、植骨融合术亦可以有效治疗柔韧性好的颈椎后凸畸形[11]。有文献报道椎板切除术后颈椎后凸畸形在采用前路椎体次全切除、植骨融合术治疗时植骨块脱出的发生率很高[12]。此类患者如果在植骨融合的同时,采用前路内固定,其稳定性和植骨融合率将大为提高。Herman和Sonntag[10]报告20例椎板切除术后颈椎后凸畸形患者,行前路植骨融合内固定治疗,无植骨块脱出,融合率达100%。
柔韧型颈椎后凸畸形且前方椎节分节及椎间隙活动好的患者,可以先进行姿势性或牵引矫正,如果畸形可以还原,神经的压迫得以解除,可行单纯后路矫形手术。单纯后路手术可减少后凸角度,但无法获得更多的畸形矫正,因而仅适用于可复性畸形[13,14]。
对于颈椎分节不良或椎间融合伴有后方关节突和椎板间融合的患者,单一入路很难得到满意的畸形矫正。联合入路手术常能带来更好的曲度恢复和维持,以及更好的植骨融合率,不同术者根据患者情况,前、后路手术顺序的选择也不尽相同。手术时间长、术中变换体位及并发症多等是其不利因素。本例是因为患者前、后方椎节间皆有融合,所以选择一期前后联合入路手术(前、后、前的顺序)。Sasso等[15]报告前路融合+后路固定能有效分散前方植骨界面的压力,增强固定的牢固程度,恢复后方张力带结构完整,降低术后植骨的失败率。有学者认为可以行前路松解联合后路截骨来实现矫形及缓解神经压迫,其中后路截骨矫形是治疗重度僵硬性颈椎后凸畸形的常用手术方式[16]。Landi等[17]通过对1例67岁的重度感染性颈椎后凸畸形女性患者的研究,显示前后联合入路手术对于治疗这类畸形有着理想的长期疗效。而Shah等[18]进一步研究认为对于畸形较为僵硬、畸形区域的压迫来自前、后方且涉及长节段或前后方均存在骨性强直者,也应选择前后联合入路手术。O’Shaughnessy等[19]报告16例僵硬性颈椎后凸畸形伴脊髓病患者行环状截骨、前路植骨融合加后路内固定治疗,临床效果满意。
融合节段的选择取决于颈椎后凸畸形的范围和柔软程度[20]。颈椎畸形融合的邻近节段发生退变时极易发生椎间不稳,因此,术前应仔细评估,将可能出现不稳定的节段纳入融合范围内,否则术后易发生邻近节段不稳甚至半脱位。融合节段的上、下端椎必须是正常椎体和椎间隙,即融合椎体以外的椎间隙在动力位X线片上均显示活动正常。
Steinmetz等[21]通过单纯前路矫形内固定手术治疗10例颈椎后凸畸形患者,术前后凸Cobb角平均约20°,术后矫正至前凸Cobb角平均约6°,平均随访9个月时矫正丢失率为19%。钟沃权等[22]采用单纯前路或前后联合入路矫形手术治疗重度颈椎后凸畸形,单纯前路手术矫正丢失率为36.8%,前后联合入路手术矫正丢失率为22.8%。Nottmeier等[1]报告41例颈椎后凸畸形患者经前后联合入路手术治疗,Cobb角由术前平均18°矫正至术后-4°,平均随访19个月未发现矫正丢失。手术过程中充分松解、制备适合的植骨床并良好植骨,以及牢靠内固定是提高融合及减少矫正丢失的主要措施。当植骨满意融合后,手术节段的颈椎曲度将基本稳定不再出现明显丢失。
该例畸形复杂多样,涉及范围包括所有颈椎及枕颈关节。治疗过程中涵盖了许多颈椎高难度、高风险的手术技术。由于相关病例报告较少,可以借鉴的大宗病例治疗成熟经验也不多,对于治疗方案的选择,更多需要全面的检查与评估,个性化处理手术方案。个性化治疗包括:围手术期处理、手术入路选择及体位变换顺序选择、多种多样手术技术(该例应用了前路寰枢椎松解、骨性融合椎间隙辨认及松解、ACDF等技术;后路保留后弓的枕颈松解、分离,颈椎椎弓根螺钉和寰椎侧块螺钉应用及Schwab 2级截骨等技术)、术中手术台上和台下配合矫正畸形,不但获得满意的近期疗效,末期随访(术后4年)神经系统症状消失,仍较好地维持矫正效果并具有满意的头颈部运动功能。除上颈椎后方植骨部分吸收外,未发生其他术后并发症,患者的身体及心理均获得了满意的疗效。在此,我们将该例诊治过程的经验和体会与同道分享。
颈椎后凸畸形的发生原因复杂,病例数量较脊柱其他部位相对较少。目前,国内外对颈椎后凸畸形的诊断、临床评估及其诊治原则尚未达成共识,同时颈椎后凸畸形的治疗方法因病因不同、畸形表现形式不同而存在一定和差异,因为此畸形的病例数量尚不足,需将来多中心、大样本的研究。相信随着医疗水平的不断发展,更多诊疗方法的出现,坚持不懈地不断探索和总结,使颈椎后凸畸形的治疗日趋成熟,为患者提供更安全、更有效的治疗手段。
所有作者声明无利益冲突





















