
版权归中华医学会所有。
未经授权,不得转载、摘编本刊文章,不得使用本刊的版式设计。
除非特别声明,本刊刊出的所有文章不代表中华医学会和本刊编委会的观点。
Cronkhite-Canada综合征(Cronkhite-Canada syndrome,CCS)是一种临床罕见的非家族性胃肠道息肉病,主要临床表现为腹泻及色素沉着、脱发、指(趾)甲营养不良等外胚层三联征,多见于老年男性患者。我院于2017年4月收治1例,现报道如下。
男,82岁,主因腹泻3个月于2017年4月入院。患者3个月前出现腹泻,每日排便7~10次,为褐色不成形便,无黏液脓血,伴阵发腹痛,位于脐周,排便后可缓解,口服思密达、整肠生等无好转,2个半月前开始出现双手及双足掌侧皮肤不均匀色素沉着,指甲变白,头发渐脱落,于当地医院查便常规+潜血示潜血弱阳性,未见红、白细胞,肠镜检查示末端回肠及大肠鱼卵状改变,考虑淋巴滤泡性肠炎?伪膜性肠炎?病理示肠黏膜慢性炎症,予甲硝唑治疗1周,布拉氏酵母菌散、复方消化酶及中药等治疗1个月,症状无明显好转,为进一步诊治收入我院。发病以来无恶心、呕吐,无反酸,伴食欲减退,乏力,体质量下降5 kg。既往高血压病史多年,1年前体检查肠镜示结肠息肉(活检取净),胃镜示反流性食管炎。家族中无类似疾病史。
体格检查:体温36.9℃脉搏62次/min,呼吸20次/min,血压95/64 mmHg(1 mmHg=0.133 kPa),神志清楚,精神可,营养不佳,头发稀少,双手及双足掌侧皮肤可见不均匀色素沉着(图1),指甲远端变白,与甲床分离(图2)。全身浅表淋巴结未触及肿大。甲状腺不肿大。心、肺未见异常。腹部无压痛、反跳痛,肝、脾未触及,移动性浊音阴性,肠鸣音正常。双下肢轻度可凹性水肿。




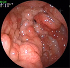
辅助检查:便常规+潜血:潜血阳性;血常规、凝血功能正常;难辨梭菌抗原及毒素检测阴性;血生化白蛋白30.4 g/L、钾3.02 mmol/L,余无明显异常;甲状腺功能T3、T4正常、促甲状腺激素(TSH)0.38 mU/L;结核干扰素测定正常;血清肿瘤标志物正常;血沉2 mm/1 h;CRP正常;类风湿因子(RF)101.9 kU/L;免疫球蛋白IgA、IgM、IgG正常,补体C3 0.672 g/L,补体C4 0.157 g/L;IgG亚类测定四项正常;抗核抗体(ANA)阴性;抗中性粒细胞胞浆抗体(ANCA)阴性;狼疮五项阴性;狼疮抗凝因子试验正常;心磷脂抗体正常;抗着丝点抗体阴性;腹部超声未见异常;甲状腺超声:甲状腺右叶实性结节;胸部CT:双侧胸腔少量积液;胃镜示胃底、胃体、胃窦弥漫性大小不等结节状息肉样隆起(图3),部分融合,表面充血水肿,以胃体、胃窦为重,胃底部可见黏膜下黑褐色素斑沉着(图4),十二指肠降部见散在小息肉样隆起;快速尿素酶法检测幽门螺杆菌阴性;胃窦、胃底、十二指肠降部取病理示慢性炎症;肠镜示回肠末端、盲肠、结肠、直肠广泛充血性息肉样隆起(图5),回肠、近端结肠息肉较小(直径0.1~0.2 cm),远端结肠、直肠息肉较大(直径0.2~0.4 cm)。病理示回肠慢性炎症,伴黏膜糜烂;盲肠增生性息肉,慢性炎症;直肠增生性息肉,慢性炎症,伴腺体囊状扩张。诊断:CCS。






治疗:补液、纠正电解质紊乱,补充白蛋白纠正低蛋白血症,口服美沙拉秦缓释颗粒、地衣芽孢杆菌胶囊、固本益肠片等治疗2周,患者乏力症状减轻,食欲好转,但腹泻无明显缓解,仍8~10次/d,停美沙拉秦缓释颗粒改口服泼尼松40 mg/d,患者腹泻症状逐渐改善,1周后大便4、5次/d,2周后大便2次/d,成形,复查血钾正常,白蛋白35.5 g/L,但皮肤色素沉着无明显改善,指甲陆续脱落。出院后继续口服激素治疗,并逐渐减量,随访3个月患者病情稳定。
CCS是一种罕见的以胃肠道多发息肉和外胚层组织受累为特点的一组临床综合征,又称胃肠道息肉、色素沉着、脱发及指甲营养不良综合征。该病是由Cronkhite和Canada于1955年首次报道,全球范围内散发,迄今为止全球已报道确诊患者600余例,以个案报道为主,其中大部分病例来自日本,提示该病易感性可能与种族、地域差异有关[1]。国内1985年首次报道该病,至2017年3月共报道确诊病例68例[2]。该病为非家族遗传性,病因及发病机制尚不明确,精神紧张和过度劳累可能是诱发因素,也有学者认为可能与感染、生长因子缺乏、砷中毒及自身免疫异常有关[3,4]。该病多见于中老年患者,发病年龄平均60岁左右,男女之比为3:2[4]。
CCS的临床表现:(1)消化道症状:腹泻是该病最常见症状,此外可有味觉减退、便血、腹痛、厌食、呕吐等;(2)外胚层受累表现:脱发、指甲营养不良、色素沉着三联征为该病特征性的表现,多出现于消化道症状之后。(3)营养不良表现:乏力、体质量下降、消瘦、水肿、易感染等;(4)其他症状:有麻木、刺痛、吞咽困难、抽搐等神经系统表现,常合并蛋白丢失性胃肠病、吸收不良综合征等。CCS内镜下表现:可见全胃肠道多发的息肉,以胃和结肠最多见,小肠息肉多分布于十二指肠和回肠末端,食道极少累及。息肉呈弥漫分布,多为无蒂或宽蒂息肉,呈颗粒状、结节状或不规则状,息肉黏膜充血水肿,在胃部还可表现为黏膜皱襞增粗。息肉病理组织学表现为炎性增生性、腺瘤性或错构瘤性息肉。
CCS诊断主要依据临床表现及内镜检查,内镜检查是目前确诊CCS的主要手段。典型病例诊断并不困难,但由于该病极为罕见,医生对该病认识不够,可能造成漏诊、误诊。本例患者病例特点:(1)老年患者,起病相对较急;(2)无家族史;(3)腹泻为主要症状,普通止泻药物无效;(4)有脱发、指甲萎缩、色素沉着三联征,其中色素沉着除出现于体表外,胃镜下胃底黏膜亦可见到;(5)内镜示胃肠道多发息肉。综合上述特点符合CCS诊断。
由于CCS是临床罕见疾病,报道例数少,目前尚无统一规范的治疗指南,已报道的对部分患者有效的治疗方法包括对症和营养支持、抗生素、皮质激素、非甾体类消炎药、抑酸、内镜下手术及中医中药治疗。小剂量糖皮质激素可使部分患者获得长期缓解,其机制可能与减轻胃肠道炎症及抑制自身免疫反应有关。北京协和医院总结了12例CCS治疗经验,其中10例患者接受了激素治疗,均获得不同程度缓解,且停用激素后复发者再次使用仍有效[5]。本例患者应用激素治疗3个月,症状缓解,说明糖皮质激素对于CCS治疗有效,但还需继续随访确定其长期疗效。





















