
以兔原位直肠癌为动物模型,探讨内镜光动力疗法在治疗腔道肿瘤时照光剂量、操作方法、不良反应等对其疗效的影响,为光动力疗法治疗直肠癌提供临床前依据。
建立20只兔VX2原位直肠癌模型,随机分为对照组、PDT低剂量组、PDT中剂量组和PDT高剂量组。血卟啉单甲醚(HMME)光敏剂于PDT前24 h静脉注射兔体内。光源采用630 nm半导体激光器。使用普通内镜和超声内镜观察肿瘤生长情况,并记录生存时间、一般状况、不良反应等。使用苏木精-伊红染色法染色并观察组织病理变化。
PDT后第7天,PDT低剂量组40%轻度有效;PDT中剂量组60%明显有效,20%轻度有效;PDT高剂量组20%明显有效,80%轻度有效。PDT低剂量、中剂量、高剂量组的平均生存时间分别为14、10、5 d。不良反应主要表现为炎症反应、肠梗阻、肠道蠕动功能丧失以及死亡。
PDT剂量是影响疗效的重要因素,合适剂量的PDT对兔直肠癌有较好的消除效果。对这些问题的深入研究有助于PDT治疗直肠癌的临床应用。
版权归中华医学会所有。
未经授权,不得转载、摘编本刊文章,不得使用本刊的版式设计。
除非特别声明,本刊刊出的所有文章不代表中华医学会和本刊编委会的观点。
随着光纤技术的发展,光动力疗法(photody-namic therapy,PDT)在各种腔道肿瘤治疗中的应用越来越广泛。美国食品药品监督管理局(FDA)已批准可用内镜光动力疗法(endoscopic photody-namic therapy, EPDT)治疗的肿瘤有食管癌、胃癌、结肠癌、支气管肺癌、膀胱癌、宫颈癌等[1,2]。EPDT除具备常规PDT创伤小、毒性低、特异性好、可重复治疗、可消灭隐性病灶、可刺激继发免疫等优势外,还具有如下优点:①适用性好。由于光纤技术的发展,光纤可与大部分内镜联合使用,所有内镜能探查到的器官病变都可成为内镜光动力疗法的适应症。②可保护重要脏器功能。PDT杀伤肿瘤的主要机制是肿瘤细胞凋亡,而对发病器官上皮结构和胶原支架损伤较少,器官的结构和功能容易修复,这也是PDT优于手术治疗的重要原因之一。
直肠癌(colorectal cancer,CRC)是消化道最常见的恶性肿瘤之一,因其解剖位置深入盆腔,手术不易彻底切除,术后复发率高。特别是中下段直肠癌接近肛管括约肌,手术切除时很难保留肛门及其功能。PDT因具有上述优点,非常适合中下段直肠癌的治疗,使患者免除手术的风险。Kawczyk-Krup-ka等[3,4]对PDT治疗直肠癌的临床前研究和临床试验进行了综述,发现PDT在Ⅰ、Ⅱ/Ⅲ期直肠癌治疗中均呈现出较好的效果。虽然,PDT在临床试验中显示出显著的优势,但样本量仍然不足,同时缺乏后续的随机对照试验,使得PDT在临床上还不能成为直肠癌的常规治疗方法。在PDT治疗直肠癌的研究中,最主要的是建立适当的模型以尽可能模拟人体情况。由于物理、化学、形态学及生理因素之间复杂的相互作用,用于传统药物试验的各种模型并不适合PDT研究。目前,几乎所有用于研究PDT治疗直肠癌的动物实验模型都是通过皮下移植瘤造模,忽略了临床上PDT治疗直肠癌的复杂性和直肠内壁的一系列炎症反应[5,6,7]。因此,此方法在外推到直肠癌的临床治疗研究时存在过度解释的风险。
本研究采用兔VX2原位直肠癌模型探讨内镜PDT在治疗腔道肿瘤时,其操作方法、照光剂量、不良反应等对疗效的影响,为PDT治疗直肠癌提供可靠的临床前依据。
日本大耳白兔,购自北京华阜康生物科技股份有限公司。兔VX2瘤株(北京协和医学院),海姆泊芬(hematoporphyrin monomethylether,HMME)(上海复旦张江生物医药股份有限公司),盐酸赛拉嗪注射液(吉林省华牧动物保健品有限公司)。YH630-3型630 nm半导体激光器、YH100医用光纤(芯径0.4 mm,C型发散头)(安徽养和医疗器械设备有限公司),CLV-180普通内镜(ENF-VT探头)、EU-ME1超声内镜(UM-DP20-25R探头)(日本奥林巴斯公司)。
兔VX2瘤株复苏后直接接种于兔后腿肌肉,2周后,麻醉处死动物,取肿瘤组织,机械研磨,生理盐水混悬,200目不锈钢滤网过滤,计数,调整细胞液浓度为2×107 CFU/ml。日本大耳白兔以盐酸赛拉嗪(0.3 ml/kg)肌肉注射进行麻醉;将其固定于手术台上,用自制空心塑料管(直径1 cm)撑开肛门和直肠;用5 ml注射器针头在齿状线上0.5 cm处6点钟方向黏膜下层接种肿瘤细胞0.5 ml;接种后常规饲养,2周后以普通内镜和超声内镜观察和测量肿瘤尺寸;以肿瘤直径1.5 cm作为造模成功的标准,用于实验。(图1)


Ⓐ超声内镜测量肿瘤大小;Ⓑ普通内镜观察肿瘤位置
20只造模成功的日本大耳白兔随机平均分为对照组、PDT低剂量组、PDT中剂量组和PDT高剂量组。PDT组动物在肿瘤接种后14 d时,耳缘静脉注射海姆泊芬,其中低、中剂量组剂量为5 mg/kg,高剂量组为10 mg/kg。注射后24 h,所有动物在麻醉状态下,用630 nm半导体激光器进行光照。将光纤置入自制的塑料管套中(图2B),管套由1 ml注射器制成,外径6.4 mm,长4 cm,将前端封闭,外部以锡箔纸纵向覆盖2/3管壁面积,形成1/3管壁面积(约0.27 cm2)的透明照射窗(图2A)。管套由肛门插入直肠,使光纤发射端处于肿瘤部位,照射窗位于肿瘤上方(图2C)。照光剂量(激光功率、照射时间)分别为:低剂量组100 mW,10 min;中剂量组200 mW,20 min;高剂量组300 mW,20 min。PDT处理后常规饲养动物。


Ⓐ直肠内光纤照射装置;Ⓑ自制管套;Ⓒ照射状态
分别于接种后14 d(PDT前)、21 d(PDT后7 d)、28 d(PDT后14 d)进行内镜检查。检查时以盐酸赛拉嗪麻醉动物,仰卧位固定于检查床上。先以普通内镜观察记录动物直肠内壁肿瘤生长情况和直肠黏膜情况,然后用超声内镜测量肿瘤短径(a)和长径(b),按下式计算肿瘤体积(V)
V=1/2ab2
肿瘤接种后每2天观察动物饮食、饮水、粪便及精神状态;PDT后除每天观察前述指标外,还需观察皮肤过敏、便血、便秘、体质量及生存时间。
PDT后14 d,以盐酸赛拉嗪过麻处死动物,剂量为0.3 ml/kg;从肛门进行解剖,取直肠肿瘤组织;4%多聚甲醛固定,常规包埋、切片、HE染色,镜下拍照并分析其组织病理变化。
采用SPSS13.0统计学软件处理数据,数据以均值±标准差(
±s)表示,样本均值间比较采用t检验,以P<0.05为差异具有统计学意义。
PDT前和治疗后第7天,用超声内镜分别观测肿瘤体积(图3)。可见PDT治疗后,低剂量组肿瘤继续生长,中剂量组和高剂量组的肿瘤体积均小于低剂量组,差异有统计学意义(P<0.05),且中剂量组的抑制效果优于高剂量组,差异有统计学意义(P<0.05)。解剖发现,PDT后14 d,高剂量组的肿瘤完全消失。


与低剂量组比较,aP<0.05;与高剂量组比较,bP<0.05
PDT治疗后分别于1、3、5、7、14 d对3个剂量组的存活动物数进行统计并计算存活率(图4)。PDT治疗后7 d内有明显炎症反应发生,存活率急剧下降。在此之后,高剂量组尽管肿瘤体积有所增加,但无动物死亡。高剂量组动物在PDT治疗后存活时间可达30 d。


以肿瘤体积变化为标准进行疗效评价。完全效应为肿瘤消失,病理活检阴性;明显效应为肿瘤体积缩小50%以上;轻度效应为肿瘤体积缩小不足50%;无效为肿瘤体积无变化或增大。总有效率=完全效应+明显效应+轻度效应。治疗终点为PDT后第7天。
结果表明,所有剂量的PDT处理都对直肠癌有不同程度的治疗效应,疗效与PDT剂量相关(表1)。其中,PDT高剂量组总有效率为100%,明显效应率为20%,轻度效应率为80%,但该组在第7天时死亡率为80%;PDT中剂量组的总有效率为80%(60%明显效应,20%轻度效应),死亡率为40%;PDT低剂量组有40%的轻度效应,死亡率为60%。基于上述结果,证明PDT中剂量组为最优治疗组。

兔原位直肠癌对不同剂量光动力治疗后7d的反应
兔原位直肠癌对不同剂量光动力治疗后7d的反应
| 组别 | n | 完全效应(例) | 明显效应(例) | 轻度效应(例) | 无效(例) | 死亡(例) |
|---|---|---|---|---|---|---|
| 低剂量组 | 5 | 0 | 0 | 2 | 3 | 3 |
| 中剂量组 | 5 | 0 | 3 | 1 | 1 | 2 |
| 高剂量组 | 5 | 1 | 4 | 0 | 0 | 4 |
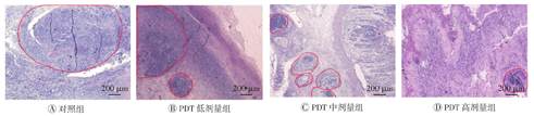
普通内镜观察可见PDT处理前直肠内壁黏膜完整,色泽红润,肿瘤部位突出,触之较硬,可滑动。PDT后第7天,直肠内壁肿瘤部位黏膜破溃,色泽暗黄,有白色絮状物游离。PDT剂量越大,黏膜破溃面越大。高剂量组直肠内壁肿瘤部位呈青黑色坏死样。PDT后第14天肿瘤部位黄色黏膜有缩小变厚现象(图5A);同时使用超声内镜测量,显示中剂量组肿瘤逐渐缩小(图5B),解剖可见肿瘤黏膜表面表现与普通内镜下一致。PDT处理后,表面黏膜经历从光滑到破损到修复的过程,且肿瘤体积与超声内镜测量一致,随着PDT处理后时间的延长,肿瘤体积逐渐缩小(图5C)。


治疗终点时(PDT后7 d),肿瘤组织HE染色结果显示:对照组的动物肿瘤组织病理表现为直肠黏膜下肿瘤组织呈现巢式生长,有清晰的边界,瘤组织中心有坏死细胞,整个肿瘤组织被分割成4~5个巢式结构区;低剂量组的肿瘤组织范围变小,肿瘤边界模糊不清,巢式肿瘤结构大小不一;中剂量组的肿瘤组织病理可见多个较小巢式肿瘤结构聚集生长,但没有明显的边界,周围炎症细胞侵润;高剂量组的肿瘤表现为肉眼可见的肿瘤消失,肿瘤组织病理显示原肿瘤部位已被正常组织取代,只有1~2个小巢式生长区存在,周围炎细胞侵润明显。(图6)


PDT—光动力学疗法
使用PDT对兔原位直肠癌治疗后,动物出现严重不良反应。主要表现为:①过敏反应。有3只动物表现为皮肤过敏反应(中剂量组2只,高剂量组1只),具体表现为眼周、鼻周和嘴周黏膜红肿。②炎症反应。PDT后动物直肠肛周表现不同程度的红肿与发热(第3天最为严重,第5天基本消退),其中高剂量组炎症反应极其严重,可致肠梗阻,甚至死亡(死亡率67.6%),解剖可发现肿瘤部位肿瘤肉眼不可见,触之有米粒大小肿瘤组织,黏膜青黑色,严重者破溃(图7)。③直肠收缩功能减弱。中剂量组有2只兔子在PDT后第10天因肠梗阻死亡,解剖可见直肠内充满粪便,清除粪便后,观察到原肿瘤部位肿瘤消失,无肠道狭窄,肠壁变薄,触之无弹性,解剖易破。④体质量下降。3个剂量组中动物体质量均有所下降,组间差异无统计学意义。⑤死亡。死亡是最严重的不良反应,中剂量组死亡率为16.7%,高剂量组死亡率为66.7%,解剖发现动物死亡的主要原因是肠梗阻,早期主要是由水肿引起,晚期则是因直肠功能受损而引起。


自1978年Dougherty等[8]进行了大样本PDT的临床试验开始,PDT的临床试验已超过200项,研究范围从皮肤病变(包括肿瘤和瘤前良性病变)到头颈部肿瘤、消化道肿瘤(食管癌和其他)、腹腔肿瘤、泌尿系统肿瘤(前列腺癌、膀胱癌),再到肺癌(非小细胞肺癌、间皮瘤)、脑瘤等,几乎涵盖了大部分类型的肿瘤。然而,有确切证据表明,其中可选择PDT治疗的仅限于皮肤肿瘤、皮肤癌前病变、Barrett食管癌以及不可切除的胆管癌[9,10]。其他适应症都缺乏充足的大样本随机对照试验的支持。这也是阻碍PDT成为临床主流治疗方法的主要原因。此外,阻碍PDT发展的原因还有以下几点:①对于临床医生来说,PDT治疗操作太过复杂,特别是激光与光纤的操作以及通过功率密度进行光剂量计算等,均需专门的培训。②缺乏能够表明PDT优于其他治疗方法的3期临床试验,不能充分表现PDT的优越性。③第一代光敏剂长达1个月的皮肤光敏反应限制了PDT在癌症晚期患者(生存时间少于6个月)中的治疗。对于腔道内的肿瘤,这些困难更加突出。首先,腔道肿瘤PDT的激光器操作比皮肤PDT更加复杂;其次,与皮肤肿瘤相比,腔道肿瘤的PDT治疗临床试验更少。
PDT已被证明能用于治疗头颈部,如口腔、咽、喉等部位的肿瘤[11]。Li等[12]开展了小样本随机对照临床试验,比较了卟菲尔钠介导的PDT与化疗药物5-FU和顺铂对鼻咽癌的治疗效果,结果显示PDT优于化疗。Biel[13]报道了1项超过300例患者,长达15年追踪观察的卟菲尔钠介导的PDT治疗的大样本临床试验,其中133例复发或首发CIS,T1N0和T2N0喉癌患者在单次PDT治疗后5年随访治愈率达90%,138例CIS和T1N0口腔鳞状细胞癌患者5年随访治愈率达到100%。PDT在胃肠道的应用主要分为食管癌和其他肿瘤,Barrett食管癌和早期食管癌以及各种程度的发育不良都已经被深入研究[14,15]。已有报道,采用随机试验评价PDT治疗高度发育Barrett食管癌的研究均为不超过50例患者的小样本试验研究,其结果不能证实PDT的优越性,且有不良反应,如皮肤光过敏和食管紧缩发生率较高,特别是使用卟菲尔钠作为光敏剂时。除Barrerr食管癌外,PDT在治疗其他消化系统肿瘤方面也有研究[16]。Nakamura等[17]开展的早期临床研究表明,PDT在胃癌治疗上具有良好前景,但至今没有后续的随机临床试验。PDT在早期十二指肠和壶腹部肿瘤的治疗方面也表现出很好的效果,但同样需要更进一步治疗条件优化[18,19]。在消化道肿瘤中,PDT对胆管癌治疗表现最好,20世纪90年代有文献报道了第一例PDT治疗胆管癌的病例[20]。Ortner等[21]对9例不能手术的患者进行了卟菲尔钠介导的PDT治疗。其随后的跟踪研究又纳入了70例病例[22],其中20例随机接受PDT治疗后,进行了双侧塑料支架治疗。结果显示,PDT加支架组患者中位生存期达到493 d,而单支架组仅为98 d。其他随机临床试验也表明,PDT对不能手术的胆管癌有治疗效果[23];然而在其治疗过程中,有明显不良反应发生,最常见的是胆管炎,发生率达20%,远高于单支架治疗的对照组。其他不良反应还包括胆囊炎、脓肿、胰腺炎、胆漏和胆汁瘤等。此外,PDT在消化道疾病的应用还包括胰腺癌[24]、结肠息肉以及直肠癌[25,26,27,28],但这些研究仍处于试验阶段,尚缺少高水平的数据支持。
为支持PDT在腔道肿瘤的应用,大量基础实验和临床试验是必要的。基于这一目的,本研究以兔原位直肠癌模型为研究对象,进行PDT治疗直肠癌的疗效及不良反应研究。结果表明:①PDT剂量对疗效的影响很大,剂量过小,肿瘤不能有效清除,剂量过大会导致严重的不良反应(如肠梗阻),死亡率增加,只有合适的剂量才能在保证疗效的同时减轻副作用。②炎症反应是最严重的不良反应,由于腔道狭窄,再加上肿瘤向肠腔内突出,PDT作用后,水肿等炎症反应加剧了肠道狭窄,造成肠梗阻。实验中发现,可视化的PDT设备对于腔道内肿瘤治疗非常关键。本研究中,光照是按照设定的3个剂量开展的,光照面积也是固定的,如果能在光照过程中实时地根据组织的反应进行激光剂量和照射面积的调整,将有助于PDT疗效的提高,但目前尚没有针对动物实验的内镜PDT系统。下一步笔者将针对上述问题进行深入探讨,并研发适于小动物内镜PDT的专用设备,探索减少副作用的方法,优化PDT疗效策略,为PDT治疗直肠癌尽快进入大样本随机对照临床试验提供数据支持。
无





















