
依据腰椎间盘突出症(LDH)在CT或MRI的图像,提出一种基于CT值的更为简单精确地描述突出物大小和位置的坐标分区方法,为腰椎间盘突出诊断及手术治疗的选择提供参考。
由经验丰富的临床医师和影像学专家共同制定该系统。分析腰椎间盘突出症患者的CT和MR资料,根据LDH的程度按坐标分区给予分类。按腰椎间盘的解剖结构特征和临床病理特点按X、Y、Z坐标轴进行定位。
在该系统中,将突出物在椎管中所处的位置从X轴(水平面)、Y轴(矢状面)、Z轴(冠状面)以坐标轴分区方式划分,其中,X、Y坐标轴划分为8区(-4~-4),Z轴划分为4区(1~4);突出物大小以相对应位置区的绝对值之和描述,并按其数值大小表示突出的程度,数值越大表示突出程度越严重。
基于CT值的坐标轴分区法可以很好地反映腰椎间盘突出的病理类型、突出的精确位置及其严重程度,从而可为LDH的诊断、手术方法以及手术时机的选择提供重要的参考依据。
版权归中华医学会所有。
未经授权,不得转载、摘编本刊文章,不得使用本刊的版式设计。
除非特别声明,本刊刊出的所有文章不代表中华医学会和本刊编委会的观点。
目前,影像学辅助腰椎间盘突出症(lumbar disc herniation, LDH)的诊断和治疗被视为是重要的有效途径。随着影像学的发展,腰椎间盘突出的三维立体概念日渐成熟。腰椎间孔镜技术和射频介入治疗作为该病手术治疗的手段,以其微创、经济、痛苦少等优势在国内广泛开展,已取得很好的临床效果。CT值可以判断腰椎间盘突出组织的时间和病理属性。在大量临床手术治疗的经验基础上,结合影像学综合分析,笔者提出一种基于CT值更为简单精确的描述突出物大小和位置的坐标分区方法,可为LDH的诊断及手术治疗方法的选择提供定性的责任靶点和定量的CT值责任区域。
选取2015年12月~2016年12月就诊于天津中医药大学第一附属医院骨伤科的32例患者,其均有腰腿痛史,经诊断为LDH。左下肢疼痛14例,右下肢疼痛18例。其中男性13例,女性19例。年龄34~56岁,平均年龄(42.2±7.8)岁。
此研究的描述系统由临床经验丰富的脊柱外科医师、神经外科医师和影像学专家共同参与制定。分析LDH患者的CT和MR资料,并根据LDH的程度按责任靶点CT值和坐标分区进行分类。依据腰椎间盘的解剖结构特征和临床病理特点按X轴、Y轴、Z轴进行定位。
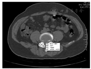
在X轴,即水平面上划分为8区,描述突出物左、右侧方突出的位置和大小。根据突出的主要侧方向由内向外依次划分为1~4区。椎体后缘中线、侧隐窝内侧线、侧隐窝外侧线、椎间孔外口线与X轴交点依次记为0、1、2、3,以0~1为1区,1~2为2区,2~3为3区,>3为4区;对侧则对称划分为-1~-4区。突出物位置以突出侧最大突出区表示,大小以两侧突出区的绝对值之和表示。(图1)


在Y轴,即矢状面上划分为8区,描述突出物上下侧突出的位置和大小。临床上突出物主要以向下侧突出为主。椎体盘中心线、下位椎体上缘线、椎弓根上缘线、椎弓根下缘线、下位椎体下缘线与Y轴交点依次记为0、1、2、3、4,以0~1为1区,1~2为2区,2~3为3区,3~4为4区;对侧则对称划分为-1~-4区。突出物位置以突出侧最大突出区表示,大小以两侧突出区的绝对值之和表示。
在Z轴,即冠状面上划分为4区(图2),以描述突出物后侧突出的位置和大小。根据突出物方向由前向后依次划分为1~4区。椎体后缘线、侧椎间孔中心线、椎间关节前缘水平切线、椎间关节后缘水平切线与Z轴交点依次记为0、1、2、3,以0~1为1区,1~2为2区,2~3为3区,>3为4区。突出物位置和大小以最大突出区表示。(图1)


这样,按照X、Y、Z顺序依次记录突出物的位置和大小,以坐标形式简约精确呈现出来,如(2,1,2)、(3,1,2)等。
CT值是测定人体某一局部组织或器官密度大小的一种计量单位,通常称亨氏单位(hounsfield unit, HU)。CT值可反映腰椎间盘突出组织的属性,对腰椎间孔镜技术和射频介入治疗通道的制定和手术方案的选择至关重要。依据定位的责任靶点,标记CT值可准确反映腰椎间盘突出的病理类型、突出物的精确位置及突出的严重程度,从而为LDH的诊断和手术治疗方法的选择及实施提供重要的参考依据。
在该系统中,将突出物在椎管中所处的位置从X轴(水平面)、Y轴(矢状面)、Z轴(冠状面)以坐标轴分区方式划分,将X、Y坐标轴划分为8区(-4~4),Z轴划分为4区(1~4);突出物大小以相对应位置区的绝对值之和描述,依据其数值大小表示突出的程度,数值越大说明其突出程度越严重。相应坐标分区后标注CT值,根据和自身髓核组织对照明确突出髓核CT值意义。
自影像学技术应用于医学以来,尤其是核磁共振成像(MRI)技术在该领域的应用,不断有学者研究腰椎或脊柱的损伤定位、定量描述系统。Wiltse等[1]提出了一个描述脊柱损伤定位及损伤程度的定位系统。在这个系统里依据解剖结构,可将椎体横轴面按由内向外的方向划分为4个"区域" ,即中央髓管区域、椎间关节下区域、椎间孔区域和椎间孔外区域;另外矢状面按由足向头方向把单个椎体水平划分为4个"层面" ,即椎间盘层面、椎弓根下层面、椎弓根层面、椎弓根上层面,最后用数值1~5表示由轻到重的损伤程度。Mysliwiec等[2]提出MSU分类定位系统为LDH手术适应症提供客观标准。MSU是一种基于MR图像简单可靠的分类定位系统,可根据其突出的大小分为3级,根据突出位置分为3区。具体方法是:选择突出物最大横断层面,以两侧椎间关节连线为界线,骨性椎体后缘中点至此分界线的垂直距离二等分,这样椎体的骨性椎管由前向后即被分成了1、2、3级,突出程度逐渐增大;将椎间关节连线在垂直方向上四等分,靠近中央的二等分为A区,剩下的二等分为B区,椎间关节连线外为C区。脊柱功能运动节段(functional spine unit,FSU)是三关节的复合体,由椎间盘及其上、下椎骨构成[3]。胡有谷等[4]依据LDH在CT/MRI显示的图像,提出腰椎间盘的区域定位法,可为LDH做出更精准的诊断。区域定位法对FSU依据腰椎间盘的病理和程度,将突出椎间盘在椎管内所处的位置从矢状位、水平位和额状位予以定位。矢状位分为椎间盘层面(Ⅰ层面)、椎间盘上层面(Ⅱ层面)、椎间盘下层面(Ⅲ层面),水平位以椎体后缘为界分为正中区(1区)、旁正中区(2区)、外侧区(3区)和极外侧区(4区),额状位从椎体后缘中线至棘突椎板前缘骨界为股骨性椎管矢径,将其四等分为a、b、c、d域。
CT因具有良好的空间与组织密度分辨率,以方便检查、图像清晰、无侵人性伤害等优点广泛应用于LDH的诊断。其采用数字成像技术,因而能够分辨出肉眼不能分辨的组织结构间的轻微密度差别,并通过CT值来体现。广义来讲,CT值代表人体各种不同组织对X线吸收后的线性衰减系数。为了计算与论述的方便,Hounsfie将线性衰减系数化分为2 000个单位(称为CT值),并将水的CT值设定为零,做为相对值。人体各种不同组织结构的CT值界线有2 000个分度,最上界骨组织(骨密质)的CT值为1 000,最下界空气的CT值为-1 000。这种分度涵盖了人体各种不同组织结构,从密度最高的骨组织(骨密质)到密度最低的空腔器官内所含气体的(骨密质)值[5]。CT值会受多种因素的影响而发生改变,如管电压的高低、部分容积效应、周围间隙现象、光束硬化、视野的大小、扫描环内偏心和人体内存因素如呼吸、血流速度等,其中X线球管管电压的高或低影响最为重要。因不同管电压会产生不同强度的X线,即使在穿过光电吸收与反冲电子吸收比例相同的组织结构时其CT值也会出现偏差。由于这种偏差很小,对于临床诊断并无太大的影响,但在进行组织定量分析、比较同一组织结构内细微组织密度改变时,应当充分了解扫描时所采用的管电压的数值。否则,结果将会出现偏差,影响正确判断;其次,某一正常组织或病理组织的CT值还受部分容积效应和周围间隙现象的影响而出现CT值的偏差。在对椎间盘突出进行CT值测量时,扫描程序应选择重叠薄层扫描技术即层厚大于间距(层厚3 mm,间距2 mm),扫描架与所扫椎间隙一定要平行。如果扫描架与椎间隙不平行,或扫描层厚大于椎间盘厚度,则在同一扫描层面内至少含有两种以上不同组织密度又相互重叠的物质,即椎间盘与纤维软骨组织、疝出的髓核与椎管内结构,此时,则不能如实地反映该层面内各种组织本身的CT值。因此,扫描层厚与间距、扫描架与椎间隙之间的扫描角度将会直接影响椎间盘突出时其CT值测量数据的准确性,其中扫描厚度是导致CT值偏差的主要因素。在测量椎间盘突出的CT值时,小于扫描层厚的疝出部髓核虽然可以充分地显示,但所测得的疝出部髓核CT值并不具真实性。假如疝出部髓核组织密度比椎管内结构密度高,所测得的CT值则比实际要小;反之,所测CT值则比实际要高[6]。CT值等于该物质的衰减系数(μm)与水的吸收系数(μw)之差再与水的衰减系数相比之后乘以分度因素。物质的CT值反映物质的密度,即物质的CT值越高相当于物质密度越高。即CT值=α×(μm-μw)/μw。式中:α为分度因数,其取值为1 000时,CT值的单位为亨氏单位(Hu)。人体内不同的组织具有不同的衰减系数,因而其CT值也各不相同。按照CT值的高低分别为骨组织、软组织、脂肪、水、气体,水的CT值为0 Hu左右。依据定位的责任靶点,标记CT值可以很好反映腰椎间盘突出的病理类型、突出的精确位置及突出的严重程度,从而为LDH的诊断和手术治疗方法的选择及手术的实施提供重要的参考依据。LDH分区方法中标记CT值如图3所示。可对微创手术精准化手术方案予以完善。


目前,在LDH治疗方法中,微创介入手术精准化治疗逐渐成为主流。手术机器人的出现为LDH的治疗提供了更好的方法。这些治疗方法的实现基于对间盘突出精确的定位。通过该法对于腰椎间盘突出的诊断有更精确的表达以及更客观的规范描述方式。以坐标形式命名突出,以数值大小来衡量突出程度。侧隐窝是神经根的通道,其前面为椎体后缘,后面为上关节突前面与椎板和椎弓根连结处,外面为椎弓根的内面。内侧入口相当于上关节突前缘。侧隐窝为椎体孔两侧向外陷入部分,向外下方形成脊神经根通道,与椎间孔相续。侧隐窝区相当于X轴的2区或-2区,把侧隐窝区独立划分,有助于解释LDH的病理及手术方式的处理。椎间关节在手术入路和处理中十分重要,Z轴上的3区即椎间关节区,对建立在以孔镜手术为主要手段治疗LDH,此区的划分具有很实际的临床意义。另外,该法可为手术方式的客观选择提供参考依据,对椎间孔镜手术,X轴4区突出,可选用孔镜的后外侧入路,但此法不适于Y轴3区的突出;Z轴3区、4区的突出,可选用远外侧或水平入路;X轴1区、Y轴2区的突出,可选用后路或椎板间入路;椎间孔入路(TESSYS技术)可解决Y轴3区的突出。基于CT值的坐标分区对于介入手术,精准化的定位能明确病灶和责任靶点,并可量化责任靶点的病理属性。椎间孔镜器械适用于前后左右任何手术入路;不同入路各有优缺点,椎间孔途径适用范围最广。(图4)


笔者在大量的临床实践基础上,综合3个分类系统,提出了一个新的基于CT值的描述腰椎间盘突出物的位置和大小的系统方法—基于CT值坐标轴分区法,该方法简单客观,使突出本质具体化,同时可规范描述方式、选择治疗手段和比较疗效;但此法仍有局限性,当椎体退化或损伤严重时,解剖关系不再维持清晰良好状态,部分连线将失去其稳定性,这时此方法可能无效。今后的研究方向尚需进一步建立多中心的研究。基于CT值坐标轴分区法可以很好反映腰椎间盘突出的病理类型、突出的精确位置及突出的严重程度,可为LDH的诊断和手术治疗方法的选择及实施提供重要的客观参考依据,同时可更加完善地描述LDH的责任区域靶点定位提供一种借鉴。
基于CT值的坐标轴分区法可以很好反映腰椎间盘突出症(LDH)的病理类型、突出的精确位置及突出的严重程度,可为该病的诊断、手术方法、手术时机选择提供重要的参考依据。
无





















