
探讨绿原酸对结肠癌细胞增殖和凋亡的调控机制。
流式细胞术检测不同浓度的绿原酸对人结肠癌细胞株HT-29细胞凋亡的影响,噻唑蓝(MTT)法检测细胞增殖,Transwell检测细胞迁移。建立HT-29细胞的裸鼠荷瘤模型,实验组在肿瘤区域注射100 μl绿原酸溶液(100 mg/L),对照组在肿瘤区注射100 μl生理盐水。跟踪测量肿瘤体积与质量,用免疫印迹法检测AKT/GSK-3β信号通路相关因子的蛋白表达水平。
绿原酸能显著促进HT-29细胞凋亡(P<0.01),抑制细胞增殖(P<0.01),抑制细胞迁移(P<0.05),且均呈现剂量依赖趋势。绿原酸处理的HT-29荷瘤模型小鼠无转移瘤出现。在各时间点,实验组裸鼠肿瘤体积和质量均明显小于对照组(均P<0.05)。2组裸鼠肿瘤组织中丝氨酸/苏氨酸激酶(AKT)和糖原合成酶激酶-3β(GSK-3β)表达差异无统计学意义(均P>0.05),但实验组相关磷酸化蛋白p-AKT、p-GSK-3β、β-catenin明显低于对照组(均P<0.01)。
绿原酸可抑制结肠癌细胞的增殖和转移、促进细胞凋亡,其机制可能是通过AKT/GSK-3β信号通路实现。
版权归中华医学会所有。
未经授权,不得转载、摘编本刊文章,不得使用本刊的版式设计。
除非特别声明,本刊刊出的所有文章不代表中华医学会和本刊编委会的观点。
结肠癌是发生于结肠部位的一种常见消化道恶性肿瘤,其在我国恶性肿瘤发病率和死亡率分别居第3位和第5位,且其发病率呈增长趋势[1,2]。目前,化学治疗在结肠癌的综合治疗中处于主导地位。近年来,中医药在结肠癌的预防和治疗中的作用越来越受到重视,并对中药预防和治疗结肠癌的可能机制开展了研究[3]。绿原酸(chlorogenic acid,CGA)是存在于多种中草药的一种活性成分,具有诸多生物学活性,如抗炎、抗病毒、降血脂和血糖、抗氧化作用、增强机体免疫力等[4,5]。现代药理实验证明,杜仲CGA可通过降低致癌物的利用率及其在肝脏中的运输来达到防癌、抗癌的效果。此外,在体实验已证实CGA能抑制结肠癌细胞的成瘤效应[6,7]。本研究在以往研究基础上,通过离体和在体实验探究CGA对结肠癌细胞增殖与凋亡的调控机制。
实验用BALB/c-nu裸鼠为4周龄SPF级健康雄性小鼠(n=30),体质量为(18.77±1.02)g,购自北京华阜康生物科技有限公司,许可证号:SCXK(京)2014-0004。CGA(250 mg Rutin hydrate,>98%)(美国Sigma-Aldrich公司),McCoy's 5A(Modified)Medium肉瘤细胞培养液、胎牛血清(fetal bovine serum,FBS)(美国Thermo Fisher公司),Annexin V-FITC试剂盒(深圳欣博盛生物科技有限公司),磷酸化丝氨酸/苏氨酸激酶(phospho-serine/threonine kinase,p-AKT)、AKT抗体(美国Cell Signaling Technology公司),糖原合成酶激酶-3β(glycogen synthase kinase 3 beta,GSK-3β)、磷酸化糖原合成酶激酶-3β(p-GSK-3β)、β-链蛋白(β-catenin)、β-肌动蛋白(β-actin)抗体(美国Abcam公司),人结肠癌细胞株HT-29(中国医学科学院中国协和医科大学细胞库),人源表皮生长因子(epidernal growth factor,EGF)(美国Chemicon公司),辣根过氧化物酶标记羊抗鼠(horseradish peroxidase-labeled goat anti-mouse,IgG-HRP)(美国Abmart公司),快捷型酶标羊抗鼠/兔IgG聚合物(HRP-Polymer anti Mouse/Rabbit IgG)(福州迈新生物技术开发有限公司)。Transwell小室(美国Corning公司),Accuri C6流式细胞仪(美国BD公司)。
人结肠癌细胞株HT-29培养于含100 μg/ml青霉素、链霉素和10% FBS的McCoy's 5A培养液中,置于37 ℃、5%CO2孵箱中培养,每2天换液1次,每3~4天用胰蛋白酶消化液消化传代1次,取对数生长期细胞用于实验。
将对数生长期HT-29细胞接种于6孔板,每孔1×106个,培养24 h后,对照组不进行处理,实验组加入系列质量浓度梯度的CGA培养基(CGA的质量浓度分别为10、25、50、100 μg/ml),每个浓度复孔3个[8,9,10];处理48 h后,收集细胞,用150 μl上样缓冲液(bingding buffer)重悬细胞,加入1.5 ml离心管中,再加入异硫氰酸荧光素标记的膜联蛋白V(Annexin V-fluorescein isothiocyanate,Annexin V-FITC)10 μl,避光冰浴20 min后加入10 μl 7-氨基放线菌素D(7-aminoactinomycin D,7-AAD),混匀后用流式细胞仪检测细胞凋亡。
将对数生长期HT-29细胞接种于96孔板中,每孔1×105个。空白对照为不加任何试剂的空孔;对照组不进行任何处理;检测组中,CGA处理方法同前,处理48 h后,每孔加入20 μl质量浓度为5 g/L的噻唑蓝(thiazolyl blue tetrazolium bromide,MTT)试剂,置于37℃、5%CO2的细胞培养箱中孵育4 h后吸出,加入150 μl二甲基亚砜(dimethyl sulfoxide,DMSO)试剂,充分震荡溶解结晶后,用多功能酶标仪测定在450 nm的吸光度(A)。细胞增殖抑制率的计算公式为


在Transwell小室(24孔板,膜孔径8.0 μm)聚碳酸酯膜上,每孔加入1640培养基200 μl;下室中加入EGF或10% FBS培养基,600 μl/孔;上室孔中加入细胞1×105个/孔,对照组加入未经处理的HT-29细胞,实验组加入CGA处理的细胞(处理方法同前),细胞悬液体积200 μl,置于37 °C、5%CO2培养箱中培养24 h;待培养结束后,弃去上室液体,小心取出上室,用湿棉签擦去膜上未穿过膜的细胞;4%中性甲醛固定10 min,结晶紫染色10 min,磷酸盐缓冲液(phosphate buffered saline,PBS)冲洗3次,干燥后取下微孔滤膜;在倒置显微镜下直接观察穿过膜的细胞,在每张膜中央部分和周围部分各随机取3个视野,对每个视野内的穿过8 μm微孔的细胞进行计数。
裸鼠在无特定病原体条件下于层流架内饲养。将生长状态良好且处于对数生长期的HT-29细胞植于裸鼠皮下,每只接种2×106个细胞,共接种30只,接种后常规饲养并观察裸鼠成瘤情况。接种2~3周后,肿瘤体积约1 cm3时,选择肿瘤体积接近的20只小鼠,随机平均分为对照组和实验组。每日10∶00 AM,实验组在肿瘤区域注射100 μl CGA溶液(100 μg/ml),对照组注射100 μl生理盐水。连续观察4周并记录肿瘤的生长情况,每周测量肿瘤长径(L),短径(W)。肿瘤体积(V)计算公式为


注射处理4周后处死小鼠,取瘤称重并检查肝、肺部肿瘤的转移情况。将每个肿瘤样本平均分成2份,1份于-80 ℃保存,用于提取瘤组织蛋白,另1份用石蜡包埋处理后进行苏木精-伊红(HE)染色,观察病理。
将肿瘤组织置于预冷的组织匀浆器中,加入预冷的蛋白裂解液快速匀浆,提取组织总蛋白,将蛋白加热变性后保存。采用BCA(bicinchoninic acid)法对蛋白进行定量并绘制标准曲线;根据标准曲线拟合方程计算样品蛋白质量浓度,后行聚丙烯酰胺凝胶电泳,然后转膜;进行相关抗原封闭、抗体孵育,检测AKT、p-AKT、GSK-3β、p-GSK-3β、β-catenin、β-actin蛋白的表达。一抗稀释浓度均为1∶1 000,4 ℃过夜,二抗为IgG-HRP或快捷型酶标羊抗鼠/兔IgG聚合物,37 ℃孵育60 min。
使用SPSS 18.0软件处理数据,所有数据以均数±标准差(
±s)表示,使用双侧样本Student'st检验比较组间数据的差异,以P<0.05为差异具有统计学意义。
CGA处理HT-29细胞48 h后,在倒置显微镜下观察细胞状态。结果表明,对照组细胞生长状态较好,实验组细胞体积变小,细胞间隙增大,少部分细胞断裂破碎,悬浮在培养液中;随着CGA质量浓度的升高,越来越多的细胞脱落悬浮、破碎。细胞凋亡流式检测结果显示,与对照组相比,不同质量浓度的CGA对HT-29细胞凋亡具有明显的促进作用,其差异具有统计学意义(均P<0.01),且呈剂量依赖趋势。(图1)


与对照组比较,aP<0.01
CGA处理HT-29细胞48 h后,用MTT检测细胞增殖。结果表明,与对照组相比,不同质量浓度的CGA对HT-29细胞增殖具有明显的抑制作用,其差异具有统计学意义(均P<0.01),且呈现剂量依赖趋势。(图2)


与对照组比较,aP<0.01
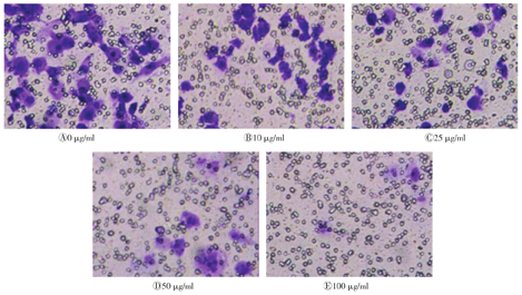
CGA处理HT-29细胞48 h后,观察结晶紫染色图片。结果显示,与对照组相比,不同质量浓度的CGA对HT-29细胞迁移具有明显的抑制作用,其差异具有统计学意义(均P<0.05),且呈现剂量依赖趋势。(图3)


HT-29细胞荷瘤小鼠处死后,发现实验组小鼠(注射CGA)无转移瘤出现,对照组(注射生理盐水)中发现有5例肝、肺、结肠微小转移瘤。通过在不同时间点测量荷瘤小鼠肿瘤体积,得到肿瘤生长曲线(图4、图5)。结果表明,注射CGA 4周后实验组肿瘤体积明显小于对照组,其差异具有统计学意义(P<0.05);实验组肿瘤质量(0.47±0.051)g明显小于对照组(0.73±0.064)g,其差异具有统计学意义(t=8.655,P<0.05)。以上结果表明,CGA能够抑制裸鼠肿瘤的生长。




与对照组比较,aP<0.01
Western Blot结果显示,实验组和对照组裸鼠肿瘤中AKT、GSK-3β表达差异无统计学意义(均P>0.05),但实验组磷酸化蛋白p-AKT、p-GSK-3β和β-catenin明显低于对照组,差异具有统计学意义(均P<0.01)。(图6)


与对照组比较,aP<0.01
CGA类物质是植物重要的次生代谢产物,广泛存在于高等双子叶植物和蕨类植物中,在杜仲、金银花、咖啡等植物中含量较高[8,9]。CGA类物质可通过调节细胞周期、诱导凋亡、抑制细胞生长等途径产生抗癌作用,对肺癌、乳腺癌、肝癌具有显著的抑制作用,被认为是癌症的有效化学防护剂[10,11,12]。萧海蓉等[7]研究表明,CGA类物质对CT-26结肠癌移植瘤有明显的抑制作用,推测CGA类物质有一定的抗结肠癌活性。
本研究结果表明,CGA可以抑制HT-29结肠癌细胞增殖、促进细胞凋亡,且其效果呈现剂量依赖趋势。通过Transwell细胞迁移实验发现,CGA可明显抑制HT-29结肠癌细胞的迁移。基于裸鼠荷瘤模型的实验结果表明,CGA能够抑制裸鼠肿瘤的增长速度;同时,CGA处理组裸鼠无转移瘤的出现。在体实验证实了CGA对结肠癌细胞的增殖、凋亡和迁移起到明显的调控作用。以上结果与文献报道一致,即CGA可抑制恶性肿瘤细胞的增殖和迁移,促进肿瘤细胞凋亡[3,7,10,11]。
研究表明,CGA类物质调节细胞存活与凋亡的分子机制主要包括[5,13,14]:①降低细胞生长繁殖信号传导途径中信号因子的强度,进而降低癌细胞的存活力。②提高醌类氧化还原酶—谷胱甘肽S-转移酶(glutathione S-transferase,GST)、尼克酰胺腺嘌呤二核苷酸磷酸(nicotinamide adenine dinucleotide phosphate,NADPH)抵抗有致癌作用的氧化剂对细胞致癌作用的诱导。③降低丝裂原活化蛋白激酶(mitogen-activated protein kinase,MAPK)等癌化激酶的活性,从而防止细胞癌变。④刺激Nrf2等抑癌基因的表达,抑制癌细胞的生长。
磷脂酰肌醇3激酶(phosphatidylinositol 3 kinase, PI3K)/AKT通路是人类肿瘤主要信号通路之一,其主要作用包括促进细胞增长、抑制细胞凋亡和下调细胞周期抑制性调控因子,与乳腺癌、卵巢癌、肝癌、大肠癌等多种肿瘤关系密切。GSK-3β是PI3K/AKT信号通路中的重要节点蛋白,具有调节细胞增殖、分化、凋亡等功能,其信号通路与抑制细胞凋亡及促进增殖密切相关[15,16]。随着与GSK-3β相互作用分子的不断发现,GSK-3β在肿瘤形成中的重要作用受到越来越多的关注。GSK-3β在静止细胞中一般较活跃,受磷酸化修饰调节,9位丝氨酸的磷酸化使其活性受抑制。多项研究表明,AKT/GSK-3β信号通路与结肠癌的发生、发展相关[17]。此外,Wnt/β-catenin信号通路在肿瘤的发生发展过程中发挥着重要的作用,是维持肿瘤干细胞特性的一条重要通路,其激活受到AKT/GSK-3β的调节,当AKT磷酸化水平升高并激活时可以磷酸化GSK-3β的9位丝氨酸,从而抑制GSK-3β的活性,阻断GSK-3β对其下游β-catenin的磷酸化;β-catenin的泛素化降解平衡被破坏,导致β-catenin在细胞内的聚集并转移至核内调控靶基因的表达[18,19]。
本研究中,对实验组和对照组AKT/GSK-3β信号通路的Western Blot检测结果显示,实验组和对照组裸鼠肿瘤中AKT、GSK-3β表达差异无统计学意义(均P>0.05),但实验组磷酸化蛋白p-AKT、p-GSK-3β、β-catenin明显低于对照组,差异具有统计学意义(均P<0.01)。在这条信号通路中,CGA的作用机制可能是激活了AKT/GSK-3β信号通路,进而调控下游信号Wnt/β-catenin通路中β-catenin的表达,最终导致结肠癌细胞的凋亡,并抑制了癌细胞的增殖和转移。但信号传导途径是一个复杂的网络结构,CGA的调控途径可能不止一条,其具体作用机制有待进一步研究。
无





















