
构建能稳定表达红色荧光蛋白(RFP)和萤火虫荧光素酶(Fluc)的人肺癌细胞系,为建立活体成像的人肺癌裸鼠移植瘤模型及治疗研究奠定基础。
构建含Fluc和RFP基因的慢病毒载体pHBLV-Fluc-RFP,转染293T细胞进行病毒包装,用获得病毒液感染人肺癌细胞系A549、H1975和人B细胞淋巴瘤细胞系K562,再用嘌呤霉素筛选获得稳定细胞株,最后分别采用荧光显微镜和实时定量PCR检测稳定感染细胞中RFP和Fluc的表达。
成功构建了pHBLV-Fluc-RFP慢病毒载体,获得了稳定表达Fluc和RFP的A549、H1975和K562细胞。荧光显微镜下可观测到3种稳定感染细胞中均有红色荧光。实时定量PCR检测结果显示,3种稳定感染细胞中Fluc基因的相对表达量远远高于对应的野生型细胞,差异均具有统计学意义(均P<0.05)。
获得的RFP和Fluc双表达人肺癌细胞系A549、H1975和人B细胞淋巴瘤细胞系K562,为人肺癌细胞免疫缺陷小鼠模型的活体成像提供了新荧光配色细胞模型。
版权归中华医学会所有。
未经授权,不得转载、摘编本刊文章,不得使用本刊的版式设计。
除非特别声明,本刊刊出的所有文章不代表中华医学会和本刊编委会的观点。
随着人口的增长和老龄化,吸烟、超重、环境污染等问题日益严峻,我国癌症的发病率不断升高。据调查2015年我国新增癌症病例4 292万例,癌症死亡病例达281.4万例,而肺癌是导致癌症患者死亡的主要原因,也是世界上最常见的恶性肿瘤之一,严重危害着人类健康[1,2]。肺癌在我国男性恶性肿瘤发病率中居首位,女性中居第2位,其病死率在男、女性恶性肿瘤中均为最高。目前,肺癌的治疗主要采用手术治疗、化学药物治疗(化疗)、放射治疗和分子靶向治疗等,虽对早期肿瘤患者具有一定效果,但对于晚期肿瘤仍难以解决。随着分子免疫学的发展和新技术的应用,肺癌免疫治疗取得了实质突破。与传统疗法相比,肿瘤免疫疗法具有安全性好、不良反应少等优点,但仍存在应答率低等问题,其中免疫检查点抗体治疗肺癌的有效率仅约20%[3,4]。据世界卫生组织预测,到2025年我国每年新增肺癌死亡病例将超过100万例,患病人数将居世界之最,故寻找有效的治疗药物和治疗方案非常迫切。而放射治疗、化疗联合免疫治疗有望提高应答率,是肿瘤免疫治疗的重要发展方向[5,6]。
临床前动物模型的建立与应用是药物疗效评价的关键与核心,是必不可少的环节之一。人肿瘤的免疫缺陷小鼠移植瘤模型在肿瘤转移机制研究、药物有效性预测、化疗药物敏感或耐药标志物筛选以及化疗方案优化等方面应用广泛,为肿瘤相关研究提供了很好的模型。近年来,生物发光、化学发光和小动物活体成像等技术的出现为肿瘤研究提供了实时监测的技术手段。在体生物光学成像技术(optical in vivo imaging)是一项近年来新兴的技术,可直观地呈现肿瘤细胞在细胞和分子水平的生理活动,是进行肿瘤研究必不可少的手段[7,8]。红色荧光蛋白(red fluorescent protein,RFP)是Matz等[9]从印度太平洋地区的珊瑚虫Discosoma genus中分离出来的一种能在紫外线照射下发射红色荧光的蛋白。RFP相对于其他单体荧光蛋白具有卓越的光稳定性,是继绿色荧光蛋白后的新型荧光蛋白,可实时观察标记肿瘤细胞的生长情况[10,11,12],增加检测配色选择,但目前商品化RFP标记的肺癌肿瘤细胞系难得。本研究拟通过构建RFP-萤火虫荧光素酶(firefly luciferase, Fluc)慢病毒载体,感染并获得稳定表达RFP和Flu的人肺癌细胞株,为建立人肺癌裸鼠移植瘤模型奠定基础。
pHBLV-CMV-MCS-EF1-RFP-puro慢病毒载体、LipoFiterTM脂质体转染试剂、HB-infusionTM无缝克隆试剂盒[汉恒生物科技(上海)有限公司],质粒DNA小量抽提试剂盒、质粒DNA大量抽提试剂盒、凝胶回收试剂盒、大肠杆菌菌株DH5α[天根生化科技(北京)有限公司],限制性内切酶BamHⅠ、DNA Marker、胰蛋白酶、磷酸盐缓冲液、293T细胞(美国Thermo Fisher Scientific公司),琼脂糖、琼脂粉[生工生物工程(上海)股份有限公司],KOD-Plus Kit[东洋纺(上海)生物科技有限公司],DMEM培养基、RPMI-1640培养基、胎牛血清、嘌呤霉素(美国Gibco公司),聚凝胺(美国Sigma-Aldrich公司),人肺癌细胞系A549、H1975和人B细胞淋巴瘤细胞系K562(美国模式培养物集存库)。ECLIPSE Ti荧光显微镜(日本Nikon公司),Cobas z480实时荧光定量PCR(瑞士Roche公司)。
根据Fluc基因设计特异性引物,在正反向引物中加入BamHⅠ酶切位点序列。引物由生工生物工程(上海)股份有限公司合成,正向引物为5′-TCTA- GAGCGGCCGCGGATCCGCCACCATGGCCGATGCT- AAGAACATTA-3′;反向引物为5′-ACTTAAGCTTG- GTACCGATCACACGGCGATCTTGCCGCCTTTC-3′。采用PCR法扩增Fluc目的片段,反应条件如下:95 ℃变性5 min;94 ℃ 20 s、55 ℃ 20 s、72 ℃ 90 s,共27个循环;72 ℃延伸10 min。PCR产物经1%琼脂糖凝胶电泳鉴定片段大小。
由于pHBLV-CMV-MCS-EF1-RFP-puro载体中已含有EF1启动子调控的RFP基因,故只需将Fluc目的片段插入MCS区,由CMV启动子调控表达。将慢病毒载体用BamHⅠ酶切并凝胶回收目的片段。使用HB-infusionTM无缝克隆试剂盒连接扩增产物和回收载体片段,反应体系为线性化载体15 ng、PCR产物50 ng、2×HB-infusionTM Master mix 10 μl,最终加超纯水至20 μl。通过反应体系中DNA外切酶、DNA聚合酶以及连接酶在50 ℃反应20 min完成定向克隆,然后转化大肠杆菌菌株DH5α,挑选抗性亚克隆,37 ℃ 250 r/min摇菌14 h,再取菌液进行PCR鉴定,并通过基因测序鉴定序列。构建好的慢病毒载体记作pHBLV-Fluc-RFP。
使用慢病毒穿梭质粒及其辅助包装原件载体质粒(pSPAX2、pMD2G和pHBLV-Fluc-RFP质粒)共转染293T细胞。293T细胞采用含体积分数为10%胎牛血清的DMEM培养基,于37 ℃、5%CO2细胞培养箱中稳定传代培养,取对数生长期细胞进行处理。转染前1天将293T细胞接种至100 mm培养皿中,每皿加入10 ml培养基,采用适宜密度接种使次日转染前细胞生长至融合率为70%~80%;将pSPAX2 10 μg、pMD2G 5 μg、pHBLV-Fluc-RFP 10 μg与LipoFiterTM转染试剂75 μl混匀后加至293T细胞中,摇匀后放入细胞培养箱中培养6 h;更换为含体积分数为10%胎牛血清的新鲜DMEM完全培养基继续培养72 h,收集富含慢病毒颗粒的细胞上清液,4 ℃、2 000×g离心10 min去除细胞碎片;收集病毒上清液于超速离心管中,4 ℃、82 700×g离心120 min,得到高滴度的慢病毒超离液。使用滴度检测法测定慢病毒超离液的滴度。


H1975细胞系使用含体积分数为10%胎牛血清的RPMI-1640培养基培养;A549和K562细胞系使用含体积分数为10%胎牛血清的DMEM培养基培养。细胞于37 ℃、5%CO2细胞培养箱中稳定传代培养,取对数生长期的A549、H1975和K562细胞接种于6孔板中,每孔加入2 ml培养基,采用适宜密度接种使得第2天细胞的融合率在60%左右,从而利于慢病毒感染。由于不同细胞的最适感染复数值有所不同,故在感染时设计了不同的感染复数梯度。每孔添加助感染试剂聚凝胺,使其终质量浓度为7 μg/ml。待病毒感染后细胞的密度达90%时,将细胞传至100 mm培养皿中培养,采用荧光显微镜观察RFP的表达情况,判断病毒感染细胞的效率,并选择感染效率高且细胞状态好的感染复数梯度进行后续实验。使用对应细胞的最低嘌呤霉素浓度处理48 h,再更换为新鲜的含嘌呤霉素的培养基继续处理(经实验测得杀死A549、H1975和K562野生型细胞的最低嘌呤霉素质量浓度分别为2.0、1.0、0.5 μg/ml)。重复筛选3次后得到稳定感染的细胞。待稳定感染的细胞长满后按1∶3的比例传代,待传代后的细胞长满,分别采用荧光显微镜和实时荧光定量PCR检测稳定感染细胞中RFP和Fluc基因的表达情况,并进行亚克隆,挑选单个生长的细胞扩增培养并冻存。
采用SPSS22.0统计学软件处理数据,符合正态分布的计量资料以均值±标准差(
±s)表示,组间数据比较采用t检验,以P<0.05为差异具有统计学意义。
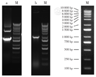
将Fluc片段克隆至载体pHBLV-CMV-MCS-EF1-RFP-puro的唯一克隆位点(载体结构如图1),再通过PCR法克隆获得Fluc片段,琼脂糖凝胶电泳结果显示,PCR产物约1 700 bp,与目的片段大小相符(图2)。将pHBLV-Fluc-RFP慢病毒载体转化入大肠杆菌菌株DH5α中,挑选抗性克隆,提取目的质粒,再采用PCR鉴定阳性克隆,获得了预期大小(1 700 bp)的Fluc基因扩增条带(图2)。将阳性克隆进一步进行测序鉴定,结果显示目的基因Fluc已正确插入慢病毒载体中,无碱基突变和丢失现象。


LTR—长末端重复序列;HIV-1ψ—包装信号ψ;RFP—红色荧光蛋白;Fluc—萤火虫荧光素酶;Puro—嘌呤霉素


a—Fluc克隆片段PCR产物;b—克隆慢病毒载体上Fluc的PCR产物;M—DNA Marker;Fluc—萤火虫荧光素酶;RFP—红色荧光蛋白
使用pSPAX2、pMD2G和pHBLV-Fluc-RFP 3种质粒载体共转染293T细胞,72 h后收集病毒上清,并超速离心浓缩病毒上清。采用滴度检测法测定慢病毒超离液的滴度,做3倍梯度稀释共6个稀释度感染293T细胞,于倒置显微镜下观察细胞的生长情况,以细胞百分比在10%~30%培养孔的病毒稀释倍数计算病毒滴度。其中,细胞百分比为10%培养孔的病毒稀释倍数为30倍(图3),应用公式计算可得本研究包装病毒的最终滴度达1×108 TU/ml,表明该293T细胞产生的病毒上清可高效感染肺癌细胞。


使用慢病毒超离液分别按不同的感染复数直接感染A549和H1975两种肺癌细胞系以及人B细胞淋巴瘤细胞系K562,转染24 h后,荧光显微镜观察结果显示,感染复数分别为8(A549和H1975细胞)和20(K562细胞)时,荧光显微镜下可见红色荧光,且红色荧光分布较均匀,感染效率均在70%以上。因此,选取对应的感染复数进行后续实验。3种细胞分别添加含有对应最低嘌呤霉素质量浓度的培养基进行筛选,筛选3次后获得稳定感染的细胞,即A549-RFP-Fluc、H1975-RFP-Fluc和K562-RFP-Fluc。荧光显微镜下可观测到3种稳定感染细胞中均有红色荧光,表明其均可稳定表达RFP(图4)。使用实时定量PCR检测稳定感染细胞中Fluc基因的表达,结果显示,3种稳定感染细胞与对应的野生型细胞中均能检测到Fluc基因,由于导入的Fluc属于外源基因,因此引物序列与野生型细胞基因组的其他基因可能会痕量出现非特异结合,另外不排除野生型细胞存在极低水平的Fluc。总体而言3种稳定感染细胞中Fluc基因的相对表达量远远高于对应的野生型细胞,其差异均具有统计学意义(均P<0.05)(图5)。


红色荧光示红色荧光蛋白;RFP—红色荧光蛋白;Fluc—萤火虫荧光素酶


RFP—红色荧光蛋白;Fluc—萤火虫荧光素酶。与对应的野生型细胞比较,aP<0.05
近年来,随着荧光标记技术和光学成像技术的发展,在体生物光学成像技术已发展成为一项崭新的分子、基因表达分析检测技术,在生命科学、医学研究及药物研发等领域得到了广泛应用。在体生物光学成像主要分为在体生物发光成像(bioluminescence imaging)和在体荧光成像(fluorescence imaging)两种成像方式。在体生物发光成像采用荧光素酶基因标记细胞或DNA,而在体荧光成像则采用荧光报告基团如荧光蛋白等进行标记,通过光学检测仪器可十分方便地监测肿瘤的生长和转移、基因治疗中的基因表达、机体的生理病理改变过程以及进行药物的筛选和评价等。两者区别在于荧光素酶标记的细胞检测时需添加荧光素,可快速、无创地进行活体检测,具有较高的灵敏性、特异性和组织穿透能力,适用于体内成像;而荧光蛋白是自发荧光,经激发光源在荧光显微镜下容易检测到,其体内成像受生物体的皮肤、毛发等组织的干扰,更适于进行体外研究[13,14]。目前,在体生物光学成像技术多单纯采用荧光蛋白或荧光素酶基因标记细胞,而未将两种方法优势互补。双标记法可结合两种方法的优点,实现优势互补,极大方便体内外的免疫治疗监测研究。
本研究在单色荧光素酶标记的基础上增加了RFP形成双荧光标记,将生物发光和荧光成像的优点融合在一起,在实际应用中更具有优势。值得一提的是,目前同类研究多采用绿色荧光蛋白标记细胞,本研究选择RFP标记为基于绿色荧光蛋白的研究提供了一个难得的互补模型。RFP的发射波长较长,在紫外线照射下可发射红色荧光,其最大吸收波长为558 nm,最大发射波长为583 nm;采用流式细胞术检测需配置相应的检测波长,而在普通荧光显微镜线下更易于实施监测。RFP的灵敏度与信噪比均较绿色荧光蛋白高,但荧光强度较绿色荧光蛋白略低。双荧光标记不仅为实体瘤研究增加了荧光检测标识,还能对血液中的循环肿瘤细胞起到示踪作用。本研究采用慢病毒载体进行基因转染细胞,慢病毒载体是一种高效的表达载体,可将外源基因整合至细胞基因组中,使外源基因的表达更稳定、高效和永久[15,16],从而获得稳定表达的细胞系。
综上所述,本研究通过慢病毒感染获得了稳定表达RFP和Fluc的人肺癌细胞系,为建立人肺癌裸鼠移植瘤模型奠定了基础,也为今后的肺癌临床前研究提供了重要模型,特别是为开展循环肺癌细胞等实体肿瘤的循环细胞检测奠定了基础。同时本研究还获得了RFP和Fluc双表达K562细胞,不仅适于用作肺癌研究的对照细胞,还为白血病的治疗研究提供了肿瘤模型。
无





















