
利用自折叠肽人软骨寡聚基质蛋白(COMP48)改造CD47纳米抗体,以提高其与CD47抗原的亲和力。
设计和合成COMP48与CD47纳米抗体(VHHB1)DNA的融合序列,构建重组质粒pET22b-VHHB1-COMP48,并将其转化至大肠杆菌BL21(DE3)中,诱导表达融合蛋白。采用蛋白质印迹法、间接酶联免疫吸附测定(ELISA)和非竞争ELISA法检测融合蛋白和抗原CD47的结合特异性和亲和力。
采用1 mmol/L异丙基-β-D-硫代半乳糖苷诱导得到重组蛋白VHHB1-COMP48,经固定化金属离子亲和层析纯化后得到纯度为90%的重组蛋白。蛋白质印迹结果显示,重组蛋白VHHB1-COMP48可特异性结合抗原CD47,但不结合无关蛋白。间接ELISA和非竞争ELISA结果显示,偶联COMP48的纳米抗体VHHB1-COMP48与未偶联的纳米抗体VHHB1相比亲和力增加,差异具有统计学意义(P<0.01)。通过非竞争ELISA测得融合COMP48的纳米抗体的结合常数为6.97×107 L/mol,解离常数为1.434×10-8 mol/L。
在纳米抗体后偶联COMP48可提高纳米抗体与抗原的亲和力。
版权归中华医学会所有。
未经授权,不得转载、摘编本刊文章,不得使用本刊的版式设计。
除非特别声明,本刊刊出的所有文章不代表中华医学会和本刊编委会的观点。
目前抗体药物治疗已成为重要的医学治疗手段,其中单克隆抗体已成为医学诊断、检测及分子生物学中检测试剂方面的重要工具。迄今为止,美国食品药品监督管理局已批准50多种单克隆抗体用于自身免疫病、肿瘤等多种疾病的治疗[1,2,3]。1975年单克隆抗体技术被发现,其通过免疫哺乳动物使之产生能分泌特异性抗体的浆细胞,并与骨髓瘤细胞进行细胞融合,经筛选获得所需的融合细胞株,进而大规模培养获得单克隆抗体;该法克服了传统单克隆抗体制备过程耗时长、制备困难、成本高而不利于大规模生产的缺点[4]。但单克隆抗体自身在治疗方面也存在不足,首先其相对分子质量大,在组织渗透和肿瘤渗入能力方面欠佳;其次其含有Fc段,可引起免疫反应故不能长期使用。
1989年,比利时免疫学家Hamers-Casterman在骆驼血清中发现了1种天然缺失轻链的重链抗体(HcAbs),克隆其可变区得到只由1个重链可变区组成的单域抗体,相对分子质量约15 ku,仅为常规抗体的1/10左右,被称为纳米抗体[5]。由于纳米抗体天然缺失轻链,不具有常规抗体的Fc段,故能避免Fc段所引起的补体反应,此外还具有溶解性高、免疫原性低、组织穿透能力强,以及能在原核表达系统中大量获得、制备简单、成本低等一系列优点。但其在体内的半衰期短,且亲和力与单克隆抗体相比还存在很大差异。
CD47又被称为整合素相关蛋白,是一个5次跨膜蛋白,属于免疫球蛋白超家族成员。CD47作为最重要的"自我"识别分子表达于大多数细胞表面。其在免疫识别尤其是固有免疫识别中发挥着关键作用,被认为是调节固有免疫的检验点分子。近年来发现CD47在大多数肿瘤中过表达,是肿瘤逃避免疫攻击的机制之一。笔者所在课题组前期已成功筛选出抗CD47的纳米抗体,但其与抗原CD47的亲和力不足而无法得以应用,故如何提高纳米抗体的亲和力显得尤为重要。国内外研究者已从多方面开展研究以期能解决该问题,如增加抗体库的多样性、提高抗体库的质量以及通过点突变有目的地对抗体进行氨基酸替换等,均在不同程度上提高了抗体的亲和力[6]。作为一种先进的抗体库构建技术,噬菌体展示技术能结合多种技术手段,于体外实现抗体的亲和成熟,从而获得高亲和力的抗体。
软骨寡聚基质蛋白(cartilage oligomeric matrix protein,COMP)是一种细胞外基质蛋白[7],可形成一个由平行的链间二硫键形成的寡聚化结构域的晶体结构[8]。此外,COMP的卷曲螺旋结构域可形成两个内部疏水孔隙用于维生素D和其他疏水性化合物的储存和释放[9]。
本研究通过在纳米抗体后偶联一段人软骨寡聚基质蛋白(COMP48)使纳米抗体形成多价形式,利用原核表达系统对纳米抗体多聚体进行表达和正确折叠,并对多聚化抗体的结合特异性和结合活性进行评价,以期为提高纳米抗体的亲和力提供新的方法和思路。
包含CD47纳米抗体VHHB1的大肠杆菌菌种DH5α-pET22b-VHHB1,由笔者所在实验室保存,pET22b-VHHB1-COMP48质粒由上海捷瑞生物工程有限公司合成并克隆于XL10-Gold细胞中。BL21(DE3)感受态细胞(北京全式金生物技术有限公司),Xho Ⅰ、Nco Ⅰ[宝生物工程(大连)有限公司],质粒小提试剂盒(美国Omega公司),Ni Sepharose 6 Fast Flow(美国GE公司),异丙基-β-D-硫代半乳糖苷(isopropyl-β-D-thiogalactoside, IPTG)(美国Promega公司),蛋白胨、酵母粉(美国Sigma公司),小鼠抗人CD47单克隆抗体(B6H12)(美国BD公司),辣根过氧化物酶(horseradish peroxidase, HRP)标记的山羊抗小鼠IgG抗体(北京康为世纪生物科技有限公司),抗c-Myc标签小鼠单克隆抗体(美国Cell Signaling Technology公司)。
NanoDrop® ND-1000核酸定量仪、Sorvall Legend Micro17微量离心机、Sorvall LYNX6000离心机(美国Thermo Fisher Scientific公司),ELx808全自动酶标仪(美国BioTek仪器有限公司),GelDocTM XR+凝胶成像系统(美国Bio-Rad公司),LAS-4000显影仪(美国GE公司)。
在NCBI数据库中查找Coiled-coil domain of human COMP(D29-Q76, COMP48)DNA序列(GAC- CTGGGCCCGCAGATGCTTCGGGAACTGCAGGAAA- CCAACGCGGCGCTGC AGGACGTGCGGGAGCTGC- TGCGGCAGCAGGTCAGGGAGATCACGTTCCTGAA- AAACACGGTGATGGAGTGTGACGCGTGCGGGATG-CAGCAG),将该序列与纳米抗体VHHB1序列之间通过Linker序列(GGTCCAGGTGGC GGTAGCGGC- GGTGGCGGAAGC)连接。根据pET22b质粒多克隆位点选择Nco Ⅰ(CCATGG)和Xho Ⅰ(CTCGAG)作为克隆酶切位点,并在3'末端添加c-Myc标签便于后续检测。由上海捷瑞生物工程有限公司合成序列并构建pET22b-VHHB1-COMP48表达载体,转化入大肠杆菌DH5α感受态中,涂板过夜培养。挑取转化的阳性单克隆提取质粒,用Nco Ⅰ和Xho Ⅰ对质粒进行酶切并进行基因测序鉴定。
将测序正确的重组质粒转化至BL21(DE3)感受态细胞中,37 ℃培养过夜。次日挑取单克隆按1%(体积分数)接菌至10 ml含终质量浓度为50 μg/ml氨苄霉素的LB培养基中,37 ℃、220 r/min振荡培养4 h至菌液的A600值为0.6。加IPTG使其终浓度为1 mmol/L,30 ℃、150 r/min诱导过夜。取样,采用十二烷基硫酸钠-聚丙烯酰胺凝胶电泳(SDS-PAGE)检测蛋白的表达。鉴于前期笔者所在课题组已研究证明重组蛋白VHHB1可与CD47特异结合,故大量培养和诱导BL21-pET22b-VHHB1-COMP48,超声破碎细胞后用镍亲和层析柱亲和纯化,获得纯化的VHHB1-COMP48蛋白。
先将重组抗原CD47蛋白和阴性抗原蛋白促卵泡激素受体(follicle-stimulating hormone receptor, FSHR)同时进行SDS-PAGE,电泳结束后转膜。再以抗CD47的纳米抗体VHHB1-COMP48(20 μg/ml)为一抗,抗c-Myc标签小鼠单克隆抗体(1∶1 000稀释)为二抗,HRP标记的山羊抗小鼠IgG抗体(1∶2 000稀释)为三抗进行蛋白质印迹实验(Western Blot)。
提前1 d将重组抗原CD47用包被缓冲液稀释至2.0 μg/ml,加入96孔板中进行包被;次日,吸去包被缓冲液,含体积分数为0.05%吐温20的磷酸盐缓冲液(phosphate buffered saline,PBS)洗板2次,再用质量浓度为50 g/L的脱脂奶粉37 ℃封闭2 h;加入一抗,用质量浓度为30 g/L的脱脂奶粉稀释重组纳米抗体VHHB1-COMP48为10 μg/ml,阳性对照组一抗为小鼠抗人CD47单克隆抗体(B6H12)(1∶2 000稀释),阴性对照组采用牛血清白蛋白包被,一抗为10 μg/ml的纳米抗体VHHB1-COMP48,37 ℃孵育2 h;含体积分数为0.05%吐温20的PBS洗3~5次;加入二抗,用质量浓度为30 g/L的脱脂奶粉稀释抗c-Myc标签小鼠单克隆抗体(1∶2 000稀释),37 ℃孵育1 h;含体积分数为0.05%吐温20的PBS洗5次;加入三抗HRP标记的山羊抗小鼠IgG抗体(1∶2 000稀释),37 ℃孵育1 h;含体积分数为0.05%吐温20的PBS洗5次,1×PBS洗3次;加入10 ml新配制的3,3',5,5'-四甲基联苯胺显色液,每孔加入100 μl,室温避光显色10~15 min;每孔加入50 μl终止液,终止反应,酶标仪检测各孔于450 nm处的吸光度(A450)值。
用包被缓冲液将重组抗原CD47稀释至质量浓度分别为5.0 μg/ml和0.5 μg/ml,于96孔板中包被过夜。将一抗VHHB1-COMP48纳米抗体进行倍比稀释;二抗为抗c-Myc标签小鼠单克隆抗体,按1∶2 000稀释;三抗为HRP标记的山羊抗小鼠IgG抗体,按1∶2 000稀释。最后显色终止,测定A450值,按以下公式计算纳米抗体VHHB1-COMP48的结合常数Ka和解离常数Kd
Ka=(n-1)/2(n[Ab']-[Ab])
n=[Ag']/[Ag]
Kd=1/Ka
式中:[Ag']和[Ag]均为抗原包被质量浓度,[Ab']和[Ab]分别为当抗原包被质量浓度分别为[Ag']及[Ag]时,其半数吸光度值所对应的纳米抗体浓度。
采用Graphpad Prism 5.0统计学软件处理数据,符合正态分布的计量资料以均值±标准差(Mean±SD)表示,两组间均值比较采取独立样本t检验,多组间均值比较采用单因素方差分析,以P<0.05为差异具有统计学意义。
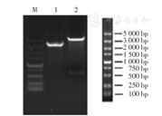
将重组质粒pET22b-VHHB1-COMP48转化入大肠杆菌DH5α感受态中,挑取转化的阳性单克隆提取质粒,并用NcoⅠ和XhoⅠ对pET22b-VHHB1-COMP48进行双酶切,电泳结果见图1,酶切产物大小正确,表明重组质粒构建成功。


M—DNA相对分子质量标准(5 000 bp);1—重组质粒pET22b- VHHB1-COMP48酶切前;2—重组质粒pET22b-VHHB1-COMP48经NcoⅠ和XhoⅠ双酶切后;COMP48—人软骨寡聚基质蛋白的一段具有螺旋卷曲结构的48肽
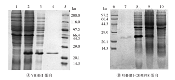
将重组质粒pET22b-VHHB1-COMP48转化入大肠杆菌BL21感受态中,挑取转化的阳性单克隆提取质粒,并进行基因测序鉴定,结果显示序列正确。将阳性克隆重组子小量扩增后,用1 mmol/L的IPTG诱导,得到相对分子质量为25 ku的重组蛋白,蛋白大小与预期相符。为获得更多的重组蛋白,进一步大量诱导菌体,超声破碎后发现重组蛋白以包涵体形式表达;将沉淀透析复性,经镍亲和层析柱纯化后,重组蛋白纯度达90%以上(图2)。


1—未加IPTG诱导的VHHB1粗蛋白;2—加IPTG诱导的VHHB1粗蛋白;3—VHHB1诱导后总蛋白的超声后上清;4—VHHB1诱导后总蛋白超声后镍柱纯化;5—蛋白相对分子质量标准(6.5~200.0 ku);6—蛋白相对分子质量标准(14.3~97.2 ku);7—VHHB1-COMP48诱导后总蛋白超声后镍柱纯化;8—VHHB1-COMP48诱导后总蛋白的超声后沉淀;9—加IPTG诱导的VHHB1-COMP48粗蛋白;10—未加IPTG诱导的VHHB1-COMP48粗蛋白;COMP48—人软骨寡聚基质蛋白的一段具有螺旋卷曲结构的48肽;IPTG—异丙基-β-D-硫代半乳糖苷
通过Western Blot验证重组蛋白VHHB1-COMP48与CD47原核表达蛋白的结合能力。结果如图3所示,纯化的抗CD47的纳米抗体VHHB1-COMP48可与抗原CD47蛋白特异结合,而与无关抗原FSHR不结合;图中21 ku处有单一的条带,表明纯化的VHHB1-COMP48蛋白与抗原CD47具有很好的结合能力。


1—促卵泡激素受体(无关抗原);2—CD47抗原;M—预染蛋白相对分子质量标准;COMP48—人软骨寡聚基质蛋白的一段具有螺旋卷曲结构的48肽
通过酶联免疫吸附测定(enzyme linked immuno- sorbent assay,ELISA)法验证纳米抗体VHHB1-COMP48与抗原CD47的亲和力。抗原CD47的包被质量浓度为10.0 μg/ml,一抗为纯化后的VHHB1-COMP48和VHHB1(10 μg/ml),阳性对照组一抗为小鼠抗人CD47单克隆抗体(B6H12)(1∶2 000稀释),阴性对照组采用牛血清白蛋白包被,一抗为VHHB1-COMP48(10 μg/ml);二抗为抗c-Myc标签小鼠单克隆抗体(1∶2 000稀释);三抗为HRP标记的山羊抗小鼠IgG抗体(1∶2 000稀释)。根据A450值来评估抗体的结合能力,结果显示:纳米抗体VHHB1-COMP48与抗原CD47有结合,与纳米抗体VHHB1相比亲和力增加,差异具有统计学意义(P<0.01)(图4A)。因此,本研究进一步验证纳米抗体VHHB1-COMP48的亲和力。将VHHB1-COMP48稀释为10.000、8.000、5.000、2.500、0.625 μg/ml,抗原CD47的质量浓度为2.0 μg/ml,阴性对照组抗原为牛血清白蛋白,阳性对照组一抗为小鼠抗人CD47单克隆抗体(B6H12)。结果显示,纳米抗体VHHB1-COMP48与抗原CD47的结合具有浓度依赖性,随着抗体质量浓度的降低,抗体与抗原的结合能力逐渐减弱,但与VHHB1相比差异仍具有统计学意义(P<0.01);VHHB1-COMP48与抗原CD47的结合活性与小鼠抗人CD47单克隆抗体(B6H12)相比,差异也具有统计学意义(P<0.05)(图4B)。


COMP48—人软骨寡聚基质蛋白的一段具有螺旋卷曲结构的48肽;BSA—牛血清白蛋白。阳性对照组一抗为小鼠抗人CD47单克隆抗体(B6H12),阴性对照组采用牛血清白蛋白包被,一抗为VHHB1-COMP48。与VHHB1组比较,aP<0.01;与阳性对照组比较,bP<0.05
利用非竞争ELISA法测定纳米抗体的亲和力,以抗体的质量浓度为横坐标,A450值为纵坐标,在同一坐标轴中绘制不同抗原质量浓度下的A值变化曲线。当A=1/2 Amax时,如图5所示,纳米抗体VHHB1-COMP48的两条曲线分别对应抗原的两个质量浓度0.5 μg/ml和5.0 μg/ml,纳米抗体VHHB1的两条曲线分别对应抗原的两个质量浓度1.0 μg/ml和2.0 μg/ml。根据公式计算得出纳米抗体VHHB1-COMP48的Ka=0.633 8 ml/μg,由于VHHB1-COMP48的相对分子质量为110 ku,则VHHB1-COMP48的Ka=0.633 8×110 000=6.97×107 L/mol,Kd=1/Ka=1.434×10-8 mol/L;同理,纳米抗体VHHB1的Ka=1.428 5 ml/μg,由于VHHB1的相对分子质量为23 ku,则VHHB1的Ka=1.428 5×23 000=3.28×107 L/mol,Kd=1/Ka=3.000×10-8 mol/L。


COMP48—人软骨寡聚基质蛋白的一段具有螺旋卷曲结构的48肽
纳米抗体的独特优点使其在多个领域均有应用,其相对分子质量仅为单克隆抗体的1/10左右,能结合单克隆抗体所不能结合的表位,已成为较好的疾病诊断、治疗和检测制剂[10]。但其单域属性和仅具有单价抗原结合位的特点,致使通过噬菌体展示技术获得的纳米抗体亲和力与常规抗体相比有所不足。为提高纳米抗体的亲和力,本研究对VHH噬菌体展示文库筛选得到的一株纳米抗体VHHB1偶联COMP48,使纳米抗体能多聚化以提高纳米抗体的亲和力。结果显示:偶联COMP48的纳米抗体与未偶联的纳米抗体相比,亲和力提高了2.1倍,表明利用该策略提高纳米抗体的亲和力是可行的。
抗体的亲和力是抗体应用的一个重要指标。从噬菌体展示文库和人工合成的文库中筛选获得的抗体,常因亲和力不足而无法得以应用。因此,采用各种手段提高亲和力显得十分必要。目前,提高亲和力的方法主要有:①利用错配PCR和单链重叠延伸法对重链可变区进行随机突变,进而筛选出高亲和力的抗体。②基于三维结构改变对抗体进行亲和力成熟,理想状态下高精度的复合物晶体结构能更直观地显示抗原与抗体间的相互作用,进而选择突变方法和突变位点进行亲和力改造。③为使抗体的亲和力成熟达到最佳效果,可根据抗体特性采用多种突变策略组合,基于不同原理的突变策略组合可对基因工程抗体的亲和力成熟产生协同增强效应。Luginbühl等[11]对一朊病毒线性多肽抗体使用易错PCR和DNA重组相结合的突变策略,采用核糖体展示技术成功将抗体亲和力提升至1 pmol/L,晶体结构显示抗体轻链39位上Asn突变为Asp以及重链107位上Gly突变为Ala后为亲和力提升提供了新的离子键和疏水作用。此外,Zhang等[12]对单链抗体进行五聚化,使其与固定抗原的结合能力提高了103~104倍。Zhu等[13]将从骆驼天然文库中筛选得到的单链抗体与COMP48偶联后形成多价形式,亲和力提高了105倍。而本研究中纳米抗体VHHB1融合COMP48蛋白后亲和力的提高与文献报道的相比仍存在差距,可能是由于大肠杆菌自身条件的限制,所产生的蛋白大多数以包涵体形式存在[14]。本研究中在不同诱导条件下,融合蛋白VHHB1-COMP48始终是以可溶性形式和包涵体形式对半表达,故通过纯化上清得到的蛋白含量较少,而Zhu等[13]构建的五聚化融合蛋白表达形式为可溶性表达,表达量高。此外,由于大肠杆菌缺乏对蛋白进行糖基化的能力,不利于VHHB1-COMP48蛋白之间形成正确的二硫键,因此得到的VHHB1-COMP48蛋白多聚体可能未正常装配。下一步应选择更好的纳米抗体表达系统,使多聚化的纳米抗体能正确装配且以可溶性形式大量表达,进而使纯化上清得到的蛋白含量增加,获得亲和力更高的纳米抗体。
本研究通过在纳米抗体后偶联COMP48,在相同抗原质量浓度条件下提高了纳米抗体与抗原的结合力,亲和力也较未偶联COMP48的纳米抗体有所提高,这为今后提高纳米抗体的体外亲和力提供了新的方法和思路。
所有作者均声明不存在利益冲突





















