
初步评价胶原蛋白缝线(CS)和胶原蛋白生物膜(CB)的生物相容性。
通过热原实验判断CS和CB中所含热原量是否符合人体要求;分别采用皮肤和皮内刺激实验评价CS和CB对皮肤是否具有刺激作用;通过溶血实验评价CS和CB是否具有溶血作用;通过肌肉埋植实验评价CS和CB植入兔肌肉组织后的刺激和毒性反应。
热原实验结果显示每组兔的体温升温值均低于0.6 ℃,且体温升温总和均低于1.4 ℃,表明CS和CB符合热原检查要求,热原实验合格;CS和CB的皮肤和皮内刺激实验结果均为阴性,表明两种材料对皮肤无刺激作用;CS和CB的溶血率分别为2.943%和4.127%(均<5%),表明这两种材料不会引起溶血反应;CS和CB埋植于兔肌肉组织后,肌肉组织耐受性良好,组织反应不严重,且随着时间的推移组织反应逐渐减轻。
CS和CB具有良好的生物相容性。
版权归中华医学会所有。
未经授权,不得转载、摘编本刊文章,不得使用本刊的版式设计。
除非特别声明,本刊刊出的所有文章不代表中华医学会和本刊编委会的观点。
20世纪50年代初,研究者发现胶原蛋白的基本结构为螺旋形结构[1]。胶原蛋白是哺乳动物体内最丰富的蛋白质(约占蛋白质总量的30%)[2],也是含量丰富的细胞外基质蛋白[3],已成为一种比较理想的天然高分子材料[4]。人体不同部位的特殊细胞可合成胶原蛋白,如成纤维细胞负责结缔组织中胶原的产生,成骨细胞负责骨骼中胶原的产生[5]。胶原具有相对较低的免疫原性和生物降解性,故成为生物材料的天然选择[6]。同时作为细胞外基质成分,胶原被视为身体的内源性成分,有利于细胞的黏附、运动、增殖和分化[7]。因此,胶原在食品、化妆品和制药行业中有着广泛的应用[8]。
早在2 000多年前,早期的外科医生就已使用胶原蛋白为基础的材料来闭合伤口和进行重建手术[9]。近50年来,随着强化清洁和杀菌技术的发展,胶原蛋白作为医疗产品才得以进入医学工作者的视野[10]。目前以胶原蛋白为原料的医疗产品有缝线、生物膜、皮肤创面敷料、真皮支架、化妆品等。
胶原蛋白缝线(collagen suture,CS)是以海狸鼠尾为原料,抽取尾部肌腱,经酶处理、交联、抛光等工艺制备而成,其主要成分为胶原蛋白。CS可将对合的伤口边缘重新闭合,直至伤口愈合至足以承受正常张力为止,最终被体内的酶消化[11]。
胶原蛋白生物膜(collagen biofilm,CB)以牛跟腱为原料,疏密双层,经特异性蛋白酶去除末端抗原肽,大大降低了免疫原性,提高了生物相容性,并保留了Ⅰ型胶原特有的三股螺旋结构,再经化学交联、冷冻干燥等工艺制备而成。CB在慢性创伤的治疗中发挥了重要作用,约有78.2%的慢性创伤使用CB[12]。有文献报道胶原类创面敷料也已用于烧伤和糖尿病足溃疡等创伤的愈合,其作用原理并非替代或促进人胶原蛋白的形成,而是作为创伤与环境之间具有生物相容性的屏障[13]。
本研究旨在评价CS和CB的生物相容性,为其后续临床应用提供一定的理论依据。
CS和CB(福建吉特瑞生物科技有限公司),氯化钠注射液、甲醛(国药集团化学试剂有限公司),草酸钠(上海阿拉丁生化科技股份有限公司),苏木精-伊红染液(北京益利精细化学品有限公司)。
DHP-9012恒温水浴锅(上海一恒科学仪器有限公司),TS-200B恒温振荡器(哈尔滨市东联电子技术开发有限公司),NanoDrop One超微量紫外分光光度计(美国Thermo Fisher Scientific公司),Bio Ⅱ Advance 4生物安全柜(西班牙Telstar公司),CX33光学显微镜(日本Olympus公司)。
健康普通级雄性成年大白兔24只,体质量范围2.0~2.5 kg,购于北京富龙腾飞实验动物研究所,许可证号SCXK(京)2018-0009。所有实验动物均饲养于中国医学科学院医学实验动物研究所北方中心慢病实验室兔房,饲养温度为18~24 ℃,相对湿度为40%~70%,自然光照,自由进食饮水。动物饲养实验方案已通过中国医学科学院医学实验动物研究所实验动物使用与管理委员会的审批,批准号为NHT18003。
按照GB/T 16886.12标准制备材料浸提液。分别将CS(浸提比例为1根/ml)和CB(浸提比例为6 cm2/ml)置于浸提介质(氯化钠注射液)中,37 ℃振荡(72±2) h,得到对应的浸提液。
取健康成年大白兔6只,每种材料3只。将兔置于固定器内,实验前30 min测体温2次,将肛门体温计插入兔肛门(深度约6 cm)测温,每只兔每次测温时间至少2 min,两次体温之差≤0.7 ℃即符合要求,以这两次体温的均值作为该兔的正常体温。于测定正常体温15 min内自兔耳缘静脉缓慢注射38 ℃预热的材料浸提液(1.0~2.0 ml/kg体质量),注射完毕后每隔1 h测体温1次,共测3次,以3次体温中的最高体温减去正常体温即为该兔的体温升温值。若3只兔中有1只兔的体温升温值≥0.6 ℃,或3只兔的体温升温总和≥1.4 ℃,则另取5只兔复试,方法同上。
取健康成年大白兔3只,背部斑贴区备皮。分别取0.5 ml CS浸提液、CB浸提液、体积分数为5%的甲醛(阳性对照)、氯化钠注射液(阴性对照)将纱布浸湿,斑贴于实验部位。兔背部左侧分别斑贴CS浸提液浸湿的纱布及阳性对照、阴性对照纱布;右侧分别斑贴CB浸提液浸湿的纱布及阳性对照、阴性对照纱布。斑贴4 h后去除纱布,并做好标记。去除后24、48、72 h观察皮肤反应,按表1进行评分。刺激反应总评定:0.0~0.4分为极轻微刺激;0.5~1.9分为轻度刺激;2.0~4.9分为中度刺激;5.0~8.0分为重度刺激。

皮肤刺激反应记分标准
皮肤刺激反应记分标准
| 红斑反应 | 记分 | 水肿反应 |
|---|---|---|
| 无红斑现象 | 0 | 无水肿现象 |
| 轻度红斑(勉强可见) | 1 | 轻度水肿(勉强可见皮肤增厚) |
| 明显红斑(淡红色) | 2 | 明显水肿(隆起而轮廓清楚) |
| 中度红斑(鲜红色) | 3 | 中度水肿(隆起1 mm) |
| 重度红斑(紫红色,形成轻微焦痂) | 4 | 重度水肿(隆起大于1 mm) |
选取健康成年大白兔1只,取新鲜兔血20 ml,加入质量浓度为20 g/L的草酸钾1 ml,制备新鲜抗凝兔血。取新鲜抗凝兔血8 ml,加入氯化钠注射液10 ml稀释备用。取CS浸提液、CB浸提液、蒸馏水(阳性对照)、氯化钠注射液(阴性对照)各10 ml于试管内,平行操作3份;将试管置于恒温水浴中37 ℃保温30 min,每管加入0.2 ml稀释的新鲜抗凝兔血,轻轻混匀,继续37 ℃水浴60 min;750×g离心5 min,吸取上清液入比色皿内,采用分光光度计检测545 nm处的吸光度值。计算各材料的溶血率,当阴性对照组的吸光度值<0.03,阳性对照组的吸光度值为0.8±0.3时实验有效;材料的溶血率≤5%时,表明材料不具有溶血作用。
选取健康成年大白兔3只,去除背部脊柱两侧约10 cm×5 cm面积的被毛。在每只兔的脊柱左侧去毛区前2个点皮内注射0.2 ml体积分数为5%的甲醛(阳性对照),中间2个点皮内注射0.2 ml CS浸提液,后2个点皮内注射0.2 ml氯化钠注射液(阴性对照);同一只兔脊柱右侧去毛区前2个点皮内注射0.2 ml体积分数为5%的甲醛(阳性对照),中间2个点皮内注射0.2 ml CB浸提液,后2个点皮内注射0.2 ml氯化钠注射液(阴性对照),相邻2个注射点间隔2 cm,平行注射3只兔。注射后24、48、72 h,观察注射局部及周围皮肤组织是否有红斑、水肿反应,按评分标准(表1)记分。
取健康成年大白兔24只,去除背部脊柱两侧约10 cm×20 cm面积的被毛。在兔脊柱两侧0.25 cm处等距离各选4个植入点,相邻2个植入点间隔2 cm。将载有样品(长1.0 cm,宽0.3 cm,边缘光滑)的穿刺针与表面皮肤呈45°角插入肌肉,当回抽穿刺针时,用细探针将样品留于肌肉中。兔脊柱一侧植入样品,另一侧植入对照品,以医用硅橡胶材料作为阳性对照。每种样品每个时间点平行埋植3只动物,植入完成后注射适量青链霉素防止感染,观察动物状态及样品植入点周围情况。
分别于植入后1、6、12、26周处死动物,取出脊柱两侧肌肉,切取包裹样品周围0.5~1.0 cm的肌肉组织,然后置于体积分数为10%的甲醛溶液中固定。肌肉组织标本经修整、包埋、切片等步骤后进行常规苏木精-伊红染色,于光学显微镜下观察,比较样品与对照品周围的组织反应。
采用GraphPad Prism 6统计学软件处理数据,符合正态分布的计量资料以均值±标准差(Mean±SD)表示,两组间比较采用 t检验,平行测量数据采用平行测量数据方差分析方法,以P<0.05为差异具有统计学意义。
由表2可知,分别注射CS和CB浸提液后,每组兔的体温升温值均低于0.6 ℃,且体温升温总和均低于1.4 ℃,提示这两种材料符合热原检查要求,热原实验合格。

兔耳缘静脉注射材料浸提液后的体温变化
兔耳缘静脉注射材料浸提液后的体温变化
| 组别 | 动物编号 | 注射前体温(℃) | 注射后体温(℃) | 体温升温值(℃) | 体温升温总和(℃) | ||||
|---|---|---|---|---|---|---|---|---|---|
| 第1次 | 第2次 | 正常体温 | 1 h | 2 h | 3 h | ||||
| 1 | 39.40 | 39.40 | 39.40 | 39.50 | 39.90 | 39.60 | 0.50 | ||
| 胶原蛋白缝线 | 2 | 38.90 | 38.60 | 38.75 | 38.80 | 39.10 | 39.00 | 0.35 | 0.90 |
| 3 | 39.50 | 39.60 | 39.55 | 39.50 | 39.50 | 39.60 | 0.05 | ||
| 4 | 39.10 | 39.20 | 39.15 | 39.20 | 38.70 | 38.60 | 0.05 | ||
| 胶原蛋白生物膜 | 5 | 38.60 | 38.70 | 38.65 | 38.50 | 38.50 | 38.90 | 0.25 | 0.35 |
| 6 | 39.10 | 39.00 | 39.05 | 38.40 | 39.10 | 39.10 | 0.05 | ||
分别将浸有CS和CB浸提液的纱布进行局部斑贴,去除贴敷物后24、48、72 h,观察可见贴敷部位均无红斑和水肿反应,按评分标准记分,结果显示CS和CB的刺激反应均为0分(表3),认为这两种材料的皮肤刺激实验合格。

兔局部斑贴材料浸提液浸润纱布后不同时间的皮肤刺激评分
兔局部斑贴材料浸提液浸润纱布后不同时间的皮肤刺激评分
| 组别 | 24 h | 48 h | 72 h | |||
|---|---|---|---|---|---|---|
| 红斑 | 水肿 | 红斑 | 水肿 | 红斑 | 水肿 | |
| 胶原蛋白缝线 | 0 | 0 | 0 | 0 | 0 | 0 |
| 胶原蛋白生物膜 | 0 | 0 | 0 | 0 | 0 | 0 |
| 阴性对照(氯化钠注射液) | 0 | 0 | 0 | 0 | 0 | 0 |
| 阳性对照(5%甲醛) | 1 | 2 | 1 | 1 | 1 | 0 |
由表4可知,阴性对照组的吸光度值为-0.079±0.006(<0.03),阳性对照组的吸光度值为0.948±0.012(在0.8±0.3范围内),表明实验有效。CS和CB的溶血率分别为2.943%和4.127%,均<5%,表明两者体外实验均无明显溶血反应。

材料的体外溶血实验结果
材料的体外溶血实验结果
| 组别 | 吸光度值 | 溶血率(%) | |||
|---|---|---|---|---|---|
| 1 | 2 | 3 | Mean±SD | ||
| 胶原蛋白缝线 | -0.040 | -0.020 | -0.068 | -0.043±0.024 | 2.943 |
| 胶原蛋白生物膜 | -0.017 | -0.028 | -0.047 | -0.030±0.015 | 4.127 |
| 阴性对照 | -0.085 | -0.080 | -0.073 | -0.079±0.006 | — |
| 阳性对照(蒸馏水) | 0.947 | 0.960 | 0.936 | 0.948±0.012 | — |
注:阴性对照为氯化钠注射液;"—"指无此项
兔皮内注射CS、CB浸提液后24、48、72 h,观察均未见皮肤出现明显红斑和水肿现象,与阴性对照组的注射部位相似,最终记分均<1.0,为无刺激,判断CS和CB这两种材料皮内刺激实验合格(表5)。72 h评分后,进一步计算得到动物原发性刺激记分及原发性刺激指数均为0,表明CS和CB对皮肤组织无刺激反应。

兔皮内注射材料浸提液后不同时间的皮内刺激记分
兔皮内注射材料浸提液后不同时间的皮内刺激记分
| 组别 | 24 h | 48 h | 72 h | |||
|---|---|---|---|---|---|---|
| 红斑 | 水肿 | 红斑 | 水肿 | 红斑 | 水肿 | |
| 胶原蛋白缝线 | 0 | 0 | 0 | 0 | 0 | 0 |
| 胶原蛋白生物膜 | 0 | 0 | 0 | 0 | 0 | 0 |
| 阴性对照(氯化钠注射液) | 0 | 0 | 0 | 0 | 0 | 0 |
| 阳性对照(5%甲醛) | 2 | 1 | 2 | 1 | 1 | 1 |
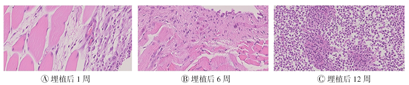
CS埋植后当天动物饮水和进食均正常,无感染。动物肌肉组织的苏木精-伊红染色结果显示,埋植后1周,靠近材料处的肌肉间质有炎症反应,可见淋巴细胞、异物巨细胞和炎症细胞浸润,肌肉纤维水肿增粗;埋植后6周,肌肉间质可见少量淋巴细胞,肌肉纤维恢复正常;埋植后12周和26周,肌肉间质均未见淋巴细胞,靠近材料处的肌肉纤维与正常肌肉纤维无差异(图1)。


CB埋植后当天动物饮水和进食均正常,无感染。动物肌肉组织的苏木精-伊红染色结果显示,埋植后1周,靠近材料处的肌肉间质有炎症反应,可见淋巴细胞、较多异物巨细胞和炎症细胞浸润,肌肉纤维水肿增粗;埋植后6周,肌肉间质可见较多淋巴细胞,肌肉纤维恢复正常;埋植后12周,肌肉间质可见少量异物巨细胞和淋巴细胞;埋植后26周,肌肉间质未见淋巴细胞和异物巨细胞,靠近材料处的肌肉纤维与正常肌肉纤维无差异(图2)。


阳性对照组医用硅橡胶材料埋植后10周起动物开始出现感染死亡,表现为肌肉溃烂、流脓。动物肌肉组织的苏木精-伊红染色染色结果显示,靠近材料处的肌肉间质始终存在大量的炎症细胞浸润,且随着时间的推移炎症细胞呈弥漫性浸润,炎症细胞数量增加(图3)。


在某些动物物种中,如蝾螈,其组织损伤后还能重新长出原始组织(如腿或尾巴)。而在许多哺乳动物物种中,伤口愈合会导致组织原有的形态和功能无法重建和修复,如疾病使哺乳动物的牙周组织缺失,却不能重新长出牙周组织,且修复反应还会形成瘢痕组织[14]。糖尿病患者和老年人的伤口愈合障碍更为严重[15]。机体可通过合成基质和重构细胞向创面迁移来恢复组织的形态和功能,但新合成的基质致密、功能失调、高度交联,表现为纤维化病变,从而影响了器官和组织[16]。因此,为减少创伤后修复产生的大量纤维化病变对患者器官和组织的影响,具有生物相容性的创伤后修复材料受到了医学界的高度重视。
致热原物质主要包括生物材料或人工器官在制备过程中可能残留的单体、细胞、辅助添加剂或内毒素等[17]。致热原物质在植入体内后可作用于靶细胞,促使机体产生热原,作用于下丘脑体温调节中枢,从而引起恒温动物体温上升[18]。本研究中分别注射CS和CB浸提液后,每组兔的体温升温值均低于0.6 ℃,且体温升温总和均低于1.4 ℃,故认为CS和CB符合热原检查要求,热原实验合格。
皮肤刺激实验和皮内刺激实验结果显示,CS和CB对兔皮肤均无刺激作用,这是由于这两种材料的原料均为动物源性胶原,与皮肤的亲和性好,因此刺激性小。体外溶血实验是鉴定血液相容性的最基本方法之一,若材料有溶血作用,则提示该材料可能具有细胞毒性。本研究结果显示,CS和CB的溶血率均<5%,符合GB/T 16886.11-2011/ISO 10993-11:2006规定的标准。本研究还通过肌肉埋植实验评价CS和CB埋植入兔肌肉后的刺激和毒性反应,结果显示这两种材料分别埋植入肌肉后,肌肉组织耐受性良好,组织反应不严重,且随时间的推移组织反应逐渐减轻。
生物相容性是生物材料研究中始终贯穿的主题,生物材料进入市场前均需进行大量的动物实验来证实其安全性和有效性[19]。本研究结果显示,CS和CB均无致热性,无皮肤刺激性,无溶血作用,对组织的刺激和毒性作用小,初步证实其具有良好的生物相容性。
所有作者均声明不存在利益冲突





















