
探讨光生物调节(PBM)联合脐带间充质干细胞移植对脊髓损伤大鼠运动功能恢复的作用。
以1.5、3、6、12 J/cm2的能量密度对间充质干细胞进行激光照射,在第3天用噻唑蓝(MTT)法确定增殖率最佳的能量密度。细胞移植前,用最佳的能量密度进行激光照射,将32只雄性SD大鼠随机分为脊髓损伤组、干细胞移植组、激光照射组和联合治疗组,每组8只。分别在造模后1、3、7、14、21 d进行BBB评分和斜板实验;在造模后21 d进行苏木精-伊红(HE)染色和尼氏(Nissl)染色。
能量密度为12 J/cm2的激光照射能够加速细胞增殖(P<0.05)。造模后,联合治疗组的BBB评分高于其他组(均P<0.05),运动功能恢复明显。斜板实验中,联合治疗组和激光照射组的表现也优于其他组。苏木精-伊红染色结果表明,联合治疗组空洞面积明显减少,炎性反应最轻;尼氏小体染色变深,脊髓损伤明显降低。
PBM能够促进脐带间充质干细胞移植后脊髓损伤大鼠运动功能恢复,对大鼠脊髓损伤有明显的治疗作用。本研究结论为脊髓损伤的治疗提供依据。
版权归中华医学会所有。
未经授权,不得转载、摘编本刊文章,不得使用本刊的版式设计。
除非特别声明,本刊刊出的所有文章不代表中华医学会和本刊编委会的观点。
脊髓损伤是由于脊髓局部受损,阻断上行和下行神经通路,导致的损伤平面以下的运动、感觉和自主神经功能部分或全部丧失。脊髓损伤机制包括原发性损伤和继发性损伤两种机制,其中继发性损伤更容易扩大脊髓损伤[1,2,3]。脊髓损伤后,持续性炎症、细胞凋亡、谷氨酸兴奋毒性、脂质过氧化和自由基产生,导致神经元和神经纤维的变性坏死,突触结构消失,使恢复变得困难。预防继发性损伤的方法可能通过保持神经组织存活来促进长期的恢复[4,5]。干细胞易于获得,增殖能力强且具有多向分化能力,可以进行自体异体移植[6,7],也可以进行异种移植[8,9]。干细胞能分泌包括神经生长因子、血管内皮生长因子等改善宿主的微环境[10,11,12],且移植后的干细胞部分分化为神经元,促进神经元的存活和轴突再生[13],是脊髓损伤治疗最有希望的策略之一。
光生物调节(photobiomodulation,PBM)是指通过激光照射引起生物内环境改变,激活线粒体呼吸链活化和线粒体回馈信号,增加活性氧、三磷酸腺苷和环磷酸腺苷等的产生,诱导细胞信号级联效应[14],对炎症[15]、神经损伤[16]、创伤愈合[17]等治疗效果显著。然而,在干细胞移植前用激光进行细胞照射,在干细胞移植后对干细胞移植部位继续进行照射的联合治疗报告比较少见。本研究中,采用PBM联合人脐带间充质干细胞(human umbilical cord mesenchymal stem cells,hUCMSCs)对脊髓损伤大鼠进行治疗,观察大鼠运动功能的恢复情况及对炎症反应的影响,探索脊髓损伤治疗的新方法。
健康清洁级3月龄雄性SD(Sprague Dawley)大鼠32只,体质量215~300 g,由中国医学科学院北京协和医学院放射医学研究所提供,许可证号为SYXK[津]2014-0002。本研究中,所有动物研究均经试验动物伦理委员会批准(批准文号IRM-DWLL-2018020)。磷酸盐缓冲液(phosphate buffered saline,PBS)、4%多聚甲醛(北京索莱宝科技有限公司),Nissl染色试剂盒(北京碧云天科技有限公司),DMEM培养基(美国Gibco公司),人类脐带来源的间充质干细胞(天津昂赛细胞基因工程有限公司)。
CKX41倒置相差显微镜(日本Olypus公司),Thermo Forma 371细胞培养箱、TG-1620台式高速离心机、Multiskan Sky全波长酶标仪(美国Thermo公司),635/808 nm双波长连续输出型半导体激光器(天津滨海华医光电技术有限公司)。
hUCMSCs在37 ℃、5% CO2培养箱中进行培养,待细胞融合至80%~90%进行传代。实验均使用3~8代细胞,每次实验均采用同一代细胞。
消化、离心收集细胞,并计数制备1×104/ml的细胞悬液,以每孔200 μl的水平接种于96孔板,每组6个复孔。使用635 nm波长的激光进行照射,激光器的输出功率为40 mW,光斑面积为2 cm2,能量密度分别为1.5 J/cm2(照射75 s)、3 J/cm2(照射150 s)、6 J/cm2(照射300 s)和12 J/cm2(照射600 s),参数见表1。每次使光束对4个孔自下而上进行照射,每天照射2次,连续照射3 d。照射结束后,每孔加入噻唑蓝(MTT)溶液20 μl,在37 ℃下避光孵育4 h,弃去原培养液,加入二甲基亚砜(Dimethyl sulfoxide,DMSO)150 μl,摇晃均匀后,用酶标仪在490 nm波长下进行吸光度(A)检测,并按照下列公式计算细胞增殖率。

辐照参数
辐照参数
| 实验类型 | 波长(nm) | 输出模式 | 输出功率(mW) | 照射面积(cm2) | 功率密度(mW/cm2) | 光斑形状 |
|---|---|---|---|---|---|---|
| 细胞实验 | 635 | 连续 | 40 | 2 | 20 | 圆形 |
| 动物实验 | 635 | 连续 | 100 | 2 | 50(10) | 圆形 |


以能量密度为12 J/cm2的激光照射细胞,连续照射3 d,每天2次。然后收集细胞,用生理盐水稀释为2×108~3×108个/ml,4 ℃下储存备用。实验大鼠按每100 g体质量用0.3 ml体积分数为10%的水合氯醛进行麻醉。常规备皮、消毒后,以T9节段为中心用手术刀纵行切开大鼠背部皮肤及皮下组织,咬除T9节段棘突及椎板,露出硬膜。用自制脊髓撞击器(质量10 g)在80 mm的高度下坠落造成脊髓损伤,尾部如果出现一次性摆动并伴随后肢痉挛则视为造模成功。32只脊髓损伤大鼠随机分为脊髓损伤组、干细胞移植组、激光照射组和联合治疗组,每组8只。脊髓损伤组和激光照射组注射0.1 ml生理盐水,在干细胞移植组和联合治疗组大鼠脊髓的硬膜内缓慢注射0.1 ml细胞悬液,注射后停留3 min,缓慢退出针头,用生理盐水清洗创口,并逐层进行缝合。造模成功后,每天早晚对大鼠进行人工排尿。脊髓损伤大鼠干细胞移植过程如图1所示。


脊髓损伤24 h后,将联合治疗组和激光照射组的大鼠置于照射平台,使用635 nm波长激光进行照射,调节输出功率为100 mW,光斑面积为2 cm2,照射时长为20 min。每天1次,连续照射14 d。
造模后1、3、7、14、21 d,采用BBB脊髓损伤评分和斜板实验评估大鼠行为变化。BBB测试过程中,将大鼠放在直径为1 m的平滑开阔场地上,由2名独立的盲检人员观察每只大鼠5 min,根据大鼠关节活动的数目、范围、协调性及负重程度对其后肢功能进行评分。斜板实验时,将大鼠放置在铺有橡胶防滑垫的斜板上,逐渐增加角度,记录大鼠在斜板停留5 s时的斜板角度。
在移植后21 d,麻醉大鼠,将其固定在手术台上,经主动脉用生理盐水和4%中性多聚甲醛磷酸盐缓冲液对其行心脏灌注,处死后取出T8-T10段脊髓,生理盐水清洗后,用4%多聚甲醛固定24 h,石蜡包埋,从每个石蜡包埋的脊髓标本中取5个连续冠状切片,切片厚度为5 μm,进行苏木精-伊红(hematoxylin-eosin,HE)染色和尼氏(Nissl)染色,分析各组大鼠脊髓组织的病理变化。
采用SPSS 20.0统计软件处理数据。符合正态分布的计量数据用均值±标准差(
±s)表示。组间比较采用单因素方差分析。以P<0.05表示差异有统计学意义。
激光照射3 d后,细胞增殖率情况如图2所示。在一定能量密度范围内,hUCMSCs的活性随着能量密度的增加而上升,即可以通过提高能量密度来提升细胞的增殖率。能量密度为6、12 J/cm2时增殖率分别约为117%、125%,与对照组比较差异有统计学意义(均P<0.05)。故选择12 J/cm2的能量密度对细胞进行激光照射后再移植。


与对照组比较,aP<0.05
如图3所示,激光照射组的大鼠最晚出现死亡且存活率最高,联合治疗组次之,干细胞移植组的大鼠较早出现死亡且存活率最低,脊髓损伤组和联合治疗组在治疗21 d后的存活率差异无统计学意义(P>0.05)。


造模后,大鼠运动表现为双后肢拖行,各组BBB评分为0或1分。治疗后,随着时间推移各组评分逐渐升高。造模后1、3和7 d,各组间的BBB评分差异无统计学意义(均P>0.05)。相对于干细胞移植组,其他组大鼠的髋、膝关节活动更广泛。造模后14 d,激光照射组和联合治疗组的部分大鼠能在负重情况下脚背站立,其他两组大鼠的关节活动范围有所增大。造模后21 d,联合治疗组的部分大鼠可以持续性脚掌站立,偶有前后肢协调运动,而其他组大鼠偶有负重脚掌站立,但无前后肢协调运动。各组大鼠在各时间点的BBB评分见表2。

各组大鼠不同时间点的BBB评分(
±s)
各组大鼠不同时间点的BBB评分(
±s)
| 组别 | 造模后1 d | 造模后3 d | 造模后7 d | 造模后14 d | 造模后21 d |
|---|---|---|---|---|---|
| 脊髓损伤组 | 0.36±0.51 | 0.86±0.66 | 1.00±0.67 | 1.60±0.52 | 1.67±0.52 |
| 干细胞移植组 | 0.17±0.39 | 0.50±0.53 | 0.50±0.55 | 2.00±0.00 | 2.50±0.71 |
| 激光照射组 | 0.50±0.73 | 0.88±0.72 | 0.88±0.62 | 1.80±0.79 | 2.13±0.35 |
| 联合治疗组 | 0.38±0.50 | 1.19±0.54 | 1.17±0.72 | 2.00±0.76 | 4.00±0.76a |
注:与脊髓损伤组造模后21 d比较,aP<0.05
如图4所示,造模后,各组斜板实验数值均降低,随后逐渐恢复。造模后7 d,激光照射组的斜板角度高于脊髓损伤组,差异有统计学意义(P<0.05);造模后14 d,干细胞移植组和激光照射组的斜板角度均高于脊髓损伤组(均P<0.05)。


与脊髓损伤组比较,aP<0.05
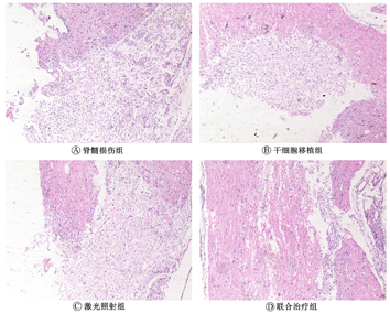
如图5所示,脊髓损伤组大鼠脊髓组织结构紊乱、炎性细胞颗粒浸润,出现明显的空洞。与脊髓损伤组相比,干细胞移植组和激光照射组脊髓组织结构有所改善,炎性反应减轻,但仍有较多空洞。联合治疗组空洞面积明显减少,炎性反应最轻,周边神经纤维丝明显多于其他组。


如图6所示,Nissl染色后,脊髓损伤组组织破坏严重,Nissl小体数量减少,染色较淡;干细胞移植组和激光照射组较脊髓损伤组,Nissl体形态和数量有所改善;而联合治疗组虽有一定程度的损伤,但形态有所改善,Nissl小体染色变深。


hUCMSCs取材方便、培养简单、无伦理道德问题,在适宜条件下具有分化为包括神经元细胞在内多种细胞的潜力,且移植后无须免疫抑制即可在大鼠脊髓内存活和迁移,还可分泌多种神经营养因子,有助于损伤脊髓的恢复[18,19,20,21]。Zhang等[22]将hUCMSCs诱导的神经球移植到横切脊髓损伤的动物模型中,与未移植的对照组相比,移植组的下肢功能得到了显著恢复。Yang等[23]观察到移植干细胞的大鼠病变部位周围神经丝阳性纤维的数量增加,宿主脊髓产生大量的人中性粒细胞激活蛋白-2、神经营养素-3、碱性成纤维细胞生长因子等。然而,脊髓损伤部位的微环境不利于移植细胞的存活和细胞发挥修复作用。据报道,在受损部位移植的骨髓间充质干细胞的存活率仅有10%,且很少分化为成熟的神经元细胞[24]。因此,提高间充质干细胞在脊髓损伤区域的存活率,才能可更好地发挥其修复作用。
紫杉醇联合hUCMSCs通过增强抗炎、抗星形胶质细胞增生、抗凋亡和轴突保护作用,对大鼠脊髓损伤后的功能恢复产生有利作用[25]。Janzadeh等[26]联合使用660 nm激光照射和软骨素酶abc,显著减少了脊髓损伤后的空洞,增加了周围区域的髓鞘形成和轴突数量,降低了gsk3β、cspg和aqp4的表达。联合治疗比单独使用任何一种治疗方法都更具优势。为了探索更有效的治疗方法,本研究中将干细胞移植与PBM相结合。结果表明,PBM联合干细胞移植比单独使用干细胞移植或激光治疗对脊髓损伤的修复有更好的治疗效果。首先,体外照射可以提高干细胞活性,本研究中筛选出12 J/cm2的能量密度作为移植前的激光照射参数;其次,脊髓损伤后随时间的延长,各组运动功能呈现不同的恢复状态,如术后21 d时,联合治疗组恢复效果明显;最后,HE染色显示激光照射和干细胞移植均能减轻炎症反应,但联合治疗的改善效果更明显,此外联合治疗组损伤部位的Nissl染色较深、形态结果最好。
适当的激光照射可以提高细胞的增殖率[27],激光对细胞的影响具有剂量相关性,波长、输出方式、功率、能量等均会对激光照射的效果产生影响[28]。Barboza等[29]使用波长为660 nm,能量密度为0.5、1 J/cm2的激光对小鼠骨髓间充质干细胞进行照射,72 h后检测结果显示,细胞活力显著提高。Ayuk等[30]指出PBM对应激细胞无损伤作用,对细胞活性和增殖有促进作用,且细胞受到的压力越大,反应就越好。本研究中,通过对能量密度的筛选,发现6、12 J/cm2的能量密度均可以显著提高细胞的细胞活性、加快增殖速度,由于需要对移植后细胞进行照射,故选择12 J/cm2作为照射参数。
本研究结果表明,PBM和脐带间充质干细胞移植联合治疗能有效改善大鼠脊髓损伤的神经运动功能。造模后7 d,各组大鼠BBB评分均有提高,但差异不明显;造模后14 d,各组的治疗效果之间表现出明显差异,激光照射组和联合治疗组的脊髓功能恢复良好;造模后21 d,联合治疗组大鼠的运动功能恢复最好。斜板实验结果同样表明,激光照射组和联合治疗组对大鼠运动功能具有修复作用。病理学观察与行为学结果相一致,与其他3组相比较,联合治疗组HE染色结果显示,治疗部位周边的神经纤维丝明显增多,炎性反应最轻;Nissl小体形态结构最好,染色较深。说明PBM联合脐带间充质干细胞移植能改善大鼠运动能力,同时减轻脊髓结构损伤,有利于脊髓损伤的恢复。
虽然干细胞的免疫原性较低,但在异种移植时可能出现排异反应,可能也是本研究中干细胞移植组大鼠死亡最早和死亡最多的原因。低能量激光照射不仅可以改善细胞移植宿主的微环境,提高干细胞的生存能力,同时还可以促进抗炎细胞因子的激活,加速轴突再生[31,32,33,34,35],可能是单纯激光照射组大鼠死亡率最低的原因,PBM提高了模型大鼠的生存质量。
综上所述,PBM联合脐带间充质干细胞移植能在一定程度上促进大鼠运动功能的恢复,但本研究尚存在不足之处,如光照对干细胞分化或凋亡的影响等。因此,未来研究将通过细胞和动物实验,进一步完善低能量激光对脊髓损伤修复作用的机制研究,为脊髓损伤的治疗提供依据。
所有作者均声明不存在利益冲突





















