
猫立克次体是一种专性寄生于细胞内的革兰阴性原核生物,猫蚤是猫立克次体的主要传播媒介。人感染猫立克次体的临床症状包括发热、乏力、头痛、斑状丘疹以及焦痂。目前关于猫立克次体感染引起其他严重并发症或死亡的报道较少。济宁医学院附属医院神经内科2020年1月29日收治1例确诊猫立克次体感染致重症脑炎病例,经阿昔洛韦抗病毒、甘露醇脱水降颅压、人免疫球蛋白调节免疫、盐酸米诺环素胶囊及甲磺酸左氧氟沙星氯化钠抗立克次体感染、控制癫痫发作及肺感染等综合治疗后,患者病情好转出院。通过总结该患者治疗中的经验、教训,以提醒大家加强对猫立克次体感染的认识。
版权归中华医学会所有。
未经授权,不得转载、摘编本刊文章,不得使用本刊的版式设计。
除非特别声明,本刊刊出的所有文章不代表中华医学会和本刊编委会的观点。
猫立克次体是一种专性寄生于细胞内的革兰阴性原核生物,猫蚤是猫立克次体的主要传播媒介。人感染猫立克次体的症状包括发热、乏力、头痛、斑状丘疹及焦痂。由于猫立克次体感染相对温和,且具有一定自限性,导致其发病率可能被低估。目前关于猫立克次体感染引起其他严重并发症或死亡的报道较少。经济宁医学院附属医院医学科学研究伦理委员会审批(审批号:2020C055),现将本院收治的1例确诊猫立克次体感染致重症脑炎患者的诊疗经过报告如下。
患者女性,18岁,右利手,学生。以"发热1周,意识不清8 h"于2020年1月29日入院。患者1周前开始出现发热,最高体温38.0 ℃左右,口服退热药物后体温正常,但一直精神萎靡、倦怠,不愿与他人交流。入院前8 h左右患者再次出现发热,最高体温37.3 ℃,伴恶心、无呕吐,呼之反应差,不语,不配合语言指令,上述症状持续不缓解;无肢体麻木无力,无复视,无饮水呛咳,无听力下降,无肢体抽搐等不适,遂来本院就诊。入院查体:体温37.6 ℃,脉搏60次/min,呼吸频率18次/min,血压99/51 mmHg(1 mmHg=0.133 kPa);意识模糊,精神差,不能言语,双侧瞳孔等大等圆(直径3.0 mm),对光反射存在,双眼球各方向运动不配合;双侧鼻唇沟对称,伸舌居中,颈软;四肢肌力、肌张力正常,感觉、共济查体欠合作,双侧巴宾斯基征阴性,脑膜刺激征阴性。入院时颅脑CT平扫未见明显异常。入院当天给予完善相关血常规、红细胞沉降率(血沉)、血生化、凝血常规等检查,并进行腰椎穿刺检查,结果提示:血常规、C-反应蛋白(C-reactive protein,CRP)、凝血常规、肝肾功能、血脂无明显异常;血沉28 mm/1 h(正常参考值为0~20 mm/1 h);肌酸激酶(creatine kinase,CK)2 397 U/L(正常参考值为5~200 U/L);乳酸脱氢酶(lactate dehydrogenase,LDH)4.4 μmol·s-1·L-1(正常参考值为1.5~4.0 μmol·s-1·L-1)。脑脊液呈无色透明,压力为224.4 mmH2O(1 mmH2O=0.0098 kPa),脑脊液检查提示:脑脊液常规、生化分析、特定蛋白组合、一般细菌涂片、抗酸杆菌涂片、真菌涂片、墨汁染色均未见明显异常。入院诊断:中枢神经系统感染,病毒性脑炎可能性大。给予阿昔洛韦抗病毒治疗。入院当天夜间,患者突发意识障碍,四肢抽搐,牙关紧闭,口吐白沫,尿失禁,考虑为癫痫全面强直阵挛发作,给予地西泮注射液静脉推注,并加用丙戊酸钠抗癫痫。患者频繁出现癫痫发作,遂转入重症监护病房(intensive care unit,ICU)治疗。
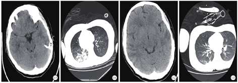
患者不能完全排除自身免疫性脑炎,转入ICU后,给予阿昔洛韦抗病毒、甘露醇脱水降颅压、乙酰谷酰胺营养脑细胞、静脉注射人免疫球蛋白和甲泼尼龙琥珀酸钠调节免疫、丙戊酸钠和左乙拉西坦控制癫痫等综合治疗。入院第4天,患者心率偏慢,最慢为40次/min左右,考虑存在自主神经功能紊乱,给予心宝丸及环磷腺苷葡胺提升心率;约4 d后心率逐渐恢复至75~120次/min,停用心宝丸和环磷腺苷葡胺。入ICU后仍间断出现癫痫发作,加用拉莫三嗪和苯巴比妥控制癫痫发作。入院第7天,患者血清及脑脊液自身免疫性脑炎相关抗体检测为阴性,脑脊液病原微生物基因组检测提示:猫立克次体感染(检出序列数261)。考虑患者存在立克次体感染可能,停用甲泼尼龙琥珀酸钠,给予盐酸米诺环素胶囊及甲磺酸左氧氟沙星氯化钠抗感染。入院第10天,患者间断出现呼吸暂停,伴有血氧饱和度下降,给予经口气管插管,呼吸机辅助呼吸。入院第12天,复查颅脑CT未见明显异常(图1A);胸部CT显示双肺多发高密度影,右肺上下叶部分支气管欠通畅,考虑感染性病变(图1B)。考虑患者肺部感染较重,给予头孢哌酮舒巴坦钠抗感染。入院第14天,复查脑脊液为无色清亮液体,压力约为217.6 mmH2O;脑脊液常规、蛋白未见明显异常。入院第15天和第16天,分别组织全院病例讨论及解放军总医院远程会诊,主要诊断考虑癫痫持续状态(难治性)、重症脑炎,脑炎性质考虑立克次体感染,不除外病毒感染,继续抗立克次体、抗病毒、丙种球蛋白抑制免疫反应、控制癫痫发作等治疗。入院第22天,第二次腰穿送检脑脊液病原微生物基因检测未再检测出猫立克次体。于当日复查颅脑CT显示双侧颞顶叶多发条片状稍低密度影,提示有脑炎可能(图1C);胸部CT显示双肺多发高密度影,右肺下叶部分支气管欠通畅,提示较前明显好转(图1D)。继续给予阿昔洛韦抗病毒,米诺环素及甲磺酸左氧氟沙星氯化钠抗立克次体治疗。入院第23天,拔除气管导管,患者呼吸平稳。入院第25天,患者出现皮疹,皮肤科会诊考虑:过敏性皮炎,重症多形性红斑?(药物引起可能性大)。给予甲泼尼松龙琥珀酸钠注射液60 mg静脉滴注,再次给予人免疫球蛋白0.4 g·kg-1·d-1静脉滴注,连用5 d。入院第27天起,患者的意识逐渐转清,可下床活动,能够配合指令完成动作,未再出现肢体抽搐。入院第32天,第3轮丙种球蛋白治疗结束,当日完善颅脑磁共振成像(magnetic resonance imaging,MRI)检查显示双侧额顶颞岛叶异常信号,考虑炎症,建议治疗后复查;右侧横窦、乙状窦较对侧纤细,考虑发育变异(图2)。入院第33天,患者转回普通病房,意识清,无头痛,无发热,颜面部及颈前皮疹较前减轻,四肢活动基本正常。入院第46天,患者好转出院,出院时意识清,问话对答切题,未见新发皮疹,四肢肌力5级,双侧巴宾斯基征阴性。出院4个月后,患者再次出现癫痫发作,复查颅脑MRI显示双侧额顶颞岛叶异常信号基本吸收、消失,脑部MRI增强未见异常强化(图3)。继续口服左乙拉西坦片,未再出现癫痫发作。






猫立克次体被归类于斑疹热立克次体,可感染人类和不同动物。除猫蚤外,研究者还在蚤、蜱、螨、虱等节肢动物中检测到猫立克次体[1]。1994年,美国报道了首例人感染猫立克次体病例[2];此外,在墨西哥、巴西、法国、德国、西班牙、瑞典、以色列、韩国、泰国、老挝、新西兰等国家或地区也有人感染猫立克次体的报道[3];但中国鲁西南地区此前尚无人感染猫立克次体的病例报道。
猫立克次体感染常见的临床表现为发热(体温>38 ℃)、头痛、肌痛和黄斑丘疹[2],咳嗽、肺水肿、肺炎、恶心、呕吐和腹泻等呼吸及消化系统症状也有报道[3]。立克次体感染常见的神经系统表现包括脑膜炎、脑炎和急性播散性脑脊髓炎[4],也有单侧面神经麻痹[5]、脑梗死[6]或视力丧失[7]。猫立克次体所致亚急性脑膜炎和急性多神经病样症状的神经系统症状相对少见。2000年,墨西哥东南部报道了3例猫立克次体感染患者出现中枢神经系统受累,表现为畏光、听力下降和脑膜炎症状[8]。对于没有皮疹、焦痂和节肢动物咬伤证据的患者,立克次体感染很容易被忽视;由于猫立克次体感染与其他立克次体和病毒感染有共同的症状,许多患者可能被误诊。因此,提高国内外医生对中枢神经系统立克次体感染的认识至关重要。
猫立克次体感染致脑炎在临床表现及脑脊液检测上与病毒性脑炎、自身免疫性脑炎难以区分,可能被误诊。本例患者突出临床表现为难治性癫痫,考虑为重症脑炎所致,只有积极抗感染使脑炎得到控制后,方可有效控制癫痫发作。该患者病程中出现心动过缓,考虑为脑炎致自主神经功能障碍;根据临床表现及脑脊液结果,诊断考虑:病毒性脑炎、自身免疫性脑炎可能性大,给予抗病毒及免疫调节治疗。直到脑脊液病原微生物宏基因组检测报告证实为猫立克次体感染,且患者确定有猫、犬接触史,方确诊为猫立克次体感染致脑炎。所以,病原学检查在脑炎鉴别诊断中至关重要,临床上要引起足够重视。目前认为,治疗立克次体感染最有效的抗菌药物是四环素衍生物,主要是强力霉素[9]。另外,氯霉素和大环内酯类抗菌药物(如阿奇霉素、克拉霉素和罗克霉素)也可用于治疗立克次体感染[10]。本例患者经甲磺酸左氧氟沙星及米诺环素治疗后,复查脑脊液病原微生物宏基因组检测猫立克次体为阴性,说明以上两种药物可用于治疗立克次体感染。
综上所述,猫立克次体感染可导致中枢神经系统感染,并出现重症脑炎。甲磺酸左氧氟沙星联合米诺环素可用于治疗猫立克次体感染,丙种球蛋白可以抑制感染后的免疫反应,能够有效治疗重症脑炎。猫立克次体是一种新兴的立克次体病原体,在哺乳动物、人类和体外寄生虫中广泛分布。在临床工作中,我们需要进一步确定人感染猫立克次体的实际发生率、临床症状以及这种感染的严重程度,并评估其对公共卫生的影响。
所有作者均声明不存在利益冲突





















