
新型冠状病毒肺炎的鉴别诊断在新型冠状病毒肺炎的诊治过程中具有重要意义。2020年2月8日国家卫健委发布的最新版新型冠状病毒肺炎诊疗方案(试行第五版修正版)中鉴别诊断所列病症项目中尚无真菌感染性肺炎。鉴于此,现将2020年1月同济大学附属上海市第四人民医院接诊的1例艾滋病合并卡氏肺孢子菌重症肺炎患者的情况进行报道,该案例有助于提高新型冠状病毒肺炎的鉴别诊断。
版权归中华医学会所有。
未经授权,不得转载、摘编本刊文章,不得使用本刊的版式设计。
除非特别声明,本刊刊出的所有文章不代表中华医学会和本刊编委会的观点。
"早发现、早报告、早诊断、早隔离、早治疗"是控制新型冠状病毒肺炎疫情传播、降低病死率、取得抗击疫情阻击战胜利的重要法宝,而"早诊断"是其关键环节。完善新型冠状病毒肺炎鉴别诊断对实现"早诊断"具有重要价值。该案例表明:艾滋病合并卡氏肺孢子菌重症肺炎可作为新型冠状病毒肺炎鉴别诊断的病症之一。2020年2月19日国家卫健委印发最新版新型冠状病毒肺炎诊疗方案(试行第六版),其中"鉴别诊断"所列病症项目中没有真菌感染性肺炎。鉴于此,该案例有助于提高新型冠状病毒肺炎鉴别诊断,对疫情防控有一定的现实意义。
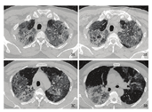
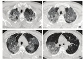
患者,男性,58岁,因"咳喘伴畏寒1周"于2020年1月17日入同济大学附属上海市第四人民医院呼吸科就诊。患者1周前无明显诱因出现咳嗽,活动后稍有气喘,无发热、咳血,无胸痛、晕厥、黑朦、心慌。血常规示:白细胞计数5.47×109个/L,血红蛋白浓度121 g/L,血小板计数168×109个/L,淋巴细胞百分比19.6%,中性粒细胞百分比72%,C反应蛋白浓度9.89 mg/L。胸部CT示:两肺多发磨玻璃影,两肺上叶明显,考虑炎性病变(见图1)。甲乙流病原体快速检测:阴性。门诊予以头孢西丁和左氧氟沙星抗炎治疗,后患者于急诊继续用药近2周。患者于1月31日再次于呼吸科门诊复诊,自觉仍有咳嗽,活动后气促明显。复查血常规示:白细胞计数8.7×109个/L,淋巴细胞百分比10%,中性粒细胞百分比83.9%,C反应蛋白浓度159.25 mg/L。甲乙流病原体快速检测:阴性。胸部CT示:两肺大片炎症,较2020年1月17日明显进展,病毒性肺炎可能(见图2)。患者否认发病前14 d旅游外出史,否认接触疫区有发热或呼吸道症状的患者,否认聚集性发热。自诉1月19日有外出打麻将行为,否认牌友有发热,但牌友的具体流行病学史不详。因此考虑患者有感染新型冠状病毒肺炎可能,予以发热门诊留观病房隔离观察,并采集上呼吸道、下呼吸道、血液标本进行新型冠状病毒核酸检测。




患者2020年1月31日入留观病房后,一般情况较差,予以面罩吸氧,并增加氧流量至5 L/min,同时嘱护士将9层纱布于生理盐水浸润后覆于面罩上,每2 h更换1次,以保持氧合。给予莫西沙星抗感染和阿比多尔抗病毒治疗。体温38.2 ℃,血气分析示:pH值7.53,PaO2 7.73 kPa,PaCO2 3.7 kPa,SpO2 97%(吸氧后)。2月1日,患者仍有咳嗽,活动后气促,复查血气分析:pH值7.45,PaO2 7.73 kPa,PaCO2 4.07 kPa,SpO2 91%(活动后)。血常规示:白细胞计数5.49×109个/L,血红蛋白浓度121 g/L,血小板计数168×109个/L,淋巴细胞百分比5.2%,中性粒细胞百分比92.1%,C反应蛋白浓度129.59 mg/L。给予莫西沙星抗感染和阿比多尔抗病毒治疗,同时静脉注射甲强龙40 mg。患者留观期间,2次新型冠状病毒核酸检测(间隔24 h )均为阴性。但患者仍有咳嗽、咳白粘痰,痰中伴少许血丝,拟"社区获得性肺炎、重症、急性呼吸窘迫综合征、Ⅰ型呼吸衰竭"收治呼吸科病房。
患者既往有前列腺增生病史,否认高血压、糖尿病、冠心病、慢性支气管炎等病史,否认输血史。未婚未育,有冶游史。入院后完善相关检查,继续给予莫西沙星抗感染、丙种球蛋白加强免疫和甲强龙抗炎治疗。患者平静状态下SpO2维持在95%~98%,活动后SpO2维持在92%~93%。2月2日复查胸部CT示:两肺大片炎症,较2020年1月31日仍有进展,病毒性肺炎可能(见图3)。查阅患者既往就诊资料发现,该患者曾于2016年8月31日因右肾上腺腺瘤住院手术,血清梅毒抗体阳性,人类免疫缺陷病毒(HIV)阴性。2017年3月20日因发热咳嗽来本院门诊就诊,胸部CT示左下肺病毒性肺炎可能。鉴于患者梅毒抗体阳性,既往有病毒性肺炎可能病史,考虑存在免疫功能低下可能。遂于2月3日检测免疫指标示:梅毒抗体阳性,HIV抗体非阴性,待复查。后请上海市公共卫生中心专家会诊,考虑HIV造成的卡氏肺孢子菌重症肺炎可能,转至上海市公共卫生中心进一步诊疗。患者目前接受艾滋病治疗方案,症状明显改善。


2019年12月起,新型冠状病毒肺炎在国内外陆续出现。截至2020年2月20日24时国家卫生健康委收到31个省(自治区、直辖市)和新疆生产建设兵团累计报告确诊病例75 465例,现有疑似病例5 206例;累计收到港澳台地区通报确诊病例102例[1]。经呼吸道飞沫和接触传播是主要的传播途径,潜伏期1~14 d,多为3~7 d[2],极少数可达24 d,有粪口传播的可能[3]。新型冠状病毒肺炎以发热、乏力、干咳为主要表现;发病年龄集中在40~60岁,老年患者和有慢性基础疾病患者预后较差。发病早期外周血白细胞计数正常或减少,淋巴细胞计数减少。影像学表现多为双肺多发磨玻璃影、浸润影,以肺外带为主,严重者可出现肺实变。目前无有效的抗病毒治疗方法[2,4]。
艾滋病是感染HIV后引起的一种严重的传染性疾病。HIV主要侵犯CD4+T淋巴细胞,严重破坏人体的免疫系统。因此,艾滋病患者由于免疫缺陷,肺部常并发各种机会性感染,其中最常见的是卡氏肺孢子菌肺炎,可高达50%以上,是艾滋病患者致死的主要原因[5,6]。卡氏肺孢子菌肺炎的CT表现为:双肺对称弥漫分布的斑片影,早期病变多呈薄纱样均匀的磨玻璃密度影,进展期的磨玻璃影可表现为密度较高的不透明磨砂样,可出现蜂窝肺,往往提示肺组织结构破坏严重和广泛纤维化[7,8]。肺气囊、肺门和/或纵膈淋巴结肿大也有重要的诊断价值[9]。
本例为中年男性患者,未婚未育,有冶游史,HIV非阴性,持续咳嗽、咳痰,伴发热,临床表现为低氧血症和呼吸窘迫综合征,血常规示淋巴细胞计数进行性下降,胸部CT示两肺大片间质性炎症,渗出性磨玻璃样改变,伴肺实变,病灶呈进行性扩大,常规抗感染和抗病毒治疗效果欠佳,病情进行性加重,后经抗艾滋病治疗有效,症状改善。从临床表现、影像学改变及治疗效果考虑,最终诊断为艾滋病合并卡氏肺孢子菌重症肺炎。
本例患者发病在新型冠状病毒肺炎疫情暴发时期,有不明确的流行病学史,有发热、咳嗽等上呼吸道症状,血常规示淋巴细胞计数减少,胸部CT示两肺多发磨玻璃样改变,符合疑似新型冠状病毒肺炎诊断标准,因此,需进行鉴别诊断。考虑该患者的磨玻璃影多位于两上肺,呈弥漫性改变,而新型冠状病毒肺炎磨玻璃影多为肺外带为主,且经2次新型冠状病毒核酸检测(间隔24 h)均为阴性,因此新型冠状病毒肺炎诊断可能性小。
医疗遵循的重要原则之一是早诊断、早治疗。对于早期肺损伤患者的低氧血症,除常规吸氧疗法外,早期呼气末正压通气是纠正及阻止低氧血症加重的可能方法。该患者诊疗过程中出现低氧血症,护士用9层湿纱布覆于吸氧面罩,模拟呼气末正压通气,从而成功提高SpO2,这对于缺乏呼吸机设备的基层医院具有启示意义。
综上所述,建议新型冠状病毒肺炎流行期间临床医生在接诊发热患者时,仍需高度重视患者的流行病学史、临床病史的采集以及密切关注患者的影像学改变,必要时进行多学科联合会诊,尽可能全面评估,以期早期诊断及后续的规范化诊疗。
所有作者均声明不存在利益冲突





















