
版权归中华医学会所有。
未经授权,不得转载、摘编本刊文章,不得使用本刊的版式设计。
除非特别声明,本刊刊出的所有文章不代表中华医学会和本刊编委会的观点。
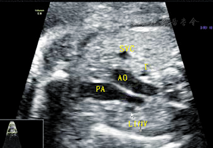
孕妇31岁,孕27+1周,产前常规行胎儿超声心动图检查。既往体健,无传染病及遗传病史,孕期顺利。超声显示:胎儿心脏位于胸腔内,位置正常,心尖指向左前方。心轴及心胸比值正常。各心腔内径比值正常,室壁厚度及运动正常。各瓣膜形态及启闭未见明显异常,彩色多普勒血流显像未见异常血流信号。三血管–气管切面:肺动脉左侧可见管状回声,内径0.21 cm(图1),探头于该切面向胎儿头侧偏转,可见其跨越右肺动脉上方,于主动脉弓下方从左向右径直走行,在距上腔静脉右心房入口约0.61 cm处汇入其中,其内可见静脉频谱(图2)。主动脉弓长轴切面:主动脉弓下方可见两个管状回声,呈"双眼征",其中前下方为右肺动脉横断面,后上方为异常血管断面;彩色多普勒示二者血流方向相反(图3)。余切面未见明显异常。心律规整,心率148次/min。超声提示:胎儿左无名静脉走行异常(主动脉弓下走行)。产后经超声及心血管造影证实。






胎儿左无名静脉主动脉弓下走行属先天性体循环静脉畸形的一种,发病率较低。该病可单独存在,也可与其他先天性疾病并存。多数对血流动力学无影响,出生后也无临床症状,但这种畸形的检出可以提高对左无名静脉走行异常的认识,帮助鉴别三血管–气管切面肺动脉左侧出现异常管道的原因,从而避免因漏诊或误诊所带来的巨大隐患。
在胚胎发育的第7周,左、右两侧的前主静脉借血管丛连接成一条斜行的血管,即无名静脉。随着左无名静脉发育形成后,左侧前主静脉和Cuvier管逐渐闭塞,左上腔静脉退化,右侧前主静脉与Cuvier管发育成为正常的右上腔静脉[1]。左、右无名静脉分别接收左、右颈总静脉和左、右锁骨下静脉的静脉血,汇总成上腔静脉,自右房上面注入右房。正常情况下,左无名静脉由左向右斜行跨过主动脉弓上方,汇入上腔静脉。但本例中,三血管–气管切面向胎儿头侧偏转动态扫查显示左无名静脉在主动脉弓下方与右肺动脉上方之间横过主动脉弓,在上腔静脉入右心房处同上腔静脉汇合;主动脉弓长轴切面也可显示主动脉弓与右肺动脉间存在一圆形静脉血管结构,而正常情况下,主动脉弓下仅有右肺动脉的横断面;三血管–气管切面肺动脉左侧可见一管状回声,为静脉频谱,这是由低位走行即主动脉弓下走行的左无名静脉所致。关于三血管–气管切面肺动脉左侧发现异常管状回声,有以下三种可能:①永存左上腔静脉Ⅰ型,左上腔静脉血经冠状静脉窦入右房,此型约占90%以上。超声表现:四腔心观左房室沟交界处见扩张的冠状静脉窦;三血管切面肺动脉左侧出现一静脉血管,呈"四血管"改变,且该静脉频谱与右上腔静脉频谱或肺静脉频谱相似;旋转探头,发现该静脉与冠状静脉窦相连且血流方向与右上腔静脉相同。②完全性肺静脉异位引流心上型,四腔心观看不到正常回流入左心房的4支肺静脉,左心房后方可见异常血管,为垂直静脉;三血管–气管切面肺动脉外侧可见管状回声,但血流方向与右上腔静脉相反,为上行的垂直静脉,先后汇入左无名静脉及右上腔静脉。③伪像,由于切面偏斜,将左房的一部分也包括在其内,若此时观察到4支肺静脉均回流入左心房,即为伪像所致。排除以上几种情况,特别是排除了严重危及新生儿存活的完全性肺静脉异位引流,本研究即可考虑左无名静脉主动脉弓下走行的可能。综上所述,超声表现为三血管–气管切面肺动脉左侧异常管状回声,主动脉弓长轴下方出现"双眼征",且二者血流方向不同,并且无其他心内外结构异常时可以诊断为左无名静脉主动脉弓下走行。





















