
版权归中华医学会所有。
未经授权,不得转载、摘编本刊文章,不得使用本刊的版式设计。
除非特别声明,本刊刊出的所有文章不代表中华医学会和本刊编委会的观点。
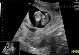
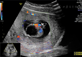
孕妇26岁,孕1产0,孕12+5周,以外院诊断腹部囊实性包块来我院进一步检查。患者及其配偶体健,无其他病史及不良习惯,家族中无类似患者,患者否认直系三代有遗传病史及遗传倾向疾病。二维超声检查:胎儿颅骨光环完整,双侧脉络丛发育正常;胸腔内未见明显异常,心脏可测得四腔心、左右室流出道;胎儿腹部可测及大小约2.28 cm×1.9 cm的囊实性包块,向外突出,其内可见胃泡,另见一囊性无回声,大小约2.0 cm×1.8 cm,两侧可见脐动脉;胎儿下腹部囊性包块左侧测及两条平行骨性回声,可见一侧脚板;双上肢可见;胎儿肾及肾动脉显示不清;胎儿脊柱腰段弯曲,骶尾部测及一囊性无回声区,直径约0.36 cm(图1,图2,图3)。超声提示:胎儿先天性多发复杂畸形;胎儿人鱼序列综合征;胎儿腹部囊实性包块(腹裂不能除外);胎儿巨膀胱;胎儿脊柱裂伴侧弯。引产标本:胎儿头面部未见明显异常,双上肢可见,胸腔正常,腹腔内器官外翻、巨大膀胱,胎儿双下肢融合,可及双侧骨性结构,双足可见。与超声检查结果相符,遂行胎儿染色体检查,核型正常。






人鱼序列综合征是一种以不同程度的双下肢融合为特征的先天性畸形。Stocker等[1]将人鱼序列综合征分为7型:Ⅰ型,双侧股骨、胫腓骨、双足均存在,但下肢皮肤融合;Ⅱ型,仅有单根腓骨;Ⅲ型,双侧腓骨缺失;Ⅳ型,双侧部分股骨融合,腓骨融合;Ⅴ型,双侧部分股骨融合;Ⅵ型,仅有单根股骨和胫骨;Ⅶ型,仅有单根股骨,双侧胫骨缺失。本例超声表现为胎儿双下肢股骨融合或双下肢股骨相距过近,呈持续性强直状态,动态扫查过程未见分开及活动。依据此分类,该胎儿应属于Ⅰ型。目前关于人鱼序列综合征的发病机制尚不清楚,被广泛认知的主要有两种观点,一种为原始胚(或)尾胚层原发缺陷假说[2],由于中间尾结构发育不全或缺陷造成早期胚层融合所致,此缺陷发生于胚胎原始阶段(妊娠第3周),在尿囊发育之前,故无尿囊血管。另一种为大多数人支持的血管盗血学说[3],即一条卵黄动脉衍化的畸形血管起自高位腹主动脉,行使脐动脉的功能,将血液从脐带输送到胎盘,单脐动脉起源以下的腹主动脉分支极细,肾脏、下消化道、生殖器、下肢的供血严重不足,导致这些器官严重发育不良。但该病例中,胎儿可测及双脐动脉,这一点与血管盗血学说不符。另外血管盗血学说中畸形患儿肾脏会出现供血严重不足,出现泌尿系统发育异常,膀胱在检查过程中会出现显示不清,不能分辨是未充盈还是缺失,此病例中虽未能明确显示双肾动脉,但可见胎儿巨大膀胱,因此与所述两种观点有所不同。
临床诊断人鱼序列综合征时还需与其他疾病进行鉴别,常见的有尾部退化综合征和VACTERL综合征。尾部退化综合征主要表现为骶骨缺失,腰椎不同部位的缺陷及合并其他畸形,有观点认为其是人鱼序列综合征最为严重的表现之一,但是否为同一种疾病仍存在争议。VACTERL综合征主要是胎儿中胚层发育缺陷,引起椎骨、肛门、心脏等器官畸形的联合征。
目前关于人鱼序列综合征的超声报道主要集中在中晚孕期,但由于大多出现羊水过少,很难确诊,该病例是在孕早期检查,因为孕早期羊水主要来自于母体血清经胎膜进入羊膜腔的渗透液,所以避免了17周以后泌尿系统出现异常导致羊水过少产生的影响,能更清楚地显示胎儿结构。因此,随着超声技术的不断发展和人们早期筛查意识的不断提高,早孕期常规的超声检查将能更好地分辨胎儿肢体,及时发现合并的其他畸形,减轻孕妇痛苦,提高诊断率。





















