
版权归中华医学会所有。
未经授权,不得转载、摘编本刊文章,不得使用本刊的版式设计。
除非特别声明,本刊刊出的所有文章不代表中华医学会和本刊编委会的观点。
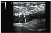
患者男,46岁,已婚。3个月前无明显诱因出现左下肢发凉、疼痛、麻木,间歇性跛行,跛行距离约100 m,休息后可缓解。无明显肿胀,皮肤无溃烂及色素沉着。既往体健,无糖尿病、高血压、脑血管病及外伤史。无饮酒、吸毒及毒物接触史。吸烟25年,平均20支/d,未戒烟。头颅CT、胸部平片、肺功能测定、血清学检测及心电图均未见异常。一般情况好,生命体征未见异常。查体:左下肢皮肤苍白,尤以膝关节以下为著,左小腿及左足皮温低,左侧股动脉搏动良好,左侧腘动脉及左侧足背动脉搏动未触及,左下肢末梢血运及感觉差。右下肢未见明显异常。生理反射存在,病理反射未引出。超声显示:左侧腘动脉走行处见长约45 mm的不规则异常回声区,挤压无明显形变,最宽处直径约12 mm,管壁不规则增厚,回声较低,其内可见不规则强回声带及不连续内膜较强回声(图1)。彩色多普勒血流显像(CDFI)示腘动脉不规则长条状血流信号,远端动脉呈小慢波。注入SonoVue造影剂后测得最窄处血流信号宽度1 mm,低回声的增厚的管壁内未见明确造影剂信号回声(图2)。超声提示:左侧腘窝所见不排除腘动脉外膜囊性病变,局部管腔不完全闭塞,建议进一步检查。随后行下肢血管CTA示左侧腘动脉管腔内见低密度充盈缺损,管腔变窄,最窄处狭窄程度约80%,狭窄长度约17.1 mm,诊断意见:左侧腘动脉低密度影,考虑血栓形成,管腔重度狭窄(图3)。患者择期手术。术中所见:左侧腘窝处可见一大小约4 cm×4 cm囊性包块,将腘动脉紧密包绕,包块近端腘动脉搏动良好,远端未见明显搏动(图4);打开囊肿外膜,可见其内充满无色透明"冻胶状"物,量约20 ml,完全清除囊肿内容物后,钝锐性结合,将囊肿从腘动脉上完整分离并切除。病理所见:破碎囊样组织,面积2 cm×1.5 cm,一侧灰白尚光滑,囊壁厚0.2~0.3 cm,另见胶冻样物。符合血管外膜囊性改变。








血管外膜囊性变(adventitial cystic disease,ACD)是一种累及血管外膜的少见的良性病变,常导致动脉或静脉的狭窄或闭塞。世界范围约有500例相关病例报道[1],我国有40余例个案报道[2]。累及下肢时以间歇性跛行为主要临床表现,累及上肢时表现为手臂疼痛,如不能及时诊治,会导致远端肢体的缺血坏死。该病最早报道于1947年发现的1例髂外动脉受累患者[3],腘动脉受累的报道最早见于1954年[4]。实际上任何外周动脉和静脉都可累及,其中85%发病于腘动脉[5]。通常为单侧受累,也有双侧受累的病例。发病机制仍有争论,可能的机制包括损伤、发育异常和关节滑液异位导致。该病多见于40~50岁的男性,男女比例为4.6∶1[6]。超声显示动脉壁内膜光滑,其无回声区内常会有条带样分隔,易误诊为血栓。囊肿内回声可表现为极低回声,且张力较大,探头加压形态变化不大。超声造影可清晰显示血管管腔,有助于诊断管腔狭窄程度;观察病变内灌注情况,有助于占位性病变与囊性病变的鉴别。本病首选手术治疗。本例患者囊肿无严重粘连,腘动脉狭窄不严重,行囊肿及动脉外膜切除术。术后1个月随访恢复良好,症状明显改善。
本病较为少见,临床医生对其认识不足,临床表现缺乏特异性,很难在术前诊断。CDFI能够准确显示ACD患者囊肿的位置、形态和内部回声,准确评价管腔狭窄的程度和血流状态,对疾病的早期诊断、治疗和预后有重要意义;血管超声造影可以提供有价值的信息,提高诊断者的信心。如果间歇性跛行的患者年龄较轻,又无明显动脉粥样硬化的危险因素时,应该考虑ACD的可能性。





















