
版权归中华医学会所有。
未经授权,不得转载、摘编本刊文章,不得使用本刊的版式设计。
除非特别声明,本刊刊出的所有文章不代表中华医学会和本刊编委会的观点。
2019年12月以来,源于湖北省武汉市的新型冠状病毒肺炎已成为全国突发公共卫生事件。目前确认该疾病诊断的影像学主要依据为高分辨率CT的影像学征象。
肺部超声在肺渗出性病变的鉴别诊断、胸腔积液的评估、气胸识别、呼吸困难与急性呼吸衰竭患者的评价以及在治疗中监测、疗效评估和指导治疗等方面已应用于临床,并已形成多个国内外专家共识。
作为一种快速、便捷、无辐射和在床旁能够简便实施的肺部疾病可视化检查技术,肺部超声在危重患者的诊疗中具有一定作用。鉴于不同肺部疾病的超声表现有较多重叠,目前肺部超声在一线临床尚未广泛普及应用。从对新型冠状病毒肺炎重症患者肺部病变进行即时动态有效的影像监测的实际临床需求出发,本着"以问题为导向、信息技术支撑、模式创新"的原则,整合多种资源,提出有针对性的短期内能够实现肺部超声检查技术广泛高效应用的新型冠状病毒肺炎肺部超声检查及远程诊断实施方案(以下简称实施方案),以推广各地区肺部超声在新型冠状病毒肺炎诊断和治疗中的应用,并利用5G远程会诊平台以尽快实现跨机构、跨区域和跨专科的协作。
鉴于肺部超声在新型冠状病毒肺炎诊断和治疗中仅处于初级应用阶段,本实施建议仍需要紧密结合临床应用实际情况不断改进和完善。
凸阵探头、高频线阵探头和相控阵探头。
1~5 MHz(凸阵探头)、4~10 MHz(高频线阵探头)、2~4 MHz(相控阵探头)。
10~15 cm(凸阵探头)、5~7 cm(高频线阵探头)、8~24 cm(相控阵探头)。
各省市自治区远程超声医学会诊平台,通过5G网络支撑,建立数据中心。
本方案建议由一线医师采集患者肺部超声图像并诊断,疑难病例通过5G网络上传超声图像实施远程超声专家会诊。
基本检查方法基于床旁肺部急诊流程(bedside lung ultrasound in emergency- PLUS,BLUE-PLUS)方案及《重症超声临床应用技术规范》并适当简化。低龄儿童及新生儿建议参考M-BLUE方案。
1.患者体位
仰卧位:适用于检查上蓝点、下蓝点。
侧卧位:适用于检查后侧壁肺泡或胸膜综合征(PLAPS)点、膈肌点、后蓝点。
俯卧位:适用于检查后蓝点、PLAPS点、膈肌点。
2.BLUE-PLUS方案确定标准点手势(图1)


3.BLUE-PLUS方案标准点(图2)


上蓝点:位于上方手第3、4掌指关节之间。
下蓝点:位于下方手掌心处。
膈肌点:下方手小指下缘为膈肌线,该线向后的延长线与腋中线的交点为膈肌点。
PLAPS点:下蓝点向后延长线与腋后线的交点。
后蓝点:肩胛下线与脊柱之间的区域。
4.扫查方法
(1)将探头置于BLUE-PLUS方案确定的5个标准位点的肋间,然后于各位点进行横向(探头平行于肋间隙,图3A)和纵向扫查(探头垂直于肋间隙,图3B)。进行PLAPS点的扫查时探头方向指向前胸胸骨方向为宜。同时可以对照患者CT所提示病变区域所在体表投影区域对应扫查,标记并存图。


(2)为方便远程会诊,应将各位点图像进行标记。标记方法如下:将上蓝点标记为1,下蓝点标记为2,膈肌点标记为3,PLAPS点标记为4,后蓝点标记为5,然后进行左右标识。例如右侧上蓝点图像标记为:R1。
1.每个标准点均采集动态图,横向和纵向检查至少各1幅。
2.动态图像存储时长应大于3~5 s。
3.存储测量病灶(实变、胸腔积液)范围的静态图像。
为避免使用同一探头检查造成患者间交叉感染,建议在超声检查前将耦合剂涂在探头表面,然后将探头置入一次性探头套中,再将耦合剂涂在探头套表面进行检查。
检查结束后取下一次性探头套,纸巾擦净探头。探头表面用75%酒精或2%戊二醛擦拭消毒。
横向扫查时,显示光滑胸膜线,至少显示2条水平方向的A线;纵向扫查时表现为"蝙蝠征"(两侧肋骨声影与之间胸膜线构成)。正常肺部图像应显示胸膜线、A线,能够观察到肺滑动征(图4)。


胸膜线:胸膜与肺表面界面声阻抗差异形成的回声反射,呈光滑、清晰、规则的线性高回声。
A线:胸膜与肺界面声阻抗的差异产生多重反射而形成的伪像,位于胸膜线下方,呈一系列与之平行的光滑、清晰、规则的线性高回声,彼此间距相等,回声由浅入深逐渐减弱至消失。
肺滑动征:实时超声下可见脏层胸膜与壁层胸膜随呼吸运动而产生一种水平方向的相对滑动。
沙滩征:M型模式扫查,可见由胸膜线上方波浪线样的线性高回声与胸膜线下方由肺滑动产生的均匀颗粒样点状回声共同形成类似沙滩样表现的超声影像(图5)。




应观察是否存在胸膜线异常(光滑、连续性)、B线(数目及分布)、实变(范围、支气管充气征)、胸腔积液(性质)、气胸等。B线、肺泡间质综合征与白肺(图7)三种声像图表现反映肺内含水量由轻到重的程度。


B线:起始于胸膜线并与之垂直,呈放射状纵向发散至肺野深部的线性高回声。
肺点:随着呼吸运动,在实时超声下所见肺滑动存在与肺滑动消失交替点出现的分界点称为肺点(图8A所示)。


肺搏动征:胸膜线与心脏一致的运动,反映肺充气不足,该征象的存在可排除气胸。
平流层征:当肺滑动消失时,在M型超声下,胸膜线下方的颗粒样点状回声被一系列平行线所替代,称平流层征或条形码征(图8B)。
肺泡间质综合征:当任一扫描区域内有连续两个以上肋间隙存在融合B线时。
白肺:如果两侧肺的每个扫描区域均表现为致密B线即为白肺。
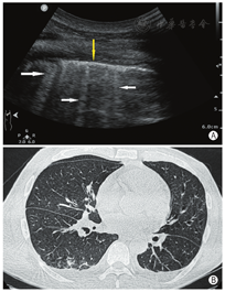
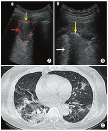
肺实变:肺组织完全失气化后表现为实性组织回声,呈大小不等的斑片状或者"肝样变",可伴有"支气管充气征"或者"支气管充液征"(图9)。


胸腔积液:超声表现为胸膜腔内低/无回声区,可见条索样分隔,脓胸时应注意与实变的肺组织鉴别(图10)。


气胸:存在胸膜线与A线,肺滑动征消失,无B线存在,可见肺点,M型表现为平流层征,其诊断流程如图11所示。


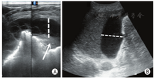
横向扫查图像测量病灶最大左右径和最大前后径,纵向扫查图像测量病灶最大上下径。
测量最大深度(具体测量方法见图10下方注释)。
少量:平卧位时液体深度小于2 cm或坐位时液体平面局限于肋膈角(积液量小于500 ml)。
中量:平卧位时液体深度为2~4 cm或者坐位时液平面位于膈顶至第6肋间(积液量约500~1 000 ml)。
大量:平卧位时液体宽度大于4 cm或者坐位时液平面高于第6肋间(积液量大于1 000 ml)。

肺部超声动态评估随访表
肺部超声动态评估随访表
| 超声表现 | 扫查点 | ||||||||||
|---|---|---|---|---|---|---|---|---|---|---|---|
| 右肺 | 左肺 | ||||||||||
| 1 | 2 | 3 | 4 | 5 | 1 | 2 | 3 | 4 | 5 | ||
| 胸膜线 | |||||||||||
| B线 | |||||||||||
| 肺泡间质综合征 | |||||||||||
| 白肺 | |||||||||||
| 实变 | |||||||||||
| 胸腔积液性质及半定量 | 单纯性 | ||||||||||
| 复杂性 | |||||||||||
| 气胸 | |||||||||||
备注:胸膜线:A=光滑,B=粗糙,C=中断;B线:有(√),无(×);肺泡间质综合征:有(√),无(×);白肺:有(√),无(×);实变:测量大小,单位:mm;胸腔积液:定量;气胸:有(√),无(×)
1.肺部超声检查的局限性在于对患者的依赖性,特别对皮脂厚的肥胖患者。出现皮下气肿和胸部有大的敷料覆盖时,会阻碍超声波的传播,从而影响检查结果。
2.肺部超声并不能排除诊断未累及胸膜的肺部异常。特别是在肺实变时,一些肿瘤位于被气体包裹的肺叶中央位置,难以检测到。
3.肺泡间质综合征可能会占据胸膜下的空间,局灶性肺泡间质综合征有时可作为内部病理状态的外部报警器,例如病变周围间质水肿就是炎症或受损的淋巴管引流导致的。
病例1.男,77岁,因"反复发热2周"入院。体温波动于37~38.5 ℃,以下午及夜间明显。入院后行胸部CT检查提示:双肺炎症,病毒性肺炎不能除外。既往有高血压病史30余年;10年前行胆囊切除术、下肢静脉曲张手术;3年前行前列腺癌手术。近2周无武汉疫区居留史,未接触武汉返乡人员(本病例由川北医学院附属医院提供,图12)。


病例2:女,63岁,因"咳嗽、发热、畏寒4天"入院,体温最高39℃。CT:双肺多叶段散在斑片状磨玻璃影,以右肺下叶为主,双侧胸膜增厚。既往有"高血脂"、"甲状腺功能减退",17年前行"子宫全切术"。出生并久居武汉,2020年1月18日到成都旅游,之前未接触类似发热患者(本病例由成都市公共卫生医疗中心提供,图13)。


病例3:男,50岁,因"尿少2年,心累、气促1月、发热、咳嗽2天"入院,体温最高38.5 ℃。2020年1月15日院外胸部CT示:双肺散在模糊小结节,双肺下叶感染,双侧胸腔少量积液;2020年1月2日院外复查CT示:双肺感染灶明显进展,呈散在结节斑片影,部分结节内可见空洞,空洞内可见内容物;2020年2月4日复查CT:双肺散在斑片、磨玻璃、点结、纤维条影,密度不均,边界模糊,双侧胸腔少量积液,心包腔少量积液。既往有"肾功能不全尿毒症期""高血压病3级""2型糖尿病"等。1月前因慢性肾功能衰竭在武汉某三甲医院ICU住院治疗17天,于2020年1月13日到成都某医院因重症肺炎、病毒性肺炎、慢性肾病住院治疗8天后,以"新型冠状病毒肺炎疑似患者"到定点医院隔离治疗,后核酸检测阳性确诊(本病例由成都市公共卫生医疗中心提供,图14)。


医生实施超声标准化检查,规范化留存图像或视频,上传至云端储存。
医生遇到疑难问题时,通过会诊系统随时呼叫超声会诊平台,上传肺部超声静态和动态图像。
审校组:姜玉新(北京协和医院);张运(山东大学齐鲁医院);梁萍(中国人民解放军总医院第一医学中心);解立新(中国人民解放军总医院第一医学中心);詹庆元(中日友好医院);赵世华(北京阜外医院)
执笔组:尹立雪(电子科技大学附属医院·四川省人民医院);周鸿(西南交通大学附属医院·成都市第三人民医院);金梅(电子科技大学医学院附属妇女儿童医院·成都市妇女儿童中心医院);岳文胜(川北医学院附属医院)
专家组:田家玮(哈尔滨医科大学附属第二医院);王文平(复旦大学中山医院);周晓东(空军军医大学西京医院);潘频华(华中南大学湘雅医院);黎毅敏(广州医科大学附属第一医院);李建初(北京协和医院);程印蓉(成都市第一人民医院);陈琴(电子科技大学附属医院·四川省人民医院);谯朗(四川省中西医结合医院);林军(成都市公共卫生临床医疗中心);巨学明(电子科技大学附属医院·四川省人民医院);胡才宝(浙江医院);杨胜(电子科技大学医学院附属妇女儿童医院·成都市妇女儿童中心医院);文杨(电子科技大学医学院附属妇女儿童医院·成都市妇女儿童中心医院)
秘书组:周洋(西南交通大学附属医院·成都市第三人民医院);马荣川(电子科技大学医学院附属妇女儿童医院·成都市妇女儿童中心医院);黄多(川北医学院附属医院);罗安果(电子科技大学附属医院·四川省人民医院);李焕兴(成都市公共卫生临床医疗中心)
(图片修改自https://litfl.com/ultrasound-library/lung/)













| 肺部病理 | 超声表现 | 分布 |
|---|---|---|
| 正常肺 | 肋骨和肋骨声影:存在高回声胸膜线:存在肺滑动征:存在A线:存在M型:沙滩征存在可看到孤立B线 | 双侧肺基底侧区 |
| 肺气肿/哮喘/慢性阻塞性肺病 | 肋骨和肋骨声影:存在E线:缺失A线:存在若存在过度通气,肺滑动则减弱 | 受累肺的病变区 |
| 肺栓塞 | A线:存在外周型肺栓塞,可见胸膜下楔形组织样回声可能存在局灶性/基底胸腔积液 | 双肺局灶性/多灶性不均匀 |
| 气胸 | 肋骨和肋骨声影:存在高回声胸膜线:存在肺滑动征:缺失A线:存在B线:无特异性肺点:存在肺搏动征:缺失M型:存在平流层征 | 患侧胸 |
| 胸腔积液 | 肋骨和肋骨声影:存在高回声胸膜线和肺滑动征:缺失无(暗)回声间隙:存在(若为渗出性积液,则存在内部回声)若肺下叶通气,则存在高回声肺包膜线M型:若肺下叶通气,则存在窦状征,四边形征 | 患侧胸 |
| 肺水肿 | 肋骨和肋骨声影:存在高回声胸膜线和肺滑动征:存在胸膜线和胸膜下异常:缺失A线:存在B线:明显且≥2个双侧区域+ | 双肺均匀受累区 |
| 急性肺损伤/急性呼吸窘迫综合征 | 肋骨和肋骨声影:存在胸膜线:存在肺滑动征:存在或者可能减弱胸膜和胸膜下异常:存在可见到前胸膜下组织样回声A线:存在B线:明显但间隔不规则 | 双肺不均匀,余区外观正常 |
| 肺纤维化 | 肋骨和肋骨声影:存在胸膜线和肺滑动征:存在肺滑动征:正常或可能减弱胸膜线和胸膜下异常:存在A线:存在B线:明显且有间隔 | 受累肺可能是双侧或单侧局灶性/多灶性不均匀 |
| 肺挫伤 | 肋骨和肋骨声影:存在胸膜线和肺滑动征:存在肺滑动征:正常或可能减弱胸膜线和胸膜下异常:存在A线:存在B线:明显且有间隔或拥挤 | 受累肺可能是双侧或单侧局灶性/多灶性不均匀 |
| 间质性/支气管肺炎 | 肋骨和肋骨声影:存在胸膜线和肺滑动征:存在肺滑动征:正常或可能减弱胸膜线和胸膜下异常:存在A线:存在B线:明显且有间隔或拥挤 | 受累肺可能是双侧或单侧局灶性/多灶性不均匀 |
| 肺炎实变 | 肋骨和肋骨声影:存在胸膜线和肺滑动征:缺失肺实变的组织样回声结构动态支气管充气征/支气管充液征:存在碎片征:存在 | 受累肺可能是双侧或单侧局灶性/多灶性不均匀 |
| 肺不张 | 肋骨和肋骨声影:存在胸膜线和肺滑动征:缺失肺不张的组织样回声结构动态支气管充气征/支气管充液征:缺失碎片征:缺失肺不张合并征:存在肺不张病情发展依赖通气的影像特征 | 受累肺 |
修改自:Lung India,2015,32(3):250-257.DOI:10.4103/0970-2113.156245.


修改自:Lung India,2015,32(3):250-257.DOI:10.4103/0970-2113.156245.
























