
版权归中华医学会所有。
未经授权,不得转载、摘编本刊文章,不得使用本刊的版式设计。
除非特别声明,本刊刊出的所有文章不代表中华医学会和本刊编委会的观点。
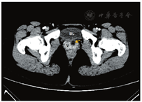
患者女,20岁,因"人工流产术后左下腹痛伴发热2个月余"来我院检查。经阴道超声示:左侧附件区见大小约91 mm×21 mm的无回声包块,其下缘位置较低,达尿道与阴道前壁间隙。初诊超声医生考虑左侧输卵管积脓可能。妇科以"盆腔炎性疾病后遗症:左侧输卵管积脓?"收治入院,完善相关检查后手术。手术前复查超声发现:左肾内可见两组肾窦高回声,上下分布、不相连,其中上组集合系统分离,前后径约41 mm;左侧自上位肾盂发出的输尿管全程扩张,内径约20 mm,下段可见隔膜,隔膜后变细异位开口似与阴道相连(图1)。超声提示:①左侧重复肾,上位肾盂、输尿管积水;②左侧输尿管所见声像,考虑左侧输尿管异位开口于阴道。盆腔磁共振成像(magnetic resonance imaging,MRI)提示:左侧输尿管积水,其末端开口于阴道左前壁,盆腔少量积液。计算机断层扫描尿路造影(computed tomography urography,CTU)提示:左侧重复肾,上位肾盂、肾盏及其连接输尿管明显积水扩张,其末端开口于阴道前壁处,上组集合系统及其连接输尿管未见造影剂填充(图2)。




追问病史,患者口述自幼至今仅在剧烈运动出现阴道漏尿症状,每次数滴。遂诊断为"左侧重复肾,左上输尿管扩张并异位开口于阴道",转诊至泌尿外科,行达芬奇机器人辅助下腹腔镜"左侧重复肾输尿管切除术+左侧肾周粘连松解术+盆腔粘连松解术"。手术结果:左侧完全性重复肾,左侧上位扩张的输尿管末端附着于阴道左前壁处。病理结果:左肾节段性发育不良;左输尿管慢性炎症,部分呈囊性扩张。
最终诊断:左侧完全性重复肾,左侧上位肾盂积水;左侧上位输尿管扩张、末端异位开口于阴道;泌尿系统感染。
输尿管异位开口是指输尿管开口于正常膀胱三角区以外部位的先天性疾病,其胚胎学是由于妊娠5~8周时中肾管、副中肾管发育异常,输尿管芽从中肾管分离延迟或不分离所致[1] ,常伴有重复集合系统畸形,根据Weigert-Meyer定律,通常为上位输尿管开口异位,下位输尿管正常插入膀胱[2]。输尿管异位开口多表现为正常排尿外滴尿,部分症状不明显,易漏误诊,其发病率可能被低估,尸检研究发病率为0.05%,多在儿童时期被确诊,成人较为少见;女性多于男性,女性多见于膀胱颈及上部尿道(33%)、尿道与阴道口之间的阴道前庭(33%)、阴道(25%)等,男性多见于后尿道(50%)、射精管等[2]。
而输尿管异位开口于阴道临床表现:①阴道漏尿、会阴部潮湿;②常因异位开口狭窄导致其引流的肾组织积水、萎缩,伴有反复的泌尿系统感染症状[3]。
超声为评估输尿管异位开口于阴道的首要检查方法,其主要表现:①膀胱后方尿道阴道间隙见管状无回声包块,向上始于其引流侧肾脏,向下延续至阴道壁;②彩色多普勒示内部未见血流信号;③常合并有同侧肾发育异常,如重复肾、肾发育不良、肾异位等[4]。此外,还可通过静脉尿路造影(intravenous urography,IVU)、CTU、MRI等检查手段辅助诊断该疾病。部分患者因临床症状较隐匿,易漏误诊,需与以下疾病相鉴别:①输卵管积水,输卵管积水一般走行于卵巢的外侧方,无尿失禁、阴道漏尿等临床症状,而输尿管异位开口于阴道见管状无回声区走行于膀胱后方尿道阴道间隙,输尿管末端开口于阴道壁;②盆腔扩张血管,彩色多普勒可观察到扩张的血管内彩色血流信号。
对于输尿管异位开口、引流重复肾无功能且伴泌尿系症状者,应用腹腔镜行上位肾及其连接输尿管切除术是最有效的治疗手段[5],旨在保护下位肾脏功能,消除漏尿、反复泌尿系统感染等症状,提高患者生活质量。
本例中患者阴道漏尿症状较隐匿,分析病史考虑由于输尿管下段见隔膜且异常开口处较狭窄所致;首诊超声医师未对盆腔包块来源进行追踪而导致误诊。吸取此次超声漏误诊教训,当发现女性患者盆腔管状无回声包块时,应扩大观察范围,判断管状无回声包块的来源、走行、与周围脏器的毗邻关系等;因胚胎时期泌尿系统与生殖系统发育关系密切,当发现无法明确来源的生殖系统异常时,需对泌尿系统进行联合扫查,以期作出准确诊断。此外,对本例患者使用凸阵探头扫查示扩张输尿管末端延伸至阴道前壁,改用线阵探头扫查示扩张输尿管下段可见狭窄,狭窄后输尿管变细异位开口于阴道壁,利用不同频率探头的特点对疾病进行全面观察及诊断,可提供更多诊断信息,减少漏误诊。
总之,输尿管异位开口于阴道是一种先天性泌尿生殖畸形,多合并重复集合系统畸形,易漏误诊。本病早期诊断和治疗对改善患者生活质量及防止肾功能进一步恶化有积极意义。超声在诊断该疾病方面具有较高价值,本研究总结了输尿管异位开口于阴道的临床及超声表现,旨在提高对该疾病的认识,为临床提供诊断依据,以便及早发现、尽早治疗。
所有作者均声明不存在利益冲突





















