
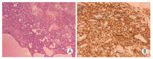
患者女,34岁,于顺产后43 d检查发现右侧卵巢囊实性肿块入院治疗。既往体健,生育史:孕4产2,曾流产2次。妇科查体:子宫正常大小,活动可,于右侧附件区可扪及一直径约5 cm肿块,活动可,界清,无明显压痛,左侧附件区未扪及明显肿块。辅助检查:CEA、CA199、CA125、AFP、卵巢癌相关抗原均为阴性。经阴道超声示:子宫体积正常(三径和约142 mm,宫颈厚28 mm,内膜厚约5.0 mm),宫壁未见明显肿块占位;右侧卵巢体积大、内可见一大小约49 mm×41 mm×39 mm的囊实性肿块,肿块边界清楚,形态规则,内部回声不均匀,可见多个囊性无回声区(较大者约13 mm×11 mm)(图1),能量多普勒示肿块内部及周边可见点条状血流信号(图2),脉冲多普勒(PW)示最高流速(Vmax)0.18 m/s,最低流速(Vmin)0.09 m/s,阻力指数(RI)0.50;子宫及左侧附件区未见明显异常回声。超声提示:①右侧卵巢内囊实性肿块;②子宫及左侧卵巢未见明显异常。进一步行超声造影成像示:增强早期时,右侧卵巢内肿块周边呈环状高增强,并早于子宫肌层增强(图3);内部实性部分呈不均匀等增强,并与子宫肌层同步增强;内部囊性部分无增强(图4)。造影剂消退时,肿块内部早于子宫肌层消退,而周边仍呈环状增强(图5),超声造影提示右卵巢肿块血供较丰富,表现"快进快退"。磁共振增强扫描提示:子宫右上方占位,考虑来源右卵巢性索间质肿瘤-颗粒细胞瘤可能,其他待排。术前拟诊"盆腔肿块性质待查",予行腹腔镜下右侧附件切除术,术中所见:右侧卵巢内见一肿瘤,直径约5 cm,呈囊实性,表面包膜完整,右侧输卵管攀附其上,外观正常;子宫正常大小,左侧卵巢及输卵管外观正常。术后病理镜下见肿瘤细胞弥漫性增生,呈片状、条索状,灶性腺样结构,部分区域可见大小不等的囊腔,核大小较一致,圆形或椭圆形,核仁可见,核分裂象约1~2个/10HPF,间质纤维组织及厚壁血管增生,黏液样变、灶性出血。免疫组化结果显示:Vimentin(+),CD10(+),ER(-),PR(-),CD34(血管+),EMA(-),P53(散在弱+),Ki67(灶性15%+)(图6)。结合免疫组化考虑卵巢性索-间质肿瘤,倾向卵巢间质瘤,送至复旦大学妇产医院会诊,诊断为右侧卵巢微囊性间质瘤。
版权归中华医学会所有。
未经授权,不得转载、摘编本刊文章,不得使用本刊的版式设计。
除非特别声明,本刊刊出的所有文章不代表中华医学会和本刊编委会的观点。
患者女,34岁,于顺产后43 d检查发现右侧卵巢囊实性肿块入院治疗。既往体健,生育史:孕4产2,曾流产2次。妇科查体:子宫正常大小,活动可,于右侧附件区可扪及一直径约5 cm肿块,活动可,界清,无明显压痛,左侧附件区未扪及明显肿块。辅助检查:CEA、CA199、CA125、AFP、卵巢癌相关抗原均为阴性。经阴道超声示:子宫体积正常(三径和约142 mm,宫颈厚28 mm,内膜厚约5.0 mm),宫壁未见明显肿块占位;右侧卵巢体积大、内可见一大小约49 mm×41 mm×39 mm的囊实性肿块,肿块边界清楚,形态规则,内部回声不均匀,可见多个囊性无回声区(较大者约13 mm×11 mm)(图1),能量多普勒示肿块内部及周边可见点条状血流信号(图2),脉冲多普勒(PW)示最高流速(Vmax)0.18 m/s,最低流速(Vmin)0.09 m/s,阻力指数(RI)0.50;子宫及左侧附件区未见明显异常回声。超声提示:①右侧卵巢内囊实性肿块;②子宫及左侧卵巢未见明显异常。进一步行超声造影成像示:增强早期时,右侧卵巢内肿块周边呈环状高增强,并早于子宫肌层增强(图3);内部实性部分呈不均匀等增强,并与子宫肌层同步增强;内部囊性部分无增强(图4)。造影剂消退时,肿块内部早于子宫肌层消退,而周边仍呈环状增强(图5),超声造影提示右卵巢肿块血供较丰富,表现"快进快退"。磁共振增强扫描提示:子宫右上方占位,考虑来源右卵巢性索间质肿瘤-颗粒细胞瘤可能,其他待排。术前拟诊"盆腔肿块性质待查",予行腹腔镜下右侧附件切除术,术中所见:右侧卵巢内见一肿瘤,直径约5 cm,呈囊实性,表面包膜完整,右侧输卵管攀附其上,外观正常;子宫正常大小,左侧卵巢及输卵管外观正常。术后病理镜下见肿瘤细胞弥漫性增生,呈片状、条索状,灶性腺样结构,部分区域可见大小不等的囊腔,核大小较一致,圆形或椭圆形,核仁可见,核分裂象约1~2个/10HPF,间质纤维组织及厚壁血管增生,黏液样变、灶性出血。免疫组化结果显示:Vimentin(+),CD10(+),ER(-),PR(-),CD34(血管+),EMA(-),P53(散在弱+),Ki67(灶性15%+)(图6)。结合免疫组化考虑卵巢性索-间质肿瘤,倾向卵巢间质瘤,送至复旦大学妇产医院会诊,诊断为右侧卵巢微囊性间质瘤。












本研究经医院伦理委员会审批同意(批号:2021027)。
卵巢微囊性间质瘤(microcystic stromal tumor,MCST)是一种罕见的以微囊结构为特征的肿瘤,由Irving和Young于2009年首次报道[1]。2014年WHO卵巢肿瘤分类中将其归为单纯的间质肿瘤。卵巢MCST患者发病年龄为26~69岁,多发生于单侧卵巢,肿瘤大小2~27 cm不等[2]。大体表现多为囊实性,也有少数实性或囊性,局部可见出血及坏死[3,4]。临床主要表现为盆腔肿块或者附件区肿块,若肿块较大可致下腹部疼痛及腹胀,极少数表现为月经异常,如子宫异常出血、月经推迟、经量增多等症状。
卵巢MCST形态学表现上有完整的包膜,且实性肿块内部有特征性的微囊结构,这些在二维超声图像上有相应的表现,如本例患者卵巢MCST经阴道超声表现为卵巢内囊实性肿块,肿块边缘可见少量正常卵巢组织并与卵巢界线清楚,肿块边界清楚,形态规则,中央部可见多个规则的囊性无回声区(长径约10 mm)、透声好。彩色血流示肿块周边可见半环形血流信号,内部可见少许点状血流信号显示,频谱多谱勒显示为中等阻力。超声造影增强早期表现为包膜最先呈环状高增强(始增时间早于宫体),内部与宫体同步等增强,并由周围向中心增强,消退期表现为内部早于子宫肌层消退,而包膜仍呈环状持续高增强。
本例患者右侧卵巢囊实性肿块实性部分>50%,有中央型血流,RI等于0.50,按GI-RADS分类分为4类,考虑为卵巢良性肿瘤可能性大,卵巢以实性为主的肿瘤应与恶性肿瘤相鉴别,卵巢恶性肿瘤在超声声像图上大多表现为边界不清,形态不规则,内部回声不均匀,易与周边组织粘连并呈浸润性生长,内部血流信号丰富且杂乱无章,超声造影表现为早增强,达峰时间短、峰值强度高,晚消退,这些表现可以与卵巢MCST区别从而考虑其良性的可能性大。
卵巢MCST超声表现为以微囊为特征的包膜完整、边界清楚,形态规则的囊实性肿块,囊性部分形态规则、透声好,实性部分回声均匀,彩色多普勒超声示内部及周边中等量的血流信号显示。卵巢MCST还应与其他卵巢囊实性肿瘤进行鉴别,如卵泡膜细胞瘤、卵巢颗粒细胞瘤、卵巢纤维瘤等。①卵泡膜细胞瘤:好发于绝经后女性,常表现为雌激素水平增高引起的月经紊乱和子宫出血,超声表现为低回声实性肿块,表面光整,内部回声不均匀,当肿块较大时可有液化,边界欠清或不清,形态尚规则,部分伴后方回声衰减;彩色多普勒超声示内部及周边血流少许血流信号显示[5,6]。②卵巢颗粒细胞瘤:该病临床特征明显,大部分患者会出现不规则阴道出血症状,超声表现多样化,分为单纯囊性包块、实性包块及囊实混合性包块等,以囊实性多见,边界清楚,肿块较小时表现为形态规则、回声不均匀的低回声实性肿块,肿块较大时表现为实性成分中见多发小囊腔散在分布,囊壁及纤维分隔较明显强化;彩色多普勒超声示内部及周边较丰富的血流信号显示[7,8]。③卵巢纤维瘤:常发生于单侧,多见于绝经期女性,伴有腹水时称梅格斯综合征,超声表现为边界清楚、形态规则、内部回声均匀的实性肿块,常呈圆形或者椭圆形,后方伴栅栏样衰减;彩色多普勒超声示内部及周边未见明显血流信号显示[9,10]。
至今为止只有Zhang等[11]报道了1例卵巢MCST术后复发转移的病例,其余病例术后短期或者长期随访均未见明显异常。本例患者随访5年余亦未见复发转移,所以卵巢MCST生物学行为倾向于良性[12],目前还是以手术治疗为主,辅以术后随访复查。
综上所述,卵巢MCST经阴道超声检查能显示肿瘤的位置、边界形态及内部回声,超声造影后能明确肿瘤包膜完整性、了解其周边及内部组织的血流情况,判断有无周围组织受累,可为临床判断肿瘤的良恶性提供更多参考依据。目前鲜有卵巢MCST的影像学报道,无超声图像特征性表现的大样本研究,最终确诊仍需依靠病理和免疫组化检查。
所有作者均声明不存在利益冲突





















