
作为肺结核和慢性阻塞性肺疾病(COPD)的高负担国家,我国关于结核相关阻塞性肺疾病(TOPD)的相关研究仍非常匮乏。
比较TOPD与COPD临床特征及肺功能的差异,探讨TOPD患者影像学特征与肺功能变化的关系,以期提高临床医师对该病的认识。
回顾性分析新疆维吾尔自治区第四临床医学院2018年1月至2020年11月临床诊断为TOPD的患者(TOPD组)387例和COPD患者(COPD组)364例,采用倾向性评分匹配法(PSM)对两组患者进行匹配,具体设定匹配因素包括性别、年龄、民族,匹配比例为1∶2。比较TOPD组与COPD组的临床资料及肺功能指标第1秒用力呼气容积/用力肺活量(FEV1/FVC)、第1秒用力呼气容积占预计值百分比(FEV1%pre)、用力肺活量占预计值百分比(FVC%pre),进一步描述TOPD患者影像学表现,采用Spearman秩相关分析进行影像学与肺功能的相关性分析。
PSM匹配后,两组患者性别、年龄、民族比较,差异均无统计学意义(P>0.05);TOPD组患者发病年龄低于COPD组,住院天数长于COPD组(P<0.05);TOPD组FEV1/FVC、FEV1%pre均低于COPD组(P<0.05)。影像学表现:TOPD患者结核瘢痕发病部位多见于右肺上叶、右肺下叶,并且部分患者存在一定程度的肺气肿和支气管扩张征象。Spearman秩相关分析结果显示,受累叶数与FEV1/FVC、FEV1%pre、FVC%pre均呈负相关(rs=-0.202,P=0.011;rs=-0.456,P<0.001;rs=-0.442,P<0.001)。
与COPD患者相比,TOPD患者具有年龄偏低、住院时间更长、肺功能阻塞性通气功能障碍更甚等特点,此外结核受累叶数与肺功能存在负相关关系。
本刊2022年版权归中国全科医学杂志社所有
未经编辑部许可,不得任意转载和摘编
本刊所发表作品仅为作者观点,并不代表编委会和编辑部意见
如有印装质量问题请向本刊发行部调换
慢性阻塞性肺疾病(COPD)是一种常见的以持续性呼吸道症状和气流受限为特征的慢性呼吸系统疾病[1,2]。吸烟、生物质燃料暴露等是造成COPD的传统危险因素[3]。本课题组前期的一项流行病学调查显示,肺结核病史同样是造成COPD患病风险增加的重要原因[4],另有队列研究在调整了性别、年龄等混杂因素后发现肺结核病史可作为气流阻塞性通气功能障碍的独立预测因子,其相对危险度估计值为1.37[5];阻塞性肺疾病负担研究(the burden of obstructive lung disease,BOLD)也提示肺结核病史是患者晚年发生气流阻塞的重要危险因素[6]。2013年ALLWOOD等[7]首次提出结核相关阻塞性肺疾病(tuberculosis associated obstructive pulmonary disease,TOPD)的概念。世界卫生组织统计显示2000—2016年约有16%结核病患者死于TOPD等肺结核后遗症[8],在全球范围尤其是对发展中国家造成了沉重的社会和经济负担。
作为肺结核和COPD的高负担国家,我国关于TOPD的临床研究和实验研究仍旧非常匮乏,对该病的了解、认识和重视程度不够。为此,本研究拟对TOPD相关临床资料进行回顾性分析,并采用倾向性评分匹配法均衡组间协变量差异以减少研究偏倚、提高研究效率,旨在初步探索TOPD患者肺功能及影像学特征。
(1)中国作为肺结核和慢性阻塞性肺疾病的高负担国家,结核相关阻塞性肺疾病(TOPD)造成的危害很大。倾向性评分匹配法作为一种通过对组间协变量进行均衡调整的数据预处理方法,可以一定程度均衡组间协变量差异。
(2)本研究采用倾向性评分匹配法初步分析了TOPD患者的临床、肺功能及影像学特征;肺功能与影像学指标的相关性研究结果提醒临床防治肺结核的重要性,上述研究结果可为TOPD的早期防治提供理论依据。
(3)本研究结果显示,与慢性阻塞性肺疾病(COPD)患者相比,TOPD患者具有年龄偏低、住院时间更长、肺功能阻塞性通气功能障碍更甚等特点,此外结核受累叶数与肺功能存在负相关关系。
回顾性分析新疆医科大学第四临床医学院2018年1月至2020年11月临床诊断为TOPD的患者(TOPD组)387例和COPD患者(COPD组)364例,其中TOPD组男218例,女169例;年龄32~95岁,平均年龄(73.3±10.3)岁。COPD组男249例,女115例;年龄41~96岁,平均年龄(76.2±10.5)岁。本项临床研究获得新疆医科大学第四临床医学院委员会审核并批准(批号:2020XE-GS083)。
TOPD患者诊断需既满足COPD诊断标准,参考2019年版慢性阻塞性肺疾病全球倡议(GOLD)[9];同时符合《中华人民共和国卫生行业标准-结核病分类(WS 196-2017)》中关于陈旧性肺结核的诊断标准[10]。
合并支气管哮喘、特发性肺间质纤维化、自身免疫性疾病及活动性肺结核等其他呼吸系统疾病。
收集两组患者的临床资料,包括性别、年龄、民族、发病年龄、住院天数。
本研究采用西门子双源螺旋CT仪获得影像学指标。嘱患者取仰卧位,屏气进行肺尖至肺底扫描,具体条件设定如下:螺距1.2、200 mAs、120 kV,层距与数据重建层厚度均设置为5.0 mm。记录患者病变性质、部位、范围和增强特征。肺功能检测由具有肺功能资格证的专业技师进行操作,进行严格质量把控。采集患者肺功能指标:第1秒用力呼气容积/用力肺活量(FEV1/FVC)、第1秒用力呼气容积占预计值百分比(FEV1%pre)、用力肺活量占预计值百分比(FVC%pre)。
使用EpiData软件录入数据,Stata 13.0和Empower(R)(www.empowerstats.com,X&Y Solutions,Inc.Boston,MA)进行数据分析,肺功能等部分缺失数据采用删除法进行处理。首先使用性别、年龄、民族等一般临床资料作为匹配因素进行倾向性评分匹配,具体按照1∶2倾向性评分匹配策略进行。计数资料使用频数和构成比表示,组间比较采用χ2检验;连续性资料若符合正态性和方差齐性检验则使用(
±s)描述,两组间比较采用两独立样本t检验,反之使用非参数Kruskal-Wallis检验。因肺结核受累叶数属于等级资料,其与肺功能的相关性分析采用Spearman秩相关检验,Spearman秩相关强弱标准为:微弱负相关(|R|<0.3);低度负相关(0.3≤|R|<0.5)。设定检验水准为0.05。
倾向性评分匹配前,两组患者性别、年龄、民族比较,差异均有统计学意义(P<0.05)。将性别、年龄、民族作为匹配变量进行1∶2倾向性评分匹配操作,分别有47例TOPD患者和94例COPD患者匹配成功。匹配后,两组患者性别、年龄、民族比较,差异均无统计学意义(P>0.05)。
匹配前、后TOPD组患者住院天数均长于COPD组,差异有统计学意义(P<0.05);匹配前两组发病年龄比较,差异无统计学意义(P>0.05);匹配后TOPD组患者发病年龄低于COPD组,差异有统计学意义(P<0.05),见表1。

倾向性评分匹配前后两组临床资料比较
Comparative analysis of clinical data before and after propensity score matching between the two groups
倾向性评分匹配前后两组临床资料比较
Comparative analysis of clinical data before and after propensity score matching between the two groups
| 变量 | 匹配前 | 匹配后 | |||||||
|---|---|---|---|---|---|---|---|---|---|
| TOPD组(n=387) | COPD组(n=364) | χ2(t)值 | P值 | TOPD组(n=47) | COPD组(n=94) | χ2(t)值 | P值 | ||
| 性别〔n(%)〕 | 11.632 | 0.001 | 3.698 | 0.054 | |||||
| 男 | 218(56.3) | 249(68.4) | 32(70.2) | 48(51.1) | |||||
| 女 | 169(43.7) | 115(31.6) | 15(29.8) | 46(48.9) | |||||
年龄( ±s,岁) | 73.3±10.3 | 76.2±10.5 | -3.963a | <0.001 | 69.9±10.3 | 71.3±11.0 | -0.737a | 0.464 | |
| 民族〔n(%)〕 | 14.988 | 0.020 | 7.848 | 0.165 | |||||
| 汉族 | 234(60.3) | 249(68.4) | 38(80.9) | 56(59.6) | |||||
| 回族 | 22(5.7) | 25(6.9) | 0 | 3(3.2) | |||||
| 维吾尔族 | 116(29.9) | 69(19.0) | 8(17.0) | 26(27.7) | |||||
| 哈萨克族 | 8(2.1) | 11(3.0) | 1(2.1) | 5(5.3) | |||||
| 满族 | 2(0.5) | 2(0.5) | 0 | 1(1.1) | |||||
| 蒙古族 | 3(1.0) | 2(0.5) | 0 | 0 | |||||
| 其他 | 2(0.5) | 6(1.6) | 0 | 3(3.2) | |||||
发病年龄( ±s,岁) | 59.0±12.8 | 60.4±13.8 | -1.429a | 0.153 | 56.8±11.9 | 63.3±12.6 | -2.927a | 0.004 | |
住院天数( ±s,d) | 9.9±3.9 | 8.2±1.9 | 7.387a | <0.001 | 10.8±2.8 | 8.2±1.9 | 6.163a | <0.001 | |
注:a表示t值;TOPD=结核相关阻塞性肺疾病,COPD=慢性阻塞性肺疾病
匹配前,两组FVC%pre比较,差异无统计学意义(P>0.05);TOPD组FEV1/FVC、FEV1%pre均低于COPD组,差异有统计学意义(P<0.05)。
匹配后,两组FVC%pre比较,差异无统计学意义(P>0.05);TOPD组FEV1/FVC、FEV1%pre均低于COPD组,差异有统计学意义(P<0.05),见表2。

倾向性评分匹配前后两组肺功能指标比较(
±s,%)
Comparison of lung function indexes between the two groups before and after matching propensity score
倾向性评分匹配前后两组肺功能指标比较(
±s,%)
Comparison of lung function indexes between the two groups before and after matching propensity score
| 肺功能指标 | 匹配前 | 匹配后 | ||||||
|---|---|---|---|---|---|---|---|---|
| TOPD组(n=159) | COPD组(n=232) | t值 | P值 | TOPD组(n=47) | COPD组(n=94) | t值 | P值 | |
| FEV1/FVC | 53.01±8.32 | 57.36±13.61 | -3.595 | <0.001 | 55.57±7.40 | 61.23±12.06 | -2.938 | 0.004 |
| FEV1%pre | 51.32±15.51 | 57.14±23.21 | -2.766 | 0.006 | 53.18±11.72 | 58.06±13.21 | -2.132 | 0.035 |
| FVC%pre | 76.60±18.92 | 78.43±20.32 | 0.896 | 0.371 | 76.51±15.47 | 79.77±13.95 | -1.254 | 0.212 |
注:FEV1/FVC=第1秒用力呼气容积/用力肺活量,FEV1%pre=第1秒用力呼气容积占预计值百分比,FVC%pre=用力肺活量占预计值百分比;匹配前肺功能指标数据存在缺失
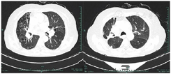
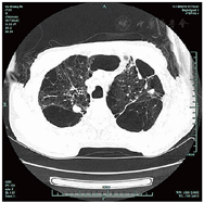
共317例TOPD患者完成影像学检查。TOPD患者肺部CT显示多处钙化结节等结核瘢痕,部分患者存在一定程度的肺气肿和支气管扩张征象,见图1,图2,图3。TOPD患者左肺上、舌、下叶的结核瘢痕阳性分别为176例(55.5%)、120例(37.9%)和126例(39.7%),右肺上、中、下叶的结核瘢痕阳性分别为215例(67.8%)、142例(44.8%)、168例(52.9%);左肺的支气管扩张征象主要集中在左肺舌叶,右肺主要位于中叶、下叶;肺气肿在双肺间分布较为均衡,见图4。


注:患者男,79岁,显示纵隔内及双肺门见增大的淋巴结钙化。双肺上叶见斑片、条索影,其内可见斑点状钙化;右肺中叶及下叶支气管呈囊状、柱状扩张,管壁增厚;双肺内多发小结节影;双肺内散在类圆形薄壁空腔影


注:患者男,双上肺见多发散在斑片状钙化灶及索条影,双肺内见散在无壁空腔影,双肺胸膜下可见多发网格状阴影及肺大泡影


注:患者男,78岁,双肺见多发薄壁空腔影,右肺上叶尖段见扩张支气管影;右肺中叶见实变影,部分钙化,其内见充气支气管征象;右肺下叶可见散在钙化结节、索条影,可见充气支气管征、肺气肿


受累叶数与FEV1/FVC、FEV1%pre、FVC%pre均呈负相关(rs=-0.202,P=0.011;rs=-0.456,P<0.001;rs=-0.442,P<0.001),见图5,图6,图7。


注:实线为线性拟合线,虚线为均值置信区间;FEV1/FVC=第1秒用力呼气容积/用力肺活量


注:实线为线性拟合线,虚线为均值置信区间;FEV1%pre=第1秒用力呼气容积占预计值百分比


注:实线为线性拟合线,虚线为均值置信区间;FVC%pre=用力肺活量占预计值百分比
本研究提示TOPD患者具有年龄偏低、住院时间更长、肺功能阻塞性通气功能障碍更甚等特点,此外,该病影像学的结核受累叶数与肺功能存在负相关关系。需要说明的是,尽管研究尝试采用倾向性评分匹配方式对两组间协变量进行调整以减少回顾性研究固有的选择性偏倚,但是受回顾性研究证据等级偏低及样本量有限等影响,上述结论仍有待多中心高质量的前瞻性研究进一步证实。
一项荟萃分析结果显示,肺结核与COPD存在明显正相关关系,这一联系在40岁以下人群中尤为显著,提示肺结核可能会导致COPD的发生或提前发生[11]。本研究纳入的TOPD与COPD患者的年龄分别为(73.3±10.3)岁和(76.2±10.5)岁,发病年龄分别为(59.0±12.8)岁、(60.4±13.8)岁,倾向性评分匹配后这种差异仍然存在,与YAKAR等[12]研究结论一致。TOPD患者年龄偏低可能与肺结核相关肺损害发生较早,而吸烟、传统生物质燃料暴露等其他因素相关的肺损害发生较慢且晚有关[7]。此外,本研究也显示TOPD患者的住院天数长于COPD组。目前关于此现象相关研究仍然存在矛盾,LEE等[13]报道的一项病例对照研究显示TOPD患者与COPD患者相比,咯血现象更加常见,然而两组患者在呼吸症状、病情加重和住院时间方面无显著差异。反观研究方法,本研究仅将性别、年龄、民族等基线数据进行匹配分析,而LEE等[13]除此之外也将肺功能FEV1作为匹配变量进行分析。上述研究方法的差异提示两组患者在基线均衡情况下TOPD组可能住院时间更长,然而在基线资料和肺功能均衡的情况下,两组患者的病情加重和住院时间方面可能无显著差异。当然,上述两种方法均为小样本的病例对照研究,相关结论仍待深入研究。此外,目前非结核分枝杆菌肺病有日渐增多趋势,其病理、影像学及临床特征与肺结核十分相似,本研究纳入的陈旧性肺结核可能包含一部分非结核分枝杆菌肺病患者,并未对其进行进一步划分。
目前关于TOPD患者肺功能特征的研究逐渐增多。PLIT等[14]研究发现肺结核患者通常在确诊结核病后6个月内出现最大限度地肺功能丧失;结核发作次数的增加也加速了FEV1损伤,在1次、2次和3次结核发作后平均损失分别为153 ml、326 ml和410 ml[15];一项前瞻性研究结果显示,即便肺结核患者接受了抗结核治疗后肺功能得到改善,仍然有28%和24%的患者出现残余气流限制或限制性模式[14]。本研究发现TOPD患者的肺功能指标FEV1/FVC、FEV1%pre均低于COPD患者,提示TOPD患者肺功能阻塞性通气功能障碍较COPD患者更严重。目前引起TOPD患者肺功能改变的机制研究仍然较少。本研究采用Spearman秩相关分析结果显示,结核所致受累叶数与肺功能指标FEV1/FVC、FEV1%pre、FVC%pre均呈负相关,尽管这种关联非常微弱,但仍提示TOPD患者肺功能降低可能与结核瘢痕等结核后遗症导致肺组织结构形态学改变有关。HWANG等[16]研究也发现,有影像学改变的患者其GOLD分级更高。然而,也有研究显示气流阻塞发生在影像学改变小的患者中,提示影响TOPD患者肺功能的原因并非单纯的结核所致影像学受累,也可能与慢性气道炎症等其他因素有关[17,18]。
总之,本研究初步分析了TOPD患者的临床、肺功能及影像学特征。肺功能与影像学指标的相关性研究结果提示临床防治肺结核的重要性,尤其是对于临床上已经出现结核所致肺组织受累的患者,加强其肺功能监测和早期干预性治疗,可能对于预防TOPD的发生或减缓该病进展具有重要意义。
本文无利益冲突。

±s,岁)
±s,岁)
±s,d)



















