
海绵窦血栓性静脉炎(CST)是一种罕见且可能危及生命的疾病。随着抗生素的使用,CST的死亡率已明显下降,尽管目前CST的死亡率有所改善但仍然较高,多数由误诊引起的延误治疗所致。慢性蝶窦炎致CST伴颈内动脉血栓形成和多发脑梗死的病例报告较少见,但伴有颈内动脉血栓形成的CST可导致严重的神经系统后遗症,因此有必要迅速识别、诊断和治疗该疾病。本文报道了1例慢性蝶窦炎致CST伴颈内动脉血栓形成和多发脑梗死,并应用高分辨率磁共振成像明确有血管病变患者的诊治过程,结合文献回顾性分析CST伴颈内动脉受累的诊治及预后,并探讨其发病机制,希望为CST患者的临床治疗提供更多资料及经验。
本刊2022年版权归中国全科医学杂志社所有
未经编辑部许可,不得任意转载和摘编
本刊所发表作品仅为作者观点,并不代表编委会和编辑部意见
如有印装质量问题请向本刊发行部调换
海绵窦血栓性静脉炎(cavernous sinus thrombophlebitis,CST)是一种罕见且可能致命的疾病,通常由急性鼻窦炎感染引起[1]。CST的临床症状源自眼眶静脉引流受阻和穿过海绵窦的相关脑神经受压,表现为眶周水肿、上睑下垂、眼球突出、球结膜水肿、眼肌麻痹和视力丧失。CST炎症从海绵窦扩散到蝶鞍可影响垂体供血引起垂体功能不全[2]。在抗生素之前,CST死亡率高达80%~100%[3]。随着抗生素的使用和影像学诊断的不断进步,CST的死亡率已显著下降,尽管有所改善,但目前的死亡率仍为20%~30%[4]。同时约50%的患者有神经系统后遗症,突出了对该疾病迅速识别、诊断和治疗的必要性[5]。也正是由于抗生素的有效使用,已很少有鼻窦炎患者因炎性递质的释放导致血管壁或骨质破坏进而出现CST的情况。因慢性蝶窦炎导致的CST伴颈内动脉受累在临床上鲜见报道,本文报道了1例慢性蝶窦炎致CST伴颈内动脉血栓形成和多发脑梗死患者的诊治过程,结合文献回顾性分析CST伴颈内动脉受累的诊治及预后,并探讨其发病机制,希望为CST患者的临床治疗提供更多资料及经验,旨在提高临床医师对本病的认识。
患者,男,63岁,因"头痛伴恶心、呕吐1个月"于2019-08-07入住河北省人民医院神经内科。患者于1个月前无明显诱因出现头痛,主要表现为左侧颞部搏动性疼痛,疼痛部位相对固定,伴恶心、呕吐(非喷射性呕吐),伴畏声、畏光,伴左眼流泪、左眼皮发紧,伴大汗,疼痛程度中重度,持续时间不定,给予按摩及热敷后疼痛可稍缓解,无发热,起病前无感冒、腹泻等病史。2019-07-10就诊于当地县医院,颅脑CT:双侧基底核软化灶,双侧上颌窦、筛窦及蝶窦炎;腹部+盆腔CT:肝右叶钙化灶,前列腺增大及钙化灶;凝血五项:纤维蛋白原548 mg/dl(参考范围:200~400 mg/dl),D-二聚体0.70 mg/L(参考范围:0~0.55 mg/L),糖化血红蛋白11.5%(参考范围:4.0%~6.0%),红细胞沉降率20.8 mm/1 h(参考范围:0~15.0 mm/1 h);生化检查:空腹血糖8.9 mmol/L(参考范围:3.9~6.1 mmol/L),腰穿脑脊液压力170 mm H2O(1 mm H2O=0.009 8 kPa),脑脊液常规、细胞学检查未见明显异常。给予卡马西平、氟桂利嗪、普瑞巴林胶囊等药物治疗,间断给予曲马多肌肉注射,头痛可缓解4~5 h。3 d前患者出现左眼睑下垂,左眼不能睁开,左眼球固定,视力无明显下降;颅脑核磁共振成像(MRI)+磁共振血管造影(MRA)+液体衰减反转恢复(FLAIR)+弥散加权成像(DWI)+表观弥散系数(ADC):左侧枕叶、半卵圆中心可见DWI、FLAIR稍高信号影,ADC低信号影,MRA可见左侧颈内动脉狭窄。患者自发病以来精神、饮食、睡眠差,大便次数少,小便正常,体质量较前下降2.5~3.0 kg。28年前因创伤致右侧肱骨骨折,行手术治疗,术中输血,遗留钢钉在体内,右上肢无力,活动受限。否认高血压、糖尿病、冠心病、高脂血症、恶性肿瘤等病史;吸烟(5支/d)30余年,否认饮酒嗜好。
体格检查:体温36.4℃,心率68次/min,呼吸频率20次/min,血压141/99 mm Hg(1 mm Hg =0.133 kPa),内科查体未见明显异常。神经系统查体:意识清楚,言语流利,高级皮质功能正常;双侧瞳孔不等大(左侧瞳孔直径3.5 mm,右侧瞳孔直径3.0 mm),左眼对光反射减弱,左眼角膜反射消失,右眼上述反射正常存在,左眼球固定,右眼球各方向活动可,复视;双侧额纹及鼻唇沟对称,示齿口角不偏,伸舌居中;右上肢近端肌力0级(骨折术后遗留症状),远端肌力V级,余肢体肌力V级;双上肢腱反射减退,双下肢腱反射正常存在;左侧额面部针刺觉减退,双侧肢体深浅感觉一致对称;右侧指鼻试验不能配合,左侧指鼻试验稳准;双侧跟膝胫试验稳准,双侧病理征阴性,颈无抵抗,脑膜刺激征阴性。
专科检查:眼科,眼压、眼底未见明显异常;耳鼻咽喉科,局麻纤维鼻咽镜检查见左侧中鼻道、筛窦多发息肉样组织,右侧上鼻道小息肉样组织(图1)。考虑:慢性鼻窦炎、鼻息肉。


注:A~C箭头所示为左侧鼻道可见多个新生物,E箭头所示为右侧可见新生物,D、F显示未见新生物
实验室检查:血常规,中性粒细胞76.3%(参考范围:40.0%~75.0%)、淋巴细胞19.4%(参考范围:20.0%~50.0%)、降钙素原0.02 μg/L;尿常规,葡萄糖2+;生化全项,空腹血糖6.65 mmol/L(参考范围:3.9~6.1 mmol/L)、钾3.2 mmol/L(参考范围:3.5~5.3 mmol/L)、二氧化碳结合力31.6 mmol/L(参考范围:22.0~29.0 mmol/L)、低密度脂蛋白2.47 mmol/L、脂蛋白(a)384.5 mg/L(参考范围:0~300.0 mg/L)、余阴性;男性肿瘤全项,铁蛋白535 μg/L(参考范围:30~400 μg/L),余阴性;红细胞沉降率、C反应蛋白、风湿三项、抗核抗体、抗核抗体谱、抗中性粒细胞胞浆抗体、髓过氧化物酶抗体、人疱疹病毒4型Epstein-Barr病毒(EB)抗体IgM阴性;凝血五项,纤维蛋白原4.7 g/L(参考范围:2.0~4.0 g/L)、D-二聚体5.21 mg/L FEU(参考范围:0~0.55 mg/L FEU);血气分析,氧分压93 mm Hg、二氧化碳分压47 mm Hg(35~45 mm Hg)。
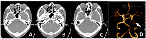
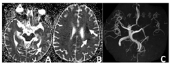
腰穿及影像学检查:腰穿见有清亮脑脊液流出,测压150 mm H2O;脑脊液体液细胞学:淋巴细胞93%、激活性淋巴细胞3%、激活性单核细胞2%、红细胞偶见,考虑存在穿刺伤;脑脊液分析(流式法):潘氏反应试验阳性(2+)、白细胞203×106/L(参考范围:0~8×106/L)、单个核细胞数198×106/L、单个核百分比97.6%;脑脊液生化:脑脊液总蛋白113.4 mg/dl(参考范围:0~50.0 mg/dl)、脑脊液糖94.7 mg/dl(参考范围:45.0~79.2 mg/dl)(指尖血糖14.0 mmol/L);血液、脑脊液细菌培养、宏基因测序阴性。双侧锁骨下动脉彩超:右侧锁骨下动脉斑块形成(狭窄率<50%),左侧未见明显异常;颈动脉彩超:双侧颈动脉球部斑块形成(狭窄率<50%),双侧颈总、颈内、颈外动脉、椎动脉未见明显异常;下肢深静脉彩超未见明显异常。胸部CT:右肺及左肺上叶尖后段散在微小结节。2019-08-08颅脑CT血管造影(CTA):左侧颈内动脉颈段末段及岩段节段性狭窄,相应管腔中-重度狭窄,远端分支较对侧稍显稀疏;双侧颈内动脉虹吸部多发钙化斑块,未见狭窄;右侧椎动脉颅内段钙化斑块,轻度狭窄;左侧大脑后动脉P1段局限性狭窄(图2)。颅脑MRI增强:左侧额顶枕叶脑沟内多发异常信号,左侧海绵窦较对侧增宽,左侧颈内动脉周围环形低信号(图3),建议进一步检查。2019-08-20颅内动脉斑块高分辨磁共振成像(HR MRI):考虑蝶窦炎致左侧海绵窦血栓性静脉炎,伴左侧颈内动脉(left internal carotid artery,LICA)大部腔内血栓形成,左侧大脑半球多发亚急性梗死;RV4近段易损斑块,管腔轻度狭窄(图4,图5,图6)。


注:A~C颅脑CT箭头所示为左侧蝶窦黏膜增厚,D颅脑CTA箭头所示为LICA狭窄、LMCA远端分支稀疏;CTA=CT血管造影,LICA=左侧颈内动脉,LMCA=左侧大脑中动脉


注:A~D箭头所示为左侧额顶枕叶脑沟内多发异常信号;E、G、H箭头所示为左侧海绵窦较对侧增宽,F箭头所示为左侧颈内动脉周围环形低信号;MRI=核磁共振成像


注:箭头所示为左侧基底节区、左额叶白质及左额顶叶皮层区见多发散在点片状DWI高信号影;DWI=核磁弥散加权成像


注:A、B颅脑ADC箭头所示为低信号影,C颅脑MRA为LICA颅内段未见显影;ADC=表观弥散系数,MRA=磁共振血管造影


注:A~D箭头所示为T1黑血序列蝶窦窦腔黏膜明显增厚,LICA管腔增宽、管径增粗;E~H箭头所示为T1强化黑血序列蝶窦窦腔黏膜明显强化、以左侧壁为著,LICA腔内为T1WI稍低高混杂信号影充填;HR MRI=高分辨磁共振成像
诊断:(1)左侧海绵窦血栓性静脉炎;(2)多发脑梗死;(3)左侧颈内动脉闭塞;(4)鼻窦炎;(5)2型糖尿病。治疗:给予降糖药阿卡波糖〔(拜耳医药保健有限公司,50 mg/片)50 mg/次,口服,3次/d〕、重组甘精胰岛素注射液〔(甘李药业股份有限公司,300 U/支)8 U/次,皮下注射,1次/睡前〕、门冬胰岛素注射液〔(诺和诺德制药有限公司,300 U/支)8 U/次、皮下注射、1次/三餐前15 min〕;抗血小板聚集药阿司匹林〔(拜耳医药保健有限公司,100 mg/片)100 mg/次,口服,1次/d〕;降脂药阿托伐他汀〔(北京嘉林药业股份有限公司,20 mg/片)20 mg/次,口服,1次/d〕;抗生素注射用头孢曲松钠〔(石药集团中诺药业有限公司,1 g/支)2 g/次,静脉滴注,1次/12 h〕、奥硝唑氯化钠注射液〔(陕西金裕制药股份有限公司,0.5 g/支)0.5 g/次,静脉滴注,1次/12 h〕;抗凝药那曲肝素钙注射液〔(Aspen Notre Dame de Bondeville,4 100 U/支) 4 100 U,皮下注射,1次/12 h〕。多次复查血常规未见明显异常,住院21 d复查凝血五项:D-二聚体1.92 mg/L FEU。出院时(2019-08-27):神清语利,双侧瞳孔等大,直径约3.0 mm,左侧瞳孔对光反射较对侧稍弱,左眼球固定,右眼球各方向活动可,余查体同前。出院后继续口服头孢克肟〔(湖南方盛制药股份有限公司,0.1 g/片)0.1 g/次,口服,2次/d〕、奥硝唑〔(四川百利药业有限责任公司,0.25 g/片)0.5 g/次,口服,2次/d〕抗感染;利伐沙班〔(拜耳医药保健有限公司,10 mg/片)10 mg/次,口服,1次/d〕抗凝;常规使用阿司匹林、阿托伐他汀、阿卡波糖、胰岛素。出院后1个月(2019-09-30)电话随访:症状明显好转,左眼眼睑上抬有力,眼球部分恢复。出院后3个月(2019-11-26)电话随访:左眼活动自如,患者症状恢复较好,未同意进一步复查颅脑磁共振(MR),因此未知后续血管情况。
本例患者为老年男性,急性起病,起初为不典型的头痛,无发热等急性感染证据,颅脑CT排除颅内占位病灶,提示慢性鼻窦炎,同时完善腰椎穿刺术排除脑膜炎,给予三叉神经痛对症治疗无明显好转;症状逐渐加重,出现CST典型临床症状(左眼睑下垂、眼球固定)。具体分析如下:(1)定位诊断:左侧三叉神经、动眼神经、滑车神经、展神经均明显受累,视力及眼内肌正常,即动眼神经交感、副交感纤维及视神经未受累,部位应在动眼神经眼外肌运动纤维与副交感纤维分叉后,但能同时累及展神经、滑车神经,综上考虑病变位置为海绵窦区。(2)定性诊断:急性起病,呈进展性特点,普瑞巴林、卡马西平药物治疗无效,结合辅助检查颅脑MRI增强、颅脑CTA排除动脉瘤、动静脉瘘,故考虑为炎性病变可能性大。积极抗感染、抗凝治疗后临床症状好转,诊断为CST。结合病史、颅脑HR MRI,考虑慢性蝶窦炎致CST。患者无眶周水肿、眼球突出、球结膜水肿等典型表现,颅脑MR提示多发、急性脑梗死,不能解释患者临床症状,为早期诊断带来挑战。
本例患者最终诊断明确,最初症状为头痛,后出现左眼睑下垂、眼球固定。需与以下疾病相鉴别:(1)三叉神经痛:是头面部三叉神经分布区反复发生的灼烧样、刀割样、电击样剧烈疼痛,是中老年人群中发病率较高的慢性顽固性疼痛疾病,分为原发性和继发性,可继发于多发性硬化、肿瘤及糖尿病神经病变;本例患者存在糖尿病病史,既往无类似病史,考虑继发性,影像学检查未见血管压迫、肿瘤,不排除糖尿病神经病变,但患者无其他周围神经损害的临床表现,且在外院给予卡马西平、普瑞巴林等神经病理性疼痛药物治疗效果差,故不支持该诊断。(2)Tolosa-Hunt综合征:病因多为海绵窦、眶上裂或眶尖部的非特异性炎症,其炎症侵袭到患者三叉神经(第一、二支)、动眼神经、滑车神经、外展神经,导致患者眼球后及眶周顽固性疼痛,疼痛数日后出现眼外肌麻痹、眼球运动受限,部分病例炎症累及眶尖,引起视力下降或视物模糊;结合本例患者颅脑MRI增强提示海绵窦区炎性改变,故不支持该诊断。(3)海绵窦区硬脑膜动静脉瘘:海绵窦区硬脑膜动静脉发生的异常血管交通,导致由海绵窦引流的静脉如眼静脉、岩下窦、岩上窦等压力升高,使被引流区域受阻引起临床症状,包括头痛、颅内杂音、眼结膜充血及复视,颅脑CTA可显示异常增粗的供血动脉及回流静脉;本例患者颅脑CTA未见异常增粗血管,故不支持该诊断。
CST感染60%~80%源于面部中三分之一,包括鼻窦炎、牙科感染、颌面部术后感染、中耳炎、面部疖和乳突炎等,其中筛窦和蝶窦炎占病因的50%[6],其他CST病因如扁桃体周围脓肿、咽炎[7]、远处感染源[8]和轻微头创伤[9]虽然极为罕见,但在文献中也有报道。急性蝶窦炎引起CST及颅内并发症的报道较多,而慢性蝶窦炎致CST报道尚少。在LEW等[10]报道中15例急性或慢性蝶窦炎患者中6例患者出现颅内并发症才确诊,最初被误诊为无菌性脑膜炎或原发性海绵窦血栓形成。蝶窦炎感染通常还涉及其他窦腔,如本例患者合并有筛窦炎、上颌窦炎。急性加重通常有诱发因素,如病毒性上呼吸道感染、创伤、经蝶窦术后医源性原因以及免疫状态低下[11]。本例患者经耳鼻咽喉科医师会诊,考虑慢性鼻窦炎(图1,图2A~C),但患者全程无发热、无急性感染从而未引起医生和患者重视。而患者长期未发现的糖尿病(糖化血红蛋白11.5%)最有可能促进CST发生。因此在评估任何出现眼眶症状和CST患者的病因时,临床医师应将鼻窦炎作为关键的鉴别诊断,必要时可进行鼻黏膜活检,以明确致病菌。
头痛是本例患者最初的临床症状,导致CST的误诊较为常见,因此影像学检查对于该罕见疾病的确诊至关重要。SCHUKNECHT等[12]研究表明,切片厚度为3 mm以下的颅脑CT可以显著提高诊断CST的能力。CST直接体征包括海绵窦扩张或填充缺损,有几项研究发现侧壁隆起也是CST最常见和最敏感的影像表现[13]。CST的间接影像学包括颈内动脉海绵窦段变窄或闭塞、海绵窦壁相邻硬脑膜强化增强、眼球突出或继发性血栓形成—特别是上眼静脉、岩静脉或乙状窦[14,15]。本例患者在颅脑MRI增强可见左侧海绵窦区增宽、扩张(图3),颅脑CTA提示颈内动脉狭窄,经过HR MRI证实为血栓(图6)。有文献报道全脑血管造影也为诊断CST的有效方法,然而只有42%的患者能够看到海绵窦,因此全脑血管造影不被作为常规检查或早期检查[16,17]。
尽管没有针对CST的特定实验室诊断,一些生化指标的异常对疑似CST患者有提示意义,如升高的中性粒细胞、C反应蛋白、红细胞沉降率和D-二聚体。确定感染源仍然是CST患者的主要检查。约70%的病例可以通过感染源、血培养和化脓组织确诊致病菌[3]。腰椎穿刺不是诊断CST的必要条件,有学者认为腰椎穿刺后负压导致致病菌从感染的鼻窦区传播到相对清洁的中枢神经系统区域[18],但在有脑膜炎体征时建议行腰椎穿刺。有文献报道82%~100%的患者脑脊液分析显示炎性细胞与化脓性脑膜炎改变如白细胞增多、蛋白升高和低葡萄糖[19]。尽管脑脊液分析提示细菌感染,但只有20%的患者镜检和脑脊液培养阳性。有文献报道CST血培养阳性率低,可能是因为其研究中有更多的免疫功能低下和老年患者(超过55%患有糖尿病,中位年龄62岁)[20]。本例患者脑脊液早期血常规、生化指标正常,症状加重后出现白细胞增多和蛋白升高;脑脊液及血液培养均无细菌生长,脑脊液宏基因测序结果阴性。同时本例患者在入院前1个月出现左侧颞部疼痛,无发热,未针对性给予抗感染治疗,至发现CST已是1个月之后,为颈内动脉血栓的形成埋下了隐患,同时也为CST的治疗及预后带来了极大挑战。
本例患者临床症状最初只有头痛,后逐渐出现上睑下垂及眼肌麻痹,但全程无明显的眼球突出、结膜水肿,是导致患者延误诊断的主要因素。CST相关的血栓性静脉炎还可能会扩散到颈内静脉,出现Lemierre综合征[21]。同时感染可以通过颈静脉扩散到肺血管系统,导致肺脓肿、肺炎或脓胸[22]。CST最危险的并发症是海绵窦感染通过无瓣膜硬脑膜窦或脑静脉和导静脉传播,出现硬膜下脓肿、脑脓肿和颅内静脉窦血栓形成等颅内病变[23]。CST的脑膜旁炎症或明显的细菌从海绵窦迁移到脑脊液中可能分别导致脑炎或脑膜炎。此外,感染可引起血管炎,导致走行于海绵窦的颈内动脉痉挛[24]、血栓形成致狭窄或闭塞[18]。多达30%的CST幸存患者会出现长期后遗症,包括动眼神经麻痹、失明和垂体功能不全[25]。如本例患者颅脑MRI增强可见左侧额顶枕叶脑沟内多发异常信号,结合患者DWI考虑脑梗死引起的血-脑脊液屏障破坏后出现强化,不考虑颅内转移病变(图3)。本例患者颅脑CTA证实其存在明显LICA重度狭窄(图2D),本例患者梗死部位均在颈内动脉供血区(图4,图5),12 d后行颅脑HR MRI证实颈内动脉闭塞,考虑为血栓形成导致(图6)。海绵窦段颈动脉壁炎症目前被认为是缺血性并发症的来源,本例患者合并多发脑梗死,虽然存在脑血管病危险因素糖尿病,颈内动脉超声提示颈内动脉斑块形成,辅助检查颅脑CTA可见明显颈内动脉重度狭窄,但患者脑梗死面积非颈内动脉闭塞大面积梗死,而是多发散在梗死;颅脑HR MRI可见颈内动脉充填物为长条形的血栓信号影,未见动脉粥样硬化斑块信号影,与海绵窦段颈动脉壁炎症致颈内动脉血栓形成有关,因此考虑本例患者脑梗死机制可能为血栓栓塞机制。
CST最常见的致病菌包括金黄色葡萄球菌、其他革兰阳性菌、革兰阴性菌和厌氧菌,而本例患者继发鼻窦炎最可能为混合感染。虽有文献报道真菌感染[18],但一旦确诊CST,应立即使用大剂量广谱抗生素静脉注射,然后根据培养结果进行调整。除非患者免疫功能低下或有糖尿病控制不佳的病史,否则很少开始即进行经验性抗真菌药物治疗,如果没有观察到预期改善,应注意考虑真菌感染[15,26]。抗生素治疗的持续时间尚未确定,但至少3~4周。有文献报道停用抗生素后2~6周内有CST复发的病例[27],因此,建议不用关注治疗持续时间,而是需在临床症状恢复后至少继续治疗2周[28],且所有CST患者应在症状恢复后继续随访数月以评估复发的迹象。本例患者给予静脉输注奥硝唑、头孢曲松,出院后继续口服奥硝唑、头孢克肟。有文献报道除了抗生素之外,也建议进行鼻内镜下行清创和引流以减少细菌负荷[18]。本例患者经足量抗生素治疗后症状逐渐好转,因此未进行清创引流。
类固醇激素在CST患者中的使用饱受争议[29],但有研究显示,在继发性垂体功能不全的患者中,使用类固醇激素可能会使患者受益[2]。除此之外,其余情况下并不建议使用类固醇激素。抗凝药物在CST治疗中的作用一直都不确定,抗凝的益处包括防止血栓扩散、抑制血小板功能和促进抗生素渗透到血栓中,但会增加颅内和全身性出血的风险。多数研究支持急性期皮下注射低分子肝素治疗,在急性期后口服抗凝药物,可以明显降低CST患者复发率和致死率[5,15]。也有文献报道脑膜炎患者应避免抗凝治疗,因为会增加颅内出血的风险[15]。关于治疗时间,大多数学者建议抗凝治疗应持续4~6周至3个月。新型抗凝药利伐沙班和达比加群可以有效地治疗颅内静脉窦血栓,且无明显并发症,但存在疗效监控指标不确定、临床应用时间短及长期并发症尚未明确的缺点[30]。因本例患者合并有多发脑梗死,急性期皮下注射低分子肝素治疗2周,后口服利伐沙班继续治疗3个月,期间并未发生颅内出血或消化道出血等不良反应。
有文献报道由CST致颈内动脉感染性动脉炎使其狭窄或闭塞是可逆的,需要及时诊治[31,32]。JOSEPH等[33]报道1例在急性和亚急性感染阶段进行血管内成形术的患者出现了颈内动脉岩段医源性夹层。在感染期血管容易受到机械操作的影响,易导致夹层或破裂,因此不适宜行血管介入如球囊血管成形术和支架置入,临床治疗中应避免上述情况。目前尚缺乏关于颅内外血管搭桥术治疗由CST引起的颈内动脉狭窄或闭塞的证据和经验,但在稳定期和慢性期,颅内外血管搭桥术也是重建血管的一种选择。
综上所述,慢性蝶窦炎继发CST伴颈内动脉血栓形成和多发脑梗死是一种临床上罕见但进展迅速的致命疾病,很难早期诊断。CST及早确诊及恰当的治疗可明显改善患者预后,及时给予经验性广谱抗生素治疗至关重要,急性期皮下注射低分子肝素,之后口服抗凝药治疗至少3个月对此类患者有益。HR MRI最适合诊断CST并发症包括因颈内动脉血栓形成引起的缺血性脑卒中。当患者病情稳定时,颅内外血管搭桥术或许是血管重建的一种合适选择。本病例报告的主要目的为提高临床医师对慢性蝶窦炎患者在合并血糖控制不佳糖尿病的情况下急性加重继发CST的认识。
本文无利益冲突。





















