
抗髓鞘少突胶质细胞糖蛋白(MOG)免疫球蛋白G抗体相关疾病(MOGAD)在儿童中的比例明显高于成人。目前在儿童中MOGAD相关表型的特征及与复发风险的联系仍未明确。
观察儿童血清MOG免疫球蛋白G抗体(MOG-IgG)阳性的中枢神经系统(CNS)脱髓鞘疾病的表型特征及复发因素。
对河北省儿童医院2017年12月至2021年12月确诊的54例MOGAD的儿童进行随访研究,回顾性分析每次发作时的临床表型、实验室检查、影像学特点、血/脑脊液的MOG-IgG滴度变化、疗效及复发高危因素。采用细胞转染免疫荧光法(CBA)检测MOG-IgG。随访截至2022-03-31。结果 54例患儿发病年龄为6.0(4.0,8.0)岁,男女比例为1∶1.07。血清MOG-IgG滴度为1∶10~1∶320。急性播散性脑脊髓炎(ADEM)为最常见的表型(44.4%,24/54),其次是视神经炎(ON)(25.9%,14/54)及非ADEM样脑膜/脑炎(20.4%,11/54)。10例(18.5%)患儿血及脑脊液MOG-IgG均呈阳性,2例(3.7%)脑脊液N-甲基-D-天冬氨酸受体(NMDAR)-IgG和血MOG-IgG为双阳性。在78次病程事件中,76.9%(60/78)事件的患儿脑MRI显示急性发作病灶,常见部位为皮质旁白质(66.7%,40/60)及视神经(35.0%,21/60)。40例(74.1%)患儿为单次病程,主要的临床表型为ADEM(57.5%,23/40)及非ADEM样脑膜/脑炎(25.0%,10/40);14例患儿经历了2次及以上的复发病程(25.9%,14/54),主要的首发表型为ADEM-ON(57.1%,8/14)及单纯ON(21.4%,3/14)。未复发患儿首发表型为单纯ON、ADEM-ON比例明显低于复发患儿(P<0.05)。患儿首次发作均接受一线免疫调节治疗,14例复发患儿中2例(14.3%)经吗替麦考分酯治疗后好转,1例(7.1%)给予美罗华治疗后好转,11例(78.6%)经再次甲泼尼松冲击联合丙种球蛋白治疗后症状及影像学好转。复发患儿MOG-IgG滴度未见增加。经治疗28例(51.9%)患儿临床症状完全恢复,11例(20.4%)患儿有神经后遗症,视觉障碍(54.5%,6/11)是最常见的后遗症。
MOGAD的临床表型多样,儿童常见的表型为ADEM、ON及非ADEM样脑膜/脑炎。MRI损害部位广泛,以ADEM-ON及单纯ON为首发表型是复发的高危表型,大多患儿预后良好,部分可伴神经后遗症表现。
本刊2023年版权归中国全科医学杂志社所有
未经编辑部许可,不得任意转载和摘编
本刊所发表作品仅为作者观点,并不代表编委会和编辑部意见
如有印装质量问题请向本刊发行部调换
中枢神经系统(central nervous system,CNS)炎性脱髓鞘疾病是一组异质性的自身免疫性炎症性疾病,包括多发性硬化(multiple sclerosis,MS)、视神经脊髓炎谱系疾病(neuromyelitis optica spectrum disorder,NMOSD)、急性播散性脑脊髓炎(acute disseminated encephalomyelitis,ADEM)、视神经炎(optic neuritis,ON)、脊髓炎以及一些难以确定病因的复杂病例。不同类型的获得性脱髓鞘疾病在临床表型上常彼此重叠,有些难以在首次发作时明确诊断,但不同疾病需要不同的治疗策略。髓鞘少突胶质细胞糖蛋白(myelin oligodendrocyte glycoprotein,MOG)是一种在CNS髓鞘最外层表达的髓鞘蛋白,被认为是炎性脱髓鞘疾病的重要靶点[1]。MOG在成熟少突胶质细胞中表达,在维持髓鞘的完整性及细胞黏附方面发挥了重要作用,但其具体机制尚不清楚。
MOG免疫球蛋白G抗体介导的炎性脱髓鞘疾病成为独立的疾病谱,称之为MOG-IgG相关疾病(MOG-IgG associated disorders,MOGAD)[2]。多项研究表明,MOGAD患者中儿童的比例明显高于成人[3,4]。MOGAD具有广泛的临床谱,可表现为ADEM、ON、脑干脑炎、脊髓炎及脑膜/脑炎等,不易早期识别,部分患者可反复发作,需要进一步的研究阐明在儿童中这些相关表型及复发因素的特征及联系。本研究评估儿童MOGAD的临床表型、疗效及预后,并为评估表型与复发的关系提供参考依据。
回顾性分析2017年12月至2021年12月于河北省儿童医院神经内科住院的54例明确诊断为MOGAD患儿的临床资料,包括患儿的年龄、性别、临床表型、实验室及影像学检查、MOG-IgG滴度变化、疗效及复发情况。本研究获得河北省儿童医院伦理委员会的批准(医研伦理审查202103)及家长的知情同意。
MOGAD的诊断标准参照《抗髓鞘少突胶质细胞糖蛋白免疫球蛋白G抗体相关疾病诊断和治疗中国专家共识》[2],所有纳入研究的54例患儿用全长人MOG作为靶抗原的细胞转染免疫荧光法(cell-based assays,CBA)检测血清MOG-IgG均为阳性。ADEM-ON定义为ADEM同时伴有ON。本研究将ADEM-ON和单纯ON归为ON。从首次发作后超过30 d出现新的临床表现及MRI病灶或在诊断ADEM的情况下超过90 d的临床再发作判定为复发[5]。
患儿血和/或脑脊液样本均送至北京协和医院,采用CBA法检测MOG-IgG、水通道蛋白4 IgG(AQP4-IgG)等其他自身免疫抗体。
通过门诊、电话、入院等方式进行随访。记录患儿有无复发、临床表现、治疗方案、影像学资料及预后。随访截至2022-03-31。
采用SPSS 22.0统计软件进行数据分析。符合正态分布的计量资料以(
±s)表示;非正态分布计量资料以M(P25,P75)表示。计数资料采用相对数表示,组间比较采用Fisher's确切概率法。以P<0.05为差异有统计学意义。
在54例MOGAD患儿中,男26例,女28例,男女比例为1∶1.07;起病时中位年龄6.0(4.0,8.0)岁;随访时间为(19.07±10.41)个月。临床首发症状多样,意识水平下降、谵妄、淡漠、嗜睡、呕吐、头痛等脑病表现占比57.4%(31/54),发热占比35.2%(19/54),视力下降占比25.9%(14/54),癫痫发作占比14.8%(8/54)和肢体无力占比11.1%(6/54),79.6%(43/54)患儿首次发作同时出现2种及以上的临床症状。血清MOG-IgG滴度为1∶10~1∶320。ADEM是较常见的表型(44.4%,24/54),其次是ON(25.9%,14/54)及非ADEM样脑膜/脑炎(20.4%,11/54)。
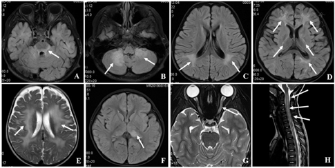
在78次病程事件中,76.9%(60/78)颅脑MRI显示新发病灶。脑部病变范围广泛多样(图1),液体衰减反转恢复(FLARE)常表现为高信号,部分可表现为融合性白质病变,呈蓬松状弥漫分布,边缘欠清;眼眶MRI可表现为双侧或单侧视神经增粗或信号改变,可累及视交叉。常见颅内损伤部位分别为皮质旁白质(66.7%,40/60)、视神经(35.0%,21/60)、基底节区(31.7%,19/60)、小脑(28.3%,17/60)、脑干(18.3%,11/60)和胼胝体(18.3%,11/60)。新发病灶患儿治疗后颅脑MRI病变完全消失10例(16.7%),好转26例(43.3%)。3.3%(2/60)颅脑MRI在初次及复发时表现为脑白质营养不良样模式。9例患儿颅脑增强MRI仅表现为脑膜线样强化,伴脑脊液白细胞计数轻度增高,为非ADEM样脑膜/脑炎表现。患儿脊髓MRI可表现为病灶轻度肿大,少量斑片或条状高信号影(图1)。78次病程事件中脊髓MRI损伤15次(19.2%),包括胸髓(40.0%,6/15)、圆锥脊髓(40.0%,6/15)、颈髓(26.7%,4/15)和腰髓(13.3%,2/15)。


注:图中箭头所指部位病变分别为脑干(A),双侧小脑(B),顶叶白质(C),内囊后肢及脑室旁(D),皮质旁白质(脑白质营养不良样(E),丘脑(F),视神经(G),脊髓(H);MOGAD=抗髓鞘少突胶质细胞糖蛋白免疫球蛋白G抗体相关疾病
入院后全部患儿完成脑脊液检查,64.8%(35/54)患儿脑脊液白细胞计数升高,脑脊液白细胞计数为18.0(3.0,45.0)×106/L(参考范围:0~10×106/L)。脑脊液蛋白为0.35(0.27,0.54)g/L(参考范围:0.20~0.40 g/L),其中34.3%(12/35)患儿脑脊液蛋白≥0.6 g/L。28例患儿配合程度好(28/54,51.9%),同时进行脑脊液压力检测,其中7例(25.0%)脑脊液压力轻度升高至190~245 mm H2O(参考范围为70~180 mm H2O,1 mm H2O=0.009 8 kPa),经治疗后均恢复正常。18.5%(10/54)患儿血及脑脊液MOG-IgG均呈阳性,未发现脑脊液或血清AQP4-IgG与MOG-IgG同时阳性病例。3.7%(2/54)患儿脑脊液N-甲基-D-天冬氨酸受体-免疫球蛋白G抗体(N-methyl-D-aspartic acid-IgG,NMDAR-IgG)和血清MOG-IgG双阳性。
所有患儿接受一线免疫调节治疗,急性临床症状大多得到缓解。74.1%(40/54)患儿未复发,主要的临床表型为ADEM(57.5%,23/40)及非ADEM样脑膜/脑炎(25.0%,10/40);25.9%(14/54)患儿经历2次及以上的复发病程,主要的临床表型为ADEM-ON(57.1%,8/14)及单纯ON(21.4%,3/14),未复发患儿首发表型单纯ON、ADEM-ON比例明显低于复发患儿,差异有统计学意义(P<0.05)。未复发及复发患儿其他表型及首发临床表现比例比较,差异无统计学意义(P>0.05)(表1)。14例患儿出现复发病程,其中2例(14.3%)经吗替麦考分酯治疗后好转,1例(7.1%)给予利妥昔单抗治疗后好转,11例(78.6%)经再次甲泼尼松冲击联合丙种球蛋白治疗后症状及影像学好转。复发患儿的MOG-IgG滴度未见增加,其中1例由1∶100下降至1∶32,其余13例患儿抗体滴度无变化。42.6%(23/54)患儿接受了序贯采血检测MOG-IgG,4~6个月治疗1次,其中4.3%(1/23)患儿MOG-IgG滴度转阴,4.3%(1/23)患儿MOG-IgG滴度下降,91.4%(21/23)患儿MOG-IgG滴度无变化。截至末次随访,51.9%(28/54)患儿临床症状消失;20.4%(11/54)患儿存在各种后遗症,其中54.5%(6/11)患儿出现视觉障碍,45.5%(5/11)患儿出现癫痫、36.4%(4/11)患儿出现认知障碍、18.2%(2/11)患儿出现运动障碍。

54例患儿单相及复发情况比较〔n(%)〕
Comparison of the initial phenotype and clinical manifestations in 54 children by the prevalence of recurrence
54例患儿单相及复发情况比较〔n(%)〕
Comparison of the initial phenotype and clinical manifestations in 54 children by the prevalence of recurrence
| 项目 | 例数 | 起病的临床表型 | 首发临床表现 | ||||||||
|---|---|---|---|---|---|---|---|---|---|---|---|
| ADEM | 单纯ON | ADEM-ON | 脊髓炎 | 非ADEM样脑膜/脑炎 | 发热 | 脑病 | 癫痫发作 | 肢体无力 | 视力下降 | ||
| 未复发 | 40 | 23(57.5) | 2(5.0) | 1(2.5) | 4(10.0) | 10(25.0) | 11(27.5) | 21(52.5) | 3(7.5) | 3(7.5) | 6(15.0) |
| 复发 | 14 | 1(7.1) | 3(21.5) | 8(57.2) | 1(7.1) | 1(7.1) | 8(57.2) | 10(71.4) | 5(35.7) | 3(21.5) | 8(57.2) |
| χ2值 | — | — | — | — | — | — | — | — | — | — | |
| P值 | 0.333 | 0.010 | <0.001 | 0.320 | 0.706 | 0.343 | 0.124 | 0.529 | 0.574 | 0.308 | |
注:ADEM=急性播散性脑脊髓炎,ON=视神经炎;—表示采用Fisher's确切概率法
MOGAD是一种获得性炎性脱髓鞘疾病,疾病早期易误诊。随着对MOGAD的不断认识,根据临床表现,化验及影像学结果,可分为不同的临床表型,如非经典MS、ADEM、ON、AQP4阴性的NMOSD、脊髓炎或脑膜/脑炎,这些综合因素的早期识别及治疗,对疾病预后有重要的影响。本研究发现,MOGAD的临床首发症状多样,可表现为发热、头痛、意识水平下降、视力下降、运动障碍等,病变累及不同部位,可出现对应的临床表现。一些研究显示,MOGAD患儿中ADEM表型较成人更常见,具有年龄依赖性[6],多为单相病程。本研究ADEM为患儿最常见的表型,其次为ON及非ADEM样脑膜/脑炎,与既往的研究结果一致[6]。这种呈现临床表型的年龄依赖性可能代表了儿童期大脑发育和中枢神经系统成熟的不同阶段MOG表达的变化[4]。
目前,MOGAD患者的影像学特征尚不明确。MOGAD患者颅脑MRI出现颅内大面积病灶的比例高于AQP4-IgG阳性患者[7]。儿童的影像病变分布似乎与年龄有关,与大龄患儿相比,小年龄患儿的病变多界限不清、分布更广泛[8]。国内报道81.43%的MOGAD患者颅脑MRI可见颅内异常病灶,65.22%的幕上白质病变为ADEM样或脑白质营养不良样病灶,且仅在MOG抗体阳性的患者中出现脑白质营养不良样病变[9]。本研究78次病程事件中,76.9%颅脑MRI显示急性发作病灶,不同程度的累及幕上和幕下白质、脑室周围、脑干、小脑、丘脑、颞叶、视神经球后段等,与国内相关研究一致[7]。脑白质营养不良样表型常见于低年龄的患儿,一般为2~4岁[10],本病例组此表型的MOGAD患儿最小年龄仅为6个月,这在既往报道中少见。有报道MOGAD患者更倾向于累及下段脊髓,如胸腰脊髓及圆锥[11]。本研究脊髓MRI损害主要以颈胸为主,与之不符,这可能与研究的样本量及特定时间段的入组偏倚有关,还需进一步大样本研究。
癫痫发作和脑病可能是MOGAD一种新的临床表型,伴或不伴脱髓鞘[12]。虽然孤立性癫痫发作和新发脱髓鞘事件的时间间隔从几个月到几年不等,但随后的脱髓鞘事件提示可能在孤立性癫痫发作时已经存在潜在的免疫发病机制。一项回顾性研究发现在12.2% MOGAD的患儿中出现了癫痫发作,其中2名为癫痫持续状态[13]。本研究中14.8%(8/54)患儿有抽搐发作,76.9%(60/78)颅脑MRI表现异常,但未发现癫痫持续状态,亦未发现脑脊液或血清AQP4-IgG与MOG-IgG同时阳性病例。虽然MOGAD与AQP4-IgG相关的NMOSD的临床表现可有重叠,但是后者的病理标志是星形胶质细胞损伤伴或不伴少突胶质细胞丢失,没有证据表明MOGAD存在星形胶质细胞损伤,这可能与炎症和髓鞘破坏主要影响少突胶质细胞而非星形胶质细胞有关[14],且在MOGAD中癫痫发作和脑炎样表现比AQP4-IgG阳性的NMOSD中更常见[15]。本研究显示有9例表型为非ADEM样脑膜/脑炎患儿,颅脑MRI仅表现为脑膜强化,伴或不伴脑脊液白细胞及蛋白不同程度的增高。因此在临床中出现癫痫及脑膜/脑炎且脑MRI表现为脱髓鞘时,需要注意有无MOGAD的可能。
近年来,有学者发现脑脊液NMDAR-IgG伴血清MOG-IgG同时阳性,兼具MOGAD和抗NMDAR脑炎两种疾病的临床及影像学特点,称之为MOG抗体病及抗NMDAR脑炎重叠综合征(overlapping syndrome of MOG-antibody disease and NMDAR encephalitis,MNOS)。有研究显示4%的抗NMDAR脑炎患者同时存在其他抗体,其中约50%为MOG-IgG[16]。本研究有2例脑脊液NMDAR-IgG与血MOG-IgG同时阳性,其机制可能与NMDAR也可存在于少突胶质细胞膜表面有关。FAN等[17]报道总结了42例MOGAD,11.9%合并抗NMDAR脑炎;且MNOS患者精神行为异常、认知功能障碍等症状较单纯抗NMDAR脑炎患者轻或不明显,复发率接近MOGAD,故推测MOG抗体可能在MNOS患儿的发病机制中起到了主要的作用。本研究2例患儿首发均无精神行为异常等抗NMDAR脑炎的常见表现,而以发热、脑病为首发表现,在治疗过程中出现精神行为异常,故临床中需警惕,建议早期进行多种免疫抗体联合检测,为明确诊断提供依据,进而指导治疗及确定疗程。MNOS脑炎急性期的一线方案为激素治疗,但是对于激素的疗程及二线治疗的时机尚无共识。本组2例患儿使用一线治疗后尚未复发,但由于随访时间短,复发率无法评估。对于MNOS的复发因素及启动二线治疗的时机是今后的研究方向之一。
有关MOGAD的复发因素一直是探讨的热点。既往研究提示有免疫病史、以ON起病、入院时病情较重、抗体滴度高、脑脊液白细胞高于50×106/L的患者复发率可能会增高[18]。故在临床工作中须更详细地询问患者的既往史,尤其是免疫相关背景,仔细评估患者的病情及化验检查,以便更全面评估患者的复发可能。国外的研究也提示伴发ON和MOG-IgG抗体滴度持续阳性与复发相关[19]。本研究结果显示,首次发病为ADEM-ON及单纯ON的患儿有复发倾向,与既往研究一致[19],支持ON是一种复发的高危因素。MOG抗体滴度与临床疾病活动之间的关系一直存在争议。有报道显示,在儿童MOGAD单相性ADEM发病时,血清MOG-IgG阳性是短暂的;而70%~80%的持续血清阳性的儿童和成人患者在随访中复发[20]。这似乎表明MOG抗体持续阳性可以预测其临床进展或复发。但是也有研究表明,81%的儿童MOG-IgG持续阳性不能区分单相和复发患者[3]。本研究发现,在随访的14例复发患儿中,急性发作时患儿MOG-IgG滴度并未呈上升趋势。23例患儿随访过程中接受了每间隔4~6个月定期采血复查MOG-IgG滴度,21例MOG-IgG持续阳性,但均未经历再次发作。在今后的随访中仍需重视抗体滴度的动态变化,进一步明确其对于复发及病情轻重的相关性。
本研究存在一定的局限性。首先本研究为回顾性研究,不可避免地存在选择偏倚;其次,患儿多为小年龄儿童,无法配合完成临床扩展致残量表评分(Expanded Disability Status Scale,EDSS),因此未能评估抗体滴度与临床严重程度及神经功能障碍的关系。期待在后续研究中进行多中心的研究、增加病例数量、延长随访时间,进一步明确我国MOGAD患儿的临床特征。
综上,MOGAD形成了一个独特的临床谱系,可有多种表型并可相互重叠。儿童MOGAD可于婴儿期发病,临床表型以ADEM为主,其次为ON及非ADEM样脑膜/脑炎。长期预后取决于不同的临床表型、早期正确的治疗、急性发作期的改善程度和影像学变化。经免疫治疗后大多患儿预后良好,但首次表型为ADEM-ON及单纯ON的患儿易复发,临床需警惕。MOG作为生物标志物的有效性还需要长期的随访及研究。
王欣,赵瑞斌,杨花芳,等.儿童抗髓鞘少突胶质细胞糖蛋白免疫球蛋白G抗体相关疾病的表型特征及复发因素研究[J].中国全科医学,2023,26(18):2244-2249.[www.chinagp.net]
WANG X,ZHAO R B,YANG H F,et al. Phenotypic characteristics and recurrence factors of MOG-IgG associated disorders in children[J]. Chinese General Practice,2023,26(18):2244-2249.
本文无利益冲突。





















