
探索不同影像学进展模式新型冠状病毒肺炎(COVID-19)基线资料的差异,为早期识别有重症倾向的患者提供依据。
回顾性分析南京市第二医院住院治疗的65例COVID-19的临床资料和影像学特征。以48 h内病变是否出现快速进展分为2组:快速进展型(A组)16例、非快速进展型(B组)49例,分析其基线资料:年龄,性别,潜伏期,临床症状,实验室检查,初次胸部CT的特征(病灶的分布、形态、边界和所累及的肺叶数)。用SPSS 22.0统计软件进行分析,对比2组上述指标存在的差异。
2组临床基线资料对比:A组年龄、胸闷症状、基础疾病、乳酸脱氢酶明显高于B组(P值均<0.001);A组CD4、淋巴细胞计数显著低于B组(Z=182.500、259.000,P值均<0.001)。2组影像学基线特征对比:A组多表现为支气管血管束及外周混合性分布的磨玻璃影,病灶的边界模糊;而B组以胸膜下分布边界清楚的磨玻璃影较多见,2组支气管血管束及外周混合性分布、胸膜下外周分布比较差异有统计学意义(χ2=32.705、13.268,P值均<0.001)。A组中"细网格"征的检出率高于B组(χ2=4.201,P<0.05)。本研究中反晕征的病例数较少,但A组中有1例早期反晕征表现进展为危重症的患者,值得重视。2组血管影增粗比较,差异无统计学意义(χ2=1.160,P>0.05)。
年龄较大、合并基础疾病、淋巴细胞计数和CD4减低、乳酸脱氢酶升高、病灶沿支气管血管束及外周混合分布、磨玻璃影边界模糊或出现"细网格"征提示病变可能出现快速进展。
版权归中华医学会所有。
未经授权,不得转载、摘编本刊文章,不得使用本刊的版式设计。
除非特别声明,本刊刊出的所有文章不代表中华医学会和本刊编委会的观点。
目前,全球COVID-19疫情已迅速蔓延至多个国家和地区[1]。中国疾病控制中心将该疾病纳入国家"乙类"传染病,采取"甲类"传染病防控措施[2]。《新型冠状病毒感染的肺炎诊疗方案(试行第七版)》中首次将"肺内病变在短期内迅速进展"作为COVID-19重型和危重型的临床预警指标[3]。本研究以此为结点,回顾性分析了南京市第二医院住院治疗的65例COVID-19的临床基线资料和高分辨率CT(high resolution CT,HRCT)影像学特征,为早期识别该类型患者提供依据。
回顾性分析2020年1月23日至2月15日南京市第二医院收治的65例COVID-19确诊患者的病例资料。诊断标准按照《新型冠状病毒感染的肺炎诊疗方案(试行第六版)》[3]及《新型冠状病毒感染的肺炎诊疗方案(试行第七版)》[4]的相关指标:即具有可追溯的流行病学史和典型的临床表现,实时荧光RT-PCR检测严重急性呼吸综合征新型冠状病毒2(severe acute respiratory syndrome coronavirus 2,SARS-CoV-2)为阳性。收集患者的临床及影像学基线和复检资料。以48 h后是否出现病变快速进展分为2组:快速进展型(A组)和非快速进展型(B组),病变快速进展的标准:原病灶的面积增加50%或出现新的病灶。本研究通过南京市第二医院伦理委员会批准(2020-LS-ky003),所有患者及家属均知情同意。
A组16例,性别比为1∶0.78;B组患者49例,性别比为1∶0.88,差异无统计学意义(χ2=0.004,P=0.951)。A组患者年龄(63.47±15.75)岁,年龄范围为42~98岁;B组患者年龄(39.29±14.51)岁,年龄范围为10~72岁,2组年龄比较,差异有统计学意义(Z=1 287.500,P<0.001)。
采用东芝Aquilion 64排128层螺旋CT对患者进行胸部平扫。扫描前对患者进行屏气训练,扫描范围为胸廓入口至肋膈角。扫描参数:管电压120 kV,管电流120 mAs,螺距0.6 mm,矩阵512×512,层厚10 mm,视野350 mm×350 mm。轴向重建肺窗,层厚0.625~1.250 mm。
临床基线指标(1)一般状况:患者的性别、年龄、流行病学潜伏期、病程、临床症状、有无基础疾病。(2)实验室指标:白细胞计数、淋巴细胞计数、CD4细胞计数、乳酸脱氢酶(lactate dehydrogenase,LDH)水平。影像学特征:为患者入院时的首次胸部HRCT的影像。观察指标:病灶的分布(胸膜下周边分布、支气管血管束分布、支气管血管束及周边同时受累),病灶所累及的肺叶数(单个、多个),病灶的形态[磨玻璃影(ground glass opacity,GGO)、肺实变、"细网格"征、血管影增粗、反晕征],病灶的边界(清楚、模糊)。
采用SPSS 22.0统计软件进行分析,计量资料以
±s表示,组间比较采用方差分析,不满足方差齐性时采用秩和检验;计数资料以例数(%)表示,组间率的比较采用χ2检验,不满足条件时采用Fisher确切概率法。P<0.05为差异有统计学意义。
2组患者的潜伏期、入院前的病程(>7 d、≤7 d)比较,差异均无统计学意义(P值均>0.05)。
临床症状方面,A组16例患者均出现胸闷症状,明显多于B组(χ2=28.578,P<0.001);发热、咳嗽则无明显差异(χ2=2.738、3.283,P值均>0.05)。
A组患者中基础疾病的检出率为68.8%(11/16),其中高血压3例、糖尿病4例、COPD 3例、阿尔茨海默病1例;B组患者中基础疾病的检出率为20.4%(10/49),高血压4例、糖尿病3例、COPD 2例、血小板减少症1例,2组基础疾病的检出率比较差异有统计学意义(χ2=11.049,P=0.001)。
实验室检查方面,A组的淋巴细胞计数、CD4计数均明显低于B组(Z=259.000、182.500,P值均<0.001);A组LDH值明显高于B组,差异有统计学意义(Z=1 297.000,P<0.001);白细胞计数A组低于B组,但差异无统计学意义(t=1.910,P=0.061)。见表1。

2组临床基线资料的对比
2组临床基线资料的对比
| 临床资料 | A组(n=16) | B组(n=49) | 统计值 | P值 | |
|---|---|---|---|---|---|
潜伏期(d, ±s) | 8.29±3.42 | 7.59±3.15 | t=-0.772 | 0.443 | |
| 入院前的病程[例(%)] | χ2=0.094 | 0.954 | |||
| >7 d | 5(31.2) | 15(30.6) | |||
| ≤7 d | 11(68.8) | 34(69.4) | |||
| 临床症状[例(%)] | |||||
| 发热 | 16(100.0) | 38(77.6) | χ2=2.738 | 0.098 | |
| 咳嗽 | 15(93.8) | 32(65.3) | χ2=3.283 | 0.070 | |
| 胸闷 | 16(100.0) | 12(24.5) | χ2=28.578 | <0.001 | |
| 基础疾病[例(%)] | 11(68.8) | 10(20.4) | χ2=11.049 | <0.001 | |
实验室检查( ±s) | |||||
| 白细胞计数(×109/L) | 3.83±0.96 | 4.57±1.49 | t=1.910 | 0.061 | |
| 淋巴细胞计数(×109/L) | 0.85±0.28 | 1.48±0.55 | Z=259.000 | <0.001 | |
| CD4计数(/mm3) | 230.94±74.45 | 627.8±292.92 | Z=182.500 | <0.001 | |
| 乳酸脱氢酶(U/L) | 309.47±80.50 | 215.15±55.36 | Z=1 297.000 | <0.001 | |
注:A组为快速进展型;B组为非快速进展型
2组CT影像学基线资料比较见表2。A组支气管血管束及外周混合分布明显多于B组(χ2=32.705,P<0.001);B组胸膜下外周分布明显高于A组(χ2=13.268,P<0.001)。见图1、图2。

2组影像学基线资料的对比[例(%)]
2组影像学基线资料的对比[例(%)]
| 影像学表现 | A组(n=16) | B组(n=49) | χ2值 | P值 | |
|---|---|---|---|---|---|
| 病灶的分布 | |||||
| 胸膜下外周分布 | 3(18.8) | 33(67.3) | 13.268 | <0.001 | |
| 支气管血管束分布 | 3(18.8) | 14(28.6) | 0.863 | 0.353 | |
| 支气管血管束及外周混合分布 | 10(62.4) | 2(4.1) | 32.705 | <0.001 | |
| 病灶累及的肺叶数 | 5.306 | 0.021 | |||
| 单肺叶 | 0(0.0) | 13(26.5) | |||
| 多肺叶 | 16(100.0) | 36(73.5) | |||
| 病灶的形态 | |||||
| 磨玻璃影(含磨玻璃影结节) | 16(100.0) | 47(95.9) | 2.420 | 0.120 | |
| 肺实变 | 6(37.5) | 9(18.4) | 1.936 | 0.164 | |
| 血管影增粗 | 14(87.5) | 33(67.3) | 1.160 | 0.281 | |
| "细网格"征 | 12(75.0) | 20(40.8) | 4.201 | 0.040 | |
| 反晕征 | 3(18.8) | 5(10.2) | 0.608 | 0.436 | |
| 病灶的边界 | 12.613 | <0.001 | |||
| 清楚 | 3(18.7) | 34(69.4) | |||
| 模糊 | 13(81.3) | 15(30.6) | |||
注:A组为快速进展型;B组为非快速进展型


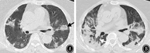
注:白色箭头示肺血管增粗;黑色箭头示"细网格"征


注:白色箭头示磨玻璃影结节伴血管影增粗
2组均以多肺叶受累为主,共检出52例(75.4%),其中A组的检出率100%(16/16)要高于B组73.5%(36/49),差异有统计学意义(χ2=5.306,P=0.021)。
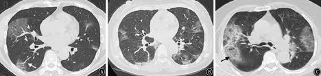
早期征象最常见的是GGO,总检出率96.9%(63/65),A、B组GGO检出率无明显差异(χ2=2.420,P=0.120)。"细网格"征共检出32例(49.2%),A、B组的检出率分别为75%(12/16)和40.8%(20/49),差异有统计学意义(χ2=4.201,P=0.04)。以反晕征为主要表现的共检出8例(12.3%),A、B组的检出率分别为18.8%(3/16),10.2%(5/49),差异无统计学意义(χ2=0.608,P=0.436),但有1例危重症患者早期表现为多发性GGO和反晕征,48 h后病灶明显进展形成肺实变(图3)。病灶内血管影增粗,共检出47例(72.3%),A、B组的检出率分别为87.5%(14/16)和67.3%(33/49),差异无统计学意义(χ2=1.160,P=0.281)。


注:黑色箭头示反晕征;白色箭头示支气管充气征
A组病灶边界较模糊(81.3%),而B组病灶边界清楚的居多(69.4%),2组病灶的边界比较差异有统计学意义(χ2=12.613,P<0.001)。
根据国家卫生健康委员会历次颁布的新型冠状病毒感染的肺炎诊疗方案,影像学在COVID-19的早期诊断和严重程度的判断上越来越受重视[5]。第七版中首次提出了将肺部病变影像学的快速进展作为成年人重型和危重型COVID-19的临床预警指标之一,说明这部分患者未经重视可能进展为重症或危重症。因此本研究选取"肺部病灶在48 h内快速进展"作为变量,将这部分患者与其他患者的临床基线资料进行比较,早期发现重症倾向的患者及时处置,可以降低COVID-19重症和危重症的发病率。
本研究结果显示,病灶快速进展者的临床资料与非快速进展者相比具有以下特点:(1)年龄较大合并基础疾病的较多。这与近期的多项研究结果相符[6,7],COVID-19对人群各年龄段都普遍易感,确诊病例以30~65岁的患者为主,≥50岁的成年人中观察到的发病率最高,而且老年人和有慢性基础疾病的患者预后较差,病灶容易进展加重。(2)这部分患者淋巴细胞计数、CD4+T细胞计数较低,LDH相对较高,推测与年龄大和合并症多等因素造成其基础免疫水平低下,病毒更容易引起蔓延,对机体免疫系统和其他器官系统的损害也更严重有关[8,9]。
COVID-19的影像学早期征象以双肺多发GGO最为常见,这与SARS-Cov-2感染后引起肺泡壁的损伤、血管的充血和肺泡间隔的水肿有关[10]。本研究尝试对COVID-19患者的首次胸部HRCT进行分析后有如下发现。(1)病变在48 h内出现快速进展者的基线影像学特征表现为:病变多发、呈支气管血管束及外周混合分布、"细网格"影和病灶的边界模糊。这部分患者外周血淋巴细胞、CD4+T细胞减少,免疫功能低下,病灶不易局限,更易沿支气管血管束的轴向进展和蔓延[11]。而且由于淋巴细胞向靶器官迁移,导致局部的炎症反应明显使病灶的边界较为模糊。"细网格"征的检出率比较高,与SARS-Cov-2感染引起小叶间隔和小叶内间质增厚有关。(2)非快速进展者的基线影像学特征表现为:外周胸膜下外周分布的GGO、病灶边界清楚的多见。最常见分布区域的是两下肺基底段和背段,这是由于下肺和外周胸膜下区肺小叶的血流和淋巴管网分布丰富,相应小叶间质的炎性反应也更明显[12]。COVID-19病变的进展模式为以肺小叶为单位向外融合扩展,受小叶结构阻挡故而表现为具有一定的边界。推测这部分患者局部炎症反应相对较轻,病灶具有一定的自限倾向。(3)"反晕征"的检出率较低,但是曾有1例早期以多发性支气管血管束分布"反晕征"为主要表现,后期发展为肺实变的危重型病例,不排除SARS-Cov-2感染继发机化性肺炎的可能,需要引起临床足够的重视[13]。"血管影增粗"征检出率高,该征象在近期COVID-19的相关文献中也有报道[14,15],并且发现增粗的血管走行僵硬,边缘欠光整,考虑与病毒侵犯血管内皮细胞和肺泡毛细血管网,引起的血管炎有关[16]。但这两个征象与病灶的进展模式无明显相关性。
年龄较大合并基础疾病、淋巴细胞计数和CD4减低、LDH升高、病灶沿支气管血管束和外周多发性分布、GGO边缘模糊或出现"细网格"征可能提示病变快速进展,临床需警惕。本研究的不足之处是快速进展的病例数偏少,在征象上难以进一步做量化分析,可能会对结论造成影响。
所有作者均声明不存在利益冲突

±s)
±s)



















