
2019年,一种新型呼吸道传染病——COVID-19开始流行,依据其流行过程三个基本条件,在临床中辨证论治。本文介绍并对比中西医治疗(危)重症患者验案2例,加强中西医结合优势迅速的战胜疫情,总结临床经验。
版权归中华医学会所有。
未经授权,不得转载、摘编本刊文章,不得使用本刊的版式设计。
除非特别声明,本刊刊出的所有文章不代表中华医学会和本刊编委会的观点。
近期,全球新型冠状病毒肺炎(COVID-19)疫情爆发。这次疫情是新中国成立以来传播速度最快、感染范围最广、防控难度最大的一次重大突发公共卫生事件[1]。病毒学家迅速明确了严重急性呼吸综合征冠状病毒2(severe acute respiratory syndrome coronavirus 2,SARS-CoV-2)感染是COVID-19的病原体,研究了SARS-CoV-2的基因组学特征及病理改变等。但在防治疗方面,由于COVID-19是新发传染病,而且病情变化快,目前还没有疫苗和理想的治疗方案。
COVID-19属于中医"疫病"范畴,历史上中医药在控治疫情上卓有成效。据《伤寒论》序"建安纪年以来,犹未十稔,其死亡者,三分有二,伤寒十居其七",可见不到10年由于"伤寒"导致的病死率近50%,医圣张仲景根据当时疾病特点结合典籍和临床撰成《伤寒杂病论》,成为医学史上的丰碑[2]。20世纪50年代流行性乙型脑炎盛行,当时中医药治疗方案发挥了关键作用,有学者用中医药方法成功的控制了疫情蔓延[3,4,5]。2003年SARS肆虐,邓铁涛等[6]主动请缨用中医药治疗成绩斐然。在COVID-19防控和治疗中筛选了以"三药三方"为代表的一批有效方剂,再次证明中医药的价值,凸显了中西医结合的优势[7]。
在抗击COVID-19疫情中,中西药并用[8]发挥了良好作用。本文结合衡水市第三人民医院2例(危)重症COVID-19患者的诊疗进行对比分析。本研究符合《赫尔辛基宣言》的原则,患者知情并签署同意书。
男性,25岁,主因间断发热9 d于2020年2月1日晚入院。患者缘于2020年1月21日由武昌到当地探亲,1月23日出现发热,最高达39.0 ℃,无咳嗽、咳痰、胸闷、气短。1月24日就诊于当地县医院。25日市专家组会诊考虑不排除COVID-19,第1次咽拭子阴性。1月26日高热,最高39.5 ℃,复查胸部CT病变进展,第2次咽拭子阴性。1月28日出现干咳,仍反复发热。1月29日复查胸部CT示病变扩大,第3次咽拭子阴性。1月30日出现呼吸衰竭。1月31日第4次采咽拭子送检核酸检测,结果阴性。在当地给予甲泼尼龙、莫西沙星、帕拉米韦、舒普深、美罗培南、更昔洛韦等治疗,病情难以控制2月1日在医护团队严密防控护送下负压救护车转入衡水市第三人民医院。
查体:体温39.0 ℃;脉搏125次/min;呼吸频率37次/min;血压129/73 mmHg(1 mmHg=0.133 kPa);SpO2 85%(静息状态)神清合作,轮椅推入病房,急性病容,呼吸急促,胸廓无畸形,双肺呼吸音减低,未闻及干湿性啰音,余未见明显异常。胸部CT:双肺间质改变。血气分析(2月2日):pH 7.53;PaO2 43 mmHg;PaCO2 26.1 mmHg。血常规(2月2日):白细胞16.08×109/L,中性粒细胞比率96.2%,淋巴细胞比率2.8%,淋巴细胞数0.45×109/L。C-反应蛋白128.1 g/L。降钙素原<0.10 μg/L。血生化:丙氨酸转氨酶24 U/L、天冬氨酸转氨酶20 U/L、白蛋白36.3 g/L,乳酸脱氢酶500 U/L、肌酸激酶249 U/L、血肌酐59 μmol/L。既往脂肪肝史2年,余无异常。入院后心电监测,吸氧,给予COVID-19西医治疗方案,并应用中医中药治疗。给予输注血浆及免疫球蛋白提高免疫力,依据血气分析结果给予无创呼吸机辅助通气及经鼻高流量吸氧交替应用,2月2日经省专家组会诊仍考虑与COVID-19有关,2月4日和5日分别再次行咽拭子SARS-CoV-2核酸检测均阳性,并经河北省疾控中心复核,根据《新型冠状病毒感染的肺炎诊疗方案(试行第三版)》[9],确诊COVID-19。2月4日呼吸频率>30次/min,氧合指数<300,故分型为危重型。2月7日(发病第15天)患者呼吸频率降至正常,咳嗽、咳痰症状消失,2月8日(发病第16天),体温降至正常,2月9日(发病第17天),无创呼吸机辅助下,氧合指数215,2月10日(发病第18天,应用抗病毒药物8 d),谷丙转氨酶170 μ/L,谷草转氨酶80 μ/L,出现药物性肝损害,停用抗病毒药物,给予保肝治疗,2月12日(发病第20天)体温、呼吸频率正常,经鼻高流量吸氧状态下氧合指数193,复测SARS-CoV-2核酸检测阴性,谷丙转氨酶610 μ/L,谷草转氨酶243 μ/L,2月13日(发病第21天)无创呼吸机辅助通气状态下氧合指数390。2月14日(发病第22天)复测SARS-CoV-2核酸检测阴性。2月18日(发病第26天)氧合指数最高达456,将无创呼吸机辅助通气过渡到经鼻高流量氧气吸入。2月19日(发病第27天)应用经鼻高流量氧气吸入氧合指数450,患者呼吸功能已明显改善,解除危重症。2月22、23日复查咽拭子均阴性。2月22日谷丙转氨酶87 μ/L,谷草转氨酶54 μ/L,2月23日胸部CT较21日好转,符合《新型冠状病毒肺炎诊疗方案(试行第六版)》[10]解除隔离出院的标准,出院。该患者临床用药过程见表1。

危重症新型冠状病毒肺炎患者(病例1)临床用药治疗过程
危重症新型冠状病毒肺炎患者(病例1)临床用药治疗过程
| 药物 | 剂量 | 用药时间 |
|---|---|---|
| 洛匹那韦利托那韦 | 2粒,2次/d,口服 | 2月1日至2月9日 |
| 干扰素α-2b | 500万单位,2次/d,雾化 | 2月1日至2月14日 |
| 甲泼尼龙琥珀酸钠 | 40 mg,1次/d,静点 | 2月1日,2月6日至2月8日 |
| 注射用亚胺培南西司他丁钠 | 1支,3次/d,静点 | 2月2日至2月7日 |
| 莫西沙星 | 0.4 g,1次/d,静点 | 2月2日至2月6日 |
| 利巴韦林 | 0.5 g,2次/d,静点 | 2月2日至2月4日,2月8日至2月9日 |
| 安宫牛黄丸 | 1.5 g,2次/d,口服 | 2月2日至2月8日 |
| 血浆 | 180 ml,1次/d,静点 | 2月2日至2月4日 |
| 免疫球蛋白 | 20 g,1次/d,静点 | 2月5日至2月8日 |
| 低分子肝素 | 5 000单位,1次/d,皮下注射 | 2月6日至2月23日 |
| 胸腺法新 | 1.6 mg,2次/周,皮下注射 | 2月8日至2月23日 |
| 谷胱甘肽 | 1.8 mg,1次/d,静点 | 2月10日至2月23日 |
| 美托洛尔 | 12.5 mg,2次/d,口服 | 2月10日至2月21日 |
| 双环醇 | 50 mg,2次/d,口服 | 2月10日至2月17日 |
| 甘草酸二胺肠溶胶囊 | 150 mg,3次/d,口服 | 2月17日至2月23日 |
| 异甘草酸镁注射液 | 200 mg,1次/d,静点 | 2月11日至2月16日 |
| 双环醇 | 25 mg,2次/d,口服 | 2月18日至2月23日 |
| 乙酰半胱氨酸胶囊 | 0.2 g,3次/d,口服 | 2月20日至2月23日 |
2020年2月2日病例1辨证为邪热臃肺,给予宣肺清热法,麻杏石甘汤+银翘散加减,中药方剂为:麻黄10 g、杏仁10 g、生石膏30 g、甘草10 g、连翘20 g、银花20 g、桔梗10 g、薄荷10 g、淡竹叶10 g、荆芥10 g、牛蒡子10 g、板蓝根30 g、知母15 g、赤芍15 g、山药15 g、寒水石30 g、滑石20 g。
2月6日辨证为气阴两虚,可仍给予宣肺清热、润肺生津治疗,应用寒凉之品的同时,需注意顾护脾胃,中药方药如前,加生姜9 g。2月8日辨证仍为气阴两虚,体温趋于正常减少寒凉的寒水石、滑石,需注意继续顾护脾胃加陈皮12 g、白术15 g,清肺泻火下气平喘加桑白皮10 g、地骨皮20 g、白薇15 g、葶苈子15 g、同时清热生津、滋阴加天花粉15 g、芦根30 g、太子参15 g,补气加黄芪20 g。2月10日辨证同前,无明显热像去寒凉的生石膏、薄荷、白薇,加玉竹12 g养阴润燥生津止渴。
2月11日辨证为气阴两伤,湿热未尽,给予滋养肺胃,燥湿化痰,降逆下气,麦门冬汤+平胃散+三拗汤加减,中药方剂为:麦冬10 g、清半夏10 g、太子参15 g、黄芪15 g、甘草6 g、苍术12 g、藿香15 g、茵陈15 g、陈皮12 g、茯苓20 g、山药15 g、麻黄9 g、杏仁10 g、葶苈子15 g、黄连10 g、黄芩10 g、知母10 g、淡竹叶10 g。2月14辨证仍为气阴两伤,湿热未尽,上方加厚朴10 g、焦栀子10 g加强燥湿清热。2月16日辨证同前,上方加薏苡仁15 g、佩兰10 g加强健脾燥湿。2月18日辨证同前,上方去知母,加赤芍15 g清热兼化瘀。2月20日辨证同前,上方去加芦根20 g、丝瓜络15 g清热生津除烦通络。
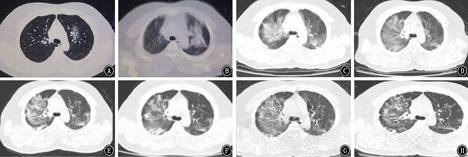
2020年1月24日当地县医院胸部CT示左肺磨玻璃影;右肺中叶条索。1月29日当地县医院CT肺部病变较前明显增多。2月1日衡水市第三人民医院胸部CT示双肺符合COVID-19影像表现[11]。2月9日与2月1日比较,右肺上叶片状阴影范围增大,余双肺病变略显减少。2月13日与2月9日比较,双肺病变范围缩小,双肺病变实性成份增多。2月17日与2月13日比较,双肺病变范围稍缩小,双肺病变实性成份较前稍减少。2月21日与2月17日比较,双肺病变范围稍缩小,双肺病变吸收好转。2月23日与2月21日比较,双肺渗出病变较前吸收、减少,病变范围较前缩小,纤维化较前明显。具体情况见图1。


男性,56岁,主因发热4 d于2020年1月26日入院。患者缘于4 d前出现发热、咳嗽,最高达39.5 ℃,伴关节疼痛及肌肉酸痛,恶心,患者未到过疫区,其妻子曾乘火车至汉口,于1月13日返回衡水,无发热等。1月25日就诊于发热门诊,胸部CT示:双肺多发炎性改变;血常规:白细胞计数3.83×109/L,淋巴细胞计数0.73×109/L,C-反应蛋白48.7 g/L,降钙素原0.22 μg/L,血清淀粉样蛋白A 358.3 mg/L,会诊后考虑不排除COVID-19,转入衡水市第三人民医院。查体:体温38.5 ℃,脉搏114次/min,呼吸20次/min,血压135/90 mmHg。双肺呼吸音粗,未闻及干湿性啰音。既往高血压史3年,平素服用替米沙坦和硝苯地平缓释片控制。1月26日体温最高到39 ℃,1月27日体温最高到38.5 ℃,复查胸部CT肺部炎性病灶较前明显增多。同日复核咽拭子SARS-CoV-2阳性,确诊,氧合指数<300 mmHg,诊断为:重症COVID-19、呼吸衰竭、原发性高血压。1月28日体温最高到38.8 ℃,1月30日体温最高到37.2 ℃,此后无发热。2月1日胸部CT显示病灶较前减少,氧合指数>300 mmHg,脱离重症。到2月10达到出院标准,出院。该患者用药过程见表2。

重症新型冠状病毒肺炎患者(病例2)临床用药治疗过程
重症新型冠状病毒肺炎患者(病例2)临床用药治疗过程
| 药物 | 剂量 | 用药时间 |
|---|---|---|
| 奥司他韦 | 75 mg,2次/d,口服 | 1月26日至1月27日 |
| 洛匹那韦利托那韦 | 2粒,2/次d,口服 | 1月27日至2月2日 |
| 干扰素α-2b | 500万单位,2次/d,雾化 | 1月27日至2月10日 |
| 莫西沙星 | 0.4 g,1次/d,静点 | 1月26日至1月28日 |
| 莫西沙星 | 0.4 g,1次/d,口服 | 1月29日至2月4日 |
| 甲泼尼龙琥珀酸钠 | 40 mg,2次/d,静点 | 1月27日至1月29日 |
| 甲泼尼龙琥珀酸钠 | 40 mg,1次/d,静点 | 1月30日至2月2日 |
| 痰热清 | 30 ml,1次/d,静点 | 1月27日至1月31日 |
| 连花清瘟胶囊 | 4粒,3次/d,口服 | 1月26日至2月4日 |
2020年1月26日病例2辨证为邪热臃肺,给予清热解毒,宣肺透邪法,麻杏石甘汤+银翘散加减,中药方剂为:蜜麻黄10 g、杏仁10 g、生石膏30 g、甘草10 g、连翘20 g、银花20 g、桔梗10 g、竹茹15 g、薄荷10 g、淡竹叶10 g、荆芥10 g、牛蒡子10 g、板蓝根30 g、知母15 g、蒲公英15 g、柴胡12 g、葛根30 g。
1月28日下午经专家会诊,中药改为COVID-19通用处方"清肺排毒汤"。1月30日专家会诊,效不更方。
2月2日患者咽部有异物感,四诊合参辨证为上焦痰盛,清肺汤加减,中药方剂为:荆芥10 g、紫菀10 g、白前10 g、化橘红10 g、干姜8 g、细辛3 g、前胡20 g、黄芩15 g、射干15 g、浙贝母15 g、蜜枇杷叶20 g、芦根15 g、五味子10 g、乌梅15 g、甘草6 g。2月6日患者无不适。上方加佩兰15 g、苍术10 g芳香避秽,3 d。
2020年1月27日双肺外带见片状磨玻璃影,符合典型的COVID-19演化特征[11];1月30日与1月27日对比:病灶呈游走性改变,总体较前增多;2月5日与1月30日对比:双肺病变吸收好转;2月8日与2月5日对比:双肺病变略显好转,胸膜轻微肥厚粘连。具体情况见图2。


以上2个病例的诊疗过程,从诊断时间分析:2例COVID-19患者均为男性,几乎是同时发病就诊,病例1于1月24日就诊,病例2于1月25日就诊。区别在于病例1就诊于县级医院,病例2就诊于市级医院,病例1虽然初始怀疑COVID-19,但4次咽拭子核酸均阴性,专家组本着务必犁庭扫穴的原则,积极救治的同时再次做咽拭子终于拨云见日,患者转至定点医院后很快咽拭子核酸检测阳性得以确诊。标本均是由市疾控中心检测,病例1之所以4次检测阴性,很可能是采样环节出现纰漏。发现此问题后,定点医院对全市的采样员进行了培训补齐了防疫中的短板。可见强化"三基"培训的重要性,尤其在疫情变成常态化下更应严格要求[12]。
从病情轻重分析:病例1转至定点医院时按当时的生命体征即为危重症,病例2转至定点医院时按当时的生命体征即为重症。区别之一为病例1就诊第9天转至定点医院,病例2就诊第2天转至定点医院,体现了定点医院对患者救治的优势。二者转至定点医院后均开始服用中药,病例2服用中药时间较病例1早1周,即病例2在发病初期中医药的及时介入对于病情的发展有控制作用。可见中西医结合,中西药并用的重要性[8]。
并发症情况:病例1在治疗过程中出现转氨酶的升高,初步判定为SARS-CoV-2导致的肝损害,但也不能排除药物性肝损害。因患者既往有脂肪肝,专家组在患者的救治过程中时刻注意患者肝损害的潜在危险,2月5日《新型冠状病毒感染的肺炎诊疗方案(试行第五版)》[13]颁布,提出抗病毒可以加用利巴韦林(成人首剂4 g,次日每8小时1次,每次1.2 g;或8 mg/kg静点,每8小时1次)。当时专家组经过激烈的讨论后利巴韦林没有加量,2月8日《新型冠状病毒肺炎诊疗方案(试行第五版修正版)》[14]调整为"或可加用利巴韦林(500 mg/次,2~3次/d静脉输注)"。专家组按照"一人一策"的原则严密关注患者病情,2月10日出现转氨酶升高,停用抗病毒药物,加用保肝药。患者当时病情趋于稳定,所以治疗的指导思想是"减法",即尽可能的减少药物的品种与用量,减轻对机体的损害,关注点着眼于"人"而不仅仅是为了治病而治病,体现了整体观念。
入院时中医辨证论治分析:2例患者入定点医院后均辩证为邪热臃肺,治则治法相同,方剂选用一致,方剂中均有:麻黄、杏仁、生石膏、甘草、连翘、银花、桔梗、薄荷、淡竹叶、荆芥、牛蒡子、板蓝根、知母,由于病例1较病例2迁延日久,热像更重,故病例1用寒水石、滑石清热,用赤芍兼活血,用山药固护脾胃。病例2中药介入早,邪气在少阳半表半里,故用柴胡、葛根、蒲公英、竹茹。《新型冠状病毒肺炎诊疗方案(试行第六版)》[10]规定清肺排毒汤主要用于轻型、普通型、重型患者,危重症患者结合实际情况辨证论治;病例1属于危重症患者,按一人一方案原则辨证论治,病例2符合诊疗方案辨证应用清肺排毒汤,充分体现了中医在临床中对于疾病轻重的把握是很精确的,卫气营血辨证就是中医对于温病由轻而重不同层次的划分。
瘟疫中国古代早有防治记载,《素问·刺法论》说:"五疫之至,皆相染易,无问大小,病状相似"。宋代陈无择在《三因极一病证方论》中明确提出:"六淫,天之常气,冒之则先自经络流入,内合于脏腑,为外所因"。首先从病因上看,现代医学已经明确本病是SARS-CoV-2感染所致,即中医"疫毒"。至于感受外邪后为什么表现上不尽相同,取决于感邪后正邪斗争的结果,即患者的机体状态(包含但不限于体质、免疫应答等)对于疾病的发作与否、发病症状轻重有很大作用。所以对于外感病来说发不发病、病情轻重是正邪相较量的结果:正气充足,可以驱邪外出,或感邪较轻可以不发病(潜伏期或隐性感染),或发病症状轻微;正邪力量相当或邪气超出了正气的抵御能力,正气即使不衰也会发病,甚者症状明显甚至危重,到后期正气渐衰,邪气也渐退,出现虚衰表现,主要是机体正气不足所致,常见气阴两伤[15]。其次从发病过程看,结合两病例,患者年龄不同,身体基本条件不同,救治过程不同,所以疾病发展轻重不同,住院时间不同,在身体内存在因为正邪力量不同,正邪的交争的结果不同导致病情的区别。第三,从两个病例的救治及转归体现了中西药并用的优势,笔者非常赞同全国范围内第一时间让中医参与到COVID-19患者的救治工作中去[8]。现代传染病学认为:在尽可能消灭传染源、切断一切可能传播途径的同时,通过扶正手段,提高未感染者的体抗力,目前各地推出了各有特色的预防方案[16],笔者认为在辨证基础上应用四君子、玉屏风散、防风通圣散之类可以用于预防。中医同道可以从不同的角度去认识这一疾病用不同的辨证思路去立法处方,采用科学的评价手段评价疗效。
从治疗上看,笔者以为:观其脉证,知犯何逆,随证治之,一人一方。医师可以根据自己的辨证思路和认识角度进行立法处方,即同病异治。笔者根据本病的总体表现,比较同意以少阳证为基本立论,和解少阳,解表寒清理热兼以益气养阴,可同时兼顾。在不同的病理阶段,根据病情轻重有所侧重,早期解表清热为主,不忘扶正;中期清热为主兼顾解表养阴;后期益气养阴扶正为主。处方以小柴胡汤为基本方进行加减,小柴胡汤中有人参、大枣扶护正气,柴胡、黄芩解表清热,和解少阳,半夏可酌情用或不用,生姜可以和中止呕。恶心、呕吐且里热明显的可以再加黄连,对于腹泻的可以将生姜换成干姜或另加干姜,也可以再加黄连,腹痛者可以加白芍;便秘的可以加大生地,口干、咽干的可以加麦冬、石斛;不欲饮食的的可以加焦三仙等。
总体来说,对于COVID-19的治疗,目前西医没有特效药。通过预防感染、调节免疫力及氧疗等对症支持治疗的思路,提示我们注意扶正、顾护脾胃,时刻不忘:有一分胃气便有一分生机。清肺排毒汤推荐服药后喝一碗米汤即源于《伤寒杂病论》,就是为了顾护胃气,同时有助于发汗解表。对于温热证来说,益气养阴可能是比较好的扶正方法,甘温除大热,热伤阴血,劫热可存阴。所以医师可以根据自己的习惯和擅长,从不同的角度认识本病,引用不同的辨证方法进行辨证认识。
临床医师在研究过程中除了应用现代医学检测手段(如核酸、抗体检测、CT)进行诊断以外,还要学习现代医学对本病的认识,从中受到启发,然后融会贯通收集不同类型患者的资料进行分析。如有可能,收集接触确诊患者却没有被感染、无症状感染者可能更有研究价值,分析这些患者机体状态的各自特点及普遍规律;在没有现代医疗检测手段之前,没有症状表现的就被认为没有发病,感染而始终没有发病的这部分患者病毒和机体的关系;这都是值得我们思考的问题。
另外对于健康人群,遵循卫生工作方针,重视预防,结合现代的科技手段如戴口罩等,关口前移,依据"正气存内,邪不可干,避其邪气"的原理,保持"恬惔虚无,精神内守",做到心态平和,健康生活方式,增强体质,远离传染源,达到保健康的目的。
所有作者均声明不存在利益冲突





















