
气管息肉是由于气管黏膜受到机械刺激、炎症感染等引发。目前随着各级医院人工气道技术普遍开展,其发生率越来越高。气管息肉缺乏特异性临床表现,易引起误诊。本文报道兰州大学第二医院呼吸内科收治的1例高位气管息肉患者,并分析其发病及诊治过程,以提高临床医师对该病的认识和处理水平。
版权归中华医学会所有。
未经授权,不得转载、摘编本刊文章,不得使用本刊的版式设计。
除非特别声明,本刊刊出的所有文章不代表中华医学会和本刊编委会的观点。
气管息肉是由于气管黏膜受到机械刺激、炎症感染等引发,目前临床上随着气管插管及气管切开等技术普遍开展,其发生率也越来越高。气管息肉无特异性临床表现,易误诊、漏诊。治疗方式有外科手术和内镜切除,切除的方法取决于病变位置及病变范围。现就兰州大学第二医院呼吸内科收治的1例高位气管息肉患者的临床资料,结合相关文献,对其临床特点及治疗进行分析总结,为该病的诊断、治疗提供参考。
患者男,51岁,回族,因"咳嗽、咳痰、气短4个月,加重伴喘息1周"入院。患者4个月前出现刺激性咳嗽、咳痰,痰黏不易咳出,活动后喘息、气短。曾在当地医院多次行胸片检查未见明显异常,考虑"支气管哮喘",给予布地奈德福莫特罗粉吸入剂(商品名信必可)吸入、多索茶碱颗粒口服及抗感染治疗,症状未得到缓解。行胸部CT检查,未见明显异常(具体不详),仍考虑"哮喘",继续给予上述治疗,患者症状逐渐加重。入院前1周,患者在静息状态下即有明显喘息,可闻及喘鸣音,不能活动,遂急诊入住兰州大学第二医院呼吸内科。入院后追问病史,患者5个月前曾因车祸致意识丧失、呼吸衰竭入住兰州大学第二医院ICU,胸部CT提示左侧多发肋骨骨折、胸骨柄骨折、双肺挫裂伤、双侧中量胸腔积液。行气管插管呼吸机辅助通气及相关治疗20余天好转出院。既往体健。体格检查:一般情况良好,意识清楚,唇甲轻度发绀,颈部未见明显淋巴结肿大。胸腹反常呼吸运动,有"三凹征"。听诊喉部可闻及喘鸣音,双肺可闻及吸气相哮鸣音。心率116次/min,心音低钝,心律齐。其余未见明显异常。入院后心电图、血常规及凝血功能检查均正常,动脉血气分析:pH7.34,PaO2 68 mmHg(1 mmHg=0.133 kPa,吸氧6 L/min),PaCO2 50 mmHg。急诊行颈胸部CT平扫,提示声门下气道内占位性病变(图1),初步诊断为气管内肿瘤。


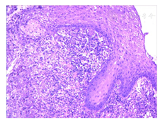
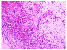
向家属及患者告知病情,完善相关检查及术前准备后,为明确诊断行气管镜(型号:Olympus BF-260)检查。结果显示,声门下约0.5 cm处见一类圆形新生物,基底位于气管膜部,阻塞管腔约3/4以上,仅留一缝隙,镜身不能通过,新生物表面尚光滑,血管分布较为丰富(图2),于表面喷洒1∶10 000肾上腺素盐水后活检,质脆,出血少。病理结果回报:送检肿物由增生的纤维、小血管组成,纤维组织水肿明显,其间伴较多慢性炎症细胞浸润,表面未见被覆上皮。病理诊断:(气管)息肉(图3)。




复习患者既往胸部CT检查,结合患者5个月前曾行气管插管呼吸机辅助通气治疗及本次病理组织学检查,气管新生物考虑为插管后炎症刺激所致气管息肉。患者及家属拒绝手术及气管切开。经多学科讨论,决定在喉罩辅助通气、气管内表面麻醉联合静脉麻醉下行气管镜热消融介入治疗。
患者仰卧位,常规监测心率、血压、呼吸、SpO2,配备相关抢救设备及药品,于咽部2%利多卡因局部喷雾麻醉,麻醉医师经静脉缓慢推注丙泊酚1~3 mg·kg-1·h-1和瑞芬太尼2 μg/kg,以患者的咳嗽体动反应情况为依据,为其间断追加丙泊酚0.5~1 mg/kg。患者意识消失、睫毛反射消失后,经口置入三通喉罩连接麻醉机控制呼吸。操作医师经喉罩进入气管镜(型号:Olympus BF-1TQ290),术中严密监测生命体征。镜下见声门下约0.5 cm处一类圆形新生物,表面光滑,管腔重度狭窄,从工作通道送电凝电极至新生物表面作点状电凝治疗(功率35~40 W),出血较少,继续烧灼治疗后管腔明显通畅,新生物缩小至原来的25%,气管镜可顺利进入,见气管下段、左右主支气管及远端支气管管腔黏膜均正常。患者清醒后自觉喘息、气短症状明显缓解。3 d后再次行气管镜检查并钳夹清理烧灼区域坏死物质,近基底部新生物予以氩等离子体凝固术治疗,共治疗2次后,管腔基本通畅(图4)。术后1个月复查气管镜见声门下6点钟方向米粒大肉芽突出于管腔,活检钳钳夹肉芽组织再次送检(图5)。病理提示:送检物为黏膜组织、炎性肉芽组织及坏死、炎性渗出物(图6)。术后4个月患者无喘息症状,复查气管镜可见管腔基本通畅,原新生物基底部轻度瘢痕形成(图7)。








气管息肉是生长在支气管黏膜表面上的赘生物,属于气道良性肿瘤的一种,目前病因尚不清楚,可能与慢性炎症或机械性刺激有关[1]。气管管内型息肉临床症状的轻重与病变的大小、气管阻塞的程度相关,因气管腔适应性较大,通气代偿功能较强,患者早期因病灶范围较小,常缺乏特异性临床症状,随着息肉逐渐长大,患者逐渐出现咳嗽、喘息、进行性呼吸困难等症状,依据息肉位置还可以伴有感染、阻塞症状。本例患者在当地医院曾多次被误诊为"哮喘"等。因此,对于临床上不明原因的喘息、气短,当患者行胸部X线检查未见异常时,一定要排除上气道梗阻性病变,尤其是气管上段高位梗阻。由于胸部CT扫描位置常规从胸廓入口开始,加之医师经验不足,故也容易造成漏诊。此时应及时行颈部CT检查或气管三维重建[2]。
气管支气管息肉X线、CT表现依病灶具体位置而异,可有相应部位阻塞性肺炎或段、叶等的局限性肺不张,管腔内异常软组织影等,均无明显的特异性[3],气管镜检查结合组织病理学可明确诊断,在临床上诊断并不困难。气管支气管息肉气管镜下表现为表面光滑,色淡白或淡红,可有宽基底或细蒂;病理是诊断的"金标准",免疫组织化学有助于鉴别诊断。息肉主要是以慢性炎性细胞为主,含有上皮细胞,无脂肪、软骨、腺体细胞等[4],需与脂肪瘤、错构瘤、神经鞘瘤、结核等气管支气管良性病变鉴别。
近些年来,随着呼吸机在临床上的广泛应用,气管插管病例呈逐年增加趋势。气管导管放置不当、频繁移位、吸痰操作不当、气道感染、导管放置过久等均可能造成气管插管后肉芽组织增生、息肉形成、气管狭窄。因此,插管过程中应尽量避免气道黏膜损伤,插管后加强气道管理,严格控制感染,尽早拔管,最大程度地避免气管插管病例的发生。气管插管后致气管高位息肉报道较少,尤其是表现为球形宽基底病灶阻塞管腔者。
以往对于良性中心气道狭窄的治疗多为外科切除和手术重建[5,6,7,8]。但开胸手术损伤较大,围手术期并发症多,费用昂贵。加之部分患者病变部位解剖学的限制,使得外科手术的适应证非常有限。近几年来随着呼吸介入治疗技术的快速发展,内镜介入治疗已经成为良性中心气道狭窄的主要治疗方式[9],已基本取代传统的外科手术,支气管镜下圈套器切割配合冷冻、高频电凝消融或激光操作简便,起效快,费用低,术后并发症少[10,11]。
本例患者息肉位置特殊,位于声门下0.5 cm处,狭窄程度>90%,外科手术切除可能会损伤声门,且管腔重度阻塞,气管插管困难,气管切开有出现再狭窄风险,故无手术切除指征。术者在喉罩全身麻醉下经气管镜成功切除患者声门下的气管息肉,解决了患者主气道的阻塞,挽救了患者生命。高位严重气道狭窄在局部麻醉下经内镜介入治疗操作较为困难,风险极大,由于手术操作部位靠近声门,患者难以耐受,一旦出血量多时不易处理,严重者可致患者窒息死亡。硬质支气管镜虽然被认为是中心气道病变介入技术的重要操作工具[12],但也需要占用一部分气管上段,限制了其在高位气管病变中的应用。喉罩作为介于面罩和气管插管之间的一种通气道,可以保留自主呼吸,也可以行正压通气[13],不仅保障了患者镜下介入治疗的安全性及舒适性,而且为术者提供了更开阔的手术通道和视野。本例手术显示对于高位气道狭窄的患者,与其他方法相比,全身麻醉下经喉罩路径,经可弯曲支气管镜介入治疗是一种安全、有效的方法[14,15]。该患者气管内病灶位置特殊,紧邻声门,基底较大,不适合圈套器套扎治疗,另外套扎脱落的病灶可能会再次阻塞气道,发生窒息风险。冷冻治疗由于其治疗效应的延迟性,加重气道狭窄,从而导致患者窒息,在需要立即开通气道之前不宜使用[16]。为保证患者安全,故本例患者选择镜下治疗,先以电凝电极使病灶逐步缩小,保证气道通气,虽然清除病灶较慢,但可以一边消融一边止血,安全性高。基底部病灶以氩等离子体凝固术治疗,2次治疗后患者气道梗阻完全解除。患者术后1个月复查气管镜病变仅为米粒大肉芽组织,术后4个月复查气管镜无复发,管腔通畅,疗效满意。由上可见,喉罩通气全身麻醉下经支气管镜介入切除高位气管息肉是一项安全、有效、经济的治疗手段。
所有作者均声明不存在利益冲突





















