
经皮介入消融是一种微创的治疗技术,通过影像定位可对病变部位进行精准的治疗。其在周围型肺癌中的应用日渐增多,既可用于早期肺癌的根治性治疗,也可用于中晚期肺癌的姑息性治疗,并且它与全身治疗的联合应用也显示出了良好的协同作用,能有效提高抗癌治疗疗效。经皮介入消融可在周围型肺癌治疗中发挥重要的临床价值。
版权归中华医学会所有。
未经授权,不得转载、摘编本刊文章,不得使用本刊的版式设计。
除非特别声明,本刊刊出的所有文章不代表中华医学会和本刊编委会的观点。
2022年全球癌症统计报告显示肺癌是目前全球发病率第二、病死率最高的癌症[1]。按照肺癌发生部位可分为中央型肺癌与周围型肺癌。周围型肺癌是指起源于三级支气管以下的肺癌,其病理类型以腺癌多见,临床上可分为早期及中晚期。手术切除是早期周围型肺癌的主要治疗手段,对于不宜或不愿手术者可选择经皮介入消融治疗[2]。对于中晚期周围型肺癌,除了采用外科手术、放疗及全身治疗如靶向、化疗、免疫治疗等之外,经皮介入消融治疗也是其有效的治疗方法之一。与外科手术相比,经皮介入消融具有创伤小、安全性高、费用低、可重复操作等优点,目前已越来越多地应用于周围型肺癌的根治或姑息性治疗。掌握好经皮介入消融的技术及适应证,进一步完善介入消融技术的质控体系,是确保其疗效的关键。
肺癌经皮介入消融技术主要包括热消融、冷冻消融及放射性粒子植入等,目前临床常用的技术有射频消融术(radiofrequency ablation,RFA)、微波消融术(microwave ablation,MWA)、氩氦刀冷冻治疗(argon-helium cryoablation,AHC)及125I粒子植入。
RFA的工作原理是将375~500 kHz范围的射频波传送到耦合电极周围的区域,产生振荡电场,通过电子的碰撞产生热量,可使局部温度高于60 ℃,导致肿瘤细胞发生凝固性坏死。RFA治疗温度和消融范围可控,是目前治疗实体肿瘤应用最广泛的消融技术[3]。RFA存在热沉效应、高阻抗等特点,适用于<3 cm的病灶,且其消融体积取决于局部射频产生的热量传导与循环血液及细胞外液间的热对流。
MWA将微波消融针(微波天线)穿刺到目标组织内,通过300~3 000 MHz范围内的微波产生热量,使肿瘤细胞凝固坏死。MWA与RFA相比,在肺内有较高的对流性和较低的热沉效应,因而消融治疗时间更短、消融范围更大,比较适合治疗邻近大血管的肿瘤[3]。但MWA的缺点是温度不能控制,可能存在过度消融或消融不够的问题。
AHC的工作原理是通过焦耳-汤姆逊效应,高压氩气使组织迅速降温至-140 ℃,再通过氦气使组织升温到20 ℃以上,温度梯度变化使得靶组织发生蛋白质变性、细胞裂解、组织缺血坏死,并释放抗原诱导抗肿瘤免疫反应[4]。冷冻消融具有术中可观察到冰球形成及清楚地显示消融边界,肿瘤组织的大分子结构保存较好,免疫激活作用较强,较少引起患者疼痛等优点[5]。但冷冻消融治疗所需时间较长,并且容易消耗血小板,影响止血功能,应避免用于凝血功能差的患者。AHC可进行多针同时消融,缩短消融时间。尽管多针消融可治疗较大病灶,但AHC仍主要推荐用于3 cm以内病灶[3]。
经皮放射性粒子植入治疗周围型肺癌通常在CT引导下进行,一般采用125I粒子。125I粒子通过长时间产生低剂量x射线和γ射线,使得靶区局部辐射剂量高,而靶区外正常组织辐射剂量低,在有效杀伤肿瘤的同时保护邻近正常组织不受损伤。125I粒子的半衰期是59.6 d,持续辐射破坏肿瘤细胞核内DNA合成,抑制肿瘤细胞有丝分裂及诱导肿瘤细胞凋亡[6]。经皮125I粒子植入多与化疗联合,用于治疗不能手术的早期和晚期非小细胞肺癌(non-small cell lung cancer,NSCLC)[7,8,9]。
迄今为止,早期肺癌并无统一定义,不同学科之间有各自的见解。而根据第8版TNM分期标准诊断,Ⅰ期肺癌属于早期肺癌的范畴是没有争议的,即分期为T1-2aN0M0的肺癌,肿瘤最大径T≤4 cm,距离气管隆突>2 cm,无淋巴结及远处器官转移。周围型肺癌在早期往往无症状,近年来随着低剂量螺旋CT在体检中的普及,越来越多的周围型肺癌得到了早期诊断。早期周围型肺癌在胸部CT上常表现为肺结节,即早期结节型肺癌,其为经皮介入消融治疗的主要对象,目前适应证包括:(1)影像学、病理检查排除淋巴结及远处转移的早期结节型肺癌;(2)不能承受或拒绝外科手术切除者;(3)经多学科评估,通过经皮介入消融治疗能够达到根治目的者。结节型肺癌可分为实性结节型肺癌及磨玻璃结节(ground-glass nodules,GGN)型肺癌,以下分别阐述这两型肺癌经皮介入消融治疗的应用进展。
早期实性结节型肺癌属于传统意义上的Ⅰ期周围型肺癌,生长快、容易转移,经皮介入消融治疗仅用于不宜或不愿手术的患者。为达到根治目的,消融治疗应确保消融后边界超过病灶10 mm,粒子植入应确保治疗剂量达到放疗计划系统的要求。依据参考文献报道及笔者临床经验,可根据病灶大小及部位选择合适的技术:病灶≤20 mm时可选择射频、微波或氩氦刀,>20 mm时微波更为可靠;病灶靠近大血管、肺门优选粒子植入,病灶靠近重要脏器或胸壁时首选氩氦刀[5,10]。
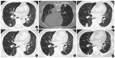
近年来,关于介入消融治疗早期结节型肺癌的报道逐渐增多,主要应用于因心肺功能差等无法手术的患者。研究显示,经皮RFA治疗Ⅰ期NSCLC可有效控制肿瘤进展,获得较为满意的生存率[11]。MWA治疗Ⅰ期NSCLC也获得了较好的临床疗效,研究报道MWA治疗老年早期NSCLC,5年局部控制率可达63.9%[12];还有研究发现,病灶>3.5 cm是MWA治疗后复发的独立危险因素,但复发后再次行MWA治疗,可获得与未复发者相仿的预后[13],该结果提示MWA可重复操作且不影响预后。此外,有文献报道经皮冷冻消融治疗Ⅰ期NSCLC的5年无进展生存率可达(87.9±9.0)%[14]。这些研究中并无严重并发症的报道,提示经皮介入消融治疗早期肺癌安全、有效。本中心近年来也对部分符合适应证的实性结节型肺癌进行了消融治疗,典型病例见图1。


随着经皮介入消融在早期结节型肺癌中应用增加,逐渐有研究对比其与外科手术、放疗之间的优劣。一项meta分析对比经皮介入消融与手术切除治疗Ⅰ期NSCLC的疗效,结果发现2组间1~5年总生存率、无病生存率及癌症特异性生存期(cancer-specific survival,CSS)差异均无统计学意义,尤其是在各亚组间比较中,MWA治疗后生存结局均与手术切除差异无统计学意义[15]。大样本研究数据显示,热消融治疗Ⅰ期NSCLC的生存率不亚于立体定向放疗[16,17]。值得注意的是,目前手术切除仍是早期肺癌的首选治疗方式,因而接受消融治疗的患者往往存在高龄、心肺功能差、体力状况评分高等不利于预后的因素。有研究显示,校正了体力状况评分后,亚肺叶切除、RFA、立体定向放疗在治疗Ⅰ期NSCLC中生存差异无统计学意义[18]。此外,还有多项研究提示,经皮介入消融治疗早期肺癌疗效不劣于手术及立体定向放疗[19,20]。
125I放射性粒子植入治疗早期结节型肺癌也有少量报道。一项meta分析显示,125I治疗早期肺癌的1、2、3年生存率分别为98%、83%和65%,3年局部控制率可达95%,未出现放射性肺损伤及严重并发症[9]。该meta分析纳入的研究多包括Ⅰ~Ⅱ期的NSCLC,单纯Ⅰ期患者是否可获得更佳的疗效还需进一步研究。笔者曾采用经皮植入125I粒子治疗老年Ⅰ期周围型肺癌16例,客观缓解率(objective response rate,ORR)可达100%,其中完全缓解12例、部分缓解4例,随访期间有3例病灶增大,其中2例再次植入粒子后获得部分缓解。这些研究结果提示125I粒子植入治疗早期肺癌安全有效,但目前的循证医学证据较为薄弱,还需设计大样本、多中心、前瞻性研究进一步证实。
综上,对早期实性结节型肺癌进行经皮介入消融治疗的疗效已得到临床实践及初步研究证实。对不宜或不愿手术的早期实性结节型肺癌,消融治疗为不错的治疗选择。
持续存在GGN一般为腺癌或腺癌前驱病变,可统称为GGN型肺癌。绝大多数GGN型肺癌属于无转移的、可经局部治愈的局部病变,这为局部介入消融根治该类疾病提供了可能性。应用的经皮介入消融技术主要有RFA、MWA和AHC。现尚缺乏针对GGN型肺癌消融治疗的临床指南,根据国内新近发布的专家共识[21],经皮介入消融治疗GGN型肺癌的适应证包括:(1)病理证实为不典型腺瘤样增生、原位腺癌、微浸润腺癌、浸润性腺癌(排除远处转移)的周围型GGN,且存在因心肺功能差或高龄等因素无法耐受手术、术后出现新病灶无法耐受再次手术、拒绝手术、多发GGN、重度焦虑等;(2)拒绝活检及手术的患者如有影像学恶性征象或极度焦虑,在多学科会诊的基础上与患者共同决策确定是否"可不取病理直接消融或消融与活检同步进行"。
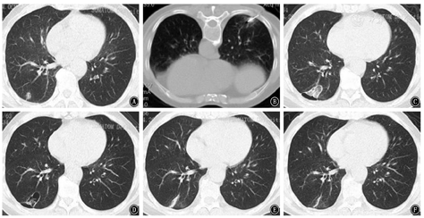
近年来,陆续有介入消融技术治疗GGN型肺癌的报道。RFA治疗GGN型肺癌的2年总生存率、CSS分别可达95.8%、100%[22]。MWA治疗GGN型肺癌也获得令人满意的生存获益,3年无局部进展生存率可达98%,3年CSS率可达96%[23];而且,MWA在多发GGN型肺癌的治疗中也有报道,中位随访18个月内未见肿瘤复发[24]。AHC治疗GGN型肺癌也有少量报道,一项回顾性研究纳入14例接受AHC治疗的GGN型肺癌患者,2年随访期内未见肿瘤复发[25]。这些研究报道中均未发生严重并发症。本中心也对部分GGN型肺癌患者进行了消融治疗,典型病例见图2。


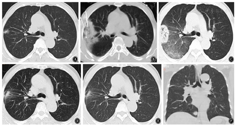
值得注意的是,由于GGN非手术活检诊断率低、出血风险高等特点,消融同步活检在高度可疑恶性GGN病灶中的应用正备受关注[26]。但目前更多的关注点在于消融是否对病理结果造成影响以及同步操作的技术可行性,而对于消融远期疗效的报道相对较少。本中心也开展了这项技术,现有的结果显示消融同步活检可获得不亚于单独穿刺的病理诊断率,且病灶控制良好,典型病例见图3。


经皮介入消融治疗早期GGN型肺癌已开始越来越多地应用于临床,并达到较好的局部病灶控制及生存率。期待未来大样本、多中心、前瞻性对照临床试验,能为介入消融治疗GGN型肺癌提供更高级别的循证医学证据,使其在GGN型肺癌治疗上发挥与外科手术同等重要的作用。
中晚期周围型肺癌的治疗包括局部治疗及全身治疗。局部治疗除了传统的手术切除及放射治疗外,经皮介入消融治疗在临床中受到越来越多的认可并推广应用。经皮介入消融治疗多数应用于局部肺癌病灶的姑息性治疗,少数应用于局部病灶的根治性治疗。近年来,免疫、靶向、化疗等全身治疗联合介入消融协同抗癌的治疗模式逐渐在临床中开展。经皮介入消融治疗应坚持以下策略:(1)最大程度地原位灭活,减轻肿瘤负荷,减缓局部肿瘤生长速度,尽量改善患者生活质量,延长生存期;(2)温度消融技术为主、放射性粒子植入为辅,联合应用多种消融技术取长补短,以求局部控制最优化。
经皮介入消融治疗中晚期周围型肺癌的适应证包括:针对原发灶的减瘤性、减症性姑息消融治疗;不宜手术局部晚期原发灶的根治性消融治疗;肺癌转移病灶的姑息性治疗(胸腹壁、骨、肝脏等);原发灶局部消融联合全身治疗以提高疗效;晚期肺癌全身治疗中寡病灶进展的局部消融治疗;术后复发的补救治疗。以上均必须是可耐受经皮介入消融且预计生存期>3个月的患者。
目前已报道的研究数据提示,介入消融治疗局部晚期NSCLC可使患者获益。一项对比消融治疗和未治疗晚期NSCLC的研究显示,接受消融治疗组的中位总生存期明显长于未治疗组(5.9个月比4.7个月)[27]。对于晚期肺癌,区分患者的具体情况以进行个体化治疗可有效改善预后。Zheng等[28]对183例接受MWA治疗的NSCLC患者进行回顾性研究,结果发现随访期内局部进展率为19.1%,中位无进展生存期(progression-free survival,PFS)和CSS分别为16.5个月和29.0个月;多变量分析显示,晚期及病灶>3 cm是CSS的独立危险因素。比较遗憾的是,该研究数据包含了各种分期的NSCLC,并未对不同分期肺癌进一步行亚组分析。
125I粒子植入同样在晚期肺癌中发挥重要作用[7,29,30]。有研究对比125I粒子植入与传统放疗治疗中晚期NSCLC的疗效,结果发现125I粒子植入的ORR明显高于传统放疗组(85.5%比33.0%),生存期也较传统放疗组显著延长(16个月比10个月);而且125I组放射性肺炎、骨髓抑制等不良事件的发生率明显低于放疗组[29]。一项对比125I粒子植入和化疗治疗晚期NSCLC疗效的meta分析合并结果显示,放射性粒子植入的ORR和疾病控制率均高于化疗,而且骨髓抑制不良事件的发生率低于化疗[7]。
此外,介入消融还可应用于NSCLC局部复发及寡转移的治疗。Li等[31]收集了靶向治疗局部复发后行MWA治疗的NSCLC患者15例,11例达到完全缓解,MWA后的中位PFS为9.5个月,总生存期为23个月。另有一项研究发现MWA与125I粒子植入治疗化疗后局部复发NSCLC均可获得较好的疗效,MWA和125I粒子植入的2年无病生存率分别可达76.47%和78.1%[32]。还有研究报道125I粒子植入用于治疗接受一线治疗后局部复发的6例小细胞肺癌患者,中位PFS 12个月,总生存期可达26个月[33]。此外,在NSCLC寡转移治疗中,介入消融治疗的中位PFS和总生存期也可达到14个月和47.8个月[34]。
局部介入消融常与全身抗肿瘤治疗联合应用于肺癌的治疗。它不仅可通过物理方式使局部病灶坏死,还可通过诱导免疫反应产生远隔效应[35,36]。理论上局部介入消融通过远隔效应可增强全身治疗的疗效,尤其是与免疫治疗的联合。
一些基础研究数据表明介入消融后肿瘤坏死释放肿瘤抗原促进抗原提呈,并可促使免疫细胞向肿瘤浸润,与检查点抑制剂等免疫治疗作用于免疫循环中的不同环节,协同发挥抗癌作用[37,38]。目前一些肺癌的临床研究也初步证实了这一作用。有研究报道AHC联合纳武单抗治疗晚期NSCLC的短期疗效明显优于AHC组,联合治疗组免疫细胞及免疫效应因子均明显高于AHC组[39]。也有小样本研究报道RFA、MWA可与免疫联合协同治疗NSCLC[40,41]。现有的一些研究提示冷冻消融所致的细胞死亡,胞内结构保持完整,使得冷冻消融相较于热消融可与免疫治疗发挥更强的协同作用[35],但该猜想是否成立,仍有待进一步研究。除温度消融外,125I粒子联合免疫治疗NSCLC的应用也有少量报道[42]。因介入消融与免疫治疗的联合还处于起步阶段,目前的研究多为小样本回顾性研究,但已有越来越多相关的前瞻性研究注册正在进行中,相信不久的将来会有更多的数据。
此外,经皮介入消融联合其他全身治疗在肺癌中的应用也越来越多。研究显示消融联合化疗可改善晚期肺癌患者的生存获益,联合治疗组的1年、2年总生存率及CSS均优于单纯化疗组[43]。一项关于RFA联合化疗治疗肺癌的研究显示,联合治疗的有效率优于单纯化疗,生存获益也明显优于单纯化疗组,进一步亚组分析显示NSCLC的生存获益优于小细胞肺癌,腺癌优于鳞癌[44]。MWA与化疗联合治疗肺癌也能取得更高的有效率和更长的生存时间[45]。还有研究结果提示MWA联合化疗的疾病控制率及PFS优于RFA联合化疗[46],然而,这一发现还需要进一步研究探讨。125I粒子植入联合化疗也获得了优于化疗的疗效,多项meta分析结果显示,125I粒子植入联合化疗的有效率优于单纯化疗,联合治疗的PFS较单纯化疗组明显延长[7,8,47]。Ni等[48]的研究结果显示,MWA联合表皮生长因子受体(epidermal growth factor receptor,EGFR)-酪氨酸激酶抑制剂(tyrosine kinase inhibitors,TKIs)治疗EGFR突变NSCLC的PFS和总生存期均明显优于单纯EGFR-TKIs治疗,2组均未出现严重不良反应。125I粒子植入联合EGFR-TKIs也同样获得了优于EGFR-TKIs单药的疗效,联合治疗和靶向单药的ORR分别为61.1%和51.9%,2年总生存率分别是53.7%和40.7%,中位PFS是14.5个月和9.8个月[49]。除与EGFR-TKIs联合外,介入消融与抗血管靶向药物的联合也增强了抗癌作用[50]。
综上所述,经皮介入消融是治疗周围型肺癌安全、可行的方法。对于不可进行手术的早期周围型肺癌,介入消融能获得令人满意的近期及远期疗效,一些对比研究发现,其疗效不亚于手术及立体定向放疗。随着越来越多的临床循证证据的支持,经皮介入消融在早期肺癌治疗中将占有一席之地。而对于中晚期周围型肺癌,经皮介入消融既可作为减瘤、减症的有效治疗手段,又可与多种全身治疗联合有效延长患者的生存期。但目前介入消融联合全身治疗的数据证据级别仍较低,且协同机制尚未完全阐明,未来需要更多高质量的临床及基础研究进一步探索。
所有作者声明无利益冲突





















