
版权归中华医学会所有。
未经授权,不得转载、摘编本刊文章,不得使用本刊的版式设计。
除非特别声明,本刊刊出的所有文章不代表中华医学会和本刊编委会的观点。
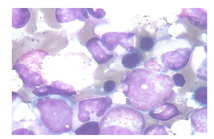
患者女,58岁。因反复多关节肿痛16年,发现外周血嗜酸性粒细胞升高3个月入院。患者多关节肿痛16年,对称性累及双肩、双腕、双肘、双踝、双侧跖趾关节,每次持续时间>6周,ESR及CRP均升高,诊断为RA。曾口服甲氨蝶呤片、雷公藤多苷片、白芍总苷胶囊治疗,关节症状可缓解。入院前长期规律口服雷公藤多苷片20 mg,每日2次,10年余。近3年监测RF波动于240~648 U/ml。入院前3个月无明显诱因出现外周血嗜酸性粒细胞升高,达2×109/L,比率25.9%。RF 2 220 U/ml,ESR 14 mm/1 h,CRP 0.92 mg/ml。患者无明显关节肿痛,但因RF明显升高,停用雷公藤多苷,改为来氟米特10 mg每日1次治疗。1个月后患者出现低热,体温最高37.5 ℃,无皮疹及关节肿痛等其他不适,复查外周血嗜酸性粒细胞达6.24 × 109/L,比率57.2%,遂停用来氟米特,入院治疗。入院查体:体温37 ℃,左颈前可触及一肿大淋巴结,直径约1 cm,质软,无压痛,活动度可,全身皮肤无紫癜和皮疹。双腕关节强直,右踝关节轻度水肿,其余关节无红肿热痛。心肺腹查体正常。实验室检查:多次复查外周血嗜酸性粒细胞进行性升高,最高达10.62×109/L,比率63.1%,血红蛋白及血小板正常。ESR 39 mm/1 h, CRP 1.91 mg/ml, IgA、IgG、IgM正常,IgE 227 U/ml。补体C3、C4正常。粪便找虫卵(-)。肝功能、肾功能及尿常规正常。RF 708~839 U/ml。ANA 1∶40阳性(颗粒型),抗dsDNA抗体、抗ENA抗体、ANCA均为阴性。FIPIL1-PDGFRA融合基因阴性。过敏原检测(-)。骨髓象:骨髓增生活跃,M∶E=3.2∶1,嗜酸性粒细胞增多占29% ,嗜酸性粒细胞各阶段均可见,其他各系未见明显异常(图1)。血涂片:嗜酸性粒细胞明显增多,占50%,余未见明显异常。骨髓活检:造血组织占40%,粒红比例大致正常,嗜酸性粒细胞增生,少量淋巴细胞浸润。肺CT:双肺下叶胸膜下少量纤维化。DAS28评分2.98分,HAQ评分0分。临床诊断:嗜酸性粒细胞增多症、RA。入院后予甲泼尼龙80 mg,每日1次,静脉滴注3 d,并规律减量,激素治疗6 d后复查外周血嗜酸性粒细胞正常。出院后共随访11个月,激素共使用8个月,激素使用4个月后加用雷公藤多苷片20 mg每日2次,患者无明显关节疼痛,外周血嗜酸性粒细胞正常,RF显著下降,末次RF 488 U/ml。


RA是一种以多关节的慢性侵蚀性滑膜炎为特征的全身性自身免疫病,本例患者符合ACR1987年RA诊断标准,RA诊断明确。根据《2012年版嗜酸性粒细胞增多症及相关综合征分类标准的共识》,本例患者2次检查(间隔≥1个月)外周血嗜酸性粒细胞>1.5×109/L,骨髓涂片中嗜酸性粒细胞占全部有核细胞超过20%,不伴纤维化、血栓栓塞、皮疹等器官损伤或功能障碍,嗜酸性粒细胞增多症(HE)诊断明确,且本例患者嗜酸性粒细胞远>5×109/L,属于重度增多[1]。HE合并RA在临床比较少见,国内外文献报道均不多,HE出现在高滴度RF的RA患者中则更为少见。本例患者在无明显RA活动的基础上出现了嗜酸性粒细胞及RF的显著升高,经过激素治疗后两者又出现同步下降。患者嗜酸性粒细胞升高期间曾更换雷公藤多苷为来氟米特,但是嗜酸性粒细胞升高发生在更换药物前,停用来氟米特后嗜酸性粒细胞仍进行性升高,且未见来氟米特引起嗜酸性粒细胞升高的报道,故药物因素可以除外。患者外周血和骨髓中未见原始细胞,FIPIL1-PDGFRA融合基因阴性,没有嗜酸性粒细胞克隆性的证据,激素治疗效果好,嗜酸性粒细胞白血病可除外。本例患者也无感染、寄生虫、肿瘤、血管炎相关证据。这些都似乎预示着嗜酸性粒细胞的升高与RA本身有着某种关联。
有学者分析嗜酸性粒细胞升高与RA的关系有2种:一种是由治疗RA的药物引起,比如金制剂、NSAIDs;另一种是由RA本身引起。更有学者认为嗜酸性粒细胞的升高预示着RA病情更加严重或处于急性活动期[2,3],但是分析本病例并不支持此类观点。Chaudhuri和Dubey[4]报道1例相似病例:患者女性,55岁,RA诊断明确,RF阳性,病程5年后,在无明显病情活动的基础上出现嗜酸性粒细胞升高及皮疹,嗜酸性粒细胞最高达20.5×109/L,RF>1 600 U/ml。再5年后,因出现多器官嗜酸性粒细胞浸润的表现而确诊嗜酸性粒细胞增多综合征(HES),经激素和环孢素治疗后嗜酸性粒细胞降至(0.5~0.9)×109/L。Kramer等[5]也报道了1例相似病例:患者女性,86岁,RA病史16年,RF阴性,影像及治疗均支持RA。在无明显病情活动基础上出现嗜酸性粒细胞升高、皮疹,嗜酸性粒细胞最高达24.1×109/L,RF转为阳性,达1 190 U/ml。经伊马替尼及激素治疗后嗜酸性粒细胞稳定在2.3×109/L以下,RF降至141 U/ml。这3例病例发现外周血嗜酸性粒细胞升高时RA均没有活动,嗜酸性粒细胞升高伴随着RF的显著升高,同时后1例患者RF与嗜酸性粒细胞同步下降,这与本例报道很相似。可惜的是Chaudhuri和Dubey[4]这例病例缺乏发病前后RF的对比。本例患者未出现嗜酸性粒细胞浸润的表现,这可能与及时治疗有关。Kramer等[5]推测嗜酸性粒细胞和RF的同步变化是由共同的免疫反应造成的,T细胞促使了嗜酸性粒细泡增多症的发生,同时又通过其产物IL-5刺激B细胞产生RF。此外,1980年Brogadir等[6]报道了第1例HES模仿RA起病的病例,患者表现为关节肿胀、皮肤结节,RF始终阴性,对RA的常规治疗反应差,最终确诊为HES。此后又有多例HES模仿RA起病的病例报道[7,8,9]。
总结本例及国内外相关报道,笔者认为,病情稳定的RA患者出现外周血嗜酸性粒细胞升高,同时伴随RF显著升高,治疗后两者又同步下降,提示这2种疾病有着某种关联,但是外周血嗜酸性粒细胞升高不一定是RA活动的证据,并有待进一步的研究证实。在临床工作中遇到RA患者伴外周血嗜酸性粒细胞升高,除要考虑药物、肿瘤、寄生虫、过敏、血管炎等常见原因外,还应再次确认患者RA的诊断,警惕RA是否合并HE或HES,并及时糖皮质激素治疗。





















