
版权归中华医学会所有。
未经授权,不得转载、摘编本刊文章,不得使用本刊的版式设计。
除非特别声明,本刊刊出的所有文章不代表中华医学会和本刊编委会的观点。
患者女,61岁,主因"口干、牙齿脱落4年,加重1个月"于2016年2月12日收入我科。患者4年前情绪波动后出现口干、进干食难以下咽,伴牙齿块状脱落,间断腰背轻度隐痛。3年前摔伤后背部疼痛加重,持续无缓解,行MRI示胸椎、腰椎T5~6、T10~L1椎体压缩骨折,胸腰骶椎及附件、双侧髂骨多发异常信号。ESR 118 mm/1 h,IgG 21.79 g/L,血M蛋白IgGκ型,β2微球蛋白2.27 mg/L。骨髓穿刺检查提示骨髓瘤细胞占17%,以幼稚细胞为主,双核型可见。诊断为"多发性骨髓瘤(MM)",予以PAD方案:硼替佐米2.4 mg(第1天),地塞米松40 mg(第1~4天),盐酸表比柔星25 mg(第1~4天)治疗,共5个周期。后予以PCD方案化疗:硼替佐米2.4 mg、环磷酰胺300 mg,地塞米松20 mg(每个周期在第1、8、15、22天分别注射),共5个周期。治疗后关节痛减轻,但诉牙齿块状脱落加重、牙龈萎缩,伴牙痛,偶有少量牙龈出血,无牙齿色泽改变,口腔科诊断为"牙周炎",未特殊处理。1个月前因口干加重及舌面皲裂于我院血液科查ANA 1∶640斑点型,抗SSA抗体、抗SSB抗体强阳性(+++),怀疑"SS",收入风湿免疫科。患者自起病以来,一般状况尚可,无激动时泪少、腮腺肿大及关节痛、紫癜、咳嗽咳痰、夜尿增多,体质量无明显减轻。既往曾诊断"高血压病",曾发现腰椎间盘突出、胆囊结石。入院体格检查:一般状况可。全口牙龈萎缩、红肿,大部分余留牙根暴露,牙石较多,14、15牙体缺失,24牙体缺损,25、26、27残根,舌面干燥、纵行皲裂,右侧颌下淋巴结肿大,约2 cm×2 cm。实验室检查:白细胞2.90×109/L,ESR 43 mm/1 h,白蛋白/球蛋白0.79;补体C4:0.125 g/L(降低),RF 611.0 U/ml。血免疫球蛋白IgG 34.8 g/L,血清IgG亚型IgG1:28 300 mg/L,IgG3:994 mg/L,均升高。κ轻链27 900 mg/L(正常),λ轻链12 100 mg/L(升高)。血清蛋白电泳示白蛋白47.9%,α2球蛋白6.8%,γ球蛋白:30.6%。辅助性T细胞亚群CD4:23.9%(降低)。尿免疫球蛋白κ轻链20.3 mg/L(升高)。肾小管3项β2微球蛋白460.00 μg/L(升高)。
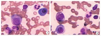
病理、影像学及特殊检查结果:骨髓穿刺检查示浆细胞占3%,为成熟型,多克隆免疫球蛋白升高。骨髓免疫分型中未见单克隆浆细胞(图1)。血清M蛋白阴性。胸腰椎正侧位X线示胸椎退行性变,多个椎体略变扁,骶椎S1腰化可能,S1椎体向前Ⅰ度滑脱,双侧多根肋骨陈旧骨折可能。全身骨显像:静脉注射锝亚甲基二膦酸盐(99Tcm-MDP)3~4 h后行全身前、后位平面显像,可见脊柱各椎体放射性分布不均匀,见多发点、片状放射性浓聚影;双侧肋骨可见多发垂直于肋骨走行的点状放射性浓聚灶。Schirmer Ⅰ试验阳性,眼科会诊考虑干眼症。彩色多普勒超声示双侧腮腺、颌下腺弥漫病变。唇腺活检病理示免疫组织化学染色结果:CD38(部分+),CD138(部分+),CD3(部分+),CD20(部分+),Ki-67(5%+),淋巴细胞计数>50个/4 mm2。胸部CT示双肺下叶间质性病变较前加重。


SS是一种发生率较高的自身免疫病,在我国发生率约0.77%,尤其以女性多发[1]。该病早期可表现为淋巴细胞(尤其是B细胞)浸润外分泌腺,也可累及骨骼、肌肉、肺部、肝脏、皮肤等多个系统[2]。该病患者发生B细胞增殖性疾病(尤其是B细胞淋巴瘤、非霍奇金淋巴瘤)的概率较一般人群显著增高[3]。MM是一种以单克隆浆细胞增多为特点的血液恶性疾病,约占血液恶性疾病的10%[4]。该病可出现骨髓克隆性浆细胞增高(≥10%)、单克隆免疫球蛋白游离轻链(κ、λ轻链)升高(≥100 mg/L)、终末器官损害(肾功能不全、高钙血症、多发性骨破坏、贫血)等表现[5]。该病一般可通过来那度胺、硼替佐米、卡非佐米联合糖皮质激素(地塞米松)、环磷酰胺等药物进行治疗,严重者需要骨髓移植治疗[6]。该患者同时具有2种疾病的特点:① MM的特点:患者3年前因"全身多发病理骨折、骨代谢异常",骨髓穿刺示骨髓瘤细胞17%,血M蛋白IgGκ阳性,诊断MM IgGκ型Dufie-Salmon Ⅲ期A亚型国际分期体系(ISS)Ⅰ期明确(因溶骨病变>3处,β2微球蛋白2.27 mg/L,无肾功能损害)[7]。② SS的特点:患者口干4年,近年来牙齿块状脱落严重,ANA 1∶640斑点型,抗SSA抗体及抗SSB抗体阳性,多克隆免疫球蛋白升高,白细胞减低,眼科检查确诊干眼症,彩色多普勒超声示双侧腮腺、颌下腺弥漫性不均质改变,考虑诊断为SS[1]。
因此患者目前诊断SS,MM(缓解期)。针对其白细胞减低,高球蛋白血症,肺间质纤维化等表现,可使用糖皮质激素及沙利度胺、环磷酰胺兼具SS、MM作用的免疫抑制剂治疗。本次选定的治疗方案为醋酸泼尼松30 mg,每日1次口服(后期可逐渐减量),羟氯喹200 mg,每天2次口服,环磷酰胺0.4 g,每2周1次静脉注射治疗,待后续评估病情后再做调整。另外,应用蛋白酶抑制剂硼替佐米治疗自身免疫病已有不少报道。硼替佐米可能通过耗竭体内浆细胞、减少体内干扰素等细胞因子的产生等机制抑制致病性自身抗体的产生,从而减轻复发性SLE等自身免疫病的病情[8]。而pSS的发病机制中,也包含浆细胞的异常增殖,本例患者的唇腺活检免疫组织化学染色结果也证实存在CD38+、CD138+的成熟浆细胞。既往已有文献报道了使用硼替佐米治疗复发性SS获得成功的案例[9]。而在本患者的整个病程中,已在3年前治疗MM时使用过硼替佐米抑制异常浆细胞的增殖,进一步可考虑使用硼替佐米同时控制MM与SS。
SS合并MM的病例,在临床实践中并不多见,但既往文献也曾有报道。这2种疾病合并出现的原因目前尚无定论。回顾这些文献,分析MM与SS合并的情况,部分患者表现为在最初发病时同时诊断了SS和MM[10];部分患者表现为诊断SS多年后出现异常浆细胞增高,甚至最终演变为MM[11],另有部分患者在诊断了MM后,因为B细胞过度增殖或浸润导致继发SS出现[12]。综合上述文献复习结果,我们认为了解MM和SS起病的先后顺序,不仅有助于解读患者发病机制,也有利于早期鉴别2种疾病合并状态,还对指导进一步的治疗有一定意义。追溯本例情况,患者口干、吞咽困难、牙齿脱落等症状出现在病理性骨折前1年,但诊断MM同时未做自身抗体检查,不能确定SS与MM先后起病状态。尚不能确定4年前口干时是否已经出现SS,继而认为SS是一种原发性疾病。而MM可能是pSS所继发的,也可能是共同存在的。
近年来关于pSS的研究表明,病情活动[C4降低、EULAR SS疾病活动指数(ESSDAI)评分高]的患者继发单克隆免疫球蛋白病的风险是未患病人群的3.4倍和9.7倍。而存在单克隆免疫球蛋白病的pSS患者日后发展为MM的概率高于发展为淋巴瘤的概率[13]。这表明pSS患者可能存在异常的体液免疫系统激活,导致B细胞过度分化为浆细胞,继而产生过多免疫球蛋白,甚至是单克隆免疫球蛋白,最终继发MM。
我们认为:① SS和MM并发可以存在,SS患者出现浆细胞增殖时应注意警惕其向MM的转变,而不是仅仅关注淋巴瘤。②对于以SS为代表的难治性自身免疫病,硼替佐米可从抑制产生自身致病性抗体的角度作为一个新的用药手段,控制疾病的进展。临床上尚需观察和应用以进一步明确。





















