
焦磷酸钙沉积病(CPPD)又称为假性痛风,属于慢性代谢性疾病,主要累及四肢关节软骨及周围滑膜、韧带等组织。齿状突加冠综合征(CDS)是由于CPPD在枢椎齿状突周围韧带组织中沉积导致的以急性颈部疼痛、颈椎活动受限及炎性指标升高等为主要表现的综合征,是老年人颈部疼痛相对罕见的原因之一。现报告1例CDS患者的临床表现、辅助检查及治疗反应,回顾性分析CDS相关文献报道,对其临床特点及诊疗思路进行简要分析,旨在提高临床医师对本病的认知,避免发生漏诊、误诊。
版权归中华医学会所有。
未经授权,不得转载、摘编本刊文章,不得使用本刊的版式设计。
除非特别声明,本刊刊出的所有文章不代表中华医学会和本刊编委会的观点。
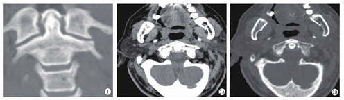
患者男,72岁,以"颈部疼痛活动受限2 d"为主诉入院。查体显示:体温37.6~38.7 ℃,颈椎活动受限,肢体感觉运动无异常,颈痛视觉疼痛模拟评分(VAS)为8分。血液学检查:CRP 12.1 mg/L(0~5 mg/L),余血常规、生化、风湿免疫检查无明显异常。颈椎CT(显示:寰椎横韧带局部钙化(见图1,图2)。依据患者病史、体征及辅助检查,诊断为齿状突加冠综合征(crowned dens syndrome,CDS),给予NSAIDs对症治疗,连续治疗1周后,患者颈部疼痛明显缓解,复查ESR、CRP均恢复正常。随访6个月,患者颈部疼痛无复发。


CDS是焦磷酸钙沉积病(calcium pyrophosphate deposition disease,CPPD)的一种罕见形式[1],由Bouvet等[2]于1985年首次报道。CDS主要是由于齿状突周围韧带组织(尤其是寰枢横韧带)内焦磷酸钙晶体沉积所致,局部释放出基质金属蛋白酶、前列腺素等炎症介质,诱发炎症反应,并出现枕颈部疼痛及活动受限[3]。典型CDS患者在冠状面CT上出现齿状突周围"晕圈样征象(Halo Sign)",因此称为齿状突加冠[3]。
过去多数学者认为CDS是老年人颈部疼痛的一种罕见病因[1,3],2007年Goto等[4]报道了40例CDS,约占急性颈痛患者的1.9%(40/2023),男女比例为0.6∶1,其中2/3(23/40)患者>70岁。2017年Takahashi等[5]报道了35例CDS,并对寰枢横韧带钙化情况进行了量化分级。与假性痛风一样,随着年龄的增长CDS的发病率逐渐增高[5,6,7],可能是老年人群颈部疼痛相对常见的原因之一[5,6]。
CDS主要表现为急性枕颈部疼痛(100%[8]),可放射至肩部,部分患者表现为头痛,98%患者出现颈部僵硬活动受限(主要是旋转功能),且多伴有发热(80.4%)及炎性指标增高(ESR、CRP)[8]。早期,由于缺乏对CDS的认识,容易误诊为感染性脑膜炎、风湿性多肌痛(CDS患者无骨盆带疼痛、僵硬,有助于二者鉴别[9])、巨细胞动脉炎等[9]。颈椎CT有助于CDS的诊断,横断面可显示横韧带、翼状韧带和黄韧带的钙化情况,而冠状面和矢状面分别能够显示尖韧带和寰椎十字韧带的钙化情况,是CDS诊断的金标准。Takahashi等[5]根据CT横断面上齿状突周围韧带的钙化位置、程度提出了"半定量标准",用于评估寰枢横韧带的钙化情况。除了枕颈区局部症状外,少数患者可能出现寰枢关节不稳、脊髓受压、四肢瘫痪等,MRI检查有助于评估脊髓压迫情况。2001年,Doita等[10]和Assaker等[11]分别报道了齿状突背侧焦磷酸钙沉积导致椎管狭窄,脊髓受压的病例。此外,Malca等[12]提出了无症状的单纯影像学表现为齿状突周围韧带钙化的齿状突加冠。之后,Viana等[13]也有类似报道,多是在体检中发现。Anno等[7]回顾性分析了1 136名无症状的健康人群,40名(3.5%)患者存在寰枢横韧带钙化,认为退变和炎症是主要的机制。
CDS表现为单纯的颈痛,给予NSAIDs、糖皮质激素即可,有神经症状者除外。传统的观点认为NSAID为CDS的一线治疗药物,而部分学者认为糖皮质激素的疗效优于NSAID。Aouba等[5]发现CDS患者应用NSAIDs或者秋水仙碱后,临床症状多在5 d内得到明显缓解,对于CDS可疑者,可行试验性治疗诊断。Takahashi等[5]发现CRP和颈部疼痛程度的改善方面,糖皮质激素的作用明显优于NSAIDs,推荐小剂量(15~30 mg)糖皮质激素作为一线治疗药物,缓慢减量(快速停药是CDS患者枕颈部疼痛复发的危险因素)至停药。CDS整体预后良好,Takahashi等[5]对20例CDS患者进行了3~6个月的(CT)随访,发现19(95%)例患者的寰枢横韧带钙化结晶依然存在,然而残存的寰枢横韧带钙化并不是CDS枕颈部疼痛复发的危险因素。在本例中,患者诊断明确,且病程较短,NSAID治疗后,颈部症状明显缓解。目前学者尚未对CDS的治疗疗程给出明确的界定,我们认为临床症状消失,炎性指标恢复正常,即可考虑停药(糖皮质激素治疗者应缓慢减量停药);延长药物治疗时间是否能够降低CDS的复发,目前尚无相关研究报道,然而需要警惕的是长期应用NSAIDS类药物可能带来的不良反应,尤其是合并心血管、消化系统疾病的高龄患者。
CDS的诊断主要基于临床症状、生物/影像学表现及治疗反应,三者缺一不可[14,15]。CDS因颈部僵硬疑似脑膜炎,行腰椎穿刺者报道较多[14]。临床中,CDS并不罕见,而国内报道甚少,我们认为增加对CDS的认知是早期诊断的关键环节,同时可能避免不必要的有创性操作检查。对于伴有发热的急性颈部疼痛病例,尤其是老年患者,颈椎CT检查(包含寰枢关节二维重建),有助于CDS的诊断,同时能够排除齿状突骨折(齿状突骨折是高龄人群颈椎骨折最常见的部位[16],CDS合并齿状突骨折的病例亦有报道[17]),CDS诊断明确者可给予NSAID抗炎对症治疗。
所有作者均声明不存在利益冲突





















