
版权归中华医学会所有。
未经授权,不得转载、摘编本刊文章,不得使用本刊的版式设计。
除非特别声明,本刊刊出的所有文章不代表中华医学会和本刊编委会的观点。
诺卡菌最早由Edmond Nocard于1888年在牛鼻疽中发现,它是一组需氧的革兰染色阳性细菌,广泛存在于灰尘、土壤、污染的水源和腐烂的植物中[1]。人诺卡菌感染主要累及皮肤、肺和脑组织,常发生于HIV感染、器官移植受体、长期使用激素、恶性肿瘤、糖尿病及酗酒等免疫抑制的患者[2]。肺部是诺卡菌感染的最常见部位。本研究对2015年6月至2016年5月我院收治的6例肺诺卡菌病患者的临床资料进行分析总结。
收集中日友好医院2015年6月至2016年5月确诊为肺诺卡菌病患者6例,其中男性4例,女性2例,年龄46~77岁,平均年龄57岁。
回顾性分析患者的病历资料,包括人口学、临床表现、影像学、病原学、治疗方法及预后。所有病例均通过临床标本(痰、肺泡灌洗液及肺组织)培养出诺卡菌而确诊。
6例患者均存在基础疾病(表1),其中4例为自身免疫性疾病,口服糖皮质激素治疗;1例为支气管哮喘,口服联合吸入糖皮质激素治疗,1例为2型糖尿病,无糖皮质激素用药史。

6例肺诺卡菌病患者的一般资料和临床表现
6例肺诺卡菌病患者的一般资料和临床表现
| 病例编号 | 性别 | 年龄(岁) | 基础疾病 | 激素用史 | 临床表现 | 起病时间 |
|---|---|---|---|---|---|---|
| 1 | 男 | 77 | ITP、COPD | 口服激素半个月+吸入激素10余年 | 咳嗽、咳痰、呼吸困难、高热 | 1个月 |
| 2 | 男 | 48 | 成人still病 | 口服激素1个月 | 咳嗽、咳大量痰、高热 | 3个月 |
| 3 | 女 | 62 | 2型糖尿病 | - | 咳嗽、咳大量痰、低热、咯血 | 1个月 |
| 4 | 女 | 58 | 支气管哮喘 | 口服+吸入激素10余年 | 咳嗽、咳痰、呼吸困难、高热 | 19 d |
| 5 | 男 | 51 | RA、类固醇糖尿病 | 口服激素13年 | 咳嗽、咳大量痰、呼吸困难、咯血 | 15 d |
| 6 | 男 | 46 | 韦格纳肉芽肿、鼻咽癌 | 口服激素2.5月 | 咳嗽、咳大量痰、高热 | 1 d |
注:"-" .无相关数据;ITP. 特发性血小板减少性紫癜;COPD. 慢性阻塞性肺疾病;RA. 类风湿性关节炎;成人still病. 变应性亚败血症
6例患者中1例为急性起病,4例为亚急性起病,1例为慢性起病(表1)。所有患者均表现出咳嗽、咳痰症状,4例为大量痰,2例为中等量痰,均为黄色脓痰,较易咳出。2例出现咯血,均为痰中带血丝,出血量不大。5例出现发热,其中4例为高热,最高体温均超过39℃,1例患者为低热,体温最高不超过38℃;5例发热患者中3例为起病初期即发热,2例分别于发病20 d和1个月后才出现。3例出现呼吸困难。
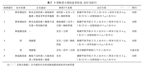
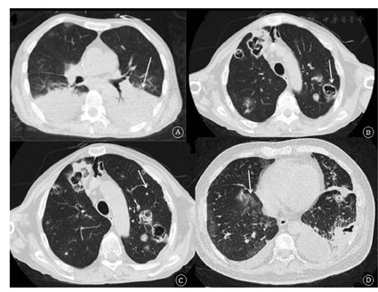
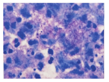
6例患者均行胸部CT检查,5例表现出双肺斑片实变影,5例呈现空洞,3例表现出团块/结节影,3例出现双侧胸腔积液,1例表现出磨玻璃影(图1,表2)。6例患者中2例进行肺穿刺活检,组织标本培养出诺卡菌(图2);2例为肺泡灌洗液培养出诺卡菌;另外2例痰标本培养出诺卡菌(表2)。

6例肺诺卡菌病患者检查、治疗及转归
6例肺诺卡菌病患者检查、治疗及转归
| 病例编号 | 标本来源 | 合并感染a | 肺部CT表现 | 治疗方案 | 转归 |
|---|---|---|---|---|---|
| 1 | 肺穿刺组织 | 肺炎克雷伯菌+铜绿假单胞菌+嗜麦芽窄食单胞菌 | 团块影+实变+空洞+胸腔积液 | 联磺甲氧苄啶(3片,1次/ 6 h)+阿米卡星(0.4 g,1次/12 h)+亚胺培南(0.5 g,1次/6 h) | 好转 |
| 2 | 肺穿刺组织 | 肺炎克雷伯菌+鲍曼不动杆菌+阴沟肠杆菌 | 磨玻璃影+结节+空洞+胸腔积液 | 联磺甲氧苄啶(2片,1次/8 h)+阿米卡星(0.2 g,1次/12 h)+亚胺培南(0.5 g,1次/8 h) | 好转 |
| 3 | 肺泡灌洗液 | - | 实变+空洞 | 联磺甲氧苄啶(4片,1次/8 h)+阿米卡星(0.6 g,1次/d)+亚胺培南(0.5 g,1次/8 h) | 好转 |
| 4 | 痰 | 烟曲霉 | 实变+空洞+胸腔积液 | 联磺甲氧苄啶(2片,1次/8 h)+阿米卡星(0.4 g,1次/d)+美罗培南(1.0 g,1次/8 h) | 好转 |
| 5 | 痰 | 烟曲霉 | 实变+结节+空洞 | 复方磺胺甲噁唑(2.5片,1次/8 h) | 未愈出院 |
| 6 | 肺泡灌洗液 | 鲍曼不动杆菌+大肠埃希菌+屎肠球菌+曲霉 | 实变 | 磺胺甲氧苄啶(3片,1次/6 h)+阿米卡星(0.2 g,1次/12 h)+亚胺培南(1.0 g,1次/8 h) | 好转 |
注:"-" .无相关数据;a合并感染均为痰或肺泡灌洗液培养出病原菌


注:A. 例6患者胸部CT表现为双肺实变影(箭头所示);B. 例5患者胸部CT表现为多发空洞影(箭头所示);C. 例5患者胸部CT表现为多发结节影(箭头所示);D. 例2患者胸部CT表现出磨玻璃影(箭头所示)和实变影。


5例患者采用联磺甲氧苄啶+阿米卡星+碳青霉烯的三联联合治疗,1例采用复方磺胺甲噁唑单药治疗。联合治疗的5例患者均预后良好,临床症状及影响学得到明显改善。单药治疗的1例患者自动出院,最终死亡(表2)。
肺诺卡菌病是一种较少见的肺部感染性疾病,多发生于免疫功能受损,尤其是长期接受糖皮质激素治疗的患者。研究显示,肺诺卡菌病患者中长期接受激素治疗的比例分别为36%、62.2%和64%[3,4,5]。6例肺诺卡菌病患者中,只有1例无糖皮质激素用药史。近几年,诺卡菌感染在免疫功能正常患者中发生的情况也时有报道,尤其是存在慢性呼吸道疾病,如COPD、支气管扩张等[6,7,8]。通常情况下,肺诺卡菌病表现为亚急性或慢性病程,临床症状不典型,主要表现为发热、咳嗽、咳痰、呼吸困难、胸痛、盗汗及体重下降等[9]。从本文的6例患者中可以发现,此类患者往往咳脓痰,痰量偏多,若出现发热,多以高热为主。
肺诺卡菌病患者的影像学表现大多为双侧受累,无明显区域优势[10],可出现实变、多发结节/肿块、空洞、磨玻璃影、胸腔积液、小叶间隔增厚及中央型铺路石征等[11]。Sato等[12]总结的18例肺诺卡菌病患者HRCT表现提示:结节或肿块影占94.4%,磨玻璃影占77.8%,小叶间隔增厚占77.8%,空洞占66.7%。Blackmon等[13]总结的53例肺诺卡菌病患者的CT表现中,实变占64.2%,结节占56.6%,空洞占39.6%,肿块占20.8%。本研究6例患者以实变、空洞、结节/团块影为主要表现,胸腔积液发生率较文献报道稍高。虽然大多数文献中均提示肺诺卡菌病的影像学表现无明显特异性,但与其他常见的机会感染性肺部疾病(病毒、假丝酵母菌、霉菌、结核及耶氏肺孢子菌等)相比,肺诺卡菌病表现出实变范围较大、空洞出现时间较早、磨玻璃影多为小片散在分布等特点,同时,它的空洞常常为多发,非偏心空洞为主,多靠近胸膜处。
肺诺卡菌病的诊断需要从临床标本(痰、肺泡灌洗液及组织)中分离鉴定出微生物。77%~90%的病例可通过痰标本诊断[7]。诺卡菌为细丝状革兰染色阳性菌,弱抗酸染色阳性[14,15]。当临床怀疑诺卡菌感染时,实验室需要准备特殊染色及特殊培养基介质。一些痰去污液对诺卡菌是有毒性的,尤其是氢氧化钠、N-乙酰半胱胺酸和苯扎氯胺[16]。因此,临床医师需要对微生物实验室提供怀疑方向,以便进行更加精确的检验,提高检出率。
肺诺卡菌病的病死率约为18%~33%,若扩散至中枢神经系统,则会显著提高病死率[17]。磺胺嘧啶(TMP-SMX) 是诺卡病的一线治疗药物,该药在大多数组织间隙中穿透能力强(包括中枢神经系统),口服用药后血药浓度较高。TMP-SMX可单独使用,但推荐联合用药至患者临床症状改善后继续单药治疗[18]。6例患者中5例采用磺胺+碳青霉烯+阿米卡星联合治疗,疗效较好,临床症状和肺部影像学都有改善。由于诺卡菌感染存在复燃风险,因此建议进行长期抗感染治疗,尤其是免疫抑制患者,抗感染时限可延长至6个月到1年[16]。
肺诺卡菌病患者的临床症状、实验室检查和影像学表现均无特异性,这是导致该疾病常常被误诊和漏诊的主要原因。当免疫功能受损患者出现不明原因的咳嗽、咳脓痰及高热等表现,胸部CT提示为双侧实变、多发结节影或有空洞形成时,临床医师需要考虑到肺诺卡菌病的可能,并向微生物实验室提出怀疑方向,以便提高该疾病的诊断率,及时进行相关治疗。
利益冲突 无





















