
探讨IgE型多发性骨髓瘤(MM)的临床特征及治疗效果。
收集蚌埠医学院附属连云港医院收治的1例以及文献报道的6例IgE型MM患者的临床资料,分析其临床表现、实验室特点及治疗效果。
7例MM患者中,男性5例,女性2例,年龄40~59岁,平均年龄(52.4±6.0)岁;临床表现:贫血5例,肾损害3例,感染2例,高钙血症2例,骨骼疼痛5例,均呈溶骨性破坏,4例伴有病理性骨折;Durie-Salmon分期:ⅡA期4例,ⅢB期3例;血清免疫固定电泳分型:IgE-κ型3例,IgE-λ型4例;治疗效果:6例接受联合化疗和(或)自体外周血造血干细胞移植,完全缓解3例,部分缓解2例,疾病稳定1例,其中3例接受硼替佐米或造血干细胞移植治疗均获完全缓解。
IgE型MM非常罕见,准确分型依赖血清免疫固定电泳,基于硼替佐米以及造血干细胞移植的治疗效果良好。
版权归中华医学会所有。
未经授权,不得转载、摘编本刊文章,不得使用本刊的版式设计。
除非特别声明,本刊刊出的所有文章不代表中华医学会和本刊编委会的观点。
多发性骨髓瘤(multiple myeloma,MM)是一种骨髓浆细胞恶性增殖性疾病,其M蛋白类型以IgG、IgA型多见,IgE型罕见。2013年我科诊治1例IgE型MM,结合国内相关文献报道的6例,探讨其临床特征和治疗效果。
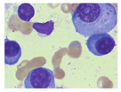
患者,男性,55岁,因右上腹痛2 d于2013年8月15日入院。查体:轻度贫血貌,全身浅表淋巴结未触及,Murphy征阳性,肝脾肋缘下未触及,双下肢无水肿。血常规示白细胞计数(WBC)3.8×109/L(参考值范围4×109/L~10×109/L),血红蛋白(Hb)94 g/L(参考值范围120~160 g/L),血小板计数(Plt)正常。红细胞沉降率>140 mm/1 h(参考值范围0~15 mm/1 h)。肝肾功能、电解质示清蛋白、尿素氮、肌酐、血钙正常,球蛋白68.3 g/L(参考值范围18~36 g/L),β2-微球蛋白6.6 mg/L(参考值范围1.0~3.0 mg/L)。血清免疫球蛋白定量示IgG 4.24 g/L(参考值范围7.0~16.0 g/L),IgA 0.57 g/L(参考值范围0.7~4.0 g/L),IgM 0.35 g/L(参考值范围0.4~2.3 g/L)。血清κ轻链1.16 g/L(参考值范围1.70~3.70 g/L),λ轻链7.50 g/L(参考值范围0.90~2.10 g/L)。尿κ轻链96.9 mg/L(参考值范围0~8.8 mg/L),λ轻链1 020.0 mg/L(参考值范围0~8.0 mg/L)。尿本周蛋白测定呈阴性。血清蛋白电泳提示M蛋白条带。血清免疫固定电泳示抗IgE和抗λ轻链单克隆条带。骨髓穿刺示全片浆细胞占0.31,其中原始和幼稚浆细胞占0.21(图1)。染色体示46,XY[20]。胸部、骨盆、头颅X线以及胸椎、腰椎磁共振成像(MRI)未见明显骨质异常。上腹部CT示胆囊结石。给予VAD方案(长春新碱+多柔比星+地塞米松)化疗6个周期达部分缓解,给予PCD方案(硼替佐米+环磷酰胺+地塞米松)化疗2个周期达完全缓解,免疫固定电泳阴性,截至2016年3月无病生存达19个月。


骨髓原始幼稚浆细胞增多
疗效判断参照欧洲骨髓移植协作组标准[1]。以"多发性骨髓瘤"、"IgE"为检索词检索万方数据库、CNKI数据库,截至2016年2月9日,检索到6例IgE型MM[2,3,4,5,6],对其血常规、肝肾功能、血清免疫球蛋白、血轻链、尿轻链、血清免疫固定电泳、骨髓形态学、细胞遗传学、Durie-Salmon分期等进行分析。
7例IgE型MM中男性5例,女性2例,年龄40~59岁,平均年龄(52.4±6.0)岁,贫血5例,感染2例,肾损害3例,高钙血症2例,骨骼疼痛5例,均呈溶骨性破坏,4例伴有病理性骨折;ⅡA期4例,ⅢB期3例。IgE-κ型3例,IgE-λ型4例。2例进行染色体分析,核型均正常(表1)。

7例IgE型多发性骨髓瘤患者的临床和实验室资料
7例IgE型多发性骨髓瘤患者的临床和实验室资料
| 病例 | 性别 | 年龄(岁) | 临床表现 | 骨质损害形式 | Durie⁃Salmon分期 | 免疫固定电泳分型 | 骨髓瘤细胞比例(%) | 细胞遗传学 | 治疗方法 | 疗效 |
|---|---|---|---|---|---|---|---|---|---|---|
| 1[2] | 男 | 40 | 骨痛 | 溶骨性破坏病理性骨折 | ⅡA | IgE⁃λ | - | - | VAD、auto⁃PBSCT | CR |
| 2[3] | 男 | 59 | 贫血、肾损害 | - | ⅢB | IgE⁃κ | 43.0 | - | - | - |
| 3[4] | 女 | 52 | 骨痛、贫血、高钙血症 | 溶骨性破坏病理性骨折 | ⅡA | IgE⁃κ | 72.8 | - | MP、VAD | PR |
| 4[5] | 男 | 55 | 骨痛 、贫血 、溶骨性破坏 | 病理性骨折 | ⅡA | IgE⁃κ | 22.0 | 46,XY | VAD、DVD、auto⁃PBSCT | CR |
| 5[6] | 女 | 54 | 骨痛 、贫血 、肾损害、高钙血症、呼吸道感染 | 溶骨性破坏 | ⅢB | IgE⁃λ | 26.0 | - | IP | PR |
| 6[6] | 男 | 52 | 骨痛、肾损害 | 溶骨性破坏病理性骨折 | ⅢB | IgE⁃λ | 27.0 | - | IP | SD |
| 7 | 男 | 55 | 贫血、胆道感染 | - | ⅡA | IgE⁃λ | 21.0 | 46,XY | VAD、PCD | CR |
注:VAD为长春新碱+多柔比星+地塞米松;DVD为脂质体多柔比星+长春新碱+地塞米松;MP为美法仑+泼尼松;IP为去甲氧柔红霉素+泼尼松;ECD为依托泊苷+环磷酰胺+地塞米松;PCD为硼替佐米+环磷酰胺+地塞米松;auto-PBSCT为自体外周血造血干细胞移植;CR为完全缓解;PR为部分缓解;SD为疾病稳定;-表示无相关资料
除例2缺乏治疗资料外,6例接受联合化疗和(或)自体外周血造血干细胞移植,完全缓解3例,部分缓解2例,疾病稳定1例。3例接受硼替佐米或造血干细胞移植治疗均达完全缓解(表1)。
Johansson在1967年首次报道IgE型MM,迄今国外报道约50例,比例不足所有浆细胞瘤的0.01%。国内IgE型MM由侯健等[2]在2003年首次报道,迄今仅报道6例。颜绵生等[3]采用免疫固定电泳法检测148例MM患者单克隆免疫球蛋白,仅检测到1例IgE型MM,发生率为0.7%。陈世伦等[7]和汪薇等[8]应用免疫固定电泳法分别检测648例和1 215例MM患者单克隆免疫球蛋白,均没有检测到IgE型MM。
IgE型MM患者发病年龄为28~80岁,诊断时多数年龄在60岁以上,性别比例、发病年龄和其他类型MM相比无明显差异[9,10]。临床表现和其他类型MM相似,常见骨痛、消瘦、贫血症状、肝脾大、肾损害、呼吸道感染,系统性淀粉样变以及淋巴结肿大少见[10,11]。IgE型MM患者骨质损害可表现为骨质疏松、溶骨性破坏、骨质硬化、病理性骨折等几种形式,而其他类型患者以溶骨性破坏最常见。本组报道7例IgE型MM患者,其中男性5例,女性2例,年龄40~59岁,平均年龄(52.4±6.0)岁,临床表现以骨痛、贫血、肾损害为主,骨质损害以溶骨性破坏、病理性骨折常见,性别比例、发病年龄、骨质损害形式和上述国外报道不同,需要积累更多的病例资料证实。
多数IgE型MM患者红细胞沉降率增快,血红蛋白降低,白细胞和血小板增高、降低或正常。多数患者总蛋白正常或降低,球蛋白正常或轻度增高,多数患者免疫球蛋白检测提示IgG、IgA和IgM降低[5,12],与IgG、IgA、IgM型MM不同。Alexander等[13]报道29例IgE型MM中有5例发生高钙血症。本组7例IgE型MM有2例出现高钙血症,提示IgE型MM患者高钙血症不少见。IgE型MM患者血清IgE浓度增高[14,15,16],但一般不引起Ⅰ型速发型变态反应。Zavázal等[14]报道1例IgE型MM患者出现皮肤、呼吸道变态反应症状,证实与IgE糖基化改变有关。少数IgE型MM患者出现肿瘤标志物糖类抗原125(CA125)和Ⅱ型肺泡细胞表面抗原(KL-6)增高[17,18],但其临床意义尚不清楚。Avet-Loiseau等[19]报道2例IgE型MM患者检测到t(11;14)(q13;q32)核型,而本组2例患者染色体核型正常。
多数IgE型MM患者对常规化疗反应不佳,平均生存时间约12个月,约15.8%的患者生存超过24个月[10],提示预后不良。由于IgE型MM发病率低,发病年龄较大,含硼替佐米的方案、造血干细胞移植治疗IgE型MM的临床研究甚少。Morris等[20]报道13例IgE型MM患者接受自体造血干细胞移植,生存情况要优于非移植患者[20]。侯健等[2]报道1例IgE型MM患者经VAD联合沙利度胺化疗缓解后行自体外周血造血干细胞移植,生存状况良好。黄强等[5]对1例经VAD、DVD方案缓解的IgE型MM患者进行自体造血干细胞移植,骨髓持续缓解,移植后生存达24个月。Sato等[21]报道1例IgE型MM患者接受VMP方案(硼替佐米+美法仑+泼尼松)治疗,反应良好。本例IgE型MM患者经VAD方案部分缓解后采用PCD方案化疗,骨髓持续缓解,疗效良好。
无





















