
版权归中华医学会所有。
未经授权,不得转载、摘编本刊文章,不得使用本刊的版式设计。
除非特别声明,本刊刊出的所有文章不代表中华医学会和本刊编委会的观点。
常染色体显性遗传合并皮质下梗死和白质脑病(cerebral autosomal-dominant arteriopathy with subcortical infarcts and leukoencephalopathy,CADASIL)是一种进展性的脑小血管疾病,主要表现为偏头痛,脑卒中和脑白质病变,一些患者还有认知障碍[1]。NOTCH3基因被认为是导致CADASIL的根本病因[2]。现有确诊的CADASIL病例,通常只是在特定的临床表现和影像学基础上行NOTCH3基因的特异性检测。然而,脑小血管疾病在症状及影像学表现上基本类似,且遗传上候选基因多,行全外显子组测序可有效避免漏诊。西京医院神经内科2016年3月1日收治一例疑似CADASIL患者并对其进行了全外显子组测序,现将相关结果报道如下。
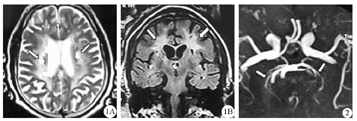
患者(先证者)男,54岁,因"左侧肢体无力、反应迟钝2年余,加重1年"来我院神经内科门诊。患者2年前无明显诱因出现左侧肢体无力,反应迟钝,言语含糊,走路向左侧偏斜。曾就诊当地医院,按"腔隙性脑梗死"给予对症处理,效果不佳。1年前,上述症状逐渐加重,且认知障碍加重。否认偏头痛、高血压、糖尿病、血管淀粉样变等病史,否认吸烟、饮酒史。体检:神志清,精神可,言语含糊,记忆力、计算力下降,颅神经检查无异常。左侧肌力3级、肌张力下降。四肢腱反射无异常,浅深感觉无异常,病理征(-),脑膜刺激征(-)。实验室检查结果:甘油三酯:2.41 mmol/L,同型半胱氨酸:16.11 μmol/L。双侧颈动脉超声未见明显异常。简易智能精神状态检查(MMSE)量表评分15分(<24分),提示认知功能受损。头颅MRI示:双侧额顶叶皮层下及桥脑多发缺血变性灶和软化灶,脑白质脱髓鞘改变(图1);SWI未见明确出血病灶;磁共振血管成像(MRA)示:动脉硬化(图2)。采用全外显子组测序发现NOTCH3基因第19号外显子存在一杂合错义突变(c.3043T>A),引起了第1015位的氨基酸由半胱氨酸变成了丝氨酸(图3)。诊断为CADASIL。

MRI images of the patient
MRA images of the patient

1A:矢状位T2WI,双侧侧脑室旁见对称晕状高信号(箭头所示);1B:冠状位T1 FLAIR,双侧额顶叶皮层下可见多个高信号(箭头所示);2:提示颅内动脉僵直,双侧大脑后动脉分支稀少(箭头所示)
MRI images of the patient
MRA images of the patient

Sequencing of NOTCH3 gene in the proband revealing a T-to-A transition at nucleotide 3043 in exon 19

箭头处提示19号外显子杂合错义突变(c.3043T>A)
Sequencing of NOTCH3 gene in the proband revealing a T-to-A transition at nucleotide 3043 in exon 19
先证者及其父亲、堂兄以及伯父均存在不同程度偏瘫及认知障碍。根据对先证者及其家属的问询,建立了其家系图谱(图4)。先证者父亲(Ⅱ2)及伯父(Ⅱ3)均因"脑血管病"去逝,具体情况不详。先证者堂兄(Ⅲ2),57岁,以"脑梗死"起病,遗留左侧肢体轻偏瘫,轻度认知障碍,其临床特点与先证者相似,无高血压、糖尿病、高血脂等病史。在签署知情同意书后,我们采集了先证者堂兄、儿子以及母亲的血液行NOTCH3基因特征位点的验证,其堂兄的基因检测结果发现NOTCH3基因同一个位点的突变,即第19号外显子第3043位碱基由T突变为A(c.3043 T>A)(图5A);而家族中其他无症状者,即先证者的儿子与母亲,其基因检测结果为阴性(图5B)。

Pedigree of the family

Pedigree of the family

Sequencing of NOTCH3 gene in family members

A:先证者堂兄基因检测结果(c.3043 T>A);B:先证者母亲NOTCH3基因检测结果(野生型)
Sequencing of NOTCH3 gene in family members
CADASIL是一种脑小血管病,缺血性发作是它最常见的表现形式,大约有85%发展为短暂性脑缺血发作或脑卒中症状。而出现缺血性发作的平均年龄约为46(30~70)岁。值得注意的是,这种缺血性脑卒中通常发生在缺乏传统心血管危险因素的背景下,且常常导致认知能力下降和明显的皮质下痴呆。近期,还有CADASIL患者表现出精神分裂症样症状的病例被报道[3]。
脑小血管病是脑卒中、认知障碍和躯体残障的重要危险因素,且具有明显的遗传易感性[4]。近年来对其候选基因的研究也越发深入,包括NOTCH3、Ⅳ型胶原蛋白α1(COL4A1)基因、载脂蛋白E(APOE)基因、胆固醇酯转运蛋白(CETP)基因、亚甲基四氢叶酸还原酶(MTHFR)基因、钙蛋白酶10(CAPN10)基因等等[5]。脑小血管疾病在神经影像学上有类似表现,即:新发皮质下小梗死、血管源性腔隙、血管源性脑白质高信号、血管周围间隙、脑微出血和脑萎缩[6]。而CADASIL仅仅属于脑小血管病中的一种,NOTCH3也只是其中的一个候选基因,故只是在特定的临床表现和影像学基础上行NOTCH3基因的特异性检测并不能很好的诊断疾病,可能会漏掉一些非NOTCH3基因突变的脑小血管病。
本例患者因影像学上有脑小血管病特征表现,无心血管危险因素且具有家族史而受到重视,对其行全外显子组测序,发现了NOTCH3基因19号外显子的一杂合错义突变(c.3043T>A),最终明确诊断了CADASIL。目前国内尚少见该位点(c.3043T>A)突变致病的报道。但此家系探讨仍存有不足,由于缺乏先证者父亲及伯父的血样(均已去世),所以只能根据孟德尔遗传规律推断其突变基因的家系分布情况,没有DNA结果的有力佐证。临床工作中如果面对缺血性脑卒中伴发认知障碍,但缺乏传统心血管危险因素的患者,要考虑到此类疾病的可能,对其行全外显子组测序,以便得到更加全面的基因变异信息,这对临床有效确诊及随之而来的遗传咨询都具有重要意义。





















