
探讨CT在甲状腺良性结节(BN)和恶性结节(MN)风险评估中的价值。
回顾分析经组织学证实的447例461枚MN和484例548枚BN的CT征象,包括结节形态、咬饼征、微钙化、增强后范围缩小/模糊、囊变为主和高强化,通过单因素和多因素对各种CT征象进行统计,计算阳性CT征象在BN、MN结节诊断中的敏感度和特异度。
单因素和多因素分析显示,结节形态不规则、咬饼征、微钙化、增强后范围缩小/模糊均更常见于MN中[χ2、P和OR值分别为(509.263、0.000和5.297)、(504.619、0.000和3.467)、(97.793、0.000和1.730)、(361.967、0.000和5.729)],而囊变为主和高强化则更常见于BN中[χ2、P和OR值分别为(223.208、0.000和7.537)、(65.983、0.000和10.782)]。结节形态不规则、咬饼征、微钙化、增强后范围缩小/模糊诊断MN的敏感度和特异度分别为80.5%和90.0%、74.2%和94.3%、35.6%和90.1%、80.7%和79.4%;囊变为主和高强化对BN诊断的敏感度和特异度分别为42.2%和98.1%、19.0%和97.4%。
形态不规则、咬饼征、微钙化及增强后范围缩小/模糊是CT评估MN的重要征象,囊变为主和高强化是CT评估BN的重要征象,各种CT征象的诊断效能存在较大差异,多征象联合可提高诊断效能。
版权归中华医学会所有。
未经授权,不得转载、摘编本刊文章,不得使用本刊的版式设计。
除非特别声明,本刊刊出的所有文章不代表中华医学会和本刊编委会的观点。
甲状腺结节临床多见,4%的体检人群可触及结节,50%的人群行超声检查可发现结节,50%的尸检可发现结节,其中5%的甲状腺结节为恶性[1,2]。CT在甲状腺结节评估中具有独特的优势,如对胸骨后甲状腺病变、中央组淋巴结、粗钙化性质的判断等[2,3,4,5],且无操作者依赖性;另外,由于其他原因行颈或胸部CT检查偶然发现甲状腺结节的病例也非少见[6],故对甲状腺良性结节(benign nodules,BN)和恶性结节(malignant nodules,MN)CT征象的充分认识非常重要。目前关于甲状腺癌CT诊断价值方面的文献报道多为样本量较少的单因素分析[4,5,6],尚无大样本多因素分析。本研究旨在探讨各种CT征象对BN和MN的诊断效能。
收集杭州市第一人民医院2009年1月至2016年12月经组织学证实的直径>1.0 cm的甲状腺结节,包括447例MN患者,男109例,女338例,年龄(50±11)岁(14~78岁);484例BN患者,男97例,女387例,年龄(47±14)岁(8~83岁)。447例MN中,乳头状癌401例,滤泡细胞癌25例,髓样癌16例,未分化癌5例;484例BN中,结节性甲状腺肿427例,腺瘤样病变47例,亚急性甲状腺炎10例。
结节直径≤1.0 cm;弥漫性甲状腺病变或锁骨伪影掩盖而显示不清的结节;无法判断强化程度的粗钙化为主或孤立性粗钙化结节。
扫描采用美国GE公司的lightspeed 16,扫描参数:电压120 kV,电流250 mA,准直0.625 mm×8,螺距0.938 mm,机架旋转时间0.5 s。扫描范围从颅底至主动脉弓上缘,层厚3.75 mm,层距3.75 mm。对比剂为德国Bayer公司的碘普罗胺注射液80 ml,碘浓度300 mg/ml,高压注射器经肘静脉团注,速率2~3 ml/s,注射后50 s扫描。
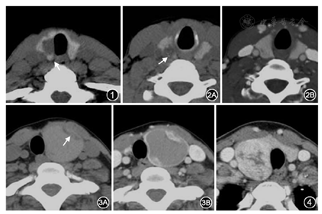
由工作11年和15年的两位放射科医生在不知组织学结果的前提下,在影像归档和通信系统(PACS)终端共同阅片,判断结节形态(规则或不规则)、咬饼征(有或无)、微钙化(有或无)、囊变为主(有或无)、增强后范围缩小/模糊(有或无)和高强化(有或无)等6种CT征象。咬饼征:CT平扫时不规则瘤体的最大径位于瘤-甲交界区或甲状腺外,正常高密度的甲状腺轮廓局部缺损,状如"咬饼"[7];微钙化:横断位钙化最小径≤2 mm[4,7,8];囊性为主:囊性成分/整个瘤体≥1/2;增强后模糊:测量平扫及增强后结节边缘和其对应甲状腺的CT值,增强后差值<平扫差值;增强后缩小:增强后瘤体直径较平扫≤2 mm[2,7]。
采用SPSS 19软件进行数据分析,通过单因素和多因素分析上述6种CT征象在BN和MN中的分布,P<0.05为差异有统计学意义。计算各种阳性CT征象对BN和MN诊断的敏感度和特异度,对多种征象联合的预测概率进行受试者操作特征曲线(ROC)分析。
447例461枚MN中,左侧209枚,右侧252枚,平均直径(1.9±1.1) cm(1.1~8.2 cm),单发435例435枚,多发12例26枚。484例548枚BN中,左侧279枚,右侧269枚,平均直径(2.0±0.9) cm(1.1~6.4 cm),单发427例427枚,多发57例121枚。
统计显示,结节形态不规则、咬饼征、微钙化、增强后缩小/模糊更常见于MN中(图1,图2),而囊变为主和高强化征象更常见于BN中(图3,图4)(表1,表2)。结节形态不规则、咬饼征、微钙化、增强后缩小/模糊诊断MN的敏感度和特异度分别为80.5%和90.0%、74.2%和94.3%、35.6%和90.1%、80.7%和79.4%;囊变为主和高强化对BN诊断的敏感度和特异度分别为42.2%和98.1%、19.0%和97.4%。

各种CT征象在甲状腺良恶性结节(BN、MN)中的分布(枚)
各种CT征象在甲状腺良恶性结节(BN、MN)中的分布(枚)
| 项目 | 结果 | BN | MN | χ2值 | P值 |
|---|---|---|---|---|---|
| 形态 | 不规则 | 55 | 371 | 509.263 | 0.000 |
| 规则 | 493 | 90 | |||
| 咬饼 | 有 | 31 | 342 | 504.619 | 0.000 |
| 无 | 517 | 119 | |||
| 微钙化 | 有 | 54 | 164 | 97.793 | 0.000 |
| 无 | 494 | 297 | |||
| 增强后模糊/缩小 | 有 | 113 | 372 | 361.967 | 0.000 |
| 无 | 435 | 89 | |||
| 囊性为主 | 有 | 231 | 9 | 223.208 | 0.000 |
| 无 | 317 | 452 | |||
| 高强化 | 有 | 104 | 12 | 65.983 | 0.000 |
| 无 | 444 | 449 |

各种征象对甲状腺良恶性结节诊断的Logistic回归分析
各种征象对甲状腺良恶性结节诊断的Logistic回归分析
| 项目 | β | 标准误 | Wald χ2 | P值 | OR | 95%CI |
|---|---|---|---|---|---|---|
| 形态不规则 | 1.667 | 0.363 | 21.035 | 0.000 | 5.297 | 2.598~10.799 |
| 咬饼征 | 1.243 | 0.395 | 9.908 | 0.002 | 3.467 | 1.599~7.517 |
| 微钙化 | 0.548 | 0.266 | 4.261 | 0.039 | 1.730 | 1.028~2.913 |
| 囊变为主 | 2.020 | 0.397 | 25.880 | 0.000 | 7.537 | 3.461~16.413 |
| 增强后模糊或缩小 | 1.746 | 0.224 | 60.938 | 0.000 | 5.729 | 3.696~8.880 |
| 高强化 | 2.378 | 0.385 | 38.193 | 0.000 | 10.782 | 5.072~22.921 |
注:β:回归系数;OR:比值比;CI:可信区间


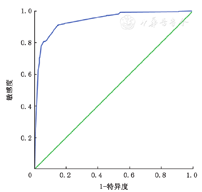
对多种征象联合的预测概率进行ROC曲线分析发现,曲线下面积为0.940[95%可信区间(CI):0.925~0.955](图5),当预测概率为0.475时,约登指数最大为0.763,此时诊断MN的敏感度和特异度分别为90.9%和85.4%。


甲状腺BN多呈膨胀性生长,其边界多为规则的圆形、椭圆形或甲状腺塑形,而MN多呈浸润性生长,其边界多不规则,本组单因素和多因素分析均显示形态不规则更常见于MN中,比值比(OR)值为5.297,接近超声形态不规则OR低位值(2.7~37.788)[9,10],其诊断MN的敏感度(80.5%)和特异度(90.0%)均较高。咬饼征对甲状腺癌的诊断价值已得到部分学者的认可[2],其组织学基础为瘤体累及或接近甲状腺被膜,本组单因素和多因素分析均显示咬饼征更常见于MN中,OR值为3.467,与形态不规则比较,其诊断MN的敏感度(74.2%)虽较低,但特异度(94.3%)增高。
微钙化对甲状腺MN的诊断价值已得到广泛认可,尤其是乳头状癌[4,5,6,7,8,9,11],其主要病理基础是砂粒体,本组单因素和多因素分析虽显示微钙化更常见于MN中,但OR值仅1.730,明显低于超声微钙化(3.115~9.9)[12,13],考虑与CT软组织分辨率低而易遗漏微钙化有关,微钙化诊断MN的特异度虽较高(90.1%),但敏感度低(35.6%),故不宜单独应用。结节性甲状腺肿是甲状腺最常见的BN,结节周边可有程度不等的纤维化,进而影响血供,导致结节出血、坏死、囊变;而以乳头状癌为主的MN,其间质丰富,生长缓慢,虽较大瘤体亦可囊变,但仅3%的瘤体囊变超过50%[8],本组囊性为主更常见于BN中,虽敏感度(42.2%)较低,但OR值(7.537)和特异度(98.1%)高。
乳头状癌等MN和小滤泡为主的腺瘤样结节梗死及玻璃样变性等较少,增强后明显强化,与甲状腺间密度差降低,瘤体低密度区缩小/模糊,部分甚至高于甲状腺而呈高强化;结节性甲状腺肿富含纤维、梗死及玻璃样变性等,这些成分强化较低或不强化,与甲状腺间密度差增大,瘤体低密度区转清晰。本组增强后范围缩小/模糊更常见于MN中,OR值为5.729,高于形态不规则、咬饼征和微钙化,但其特异度较低(79.4%),提示该征象亦不宜单独应用。尽管高强化对BN的敏感度较低(19.0%),但特异度(97.4%)和OR值(10.782)均较高,说明高强化仍不失为诊断BN的重要征象。
甲状腺BN、MN的6种CT征象中,缺乏敏感度和特异度均高的单一征象。对6种CT征象的预测概率进行ROC曲线分析,当预测概率的阈值为0.475时,其诊断MN的敏感度和特异度分别为90.9%和85.4%,与单一CT征象比较,联合诊断的诊断效能更高。
总之,形态不规则、咬饼征、微钙化、增强后范围缩小/模糊、囊变为主和高强化是CT鉴别BN和MN的重要征象,且各征象间的诊断效能和OR值存在较大差异,对这些差异准确识别,采用多种CT征象联合可提高诊断效能,减少误诊。





















