
分析及归纳IgG4相关性颌下腺疾病的超声影像特征。
回顾性分析19例22灶IgG4相关性颌下腺疾病的超声表现,包括颌下腺尺寸、形态、病变范围、内部回声、血流、周围淋巴结。
19例22灶IgG4相关性颌下腺疾病的超声表现可分为局限性结节样改变、弥漫性结节样改变、类肿瘤样改变3种类型。局限性结节样改变(2例2灶),病侧腺体的浅侧、被膜下显示不均匀增粗的低回声区,内见条状强回声,血流偏多。弥漫性结节样改变(11例12灶),病侧腺体呈网格状或蜂窝状,具体表现为腺体回声增强、增粗、不均匀、血流丰富,内见弥漫、散在、大小不一的结节样低回声,其周围显示条状强回声。类肿瘤样改变(7例8灶),病侧腺体表现为回声不均匀减低、增粗,内夹杂多发条状强回声,并显示放射状丰富血流。
超声检查可作为IgG4相关性颌下腺疾病首选的影像学检查方法。该病超声影像呈局限性结节样改变、弥漫性结节样改变、类肿瘤样改变3种类型。当怀疑患IgG4相关性颌下腺疾病时,应进一步检查IgG4相关性疾病常累及的组织和器官,同时进行超声引导下穿刺活检明确诊断。
版权归中华医学会所有。
未经授权,不得转载、摘编本刊文章,不得使用本刊的版式设计。
除非特别声明,本刊刊出的所有文章不代表中华医学会和本刊编委会的观点。
IgG4相关性疾病(IgG4-related disease, IgG4-RD)是以血清IgG4水平升高,病变组织内大量IgG4阳性浆细胞浸润和组织纤维化为特点的系统性自身免疫性疾病[1,2,3]。IgG4-RD影响多器官、多系统,可累及全身不同的组织和器官,最常累及胰腺、胆管、唾液腺、泪腺、腹膜后组织和淋巴结等,其次为大动脉、纵膈、软组织、皮肤、中枢神经系统、乳腺、肾脏、前列腺、肺及甲状腺[4,5,6,7]。其中,累及颌下腺者称为IgG4相关性颌下腺疾病[8]。IgG4-RD(包括IgG4相关性颌下腺疾病)对糖皮质激素治疗敏感,如果及时得到正确的诊断和治疗,预后较好[3]。近年来,国内外对IgG4-RD的临床特征、诊断、治疗方法的研究不断增加,但目前临床上对该病认识还存在不足,常被误诊为恶性肿瘤,导致患者无法获得正确、有效的诊断和治疗。本文回顾性分析经病理证实的19例IgG4相关性颌下腺疾病的超声表现,归纳其超声影像特征,为此病的临床诊断及治疗提供基础。
选取2010年3月至2017年1月间,首都医科大学附属北京同仁医院收治的IgG4相关性颌下腺疾病患者19例22灶,其中男性7例(47~78岁,平均(60.6±10.4)岁),女性12例(41~81岁,平均(59.8±10.4)岁)。所有患者均经手术切除或穿刺活检,经组织病理学诊断为IgG4相关性颌下腺疾病,其中16例19灶行手术切除病理证实,3例3灶行超声引导颌下腺穿刺活检病理证实。所有患者均无结节病病史、恶性肿瘤病史、放射线照射史。
IgG4相关性颌下腺疾病的诊断参照目前广泛认可的IgG4-RD诊断标准[9]:①单一或多个器官弥漫性或特征性结节、肿块、肿大等表现。②血清IgG4水平≥1.35 g/L。③组织病理学为明显淋巴细胞、浆细胞浸润及纤维化、硬化性改变;IgG4阳性浆细胞浸润的IgG4/IgG阳性比> 40%,且IgG4阳性浆细胞> 10个/HPF。结合2015年《IgG4相关性疾病管理和治疗的国际共识指南》[10]中的提议,在诊断中把组织病理学表现放在首位。本研究将满足①、②、③,或①、③,或①、②者,诊断为IgG4相关性颌下腺疾病[11]。
使用GE Logiq E9、Philips IU22超声诊断仪的ML6-15、L12-5线阵探头对患者病灶部位进行超声检查,频率均≥10 MHz。患者取仰卧位,暴露双侧颌下,对双侧颌下腺进行纵切面、横切面、斜切面等充分扫查。
应用SPSS18.0统计分析软件进行统计分析,计量资料以均数±标准差(
±s)表示。
19例病程约3月~7年,均出现颌下区不同程度的肿胀和/或可触及颌下区"肿物" ,其中3例为双侧,16例为单侧;5例出现口干、眼干等症状。触诊均为颌下区质硬,无触痛及压痛。其中,4例检测了血清IgG4水平,检测值均超出了正常参考值范围(4~87 g/L)。所有患者病灶的组织病理学表现均符合IgG4相关性颌下腺疾病的诊断标准。(图1)


具体组织病理学表现为颌下腺腺泡萎缩,腺泡与导管周围见大量淋巴细胞和浆细胞浸润,伴间质纤维化(图1A);可见IgG和IgG4阳性浆细胞浸润,其中IgG4阳性浆细胞>10个/HPF,且IgG4/IgG阳性浆细胞>40%(图1B、图1C)。
19例22灶病例的腺体长径约2.4~5.2 cm,平均(3.6±0.65)cm,厚径约0.7~2.9 cm,平均(2.0±0.52)cm,正常成人颌下腺长径和厚径的平均参考值分别为(2.7±0.57)cm和(1.4±0.29)cm[14]。所有患者中双侧累及者3例6灶,右侧累及者6例6灶,左侧累及者10例10灶。
19例22灶颌下腺的超声声像图表现可分为局限性结节样改变、弥漫性结节样改变、类肿瘤样改变3种类型。
局限性结节样改变,共2例2灶(9.1%)。病侧腺体大小(长径×厚径)分别为2.4 cm×1.4 cm和3.6 cm×1.8 cm。病侧腺体内显示低回声区,大小分别为2.6 cm×0.8 cm和2.3 cm×0.9 cm;位于腺体的浅侧、被膜下,1例向外隆起;低回声区不均匀增粗(图2A),内见条状强回声,边界模糊,后方回声增强,内血流偏多(图2B),无明显占位效应。未累及区呈正常颌下腺超声表现。


弥漫性结节样改变,共11例12灶(54.5%)。病侧腺体长径约2.7~4.6 cm,平均(3.7±0.56)cm,厚径约0.7~2.5 cm,平均(1.9±0.49)cm。8灶病侧腺体局部隆起,4灶病侧腺体形态无明显变化;均与周围组织分界清楚。颌下腺内部呈网格状或蜂窝状,未显示正常腺体回声。具体表现为腺体回声增强、增粗、不均匀,内见弥漫、散在、大小不一的结节样低回声区,低回声周围显示条状强回声(图3A、图3B),整个腺体血流丰富(图3C)。病变以腺体的边缘、浅侧为著。


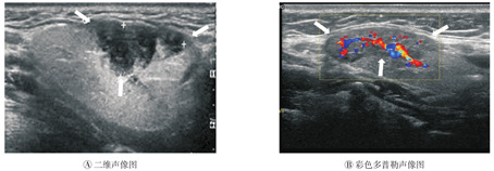
类肿瘤样改变,共7例8灶(36.4%)。病侧腺体长径约2.9~3.7 cm,平均(3.3±0.34)cm,厚径约1.7~2.9 cm,平均(2.4±0.48)cm。腺体饱满、肿胀感;5灶病侧腺体局部隆起,呈分叶状,2灶病侧腺体形态无变化;与周围组织分界清。病侧颌下腺内未见正常腺体回声,显示为回声减低、增粗、不均匀,内夹杂多发条状强回声(图4A),无明显占位效应;腺体内显示放射状分布的丰富血流(图4B)。


所有19例22灶中,3例累及双侧颌下腺,其中2例双侧颌下腺超声表现相仿,分别呈弥漫性结节样改变和类肿瘤样改变,另1例双侧颌下腺超声表现则不相同,右侧者表现为弥漫性结节样改变,左侧者表现为类肿瘤样改变。
19例22灶颌下腺旁均见淋巴结显示,大小(长径×厚径)约0.8 cm×0.4 cm~2.7 cm×1.7 cm,呈椭圆形,髓质可见,淋巴门结构清楚。
IgG4-RD是一种免疫介导的炎症伴纤维化疾病,可影响多个器官,受累脏器可出现肿瘤样病变甚至衰竭[3]。在头颈部,IgG4-RD最常累及涎腺[6,15],以颌下腺受累最为多见[16],其主要临床表现为腺体肿大。颌下腺常见疾病的米库利奇病(Mikulicz disease)和慢性硬化性颌下腺炎(Küttner tumor),以往被认为是2种不同疾病,但研究发现其血清学和组织病理学表现具有共同点,即血清IgG4水平升高和腺体内大量IgG4阳性浆细胞浸润[5,6,17]。因此,目前把这2种疾病视为同一类疾病,即IgG4相关性颌下腺疾病[17,18,19],是IgG4-RD在涎腺的局部表现。
本研究结果表明,IgG4相关性颌下腺疾病的超声表现可分为局限性结节样改变、弥漫性结节样改变、类肿瘤样改变3种类型。这3种超声表现的病理基础是IgG4阳性浆细胞和淋巴细胞浸润和其周围组织的纤维化。超声特征中,结节样低回声改变为IgG4阳性浆细胞和淋巴结细胞浸润的表现,而周围强回声为腺泡和导管周围纤维化的表现[12,13],这些病理改变的分布差异会产生不同的超声类型[12]。有学者提出的超声表现[12,13,20,21]与本研究的弥漫性结节样改变和类肿瘤样改变的超声表现一致,其中弥漫性结节样改变描述为斑驳状表现(mottled appearance)[12]、类"肝硬化"表现( "cirrhotic" liver appearance)[20]、不规则网格状表现(irregular appearance)[21]等。Li等[21]研究发现除上述2种超声表现外,还可出现浅表低回声区(superficial hypo-echoic area)、占位性类型(space-occupying pattern)、正常表现类型(normal pattern)3种超声表现,其中浅表低回声区表现与本研究中的局限性结节样改变超声表现相似,但是表现为腺体内局限性回声减低区的占位性类型和正常表现类型在本研究中未体现,应进一步收集病例加以研究。
在本研究中出现的IgG4相关性颌下腺疾病的3种类型超声表现中,低回声区的分布部位及范围有所不同,这可能与IgG4阳性浆细胞和淋巴细胞的浸润有关,且IgG4阳性浆细胞和淋巴细胞浸润越明显,低回声区越大[13,21]。该病治疗后超声表现中的腺体内低回声区变小或消失[21,22],也能佐证此观点。这种低回声区分布和范围不同的现象,不仅出现在不同超声类型中,也出现在同一超声类型中。在弥漫性类结节样改变中,腺体的表浅侧比腺体深侧结节样低回声区分布较为密集,范围也较大,该声像图表现在Asai等[12]和Li等[21]的研究中也有涉及。
Li等[21]认为低回声区不仅能反映IgG4阳性浆细胞和淋巴细胞的浸润程度,也可提示病情严重程度,即位于颌下腺浅侧、无正常腺体结构的低回声区提示病情重,反之位于颌下腺深侧、仍有正常腺体结构的部位提示病情较轻。但是,有学者认为IgG4相关性颌下腺疾病的预后与腺体的纤维化程度有关,组织纤维化程度影响激素的治疗疗效[3,23,24]。IgG4相关性颌下腺疾病的组织纤维化改变呈进行性发展,早期干预可防止病变进展为慢性和不可逆的纤维化阶段[10]。因此,该病的早期发现、早期治疗对预后非常重要。但是,约3%~30%的IgG4相关性颌下腺疾病的血清IgG4水平在正常范围内[25],会干扰本病的及时诊断。因此,当怀疑为该病时应积极行超声引导下颌下腺穿刺活检,进行组织病理学诊断,包括免疫组织化学的IgG4染色,避免盲目手术。在进行超声引导下穿刺活检时,应针对IgG4阳性浆细胞和淋巴细胞浸润明显的低回声区进行穿刺活检,有利于组织病理学的准确诊断。
IgG4相关性颌下腺疾病的不同超声表现类型也可提示同时累及的其他组织和器官,即弥漫性结节样改变类型者常同时累及腹部组织和器官,如胰腺、胆管等,而类肿瘤样改变类型者常同时累及泪腺、腮腺等[12]。虽然这种现象的机制尚未明析,但反映出IgG4-RD的系统性、全身性的特点[12]。所以,当怀疑为IgG4相关性颌下腺疾病时,应同时检查IgG4-RD常累及的组织和器官,如胰腺、胆管、腹膜后、泪腺、腮腺等。
另外,IgG4相关性颌下腺疾病应与颌下腺炎和颌下腺恶性肿瘤相鉴别。该病的局限性结节样改变和弥漫性结节样改变超声类型应与颌下腺炎相鉴别,两者均表现为腺体肿大和类似的回声改变,但是导管内的结石有助于诊断颌下腺炎。本病的类肿瘤样改变超声类型与恶性肿瘤表现相似,特别是黏膜相关淋巴组织(mucosa associated lymphoid tissue, MALT)淋巴瘤[12,13]。MALT淋巴瘤同样表现为回声增粗的低回声区内伴有条状强回声[12]。这种相似的超声表现导致鉴别上的困难,需借助血清学、穿刺活检等检查手段明确诊断[12,13]。此外,类肿瘤样改变类型的彩色多普勒超声表现为放射状分布的丰富血流,且无明显占位效应[26],可作为与肿瘤鉴别的依据。
超声检查可作为IgG4相关性颌下腺疾病的首选影像学检查方法。该病超声影像常呈局限性结节样改变、弥漫性结节样改变、类肿瘤样改变3种类型。当怀疑为IgG4相关性颌下腺疾病时,应进一步检查IgG4-RD常累及的组织和器官,同时进行超声引导下颌下腺穿刺活检明确诊断。
无





















