
版权归中华医学会所有。
未经授权,不得转载、摘编本刊文章,不得使用本刊的版式设计。
除非特别声明,本刊刊出的所有文章不代表中华医学会和本刊编委会的观点。
急性坏死性脑病(acute necrotizing encephalopathy, ANE)是一种急性、爆发性重症脑病,临床以惊厥、意识障碍及对称性多灶性脑损害为特征,病死率高达30%,幸存者多遗留轻重不一的神经系统后遗症[1]。该病罕见,全球散发,是一组病因不明的临床影像综合征。多数学者认为散发病例是病毒相关的急剧恶化的发热性疾病,近年来发现部分病例存在家族性和复发性,其发病与RANBP2基因密切相关。现将该病近期研究进展综述如下。
又称孤立性或散发性急性坏死性脑病,于1995年由Mizuguchi等[2]首先命名。其发病机制不明,患儿多有前驱病毒感染史,临床主要表现为高热、抽搐、意识障碍(迅速进展至昏迷)和多器官功能衰竭,影像学呈多灶性、对称性脑损害,主要累及双侧丘脑、基底节、脑干被盖及大小脑白质。
即家族性或复发性急性坏死性脑病,2003年Neilson等[3]首次报道了一个多代发病常染色体显性遗传的ANE家系,约半数家系成员有复发病程,2004年将其基因定位于2q12.1-2q13[4],当时还未明确其突变基因,2009年发现RANBP2基因[5]突变为家族性或复发性ANE的易感基因,并将此型ANE命名为ANE1,以便与散发性(或孤立性)ANE区别。
随着基因研究的进一步深入,可能会有更多类型的ANE被命名,如ANE2、ANE3等。
早期研究报道ANE主要发生于日本和我国台湾地区[6],近年来越来越多病例在西方国家被报道,因此ANE为全球散发,无明显种族倾向的一组疾病。该病全年均可发病,多见于流感季节,婴儿至成人均可发病,多见于婴幼儿;男女发病率无明显差异[1]。
ANE的病因目前仍不清楚,可能为环境因素与宿主因素共同参与。
(1)环境因素:主要是病毒感染。最常见的是甲型、乙型流感病毒和人类疱疹病毒6型。还包括新型甲型流感病毒H1N1、副流感病毒、轮状病毒、单纯疱疹病毒、水痘-带状疱疹病毒、风疹病毒、麻疹病毒,肺炎支原体等[1],近期还有寨卡病毒导致ANE的报道[7]。
(2)宿主因素:主要为年龄和基因突变(或个体易感性)。多见于5岁以下儿童。基因突变包括RANBP2基因[5]、肉毒碱棕榈酰转移酶Ⅱ(carnitine palmitoyl transferase Ⅱ,CPT2)基因[8,9]等。
主要有以下几种。
(1)免疫:最普遍的假设为"细胞因子风暴"。研究表明,ANE患者血清和脑脊液中细胞因子水平升高,包括白细胞介素(IL)-6、肿瘤坏死因子-α(TNF-α),自然杀伤(NK)细胞,IL-10, IL-15, IL-1β,可溶性肿瘤坏死因子受体(sTNFR)和干扰素γ。这些细胞因子产生的蛋白水解破坏血脑屏障,增加血管通透性,导致脑水肿、点状出血和神经元及胶质细胞坏死。"细胞因子风暴"在神经系统主要导致多灶性脑损伤,在全身系统中主要表现为肝功能异常、急性肾功能衰竭、休克、弥散性血管内凝血等。
(2)代谢障碍或线粒体功能障碍:ANE患者脑损伤病变主要累及能量代谢旺盛、容易受到伤害的结构,如丘脑、基底节、脑干及大小脑白质等,且呈对称性分布,推测其发病可能与代谢障碍或线粒体功能障碍相关。
(3)遗传:①RANBP2基因突变:RANBP2基因位于核孔的胞质面,在细胞周期中有很多功能,如促进蛋白质的运输,蛋白修饰功能,参与细胞(包括神经元细胞)能量的传递与维持,参与细胞有丝分裂等。RANBP2基因突变导致ANE1的致病机制仍不完全清楚:可能影响细胞内线粒体的转运、能量的产生和酯质过氧化;可能影响病毒的入侵、抗原提呈、细胞因子信号转导、免疫应答;可能影响血脑屏障的维持等。然而,RANBP2基因突变并不是ANE1唯一的致病基因,只可解释75%的ANE1患者[10]。而且RANBP2基因突变导致ANE1易感,并不足以使表型完全外显,文献报道其外显率仅为40%[5]。说明单纯基因突变并不一定致病,需环境因素和基因突变的共同作用。②CPT2基因突变:研究发现CPT2基因突变与ANE相关[8,9]。ANE患者的CPT2受热即分解,推测高热使该酶的活性降低从而影响线粒体能量的利用,使线粒体β氧化受损、大脑微血管内皮受损,导致毛细血管通透性增加,发生脑细胞水肿。
(4)其他:研究认为EphB2与ANE相关[11]。EphB2为对神经元细胞和大脑微血管内皮细胞有重要功能的新型细胞膜表面抗原。EphB2导致ANE的发病机制也不明确。可能机制为:EphB2抗体损害了血管内皮细胞,导致患者血脑屏障破坏或通透性增加;血脑屏障破坏导致EphB2抗体进入脑组织破坏神经元及神经胶质细胞,从而导致脑细胞受损或死亡。
ANE呈现暴发且多样化的病程。临床主要有以下3期:(1)前驱感染期:可表现为发热、上呼吸道感染、呕吐、腹泻、皮疹等,此期体征较少。(2)急性脑病期:多在起病后24~72 h即进入该期,主要表现为惊厥、意识障碍、局灶性神经功能紊乱,部分患者会出现全身炎症反应综合征(SIRS)(如休克等)、多器官功能障碍、弥散血管内凝血等。(3)恢复期:轻症可以完全恢复或只留较轻的后遗症,重症死亡率高,幸存者多留有永久性神经功能损伤(如四肢瘫痪、精神发育迟滞、癫痫等),甚至植物人状态。然而上诉症状中的任何一项都不是ANE所特有,该疾病的诊断主要还需要依靠临床影像学。ANE1与散发性ANE相比,除有家族倾向和容易复发外,其临床症状一般较轻[12]。
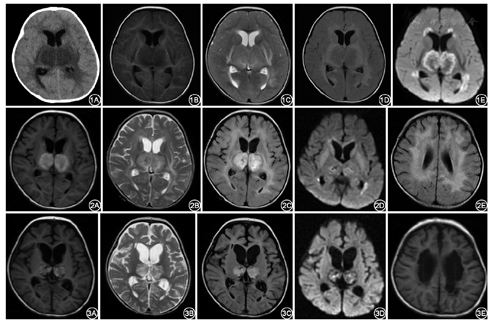
对称性多灶性脑损害为本病特征,白质与灰质均可受累,主要分布在丘脑(100%)、上脑干被盖、侧脑室周围白质和小脑髓质,偶见脊髓受累。ANE的影像学特点是一个与临床、病理生理改变相对应的动态过程。CT和MRI均可显示这些改变,尤其是MRI,对诊断可提供可靠的依据。
(1)CT和MRI:ANE的初期影像改变:病变部位主要表现为脑水肿,病灶在脑头颅CT上(图1)表现为低密度信号。头颅MRI(图1)病灶为长T1长T2,液体衰减反转恢复(Flair)和弥散加权成像(DWI)为高信号,灰质病灶可以为同心圆样的混杂信号。


ANE的中期影像改变:病变主要表现为点状出血、坏死。在头颅CT上表现杂色,为花斑状低密度区中掺杂不规则高密度影,脑白质密度更低。头颅MRI(图2):灰质病灶(主要是丘脑)在T1、T2、Flair、DWI均可见同心圆样环状表现。T1:中心低信号,周围环状高信号为亚急性出血改变;T2:之前的高信号有所减低,周围环绕高信号或等信号,小点状出血在T2通常是模糊的。Flair:高信号更加明显,中心及外周均混杂有低信号。DWI:混杂信号,高信号较前减少。脑白质始终是长T1长T2,Flair高信号。
ANE的恢复期影像改变:少数轻型病例病灶可完全消失,大部分病例病灶表现为萎缩、含铁血黄素沉积、囊腔形成等退行性改变,在头颅CT及MRI均会留下囊腔形成或大脑萎缩等异常信号,部分病例亚急性出血囊腔形成等异常信号持续存在数月至数年,MRI表现见图3。
经典ANE神经影像特点(图4)为"同心圆、三色板模式或靶样形状",这种典型改变因为没有T2穿透效应的限制,在头颅MRI的表观弥散系数(ADC)图上尤为明显。病变中央部显示为略高信号,周围病变为低信号(表示细胞毒性水肿),损害灶的外围部有比中央更高的信号(表示血管源性水肿)。ANE的病理改变可解释上诉神经影像学改变。通常,病变的中心是血管周围出血、神经元坏死和神经胶质细胞增生,ADC显示略高信号;在中心的外围部分显示低信号,为动脉、静脉及毛细血管淤血和少突胶质细胞急性水肿;最外层的高信号为病变的渗出,即血管源性水肿。值得注意的是典型的病变主要出现在灰质,特别是在双侧丘脑。


a:丘脑损害灶中央部;b:损害灶中央部周围;c:损害灶的外围部
(2)新型影像技术在ANE中的应用:一些新型成像技术已被应用于ANE的临床诊断,并可能有助于ANE的鉴别诊断。①弥散张量成像(diffusion tensor imaging,DTI):有学者[13]使用DTI的轴向和径向扩散系数改变观察ANE白质纤维束的受损程度来判断临床预后,同时帮助ANE与其他类似疾病鉴别。②磁共振波谱(magnetic resonance spectroscopy, MRS):研究[14]发现ANE患者MRS检查中脂质-乳酸复合峰和谷氨酸/谷氨酰胺复合峰可倒置,或短暂出现该2种峰。谷氨酸导致的神经元兴奋性中毒可能是导致ANE的病理机制。但有一些ANE患者MRS检查未发现谷氨酸/谷氨酰胺复合峰,表明可能严重ANE才会出现该峰,该峰可作为ANE预后评价的预测指标。③单光子发射计算机化断层显像(single photon emission computed tomography,SPECT):早在1995年Oki等[15]对ANE患者使用SPECT检查,发现在起病24 d丘脑病灶中心为显著的低灌注,表明出现不可逆的组织损伤。
不同病例实验室检查不同。①血常规:白细胞可升高,以中性粒细胞为主,淋巴细胞减少,血小板计数下降,一般无血红蛋白迅速下降。②血生化:肝功能异常最显著但血氨不高,主要为肝酶(丙氨酸转氨酶、天冬氨酸转氨酶、乳酸脱氢酶)升高,低蛋白血症。其他生化指标也有不同程度的变化,如肌酸激酶升高、尿素氮升高、肌酐升高、低血糖、乳酸升高、丙酮酸升高、C反应蛋白升高、ESR升高等,电解质多正常。③凝血功能:急性期重症者可有DIC表现,如凝血酶原时间延长,纤维蛋白原降低、纤溶降解产物升高。
清亮透明,无细胞数升高,大多数脑脊液蛋白水平升高,乳酸、氯化物及糖正常,无寡克隆带。恢复期脑脊液检查正常。
急性期除脑死亡的患者,脑电图背景多为弥散性慢波,背景慢波可随患者意识的恢复逐渐恢复。
1955年首次报道并提出ANE诊断标准[2],随着ANE1的提出,其诊断标准进行了修订并被临床广泛运用[16]。
(1)ANE主要诊断标准:①发热性疾病1~3 d后出现急性脑病,必需指标:意识恶化(甚至昏迷);支持指标:惊厥。②头部影像学显示对称性、多发性病灶,必需部位:双侧丘脑;支持部位:侧脑室周围白质、内囊、壳核、脑干、小脑。③脑脊液检查无细胞数升高,常见脑脊液蛋白水平升高。④血清转氨酶不同程度升高,血氨正常。⑤排除其他疾病(感染性、代谢性、中毒性、自身免疫性疾病)。
(2)ANE1诊断标准:满足ANE诊断标准+下列任意一条:①曾有发热引起的脑病(无论是否满足ANE诊断标准)。②有ANE家族史或家族中有因发热引起的脑病:不必为一级亲属,通常为表兄妹;亲属中有下列疾病:病毒性脑炎、无菌性脑膜炎、急性播散性脑脊髓炎、类感染性脑病、"不典型"或"急性"Leigh综合征。③下列任何一个部位出现特征性病变:内侧颞叶、岛叶、屏状核、外囊、杏仁核、海马、乳头体、脊髓。
ANE鉴别诊断十分重要。根据病史、临床特点需与下列疾病鉴别:中毒性休克综合征、溶血性尿毒症综合征、急性脑病综合征、出血性休克、中暑等。根据影像学特点需与以下疾病鉴别:Leigh病、戊二酸尿症、甲基丙二酸尿症、Wernicke脑病、急性播散性脑脊髓炎、脑梗死、严重缺氧或创伤性脑损伤、中毒所致对称性基底节坏死(如一氧化碳、甲醇、氰化物、锰、二硫化碳等);其他导致对称性基底节坏死的疾病,如渗透性髓鞘溶解综合征、长期低血压、海绵状脑白质营养不良、肝豆状核变性、青少年亨廷顿病,纹状体黑质变性、苍白球黑质红核色素变性等。
ANE无特异治疗。主要包括:(1)免疫与抗细胞因子治疗:该病可能为感染后免疫介导的细胞因子风暴,因此免疫治疗,特别是抗细胞因子治疗有助于改善其预后,主要包括糖皮质激素、免疫球蛋白、血浆置换。有研究认为[6]在疾病的早期或起病24 h内开始予以激素治疗可改善ANE预后,在疾病后危重期使用也可以改善一部分患儿预后,因此建议所有的ANE患者均予以激素治疗。另有研究[17]认为,使用激素并不能改善其预后。因此,关于ANE是否使用激素、激素治疗的时机、剂量及疗程均无统一意见。另一种抗细胞因子治疗即低温治疗,起病12 h内开始低温治疗对儿童ANE的预后至关重要[1]。(2)线粒体修复治疗:该病可能与线粒体功能障碍相关,可予以左旋肉碱、辅酶Q10、B族维生素、乌司他丁等帮助修复线粒体功能。(3)重症监护:维持生命体征稳定,维持脑灌注压。(4)对症治疗:控制发热、惊厥,积极控制脑水肿等。(5)经验性治疗:如抗病毒治疗等。(6)康复治疗:疾病恢复期需予以康复治疗。
本病为一进展的、破坏性极强、高致残率、高死亡率的疾病,其预后较差,死亡率高达30%,存活者多遗留运动、智力发育障碍甚至严重残障,只有不到10%的患者可完全恢复,即使完全恢复,其恢复时间也非常漫长。关于ANE预后的评分系统主要包括:① MRI评分系统:2006年由Wong等[18]提出,此系统分值为0~4分,除丘脑(100%受损)损伤外,按出血、囊腔形成、脑干损害、白质(大脑、小脑或同时)损害是否发生,分别记1或0分,得分越高,预后越差。②ANE严重程度评分(ANE severity scale,ANE-SS)[19],该评分系统总分9分,分数项分别是:休克(3分)、脑干病变(2分)、年龄大于4岁(2分)、血小板计数低于100×109/L(1分)、脑脊液蛋白升高(1分),分数越高预后越差。预计以上新型神经影像技术,可能成为评价预后的指标。
综上所述,ANE主要发生于儿童,诊断主要根据临床和神经影像学特征并排除其他疾病,是一种发病机制不明临床影像综合征。免疫治疗和细胞因子治疗仍需要更多的研究。该病多数预后较差,早期识别和治疗至关重要。RANBP2等基因的发现打开了探讨ANE生物学特性的大门,拓宽了对ANE发病机制的认识。但致病基因仍不能完全解释各种ANE之间的区别。未来研究方向可能需要建立各种类型ANE的疾病模型,有赖于收集其"基因型"及"临床表型"的精准数据,需要临床积极观察与探索。





















