
分析表现为眼肌麻痹的海绵窦区病变的病因谱组成,观察相应临床及影像特点及其在病因学诊断时的预测价值。
回顾并随访2005年1月至2014年1月间,因眼肌麻痹来诊,确诊为海绵窦区病变的住院患者137例。依据临床特征、实验室检查、影像资料、病理结果等进行病因学分类,并对不同病因海绵窦病变的临床及影像资料进行统计学分析。
炎症性疾病[51例(37.2%)]是最常见的病因,早期疼痛(OR 5.591,95%CI 1.703~18.401)及动眼神经受累(OR 4.902,95%CI 1.015~24.630)与炎症性疾病独立相关;肿瘤[43例(31.3%)]是本组海绵窦病变第二位病因,其中以累及海绵窦区脑膜瘤最常见,三叉神经第二支受累(OR 1.017,95%CI 1.005~1.071)与肿瘤独立相关。海绵窦区血管性病变28例(20.4%),其与男性性别独立相关(OR 3.506,95%CI 1.362~ 8.765)。海绵窦感染性疾病15例(10.9%),以真菌感染最常见,多继发于鼻窦感染。
表现为眼肌麻痹的海绵窦病变病因谱主要包括炎症性、肿瘤性、血管性、感染性疾病四大类,本组资料以炎症性疾病最常见。部分海绵窦病变的临床特征对病因学有一定的预测价值,病程早期疼痛、动眼神经受累与炎症性疾病独立相关,而显著面部感觉障碍、三叉神经第二支受累更多提示肿瘤性疾病可能。优化MRI检查方法可更好地识别海绵窦区病变。
版权归中华医学会所有。
未经授权,不得转载、摘编本刊文章,不得使用本刊的版式设计。
除非特别声明,本刊刊出的所有文章不代表中华医学会和本刊编委会的观点。
眼肌麻痹是神经眼科学的重要体征,提示眼球运动传出系统的病变。海绵窦位于蝶鞍两侧,是硬脑膜两层之间不规则的腔隙,与眼球运动有关的三条脑神经穿行于海绵窦,该区域病变常常导致眼肌麻痹。虽然影像技术的发展对于定位海绵窦病变发挥着重要的作用,但由于该区域空间狭小,局部解剖复杂,病因诊断问题一直困扰着相关科室,部分患者辗转于眼科、神经内、外科始终难以确诊。Tolosa-Hunt综合征(Tolosa-Hunt syndrome, THS)是海绵窦病变的常见诊断,有不少在随访中证实为肿瘤性疾病[1]。本研究旨在探讨以眼肌麻痹表现的海绵窦病变的病因谱组成,以及相应临床及影像特点在病因诊断的预测价值,从而为海绵窦病变的病因诊断与鉴别提供参考。
选择2005年1月至2014年1月北京同仁医院因眼肌麻痹来诊并入院治疗的海绵窦区病变患者137例。已除外有明确肿瘤病史、颅脑外伤导致的眼球运动神经损伤,以及具有糖尿病史的孤立性眼球运动神经麻痹。本研究通过北京同仁医院伦理委员会批准,所有患者知情同意。
回顾并随访患者的一般情况、临床特征、实验室检查、影像改变、组织病理学、治疗方式及转归情况等。
观察指标包括:(1)一般情况:性别,年龄,既往史;(2)临床特征:起病形式,首发症状,临床表现,病程时间,病程特点(单相或复发病程,复发次数),受累侧别(单侧或双侧受累),受累颅神经,临近结构受累情况;(3)实验室检查:血液常规、抗可溶性抗原(ENA)抗体谱、抗核抗体(ANA)、抗双链DNA(dsDNA)抗体、抗中性粒细胞胞质抗体(ANCA)等免疫相关检查,以及红细胞沉降率、C反应蛋白、酶免四项、腰穿脑脊液检查;(4)影像学检查:海绵窦MRI采用横断面和冠状面薄层增强扫描;血管评估采用磁共振血管造影(MRA)、CT血管造影(CTA)或数字化减影血管造影术(DSA);(5)活组织病理检查;(6)治疗方式及治疗反应。
THS的诊断标准:符合国际头痛疾病诊断分类(ICHD-Ⅱ)THS的诊断标准[2],并至少随诊2年,证实临床症状缓解,复查影像学有改善或病变消失,进一步除外其他病因可能。肉芽肿性多血管炎和变应性肉芽肿血管炎的诊断标准采用1990年美国风湿病学会(ACR)的分类标准。参照Kline等[3,4]的研究分类方法,将THS和肉芽肿性多血管炎及变应性肉芽肿血管炎归入炎症性(inflammation)疾病大类。
海绵窦区肿瘤包括原发性和继发性肿瘤,确定诊断依靠影像及病理学。海绵窦血管性病变的诊断依靠MRA、CTA或DSA。海绵窦感染性疾病诊断依靠影像学及病原学。
使用SPSS 19.0软件进行统计分析。计量资料采用方差分析,计数资料采用χ2检验。不同临床特征与相应病因的独立相关性采用多因素logistic回归分析。P<0.05为差异有统计学意义。
137例患者中,男82例(59.9%),女55例(40.1%);年龄(43±15)岁;平均病程6.5个月(4 d至20年);平均随访时间5.7年(3个月至11年)。最常见的临床表现是复视116例(84.7%),其次为眶周或头痛78例(56.9%)。1条颅神经受累56例(40.9%),2条颅神经受累26例(19.0%),3条颅神经受累18例(13.1%),4条颅神经受累30例(21.9%)。一侧海绵窦受累125例(91.2%),双侧海绵窦受累12例(8.8%)。
所有患者均接受血液常规检查。93例行免疫相关检查(ENA、ANA、抗dsDNA、ANCA等),异常者8例。58例患者接受腰椎穿刺脑脊液检查,异常者10例;118例患者进行了海绵窦区平扫及增强扫描,异常者106例;34例进行了DSA检查,异常者28例;46例患者进行了组织病理学检查。
137例海绵窦区病变的病因分布见表1。炎症性病因最常见共51例,占全部海绵窦区病变的37.2%,其中48例为THS。海绵窦区肿瘤为第二位病因共43例,占全部海绵窦区病变的31.3%,并以脑膜瘤最多见。海绵窦血管性疾病及感染性疾病分别占全部海绵窦区病变的20.4%和10.9%。

137例海绵窦区病变的病因分布
137例海绵窦区病变的病因分布
| 病因 | 例数(%) | 病因 | 例数(%) | ||
|---|---|---|---|---|---|
| 炎症性 | 51(37.2) | 朗格罕组织细胞增多症 | 1(0.7) | ||
| THS(特发性) | 48(35.0) | 神经纤维瘤 | 1(0.7) | ||
| 肉芽肿性多血管炎 | 2(1.4) | 组织细胞肉瘤 | 1(0.7) | ||
| 变应性肉芽肿血管炎 | 1(0.7) | 腺性囊样癌 | 1(0.7) | ||
| 肿瘤性 | 43(31.3) | 血管性 | 28(20.4) | ||
| 脑膜瘤 | 16(11.7) | 颈内动脉海绵窦瘘 | 22(16.1) | ||
| 侵袭性垂体瘤 | 5(3.6) | 海绵窦段颈内动脉瘤 | 5(3.6) | ||
| 转移瘤 | 5(3.6) | 海绵窦血栓形成 | 1(0.7) | ||
| 鼻咽癌 | 4(2.9) | 感染性 | 15(10.9) | ||
| 脊索瘤 | 2(1.4) | 真菌 | 7(5.1) | ||
| 淋巴瘤 | 2(1.4) | 梅毒 | 4(2.9) | ||
| 三叉神经鞘瘤 | 2(1.4) | 带状疱疹病毒 | 2(1.4) | ||
| 软骨肉瘤 | 1(0.7) | 结核 | 1(0.7) | ||
| 原始神经外胚叶瘤 | 1(0.7) | AIDS | 1(0.7) | ||
| 生殖细胞瘤 | 1(0.7) | ||||
海绵窦区病变各组在起病年龄方面差异无统计学意义。血管性疾病组男性比例高于其他组,差异有统计学意义(χ2=5.976,P=0.009,表2)。炎症性疾病组急性起病比例高,与其他组相比,差异有统计学意义(χ2=8.753,P=0.003,表2),而肿瘤组多呈慢性病程,与其他组相比,差异有统计学意义(χ2=5.674,P=0.016,表2)。

不同病因海绵窦区病变的一般特征
不同病因海绵窦区病变的一般特征
| 一般特征 | 炎症性 | 肿瘤性 | 血管性 | 感染性 | 合计 | |
|---|---|---|---|---|---|---|
| 例数(%) | 51(37) | 43(31) | 28(20) | 15(11) | 137 | |
| 男性[例(%)] | 23(45) | 25(58) | 24(86)a | 10(67) | 82(60) | |
年龄(岁, ±s) | 43±15 | 48±15 | 40±13 | 46±14 | 43±15 | |
| 起病形式[例(%)] | ||||||
| 急性 | 34(67)a | 0 | 3(11) | 4(27) | 41(30) | |
| 亚急性 | 17(33) | 11(26) | 14(50) | 9(60) | 51(37) | |
| 慢性 | 0(0) | 32(74)a | 11(39) | 2(13) | 45(33) | |
注:与其他组比较,aP<0.05

不同病因海绵窦区病变的临床及影像特征比较[例(%)]
不同病因海绵窦区病变的临床及影像特征比较[例(%)]
| 临床及影像特征 | 炎症性(n=51) | 肿瘤性(n=43) | 血管性(n=28) | 感染性(n=15) | 合计 |
|---|---|---|---|---|---|
| 疼痛 | 43(84)a | 25(58) | 5(18) | 6(40) | 78(57) |
| 复视 | 44(86) | 36(84) | 20(71) | 14(93) | 116(85) |
| Ⅲ | 42(82)a | 26(60) | 18(64) | 10(67) | 96(70) |
| Ⅳ | 9(18) | 12(28) | 13(46) | 6(40) | 40(29) |
| Ⅴ1 | 26(51) | 31(72) | 7(26) | 7(47) | 71(52) |
| Ⅴ2 | 4(8) | 24(56)a | 1(4) | 6(40) | 35(26) |
| Ⅵ | 27(53) | 26(60) | 20(71) | 13(87) | 86(63) |
| Ⅱ | 6(12) | 8(19) | 11(39) | 2(13) | 27(20) |
| 瞳孔受累 | 18(35) | 24(56) | 8(29) | 6(40) | 56(41) |
| MRI异常b | 44(90) | 43(100) | 7(7/11) | 12(12/15) | 106(90) |
注:与其他组比较,aP<0.05;Ⅲ:动眼神经;Ⅳ:滑车神经;Ⅴ1:三叉神经眼支;Ⅴ2:三叉神经上颌支;Ⅵ:外展神经;Ⅱ:视神经;b接受MRI检查的患者例数四组分别为49例、43例、11例、15例
51例炎症性疾病中,疼痛发生比例较其他组显著增高,差异有统计学意义(χ2=9.743,P=0.002);动眼神经受累更常见[42例(82.3%)],与其他组比较差异有统计学意义(χ2=6.559,P=0.012,表3)。THS中42例(87.5%)为单侧海绵窦受累,单颅神经受累者21例(43.6%),2条颅神经受累13例(27.1%),3条及以上颅神经受累者14例(29.2%)。THS中复发病程者9例(18.7%),其中4例复发次数2次以上,1例20年内复发10次(图1)。THS中病变累及脑膜者9例,累及眶尖10例,累及眶上裂3例。THS中伴自身免疫指标异常者3例。THS中接受腰穿检查者36例,其中有异常者4例(11.1%)。THS中43例接受激素治疗,随访时均有好转。本组THS中1例最初诊断为海绵窦结核瘤并抗结核治疗,3年后因视力下降接受手术治疗,病理诊断为非特异性炎症;3例因影像学考虑肿瘤可能性大而行手术治疗,病理诊断为非特异炎症。


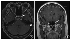
肿瘤是本组海绵窦区病变第二位病因,其中以脑膜瘤最常见。本组患者三叉神经第二支受累多见,与其他组比较差异有统计学意义(χ2=5.213,P=0.022,表3)。本组肿瘤患者中,有4例(9.3%)早期诊断为THS接受激素或其他免疫治疗,随访时确诊为肿瘤性疾病,包括淋巴瘤1例,腺性囊样癌1例,乳腺癌转移1例,肺癌转移1例。本组1例海绵窦原发性组织细胞肉瘤,为国内首例报道。患者女性,51岁,亚急性起病,头痛复视1个月,MRI示右海绵窦病变(图2),曾在外院诊为THS而接受激素治疗。手术病理证实为组织细胞肉瘤(图3,图4),术后半年死亡。


海绵窦血管源性病变共28例,其中颈内动脉海绵窦瘘22例(78.6%),颈内动脉瘤5例(17.9%),海绵窦血栓形成1例(3.6%)。颈动脉海绵窦瘘中男20例,女2例,21例有明确外伤史,1例鼻窦手术史。外伤至发病时间1~18个月,平均3.5个月。有特征性外观者18例,如眼球突出、结膜充血;有客观血管杂音21例。
本组15例感染性海绵窦病变的主要病原包括:真菌、梅毒螺旋体、带状疱疹病毒等。少见感染为1例结核杆菌,1例HIV感染。12例接受腰椎穿刺检查,脑脊液白细胞增高8例,蛋白增高6例。均针对相应病原行药物治疗。本组海绵窦真菌感染多继发于副鼻窦真菌感染,5例为曲霉菌,2例为毛霉菌,均接受手术治疗,其中死亡3例。2例曾诊为THS而接受激素治疗,后出现颅内侵袭。
不同临床特征与相应病因诊断logistic回归分析结果示:疼痛(OR 5.591,95%CI 1.703~18.401)及动眼神经受累(OR 4.902, 95%CI 1.015~24.630)与炎症性疾病独立相关;而三叉神经第二支受累(OR 1.017, 95%CI 1.005~1.071)与肿瘤独立相关;海绵窦血管性疾病与男性性别(OR 3.506, 95%CI 1.362~8.765)独立相关。
导致眼肌麻痹的海绵窦区病变有复杂多样的病因,本组患者海绵窦区病变的病因谱主要由炎症性,肿瘤性,血管性和感染性疾病四大类组成。尽管MRI是目前最敏感的辅助检查工具,仍有很多海绵窦病变缺乏特异性影像学表现,单纯影像学对病因诊断帮助有限。腰椎穿刺脑脊液检查对诊断海绵窦区病变并非敏感,其较低的阳性发现率,仅对很少数病例有诊断价值。在海绵窦区实施活组织检查,技术上非常困难,只有在不得已的情况下才考虑。因此,发现海绵窦病变不同病因的临床特征"标志物",对病因学诊断有重要临床意义。
本组资料中,海绵窦区炎症性疾病为最常见的病因。本组资料显示:(1)急性起病的严重疼痛提示炎症性病因的可能,疼痛特征为眶周或同侧头部的疼痛,可以向颈部放射,严重的疼痛常常干扰患者睡眠。(2)炎症性疾病动眼神经受累最常见,其与炎症性病因独立相关,当动眼神经麻痹时,可更多地考虑炎症性疾病可能。如果动眼神经麻痹孤立出现,并有瞳孔受累,需要及时行脑血管评估,除外致命性后交通动脉瘤。(3)复发性的病程应考虑THS的可能[5],本组中近19%THS患者有复发,个别患者复发次数高达10次。THS复发主要发生在同侧,少数在对侧,可能为双侧海绵窦通过静脉桥相互交通,导致炎症从一侧蔓延至对侧而引起双侧反复发作[6],复发症状常较初次发作轻,可能与早期诊断有关。(4)腰穿脑脊液检查对炎症性病因诊断作用有限,本组患者大部分接受腰穿脑脊液检查,异常率仅为11%,主要表现为白细胞的轻度增高。(5)对激素治疗的良好反应是THS最重要的特征之一,也有少数患者未经激素治疗,仍可有自发缓解。
THS为排除性诊断。本组资料中有4例初诊THS的患者在随访中确诊为肿瘤性疾病,其中一例淋巴瘤随诊3个月时确诊,一例腺性囊样癌随诊1.5年后确诊。他们的共同之处在于疼痛程度相对轻,激素疗效不持续,有的出现了全身症状如发热等。本组资料中也有部分炎症性疾病,其临床影像特征酷似肿瘤,通过手术切除病变或组织活检确诊为炎症。Yasargil等[7]报道的资料中,有脑膜瘤患者被诊断为THS而接受了激素治疗,也有THS患者被诊为肿瘤而行手术或放射治疗。因此,THS常存在与肿瘤的误诊,随诊不仅必要,而且应作为诊断THS的"第四维"因素[7]。
本组资料海绵窦区肿瘤占病因第二位而非首位,这与部分报道不同,原因可能为本研究未入组有肿瘤病史的患者。本组海绵窦区肿瘤主要包括累及海绵窦区的脑膜瘤,浸润性垂体腺瘤,淋巴瘤等,也包含一些仅有个案报道的罕见肿瘤,如组织细胞肉瘤。本组资料的统计学表明,三叉神经第二支受累,对肿瘤性病因有预示价值。因此,临床上应重视面部感觉障碍的问诊和体检,特别是有些患者主要关注影响生活的复视症状,而对于感觉症状常常不主动提供,结果是医生不问,患者不说,造成感觉体征遗漏。也有其他研究发现,视神经受累及男性性别与肿瘤病因有关[8],但本组资料中炎症性海绵窦病变也常见视力损害,未显示与肿瘤的显著相关性,也没有发现肿瘤在性别上的倾向性。总之,海绵窦区肿瘤可以类似THS的临床表现,甚至有相近的放射学特征[9],当伴有易于忽视的全身症状如消瘦,乏力等,对激素治疗缺乏持续疗效时应想到肿瘤的可能。如仍难以鉴别,特别是确诊少见肿瘤,最终需借助活组织病理检查。
本组海绵窦血管性病变以颈动脉海绵窦瘘多见,其发生机制为颈内动脉海绵窦段动脉壁破裂,并与海绵窦之间形成异常的动静脉沟通。头颅外伤史及临床特异体征,如眼肌麻痹伴有突眼、球结膜充血、结膜血管怒张,眶区粗糙的血管杂音,有助于血管性病因诊断,确诊需要脑血管造影检查[10]。本组男性比例显著增高,推测可能与男性更高的颅脑外伤发生率有关。感染性海绵窦病变可继发于全身感染,或由局部感染累及[11]。本组以鼻源性真菌感染最常见,由于鼻部表现易被忽视,患者常以痛性眼肌麻痹就诊。本组资料有2例曾诊为THS,在给予激素治疗后,临床症状短期好转,但停药后症状迅速反弹,虽经手术治疗,患者最终未能避免死亡结局。因此,副鼻窦及颜面皮肤软组织的感染有助于提示感染性海绵窦病变的病因,要认真评估海绵窦毗邻结构的病变,警惕鼻源性疾病波及海绵窦的可能[12]。
MRI是确定海绵窦病变最敏感的辅助检查,THS的MRI异常表现为海绵窦增宽,周围间隙变窄或消失,海绵窦内近似条形的软组织影,部分患者病灶可延伸至眶尖、眶上裂,增强时明显强化[13,14]。海绵窦肿瘤可表现为肿块影,病变可突破海绵窦区累及邻近结构,并有骨质破坏。很多情况下,THS和肿瘤的影像表现类似而难以区分,相比较而言,THS影像改变相对轻,少数甚至可无影像异常,而临床表现相对严重;另外,MRI T2序列若呈低信号改变,则首先考虑炎症而非肿瘤,这与炎症病变的纤维素改变有关[14]。MRI漏诊海绵窦病变并不少见,除了机器因素、病变体积小等客观因素外,更重要的是需要优化MRI检查方法。我们采用海绵窦横断面、冠状面薄层增强扫描,可清楚显示较小病变以及病变和周围结构的毗邻关系,大大提高了检查阳性率[15]。
因此,以眼肌麻痹表现的海绵窦区病变病因复杂多样,炎症性疾病是最常见病因,病程早期疼痛,动眼神经受累与炎症性疾病独立相关。部分海绵窦区肿瘤极易误诊为炎症,显著面部感觉障碍,三叉神经第二支受累更多提示肿瘤性疾病可能。优化MRI检查方法可更好地识别海绵窦病变。

±s)



















