
卡尔曼综合征(Kallmann syndrome,KS)是一种罕见的疾病,典型的临床表现为青春期缺失、不能生育及嗅觉受损(嗅觉缺失或嗅觉减退)。本文通过对1例临床诊断的KS患者的临床特点进行分析,并对该病发病机制、分子遗传学特点、临床表现、诊断及治疗等进行文献复习。
版权归中华医学会所有。
未经授权,不得转载、摘编本刊文章,不得使用本刊的版式设计。
除非特别声明,本刊刊出的所有文章不代表中华医学会和本刊编委会的观点。
患者男性,18岁,因"发现第二性征发育缓慢4年"为主诉于2016年8月入住本科。入院前4年发现外生殖器幼稚,小阴茎,小睾丸,不能勃起,无遗精,伴双鼻嗅觉减退,无阴毛、腋毛、胡须生长,无喉结增大及变声,未予重视及诊治。入院前1年,长出少许胡须,仅上唇可见,外生殖器及嗅觉较前无变化,仍未予重视及诊治。半年前就诊于当地医院,查雌二醇42 pmol/L(参考值92~308 pmol/L,下同)、FSH 0.73 IU/L(1.3~17.35)、LH 0.08 IU/L(1.4~7.7)、睾酮<0.45 nmol/L(7.88~33.87),予中药口服治疗后上述症状无明显改善,为进一步诊治至本院就诊。既往史:否认类固醇激素等药物使用史。个人史:足月顺产,生后喂养史不详,运动发育迟缓:3个月抬头,6个月翻身,7个月坐,1岁爬,1.5岁走,2岁会发音。家族史:父母非近亲婚配,其父21岁青春期发育,其母13岁月经初潮,其姐14岁月经初潮。其父系和母系家族中无相似疾病史。
体温36.6℃,脉搏78次/min,呼吸20次/min,血压98/65 mmHg(1 mmHg=0.133 kPa),身高162 cm(低于同龄男性2 SD,近4年生长速度约2.5 cm/年),体重45 kg,体重指数(BMI)17.04 kg/m2,腹围66 cm,指间距151 cm,上部量74 cm,下部量88 cm。营养较差,神志清楚,双鼻嗅觉减退(分别用清水和75%乙醇检测左鼻、右鼻和双鼻,患者均示意仅闻及少许刺激性气味),胡须稀少,上唇可见少许,无阴毛、腋毛,阴毛生长Tanner分期为I期。无男性乳房女性化。双肺呼吸音清,未闻及干湿性啰音。心率78次/min,律齐,各瓣膜听诊区未闻及病理性杂音。腹平软,无压痛、反跳痛,肝脾肋下未触及。外生殖器:无阴毛,阴茎:长4 cm,周径3.5 cm,睾丸容积(使用Prader睾丸计进行测量):左侧1 ml,右侧1 ml,质软,未触及肿物,阴囊未见明显色素沉着,附睾未触及肿大。四肢肌张力、肌力正常,病理征阴性。
(1)常规检查:粪便常规、肝功能、肾功能、血脂正常,血常规、尿常规异常项目见表1。(2)甲状腺功能、垂体催乳素、口服葡萄糖耐量试验均正常。与本病相关的实验室检查见表2。(3)下丘脑-垂体-性腺功能检查:GnRH兴奋试验见表3,人绒毛膜促性腺激素(hCG)刺激前睾酮为0.45 nmol/L,刺激后为4.05 nmol/L。

血尿常规异常项目
血尿常规异常项目
| 项目 | 血血红蛋白(g/L) | 血红细胞压积 | 尿比重 | 尿蛋白 | 尿白细胞数(个/μl) | 尿白细胞数(个/HP) | 尿细菌(个/μl) |
|---|---|---|---|---|---|---|---|
| 本病例 | 128 | 0.382 | 1.038 | + | 37.7 | 6.8 | 720 |
| 参考值 | 130-175 | 0.4-0.5 | 1.003-1.030 | 阴性(-) | 0.0-9.2 | 0.0-1.7 | 0-94 |

本病相关的实验室结果
本病相关的实验室结果
| 项目 | 黄体生成素(IU/L) | 卵泡刺激素(IU/L) | 雌二醇(pg/ml) | 孕酮(ng/ml) | 睾酮(nmol/L) | 硫酸脱氢表雄酮(μg/dl) | 性激素结合球蛋白(nmol/L) | ACTH(pg/ml) |
|---|---|---|---|---|---|---|---|---|
| 本病例 | 0.06 | 0.81 | 0.01 | 0.09 | 0.01 | 47 | 115.5 | 12.03 |
| 参考值 | 1.25-8.62 | 1.27-19.26 | 20-47 | 0.10-0.84 | 6.07-27.24(男) | 24-537(18-20岁) | 14.5-48.4 | 7.20-63.60 |
| 项目 | 皮质醇(08∶00)(nmol/L) | 皮质醇(16∶00)(nmol/L) | 血浆肾素活性(卧位,μg·L-1·h-1) | 血管紧张素Ⅱ(卧位,ng/L) | 醛固酮(卧位,ng/L) | 血浆肾素活性(立位,μg·L-1·h-1) | 血管紧张素Ⅱ(立位,ng/L) | 生长激素(ng/ml) |
|---|---|---|---|---|---|---|---|---|
| 本病例 | 388.6 | 201.7 | 1.73 | 59.79 | 81.55 | 1.22 | 66.8 | 2.47 |
| 参考值 | 240-680 | <276 | 0.05-0.79 | 27.80-52.20 | 59.50-173.90 | 0.93-6.56 | 55.3-115.0 | 0.004-1.406(男) |

GnRH兴奋试验
GnRH兴奋试验
| 戈那瑞林100 μg | 卵泡刺激素(IU/L) | 黄体生成素(IU/L) |
|---|---|---|
| 注射前 | 0.79 | 0.14 |
| 注射15 min | 1.65 | 1.22 |
| 注射30 min | 3.06 | 2.52 |
| 注射60 min | 4.54 | 3.18 |
| 注射90 min | 4.75 | 2.69 |
| 注射120 min | 4.98 | 2.07 |
| 注射180 min | 5.73 | 1.55 |
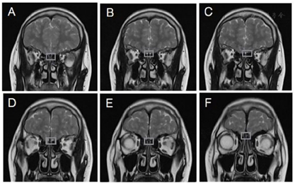
心电图提示窦性心律不齐。胸片提示心肺未见明显异常。骨龄片提示相当于16~17岁左右(图1)。第2~4腰椎椎体骨密度值减低(全部Z值-4.5,最低-5.3),提示骨质疏松;左髋关节、大转子密度值在正常范围(全部Z值-0.5,最低-1.5)。心脏彩超:心脏结构及功能未见明显异常。乳腺彩超提示男性乳腺未见明显占位性病变。阴囊彩超提示双侧睾丸体积偏小(切面内径左侧约14.2 mm×6 mm×9.9 mm,右侧约15 mm×5.9 mm×10.9 mm)。全腹彩超:前列腺体积稍小(大小约14 mm×10 mm×13 mm)。肝、胆、胰腺及腹膜后所见部位、脾、双肾、双输尿管、膀胱未见明显占位性病变。腹主动脉所见部位未见明显异常。垂体+嗅球、嗅束磁共振:垂体MRI平扫及增强未见明显异常;双侧嗅沟存在、显示稍小,双侧嗅球、嗅束未见显示(图2)。


注:A:左腕关节;B:左肘关节;C:髋关节;骨龄片提示相当于16~17岁左右,与年龄相当


注:方框显示嗅沟、嗅球、嗅束位置,提示双侧嗅沟存在、但稍小,双侧嗅球、嗅束未见显示
ANOS1基因外显子测序分析提示患者为复合纯合突变个体,即第11外显子纯合错义突变(c.G1600A),第12外显子纯合同义突变(c.C1833T)。第11外显子编码534位密码子的核苷酸碱基由GTT变成ATT,导致p.V534I错义突变。第12外显子编码611位密码子的核苷酸碱基由ATC变成ATT,导致p.I611I同义突变。经比对美国国立生物技术信息中心数据库(NCBI),第11外显子纯合错义突变(c.G1600A)为单核苷酸多态性(SNP)。外显子突变位点相对应的基因测序图谱如图3、图4所示。


注:A:野生型;B:突变型:第11外显子编码534位密码子的核苷酸碱基由GTT变成ATT,导致p.V534I错义突变


注:A:野生型;B:突变型:第12外显子编码611位密码子的核苷酸碱基由ATC变成ATT,导致p.I611I同义突变
卡尔曼综合征(Kallmann syndrome,KS)是一种罕见的疾病,具有遗传异质性,遗传方式包括X-连锁隐性遗传、常染色体显性遗传和常染色体隐性遗传[1],可以散发出现,也可以家族聚集出现,约占先天性低促性腺素性功能减退症的50%。病因考虑与基因突变有关。致病基因包括KAL1、Fgf8/FgfR1、FGF17、IL17RD、PROK2、PROKR2、NELF、CHD7、HS6ST1、FLRT3、SPRY4、DUSP6、SEMA3A、NELF、WDR11等,这些基因均参与胚胎时期GnRH合成神经元的迁移,若发生突变则引起迁移异常[2,3]。具体的遗传学机制十分复杂,迄今为止,仍有35%~45%的病例得不到解释。目前研究相对清楚的有KAL1基因,又称为ANOS1基因,因为其编码Anosmin-1糖蛋白,这种蛋白是神经元迁移和存活的导向分子。若KAL1基因突变会引起Anosmin-1异常,无法完成正常的迁移。除了KAL1基因,Kim还阐述了其他数十种致病基因及其致病机制[4]。有学者研究小鼠胚胎模型发现嗅上皮、梨鼻器与嗅束、下丘脑视前区之间存在嗅神经和(或)终末神经的轴突。上述致病基因突变后可通过不同的途径影响神经元的迁移,如PAX6、CHD7、Fgf8/FgfR1突变可使嗅基板、嗅窝以及GnRH合成神经元形成异常;PROK2、PROKR2、SEMA3A突变可引起轴突异常。既往认为KS是一种单基因病,但近几年来发现有些患者身上存在2种或以上的基因突变,让大家逐渐认识到它是一种寡基因病,有报道称至少20%的病例是寡基因病。GnRH合成神经元和嗅觉神经元同步迁移,故KS患者会出现嗅觉受损,影像学表现为嗅球、嗅束、嗅沟的发育不全或缺如。本病常见于男性,患发病率为3.75/100 000,男女比例约3~5∶1[3,5],本病的临床特点是青春期缺失、不能生育及嗅觉受损[6]。由于胎儿期就存在促性腺激素不足,所以男婴出生时就可出现小阴茎、隐睾症,但女婴没有特异性表现。为了避免延误病情,一旦遇到父母患病的女婴应检测相关激素,如FSH,有研究表明微小青春期FSH似乎是最敏感的指标。青春期和性发育落后于正常儿童平均年龄2.5 SD以上,或男性14岁无睾丸增大(容积<4 ml),或女性14岁乳房发育Tanner分期为I期也提示"青春期延迟"。诊断KS需要排除其他疾病可能,特别是体质性青春期延迟,这两者的鉴别要点包括:(1)患病率及病因:前者患病率为3.75/100 000,病因考虑为基因突变所致,故可在该病患者身上检测到相关突变,后者则相对常见,患病率为1/50,虽然病因未明,但有报道称某些KS的致病基因突变可以出现在后者中,但几乎不会引起低促性腺激素性性腺功能减退;(2)遗传方式:前者可表现为X-连锁隐性遗传、常染色体显性遗传和常染色体隐性遗传,后者则表现为常染色体显性遗传;(3)临床表现:两者均存在青春期延迟,后者为短暂性,所以在速长期延迟后会出现追赶性生长,部分患者可在15岁时出现自发性青春期发育,但KS患者无这些现象,表现出永久性青春期延迟。临床上我们很难将两者区分开来,对于14~16岁的青春期延迟患者,我们可对其进行观察或短期的睾酮治疗,直至16~17岁,对其进行再次评估或停止治疗,若出现睾丸容积的生长,睾酮水平的升高,应考虑为体质性青春期延长。治疗上,分为恢复生育功能和维持第二性征的不同治疗方案。对于有生育需要的患者,国外常使用含有LH或FSH活性的重组促性腺激素(rLH或rFSH),男性患者使用rLH可以刺激间质细胞(Leydig细胞)产生睾酮,rFSH可以刺激支持细胞(Sertoli细胞)与精原细胞;女性患者使用rLH可以刺激卵泡膜细胞产生雄激素,rFSH可以刺激颗粒细胞产生雌二醇。由于rLH或rFSH价格昂贵,国内常使用含有LH活性的绒促性素hCG及含有LH和FSH成分的尿促性素hMG。近几年GnRH泵在低促性腺激素性性腺功能减退患者的使用逐年增多,其恢复生育的作用与LH/FSH的双促治疗疗效相近或略优。对于没有生育需求的患者可以直接给予靶腺激素替代治疗,男性给予睾酮替代维持第二性征,女性给予雌/孕激素人工月经周期。
本病例系青少年男性,已满18岁。具有以下临床特点:(1)第二性征发育不明显、双鼻嗅觉减退,查体可见小阴茎、小睾丸,无阴毛,胡须稀少,阴毛生长Tanner分期为I期,阴囊彩超及全腹彩超提示睾丸体积偏小。(2)骨质疏松。(3)实验室检查提示雌二醇、睾酮下降,促性腺激素(FSH、LH)下降。(4)嗅球、嗅束磁共振提示双侧嗅沟存在、稍小,双侧嗅球、嗅束未显示。故患者可拟诊KS。
鉴别诊断方面需排除以下疾病:患者无颅脑、垂体肿瘤史,无相关部位的放射性物质接触史,亦无类固醇激素、化疗药物使用史,故不能用上述因素解释。KS的致病基因众多并且有些仍未被发现,可见基因诊断存在一定的局限性,故目前本病的诊断以临床诊断为主。结合该患者的病史、临床表现及相关辅助检查结果,其KS的临床诊断明确。
本病生殖系统的表现除了上述的小阴茎、小睾丸、隐睾症等,还有性欲低下、男性化不明显、乳房不发育、原发性闭经等,这些表现可导致患者出现情感和心理方面的异常,如焦虑、抑郁、心理发育受损。临床工作中我们需要多关注患者的情感和心理,询问病情及体格检查时应尽量避开其他人员,必要时进行一对一心理咨询。KS可伴随非生殖系统受损,如骨骼、颅面部、肾脏、心脏[4]。可出现骨质疏松、唇腭裂、肾脏缺如,以及较特异的双手连带动作(镜像运动)等。所以需要对患者进行完整的体格检查,除了生殖器及嗅觉的专科检查,还应进行骨密度测定、对掌活动检查等。本例患者入院后行双能X线测量显示骨质疏松,主要考虑为性激素水平持续低下所致[7]。除了上述原因,有学者发现SEMA3A、FGF8、FGFR1基因突变可能直接影响到骨骼健康引起骨质疏松。
该病强调早期诊断,早期治疗。目前缺乏特效的对因治疗即基因治疗,仅予对症处理,即给予促性腺激素释放激素、促性腺激素或性激素。对于有生育需求的患者,常用的治疗方案有hCG治疗、GnRH泵治疗和hCG/hMG(双促)联合治疗;对于暂时没有生育需求且睾丸体积在4 ml以上的患者可给予睾酮替代治疗维持第二性征。确诊年龄在14~16岁且睾丸容积小于4 ml的严重患者其恢复生育力的治疗一直是一个临床难题,Dwyer的一项随机、开放研究发现在传统的双促治疗前给予rFSH预治疗4个月对这样的严重病例与传统双促治疗相比,睾丸体积、抑制素B水平和精子数量均明显升高,提示rFSH的预治疗不仅能刺激不成熟的支持细胞、精原细胞,还能促进睾丸生长、成熟,使得精子数量达最高水平。2002年,美国内分泌医师协会为性腺功能减退的成年男性患者更新了实践指南,指南指出为期6~12个月的hCG预治疗后使用FSH(75 U/次,3次/周)+hCG(2 000 U/次,2次/周)是有效的,但此方案的医疗成本较高,患者依从性欠佳。有文献报道,GnRH或hCG/FSH诱导精子生成后仅予hCG治疗,3~24个月内仍有精子生成。那是不是意味着可以减少FSH的给药?Manna Zhang团队在为期6个月的hCG预治疗后,调整上述治疗方案为FSH(75 U/次,3次/周,每隔3个月)+hCG(2 000 U/次,2次/周),发现疗效不次于之前,这对患者来说无疑是一个福音,不仅能降低医疗成本,还能少受注射带来的不适[8]。针对本文所提及的病例,治疗上建议hCG、hMG联合治疗,由于患者依从性差,不能很好地配合治疗,遂仅予绒促性素肌注治疗。结合相关文献材料,起始剂量予绒促性素2 000 U qod[9]。1个月后随访发现患者出现晨勃现象,阴茎、睾丸较前有所发育,阴茎长度由4 cm增长至6 cm,双侧睾丸容积均由1 ml增大至6 ml,外生殖器分期Tanner分期由I期变为Ⅱ期,睾酮由0.01 nmol/L升至8.98 nmol/L。嘱患者继续内分泌科随诊,择期予以绒促性素、尿促性素联合治疗。为了维持性激素的正常水平,预防骨质丢失,常常需要终身进行激素替代治疗。但在过去的十年里,我们发现大约10%~20%的患者病情可以痊愈。这提示我们KS不仅受遗传因素的影响,还受到环境因素的影响。近年来,大家逐步提倡个体化激素替代治疗,即根据不同年龄阶段和对生育的要求采取不同的治疗,使患者尽可能地获得生育功能[6]。值得注意的是,若患者存在隐睾症、青春期前睾丸或低浓度的血清抑制素B,均提示治疗后获得生育能力的可能性小[10]。
KS的临床诊断以临床表现和影像学结果为主,有条件者可以行基因诊断,诊断KS还需要排除其他疾病可能,如营养不良等功能性因素,颅脑、垂体的肿瘤、放射因素,类固醇激素、化疗药物等药物因素以及一些全身性疾病等。根据文献,本文对KS的临床诊断要点总结如下:(1)性腺功能异常:患者可表现为第二性征发育不明显,查体可见体毛稀疏,小阴茎、小睾丸,阴囊彩超提示睾丸体积偏小。(2)嗅觉异常:可表现为双鼻或单侧的嗅觉减退或缺失。(3)实验室检测:性激素下降,促性腺激素下降。(4)嗅球、嗅束磁共振提示嗅沟、嗅球或嗅束异常。在临床工作中,如果遇到第二性征发育不明显、嗅觉减退或缺失,且性激素、促性腺激素水平下降的患者,应考虑本病可能,有条件者可进行相关致病基因的检测,但由于导致低促性腺激素性性功能减退症的基因较多且复杂,即使采用全外显子测序的方法也尚有近50%的患者没有发现已报道的基因突变,所以基因诊断并不是确诊低促性腺素性功能减退症必不可少的检查。
KS是一种罕见的疾病,系相关基因突变所致。致病基因众多,涉及不同的发病机制,十分复杂。典型的临床表现是青春期缺失、不能生育及嗅觉减退或缺失。临床工作中遇到第二性征发育不良的患者,尤其合并嗅觉异常时应考虑该病可能,但应排除营养不良等功能因素,颅脑、垂体的肿瘤、放射因素,类固醇激素等药物因素以及一些全身性疾病等。基因测序有助于明确诊断、判断预后及遗传咨询[13]。但该病致病基因众多,且仍有35%~45%的病例得不到解释,故仅对常见的致病基因进行测序可出现假阴性结果,需结合患者的病史、临床表现及相关检查作出临床诊断。该病强调及早诊断、及早治疗。治疗包括hCG/hMG(双促)联合治疗、GnRH泵和hCG治疗。





















