
版权归中华医学会所有。
未经授权,不得转载、摘编本刊文章,不得使用本刊的版式设计。
除非特别声明,本刊刊出的所有文章不代表中华医学会和本刊编委会的观点。
Williams-Beuren综合征(Williams-Beuren syndrome,WBS)是一种罕见遗传综合征,发病率为1/50 000~1/7 500,是由染色体7q11.23区域杂合性微缺失导致的多系统异常综合征,临床表现为特殊面容、身材矮小、内分泌紊乱、智力低下,约80%的患者伴心血管畸形,如主动脉瓣上狭窄、肺动脉狭窄,多数为散发,部分为常染色体显性遗传[1,2]。染色体微阵列(chromosomal microarray analysis,CMA)是近几年出现的一种高分辨率的染色体分析技术,已作为不明原因发育迟缓、智力低下、孤独症、多发性先天畸形等多种疾病的首选诊断性技术,并已应用于该类综合征的检测中[3,4],但国内临床医师对此综合征认识不足,易造成误诊和漏诊。本研究对1例发育落后伴先天性心脏病的患儿应用CMA技术进行检测,发现该患儿在染色体7q11.23区域存在1.42 Mb的杂合性缺失,结合其临床表现,确诊为WBS。现分析该患儿的临床特点和遗传学特征,以提高临床儿科医师对该病的认识水平。
患儿,男,4个月,因发育落后和先天性心脏病就诊。患儿出生后发育迟缓,现仍不能竖头。入院诊断左右肺动脉狭窄、房间隔缺损、发育迟缓待查。个人史:患儿系第2胎,第1产,孕37周顺产,出生体质量2.5 kg,否认窒息抢救病史。母孕期间无药物服用及放射接触史。家族史:父母亲均25岁,体健,均不从事有毒有害的工作,非近亲婚配,第1胎不明原因孕10周自然流产,否认遗传病家族史。父亲身高168 cm,母亲身高155 cm,患儿遗传靶身高168 cm。
体格检查:体质量6.5 kg(位于同年龄同性别儿童体质量的第10至第25百分位之间),身长64 cm(位于同年龄同性别儿童身长的第50至第75百分位之间),头围41 cm(位于同年龄同性别儿童头围的第10至第25百分位之间)。一般情况尚可。精神反应较差。前囟平软,大小约0.5 cm×0.5 cm。面容特殊:前额宽、眼裂狭小、睑裂向下倾斜、低位耳、鼻梁低平、颧骨低、唇厚嘴宽。哭闹时声音低沉、沙哑。听力正常。呼吸略促,三凹征弱阳性,双肺呼吸音粗糙,可闻及少许痰鸣音。心音有力,律齐,胸骨左缘第2-3肋间可闻及SM 2/6级杂音。腹部平软,无压痛、反跳痛。肛门及外生殖器未见异常。脊柱未见异常。四肢肌力、肌张力未见异常。
实验室检查:生化检查包括肝功能、肾功能、心肌酶均正常,电解质正常,无高钙血症及其他内分泌异常。
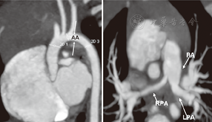
心脏彩超示右心房、右心室内径增大,右心室前壁明显增厚,左、右肺动脉发育细小(图1),主肺动脉发育尚可,肺动脉瓣无明显增厚,开放正常,房间隔中部探及回声中断约0.81 cm,缺损周围可探及房间隔结构回声,室间隔连续完好。CT动脉造影检查示主肺动脉发育可(10.9 mm),双肺动脉狭窄,左肺动脉宽约4.3 mm,右肺动脉宽约2.8 mm。主动脉显示较细,主动脉起始部、弓部、降部分别宽约6.7 mm、4.3 mm、4.3 mm (图2)。头颅磁共振成像示脑外腔隙增宽,髓鞘化落后于月龄。Gesell发育测试:动作发育商60分,应物发育商51分,言语发育商32分,应人发育商34分。


注:RPA:右肺动脉;LPA:左肺动脉 RPA:right pulmonary artery;LPA:left pulmonary artery


注:AA:主动脉弓部;PA:主肺动脉;RPA:右肺动脉;LPA:左肺动脉 AA:aortic arch;PA:pulmonary artery;RPA:right pulmonary artery;LPA:left pulmonary artery
本研究符合医院医学伦理基本原则,经伦理委员会批准(ETYY-2012-04)及患儿监护人签署知情同意书后,抽取患儿及父母外周静脉血3 mL进行细胞和分子遗传学检测。
肝素抗凝,按照常规操作制备染色体,以标准G显带技术对染色体进行处理,镜下分析10个核型,并2次复查。
采集患儿乙二胺四乙酸钠(EDTA)抗凝外周血2 mL,采用TIANamp Blood DNA kit(TIANGEN生化科技公司,北京)提取基因组DNA,采用Human CytoScan HD芯片(美国Affymetrix公司)进行检测,按说明书进行操作,以Chromosome Analysis Suite (ChAS)软件对结果进行分析。
应用LightCycler 480荧光定量PCR仪(德国Roche公司),采用大连宝生物公司的SYBR Premix Ex Taq II PCR试剂盒,以GAPDH为内参基因对照,按照标准实验流程进行DNA提取、定量PCR扩增,根据目的区域和内参基因的标准曲线进行定量。
患儿常规核型分析为46,XY,正常男性。
患儿在7q11.23区段存在一长度为1 423 914 bp的片段缺失(72718277-74142190)(图3),涉及FZD9、TBL2、ELN、LIMK1、CLIP2、GTF2I等OMIM基因在内的28个基因。


以LightCycler 480分析软件自动生成扩增曲线、标准曲线及熔解曲线,结果显示患儿父母及正常对照结果正常(与内参基因比值约为1.0),患儿为该区域单拷贝缺失(与内参基因比值约为0.5),见图4。


WBS(OMIM 194050)是一种少见的多系统发育异常综合征,由染色体7q11.23区域包括elastin (ELN) (OMIM 130160)在内的相邻基因杂合性缺失引起,典型的WBS的缺失片段长度为1 550 000~1 840 000 bp,包含26~28个基因,其中90%的WBS患者有1.55 Mb的微缺失,8%的患者为1.84 Mb缺失。临床表型复杂,主要表现为面部异常,如高前额、鼻扁平、厚唇、长人中及颧骨发育不良;身材矮小、发育迟缓、智力低下;内分泌异常,如高钙血症;心血管异常,最常见为主动脉瓣上狭窄。非典型WBS指的是小于1.55 Mb和大于1.84 Mb缺失的WBS,仅发生于2%的病例中,其复杂的表型与WBS关键区的基因杂合性缺失有关[1,2,5]。弹性蛋白基因Elastin(ELN)表达的产物是弹性蛋白,是细胞外基质的重要成分,其缺失可引起弹力蛋白质或量的缺陷,导致:(1)结缔组织异常的表型,包括声音嘶哑、某些特征性面容(婴幼儿眶周和脸颊丰满)、皮肤柔软、韧带松弛;(2)弹性蛋白动脉病:主动脉瓣上狭窄、脐疝、肠道或膀胱憩室、关节畸形等[1,2,5,6],其他基因的功能仍在研究中,如RFC2、GTF2I和BAZ1B基因可能涉及DNA损伤应答,但尚无一致性结论[7]。
该病于1952年由Fanconi等首次报道,10年后,Williams和Beuren分别进一步描述了该综合征患者存在的畸形的面部特征和主动脉瓣上狭窄,但直到1993年,有学者才通过连锁分析发现了其遗传学病因为ELN基因杂合性缺失[2,8],之后建立了确诊WBS的荧光原位杂交(FISH)技术[9],多重连接探针扩增技术(MLPA)技术和qPCR技术[1]等。
目前检测基因片段缺失的技术包括FISH、MLPA、qPCR、CMA等。与其他技术相比,CMA技术可以更加精确地在全基因组范围内扫描检测染色体的微缺失和微重复,分辨率高达30 kb[4]。本研究所用CytoScan HD芯片是由Affymetrix公司研发、目前密度最高的遗传学检测芯片,用于在全基因组范围内检测染色体异常,为染色体异常检测带来巨大变革[10]。目前已有应用不同微阵列芯片检测确诊WBS的病例报道,Okamoto等[11]采用微阵列比较基因组杂交(aCGH)在1例脑发育异常伴肥厚性心肌病的非典型WBS患儿中检测到约1.0 Mb的缺失,并应用FISH技术进行了验证。Ahrens-Nicklas等[6]应用SNP 6.0芯片在1例患有完全性房室通道缺陷、出生仅20 d的女性患者的7q11.23区(72722981-74141840)检测到1.42 Mb的杂合性缺失。本研究发现该例患儿存在有1.42 Mb典型的WBS区域杂合性缺失,涉及包括ELN的28个基因,而该患儿父母正常无缺失突变,其典型WBS缺失为新生变异。据报道,WBS患儿父母中,约30%表型正常但在WBS缺失区域有染色体倒位发生,因未引起基因缺失,芯片与qPCR可以正常[11,12],鉴于该患儿前第1胎不明原因孕10周自然流产,其可能携带同样但可能表型更严重的WBS缺失区域,而其父或母可能携带有该区域的染色体倒位,所以建议其父母进行FISH检测,如果为阳性,则在下次妊娠时做好遗传咨询和产前诊断工作,以避免该类患儿的出生。
本研究结果表明,CMA可以准确、高效地鉴定出WBS的缺失区域并确定出缺失的具体基因,是更加方便、快捷地确诊WBS的实验室技术。





















