
版权归中华医学会所有。
未经授权,不得转载、摘编本刊文章,不得使用本刊的版式设计。
除非特别声明,本刊刊出的所有文章不代表中华医学会和本刊编委会的观点。
男,52岁。半个月前因感冒后出现咽痛,咽部有异物感于2016年12月12日来我院就诊。10 d前爬楼梯时突然感觉呼吸困难、气促,无吞咽困难、咳嗽、发热等症状。耳鼻喉科检查:咽部黏膜充血、红肿,软腭抬举对称,咽后壁淋巴滤泡增生,间接喉镜检查窥视不清。颈部皮肤色泽正常,未扪及明显包块及肿大的淋巴结。纤维喉镜:声门下狭窄,右侧喉壁可见球状新生物,表面黏膜充血,右侧声带固定。
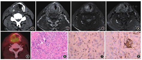
颈部CT检查:右侧声门下区可见类圆形3.3 cm×2.2 cm软组织密度影,密度不均,内见多发小片状低密度区,边界模糊,平均CT值为42 HU。病灶侵犯右侧甲状软骨板及环状软骨,其下缘跨越中线累及对侧(图1)。MRI检查:T1WI肿块信号稍高于颈部肌肉,内见多发小片状高信号,考虑为出血(图2);T2WI病变呈混杂高信号,内见多发结节状高信号,形似"蜂窝状",部分见液-液平面。病变累及对侧喉壁,信号与右侧类似(图3)。增强后肿块呈明显不均匀性强化,强化程度较甲状腺明显,内见多发囊状不强化区(图4)。PET-CT检查:右侧声门下肿块18F-脱氧葡萄糖摄取明显增高,最大标准摄取值(standardized uptake value,SUV)为4.2,左侧声门下区受累部位也呈类似改变(图5)。根据影像表现诊断:喉部占位,考虑为恶性。


手术及病理:于甲状腺右侧叶及环状软骨板下缘声门下见右侧喉室外生型白色新生物,质硬,钳夹后有少量出血。肿块向前累及甲状腺右侧叶,向后累及气管-食管沟。病变破坏右侧声带并侵犯对侧声带及第1气管软骨环,浸润深度达喉壁深肌层。病理检查:见肿瘤内大量梭形单核细胞,其间散在分布多核巨细胞(图6)。免疫组织化学染色:波形蛋白、P63单核细胞(图7)、PGM-1多核细胞阳性(图8),CK、结蛋白、平滑肌肌动蛋白、CD34、S-100均为阴性,Ki-67 10%。结合组织形态及免疫组织化学诊断为喉侵袭性巨细胞瘤。
巨细胞瘤(giant cell tumor,GCT)又称为破骨细胞瘤,占所有骨肿瘤的4.0%~9.5%,好发于四肢长管状骨的骨端。临床上以30岁左右的青壮年多见,女性发病率稍高[1]。约2%的巨细胞瘤发生于头颈部,多起源于上颌区及颅底骨质[2]。原发于喉的GCT较少见,笔者检索国内外相关文献,至2016年底共有41例报道。喉GCT最常见于甲状软骨,其次是环状软骨,偶可见于喉周软组织[3]。临床上,多表现为发音障碍、颈部包块、呼吸困难等。组织学上呈单核细胞和多核巨细胞增生为主的良性病变,而在生物学行为上有局部侵袭性生长的倾向,具有潜在恶性。其生物学行为很难根据形态学指标来预测,因此WHO已不主张对GCT作组织学分级[4]。
喉巨细胞瘤在影像上多呈类圆形或不规则形的肿块,边界清楚或模糊,破坏邻近的喉软骨并侵及周围软组织或喉室。CT平扫密度不均匀,低于颈部肌肉,可以有明显钙化。MRI显示肿块呈膨胀性破坏,T1WI上呈等或高信号、T2WI呈不均匀高信号、增强扫描肿块明显强化[5]。本例影像表现有2个特点:(1)MRI上与发生于四肢长管状骨的表现有相似之处,肿瘤内部呈"蜂窝状",部分可见液-液平面;(2)对脱氧葡萄糖的摄取明显增高,与恶性肿瘤非常相似。这两个特点尚未见相关文献报道,需要更多的病例来证实。
本病应与下列疾病鉴别:(1)喉癌:好发于50~70岁的中老年,以声门多见,声门下区较少见。早期即出现声嘶,症状进行性加重。肿块密度可以不均匀,但出血少见,亦不会出现蜂窝状改变,强化程度不及GCT,易发生区域淋巴结转移。(2)喉淋巴瘤:密度较低,常较肌肉低10~20 HU,极少侵犯声门下区,一般不破坏喉软骨,常有颈部淋巴结肿大。(3)喉淀粉样瘤:表现为软组织密度结节,一般密度较高,单个或多个小点状钙化是其特征。部分病例鉴别困难,最终确诊仍需依靠常规病理和免疫组织化学检查。
本研究过程和结果均未受到相关设备、材料、药品企业的影响





















