
探讨肩关节镜下经后关节囊切开入路冈盂切迹囊肿减压及肩胛上神经松解治疗肩胛上神经卡压综合征的疗效。
2010年1月至2017年1月收治肩胛冈盂切迹囊肿引起的肩胛上神经卡压综合征患者11例,男7例,女4例;年龄29~56岁,平均(41.5±5.3)岁。左侧3例,右侧8例。所有病例均经肩关节MR检查及肌电图检查确诊。MRI示冈盂切迹处囊肿,直径0.5~2.6 cm,平均(1.5±0.7)cm;其中3例合并上盂唇前后部(superior labrum anterior and posterior,SLAP)损伤,均为Snyder分型Ⅱ型。于肩关节镜监视下,将后上方关节囊沿盂唇外缘分离,显露囊肿外壁并切开,扩大囊肿外壁裂口,使囊液向关节内形成引流,小心分离肩胛上神经血管束,松解肩胛上神经。合并SLAP损伤者以可吸收锚钉缝合固定后上盂唇。术后口服营养神经药物3个月。术前及术后随访采用美国肩与肘医师协会(American Shoulder Elbow Surgeons,ASES)评分和Constant-Murley评分评估肩关节功能。
术中囊肿切开后可见淡黄色液体流出,探查囊肿内壁与肩胛上神经、邻近血管,证实囊肿压迫是引起肩胛上神经卡压的原因。11例患者均获得随访,随访7~15个月,平均10个月。术前及末次随访时ASES评分分别为(46.5±3.7)分和(93.8±2.2)分,差异有统计学意义(t=3.359,P=0.000);术前ASES评分良5例、可4例、差2例,术后全部为优。术前及末次随访时Constant-Murley评分分别为(47.3±4.2)分和(94.0±1.8)分,差异有统计学意义(t=4.776,P=0.000);术前良6例、可5例,术后全部为优。所有患者术中均未发生臂丛牵拉或灌洗液外渗造成颈胸背筋膜腔水肿等并发症。随访期间无关节感染或其他并发症出现。术后6个月时肌电图未提示神经损伤,MRI未见囊肿复发。患者均重返伤前工作岗位,对治疗效果满意。
肩关节镜下经后关节囊切开入路行囊肿减压,同时松解肩胛上神经可以有效治疗冈盂切迹囊肿引起的肩胛上神经卡压综合征,术后短期无复发。
版权归中华医学会所有。
未经授权,不得转载、摘编本刊文章,不得使用本刊的版式设计。
除非特别声明,本刊刊出的所有文章不代表中华医学会和本刊编委会的观点。
肩胛上神经卡压综合征是指肩胛上神经在肩胛切迹或冈盂切迹处受到压迫而产生的一系列临床症状和体征。这种肩部疾病常常表现为后肩部疼痛和冈上肌与冈下肌萎缩。肌电图检查是肩胛上神经病变诊断的金标准,MR成像是评价肩袖肌肉萎缩及评估肩胛上神经卡压潜在原因的首选方式。肩胛上神经卡压综合征根据卡压部位可分为肩胛切迹卡压与冈盂切迹卡压,前者多因肩胛横韧带压迫导致,后者多由于冈盂切迹的滑膜囊肿所致(图1)。由于多表现为局部酸痛及冈下肌萎缩,患者自觉症状不明显,故容易漏诊[1,2,3]。


由冈盂切迹囊肿引起的肩胛上神经卡压综合征发病率低,文献报道较少,因此治疗方案也无统一共识。既有文献多为个案报道或是短篇论著,对评估其治疗方法的临床有效性意义不大。目前多数学者认为,术中应完整切除冈盂切迹囊肿,解除压迫,同时松解肩胛上神经,才能有效恢复神经功能,并防止其复发[4,5,6]。但冈盂切迹位置深,邻近肩胛上神经、血管,无论是开放或关节镜手术,囊肿切除时均易损伤神经和血管。对于此类手术的风险,目前文献均未涉及。我们通过临床观察认为,对于肩胛上神经卡压综合征的病因,囊肿压迫而非囊肿本身是引起神经损害的主要原因。因此,在肩关节镜下仅对囊肿进行关节内引流减压,即可解除对神经的压迫,从而最终治愈肩胛上神经卡压综合征。
本研究回顾性分析青岛大学附属医院骨科收治的肩胛冈盂切迹囊肿合并肩胛上神经卡压综合征患者,采用肩关节镜下后关节囊切开入路完成囊肿减压及松解肩胛上神经。术后评估MRI、肩关节超声、肌电图及美国肩肘协会(American Shoulder and Elbow Surgeons,ASES)评分[7]及Constant-Murley评分[8]。旨在探讨:①该术式对提高肩关节功能及缓解疼痛的效果;②术后囊肿复发率及神经功能恢复情况;③冈盂切迹囊肿的形成机制。
研究纳入标准:回顾性分析2010年1月至2017年1月青岛大学附属医院骨科门诊收治的肩胛冈盂切迹囊肿引起的肩胛上神经卡压综合征患者。排除标准:①仅影像学发现肩胛冈盂切迹囊肿存在,而无肩胛上神经受压的临床症状者;②合并肩袖肌腱撕裂者;③合并严重内科疾患,全身情况差,不能耐受手术或内科疾病控制不佳者;④依从性差,不能坚持随访者。
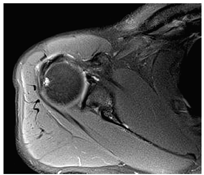
本研究共纳入11例,男7例,女4例;年龄29~56岁,平均(41.5±5.3)岁。体重指数15.60~32.73 kg/m2,平均(24.17±3.50)kg/m2。左侧3例,右侧8例。所有病例主要症状均为患侧肩后部疼痛不适。体格检查提示患侧冈下窝肌肉萎缩,肩关节后侧有固定压痛区,肩外旋肌力减弱。MRI均可见冈盂切迹处囊肿(图2),直径0.5~2.6 cm,平均(1.5±0.7)cm;其中3例合并上盂唇前后部(superior labrum anterior and posterior,SLAP)损伤,均为Snyder分型Ⅱ型。肌电图检查示肩胛上神经冈下肌支传导减慢,而冈上肌支传导正常。确诊依据肌电图检查结果。


手术由同一组医生完成。全身麻醉,侧卧位,术侧肩关节用牵引架进行牵引。控制性降压,保持收缩压在90 mmHg以下。采用水泵控制水压。从后侧、前侧入路观察盂肱关节,可见冈盂切迹囊肿及SLAP损伤。对合并SLAP损伤者,用一枚可吸收锚钉(Depuy Mitek,美国)缝合固定后上盂唇。
经Wilmington入路置入关节镜,穿过冈上肌肌腹。监视下用射频将后上方关节囊沿盂唇外缘逐层切开,显露囊肿外壁(图3A)。用刨刀切开囊肿外壁,扩大囊肿外壁裂口,使囊液可以向关节内形成引流(图3B,图3C)。取部分囊肿壁做病理学检查。将关节镜慢慢通过囊壁裂口插入囊肿腔,适当刨除囊内分隔,直至显露肩胛上神经血管束。用刨刀、探钩小心分离神经血管束的筋膜,此处神经与肩胛上血管贴合紧密,镜下观察到血管搏动即可,不要求完全松解神经外膜(图3D)。切开的关节囊不做缝合。缝合切口,无菌纱布包扎,以三角巾固定肩关节并悬吊于胸前。


术后口服甲钴胺3个月。合并SLAP损伤者使用三角巾悬吊制动6周,其余患者制动4周。术后6周逐渐开始肩关节主动功能锻炼,同时辅以理疗。6个月后允许体育锻炼。
于术后1、3、6、12个月常规行门诊随访。术后6个月复查MR或肩关节超声确定肩盂囊肿是否消失;术后6个月复查肌电图评估肩胛上神经的恢复情况,若双侧神经传导速度一致则认为神经功能已完全恢复。
术后6个月采用ASES和Constant-Murley评分行肩关节功能评估。ASES包括自我评估和临床医生检查评估两部分:自我评估采用视觉模拟评分(visual analogue scale,VAS),包括疼痛评分和不稳定评分;临床医生检查评估包括活动、肌力、运动范围、体征。肩关节ASES评分满分100分,分数越高肩关节功能越好;Constant-Murley评分包括疼痛、日常活动、运动范围及力量,满分100分,分数越高肩关节功能越好。两种评分系统的等级评定:90~100分为优、80~89分为良、70~79为可、<70分为差。
采用SPSS 14.0统计软件(SPSS,美国)进行统计学处理。手术前后肩关节ASES评分、Constant-Murley评分的比较采用配对设计资料t检验,检验水准α值取双侧0.05。
11例患者均顺利完成手术,手术时间均在1 h以内。术中采用控制性降压及水泵增压,无显性出血。所有患者均存在冈盂切迹囊肿,在关节镜监视下将后上关节囊沿盂唇外缘切开少许即可显露囊肿外壁,位置固定。囊肿切开后可见淡黄色液体流出,进一步探查囊肿内壁与肩胛上神经、血管邻近,证实囊肿压迫是引起肩胛上神经卡压的原因。
3例合并SLAP损伤者,术中均证实为SnyderⅡ型损伤。将探钩插入上盂唇裂口内可见淡黄色液体流出,说明裂口与囊肿腔相通。
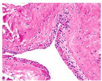
术后病理报告为致密纤维结缔组织玻璃样变,不规则增生,提示滑膜囊肿(图4)。术后患者均顺利苏醒,自觉疼痛症状轻,第2天佩带支具出院。


11例均获得随访,随访时间7~15个月,平均10个月。术前及末次随访时ASES评分为(46.5±3.7)分和(93.8±2.2)分,两者比较差异有统计学意义(t=3.359,P=0.000);术前ASES评分良5例、可4例、差2例,术后全部为优。术前及末次随访时VAS评分分别为(7.9±0.7)分和(1.5±0.7)分,两者比较差异有统计学意义(t=31.305,P=0.000)。
术前及末次随访时Constant-Murley评分分别为(47.3±4.2)分和(94.0±1.8)分,差异有统计学意义(t=4.776,P=0.000);术前良6例、可5例,术后全部为优。
所有患者术中均未发生臂丛牵拉或灌洗液外渗造成颈胸背筋膜腔水肿等并发症。随访期间无关节感染或其他并发症出现。术后6个月时肌电图未见神经损伤,MRI未见囊肿复发(图5)。所有患者均重返伤前工作岗位,对治疗结果满意。


肩胛上神经由臂丛发出后,首先穿过肩胛切迹并发出分支支配冈上肌、肩关节囊及喙锁关节等,其下支绕过盂唇后方冈盂切迹进入冈下窝发支支配冈下肌。两处切迹均可能发生卡压。肩胛切迹上方有短而厚的肩胛横韧带覆盖,肩胛上神经于韧带深面的切迹内穿过,而肩胛上血管则从韧带表面横过[9]。肩胛上神经于肩胛切迹处的卡压最早由Thomas[10]报告,由于肩胛上神经在肩胛切迹处位置相对固定,随着上肢的不断活动、肩胛骨的不断移位而使切迹处神经受到反复摩擦,导致炎性肿胀进而卡压,这是肩胛上神经在肩胛切迹原发性卡压的机制。临床上绝大多数肩胛上神经卡压发生于肩胛切迹。冈盂切迹是由肩胛冈和冈盂韧带围成的骨纤维管道,肩胛上神经由此通过,进入冈下窝,支配冈下肌。冈盂切迹处形成的囊肿压迫肩胛上神经是卡压的常见原因[11,12,13]。
冈盂切迹处形成囊肿的确切原因尚不十分清楚。有学者认为是盂唇损伤所致,因部分患者合并上盂唇或者后盂唇损伤,比较常见的是SLAP损伤,因此认为关节液自盂唇损伤裂口流向关节外形成了具有单向活瓣的滑膜囊肿[14,15]。有学者因没有发现囊肿与盂肱关节之间的交通及合并盂唇损伤,而认为囊肿来自于盂肱关节后侧关节囊的纤维[16,17]。还有作者认为这两种机制均可能发生[18]。本组有3例合并SLAPⅡ型损伤,囊肿很可能继发于SLAP损伤;而其余病例均未见盂肱关节异常,也未发现关节和囊肿之间的交通。因此我们认为冈盂切迹囊肿的发生与SLAP损伤密切相关,但并非所有病例均合并盂唇损伤。
对单纯无症状性冈盂切迹囊肿可考虑非手术治疗,采用痛点封闭及穿刺抽液,但复发率较高[19,20,21]。我们在临床工作中,对单纯囊肿仅嘱患者定期观察,未予特殊处理;对出现冈下肌萎缩或者肌电图显示神经损害者建议采用手术治疗,包括开放手术及关节镜手术。开放手术可将囊肿完整切除,但创伤较大,对合并SLAP损伤无法同时处理,随着关节镜手术技术的成熟现已逐渐摒弃[22,23]。全关节镜下的囊肿减压或者切除是目前首选术式,优势是创伤小、术后恢复快,可以同时处理合并的盂唇损伤。文献报道其手术效果满意[24]。
冈盂切迹囊肿关节镜手术的入路包括盂唇裂口入路和肩峰下入路。盂唇裂口入路仅适用于合并SLAP损伤的病例,刨刀经盂唇裂口进入囊肿内进行囊肿减压,一般需配合局部皮肤外挤压,有时能看到囊肿液流至关节内,从而达到减压目的。由于该入路受到盂唇组织的限制,操作空间小,很难观察到肩胛上神经,所以操作带有很大的盲目性。但有学者认为,通过修复上盂唇损伤封闭裂口及关闭活瓣效应后,多数囊肿可治愈[14]。肩峰下入路的关节镜和操作器械不进入盂肱关节内,而是进入肩峰下间隙。通过后侧或后外侧入路置入关节镜,通过前外侧入路置入刨刀,到达冈盂切迹处,沿冈上肌和冈下肌间隙进行仔细分离,找到囊肿,完整切除[25]。此入路不受关节囊的限制,所以操作空间大,更加有利于囊肿的暴露和切除,从而使减压充分,囊肿壁切除彻底,效果可靠,有利于减少复发。但此处肌肉及脂肪组织血运丰富,需严格止血,且术中使用刨刀进行囊肿分离和切除时要避免误伤肩胛上神经和血管。因此,此入路不适合初学者。
上述两种不同入路各有其优缺点。还有学者建议做后侧关节囊切开囊肿切除[15]。但此入路显露囊肿困难,由于受到关节囊的限制,操作空间仍然不充分;要获得更大的操作空间就必须以牺牲更多的关节囊作为代价,需将后侧关节囊切开、剥离范围大,严重影响关节功能;另外,术中损伤肩胛上血管的风险较大,因此较少被采用。但此入路对我们有所启发:肩胛上神经卡压因冈盂切迹囊肿所致,而此入路手术目的为解除压迫,而非完整切除囊肿;如果仅通过此入路找到囊肿外壁做囊肿开口,形成囊肿向关节腔的内引流,则可解除压迫,也能达到最终的治疗目的。
本组11例肩胛上神经卡压综合征患者通过后侧关节囊切开做冈盂切迹囊肿减压、内引流来松解神经,手术效果切确。手术操作应注意以下几点:①首先处理合并损伤,如SLAP损伤;②后侧关节囊仅需沿盂唇边缘切开少许,找到囊肿外壁即可,术后不缝合关节囊;③切开囊肿外壁后稍加扩大,形成裂口,起到关节内引流作用即可,关节镜通过裂口进入,监视下置入刨刀,清除囊肿分隔;④肩胛上神经与血管伴行,贴合紧密,形成神经血管束,镜下小心分离神经血管束的筋膜,直至观察到血管搏动即视为解除压迫,不必刻意松解神经外膜。
本研究为回顾性研究,没有匹配患者年龄、性别、侧别、发病时间等设置对照组,导致结果可信度下降。患者年龄跨度大,部分患者存在关节退变,在分析病因及手术疗效时可能存在偏倚。通过本研究我们发现大多数冈盂切迹囊肿并不是由于盂唇损伤导致,其具体发病原因值得进一步探究。为何部分冈盂切迹囊肿患者并无肩胛上神经卡压症状出现,囊肿大小与神经损伤程度是否存在相关性,这些问题还需要随机对照研究来证实。关节镜下行肩盂切迹囊肿裂口扩大,形成向关节腔内引流,即可达到减压神经的目的,手术方式被证明安全有效。但本组随访时间短且样本量小,其远期疗效及并发症还需进一步观察。





















