
探索儿童重症人博卡病毒下呼吸道感染的临床特点。
回顾性分析首都儿科研究所附属儿童医院重症医学科2016年9月1日至2017年3月31日人博卡病毒检测阳性住院患儿的临床资料。
共17例患儿纳入分析,男女比例为152,年龄4个月~4岁10个月,<2岁婴幼儿占82.4%(14/17例),秋冬季节多发。小儿危重评分68~88分,中位数82分,≤70分1例,70~80分7例,>80分9例。临床以肺部受累为主,表现为呼吸困难17例(100%)、发热14例(82.4%)、咳喘13例(76.5%)、肺部喘鸣音及湿啰音13例(76.5%)。胸部影像学可见斑片影7例(41.2%)、实变影6例(35.3%)。Ⅰ型呼吸衰竭11例(64.7%),Ⅱ型呼吸衰竭6例(35.3%)。氧合指数73.9~296.0 mmHg(1 mmHg=0.133 kPa),中位数176 mmHg,100~200 mmHg者7例(41.2%),<100 mmHg者2例(11.7%);所有患儿均需呼吸机辅助通气,其中无创呼吸机通气6例(35.3%),通气时间25~128 h,中位数65 h;有创呼吸机通气11例(64.7%),通气时间42~178 h,中位数70 h。肺外脏器受累轻。住院天数3~13 d。治愈好转100%。
儿童重症人博卡病毒下呼吸道感染多见于2岁以下婴幼儿,起病急,进展快,临床症状以发热、咳喘、呼吸困难为突出表现,易导致呼吸衰竭,但肺外脏器受累轻,预后良好。
版权归中华医学会所有。
未经授权,不得转载、摘编本刊文章,不得使用本刊的版式设计。
除非特别声明,本刊刊出的所有文章不代表中华医学会和本刊编委会的观点。
呼吸道感染是儿童最常见疾病,重症可导致患儿死亡,其中病毒是儿童呼吸道感染的首位病原体。人博卡病毒是2005年新发现的一种呼吸道病原,其后世界各地均报道过此病毒的流行及发病情况。研究显示人博卡病毒在呼吸道感染患儿中的检出率已达到第4位[1]。本研究对首都儿科研究所附属儿童医院重症医学科(PICU)2016年9月1日至2017年3月31日17例确诊人博卡病毒下呼吸道感染病例进行分析,以探索儿童重症人博卡病毒下呼吸道感染的临床特点。
统计首都儿科研究所附属儿童医院PICU 2016年9月1日至2017年3月31日的出院患儿病历资料,筛选痰人博卡病毒阳性患儿的临床资料共计17例。
常规无菌操作以负压无菌痰液收集器收集患儿下呼吸道分泌物1~2 mL,插管者经气管导管以负压无菌痰液收集器收集。所取分泌物中加入2 mL Hank′s液(含青、链霉素)后吹打混匀,3 000 r/min(离心半径14 cm)离心10 min,吸取上清液200 μL,应用核酸提取试剂盒QIAamp MinElute Virus Spin Kit(Qiagen GmbH,德国),以MS-2噬菌体作为内部控制,提取呼吸道标本中的总核酸(包括RNA及DNA)。所提取的总核酸物用Luminex公司的RVP fast试剂盒(Luminex Molecular Diagnostics Inc.,Toronto,Canada)进行18种呼吸道病毒的检测,包括甲型流感病毒(FluA)(可进一步进行H1、H3、H5分型)、乙型流感病毒(FluB)、呼吸道合胞病毒(RSV)A和RSVB、副流感病毒(PIV)1~4、人腺病毒(HAdV)、人偏肺病毒(HMPV),冠状病毒229E、NL63、OC43及HKU1、肠道/人鼻病毒(EV/HRV)及人博卡病毒。RVP fast试剂盒包括多重标记的PCR引物,对所提取的核酸进行PCR,所得到的PCR产物与荧光微珠阵列进行杂交反应后与携带报告集团的试剂共同孵育。反应板应用Luminex 200分析仪(Luminex Corporation,美国)测定平均荧光强度(MFI),得到的数据应用数据分析软件(Luminex Molecular Diagnostics Inc.,加拿大)进行分析。如某一病毒的MFI值超过阈值水平确定为该病毒阳性。患儿下呼吸道分泌物同时行痰细菌培养检测以明确有无细菌感染,取血行肺炎支原体、衣原体IgM及IgG抗体检测明确有无不典型病原体感染。
应用SPSS 22.0软件对数据进行分析,计量资料用中位数表示,计数资料用百分数表示。
17例人博卡病毒呼吸道感染患儿,占同期PICU呼吸道感染患者8.59%(17/198例);其中9-11月份10例(58.8%),12-2月份5例(29.4%),3月份2例(11.8%)。年龄4个月~4岁10月,中位数13个月,4~11个月7例(41.2%),1~2岁7例(41.2%),2岁以上3例(17.6%)。男15例,女2例。住院时间3~13 d,中位数7 d。治愈8例(47.1%),好转9例。小儿危重评分68~88分,中位数82分,≤70分1例,70~80分7例,>80分9例。
发热14例(82.4%),以弛张热为主,持续1~6 d;呼吸困难17例(100%),咳嗽16例(94.1%),喘息13例(76.5%),声嘶2例(11.8%);喘鸣音13例(76.5%),湿啰音14例(82.4%),呼吸音减低4例(23.5%)。
血常规:白细胞计数(3.73~16.6)×109/L,减低1例(5.9%),升高5例(29.4%);血红蛋白72~121 g/L,减低10例(58.8%);血小板(180~673)×109/L。余实验室指标见表1。

人博卡病毒感染患儿17例的实验室指标
Laboratory indexes of 17 children with human bocavirus infection
人博卡病毒感染患儿17例的实验室指标
Laboratory indexes of 17 children with human bocavirus infection
| 实验室指标 | 最高(低)值 | 异常例数(%) | |
|---|---|---|---|
| 生化指标 | |||
| 丙氨酸氨基转移酶(0~40 U/L) | 90.8 U/L | 升高1例(5.9) | |
| 天冬氨酸氨基转移酶(0~40 U/L) | 264.1 U/L | 升高1例(5.9) | |
| 乳酸脱氢酶(80~300 U/L) | 1 245 U/L | 升高8例(47.1) | |
| 羟丁酸脱氢酶(120~260 U/L) | 711 U/L | 升高9例(52.9) | |
| 肌酸激酶(50~220 U/L) | 400 U/L | 升高3例(17.6) | |
| 肌酸激酶同工酶(≤5.7 μg/L) | 8.5 μg/L | 升高2例(11.8) | |
| 血清淀粉酶(25~125 U/L) | 156 U/L | 升高1例(5.9) | |
| 清蛋白(35~55 g/L) | 31.6 g/L | 减低4例(23.5) | |
| 尿素(1.8~6.4 mmol/L) | 8.1 mmol/L | 升高1例(5.9) | |
| 出、凝血指标 | |||
| 凝血酶原时间(8.8~12.8 s) | 正常 | 0 | |
| 活化部分凝血活酶时间(24~37 s) | 正常 | 0 | |
| 纤维蛋白原(2~4 g/L) | 1.2 g/L | 减低3例(17.6) | |
| 纤维蛋白降解产物(<5 mg/L) | 7.6 mg/L | 升高1例(5.9) | |
| D-二聚体(<243 μg/L) | 721.0 μg/L | 升高6例(35.3) | |
| 细胞因子(共7例检测) | |||
| 白细胞介素2受体(223 000~710 000 U/L) | 4 031 000 U/L | 升高7例(100.0) | |
| 白细胞介素6(0~3.4 ng/L) | 36.5 ng/L | 升高5例(71.4) | |
| 白细胞介素8(0~62 ng/L) | 163.0 ng/L | 升高1例(14.3) | |
| 白细胞介素1β(<5 ng/L) | 正常 | 0 | |
| 肿瘤坏死因子α(0~8.1 ng/L) | 14.3 ng/L | 升高5例(71.4) | |
| 白细胞介素10(0~9.1 ng/L) | 394.0 ng/L | 升高3例(42.9) | |
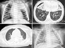
双肺受累8例(47.1%),单侧肺受累5例(29.4%);斑片影7例(41.2%),实变影6例(35.3%),双肺纹理粗重模糊4例(23.5%),胸腔积液1例(5.9%),见图1。


注:A:4个月男婴,胸片可见双肺模糊斑片影,左肺上叶大片实变影;B:2岁5个月男童,胸部CT可见双肺野散在片影,右中叶及左舌段见实变影,容积略缩小,内见支气管充气怔;C:6个月男婴,胸部CT可见双肺野背侧片影及肺段实变影;D:8个月女婴,胸片见双肺内渗出增加,右肺内带模糊斑片影
A: a 4 months male infant,chest X-ray showed both lungs had patchy shadows,and the upper lobe of the left lung had consolidation; B: a 2 years and 5 months old male child,chest CT showed both lungs had scattered shadows,and right middle lobe and left lingular segment had consolidation,whose volume slightly narrowed and air bronchogram was positive; C: a 6 months male infant,chest CT showed the dorsal segment of both lungs had patchy shadows and consolidations; D: a 8 months female infant,chest X-ray showed both lungs had exudation,and right lung had patchy shadows
以呼吸系统受累为主,Ⅰ型呼吸衰竭11例(64.7%),Ⅱ型呼吸衰竭6例(35.3%),Ⅲ度喉梗阻1例(5.9%),胸腔积液1例(5.9%),哮喘急性发作4例(23.6%)。氧合指数[动脉血氧分压/吸入氧体积分数,p(O2)/FiO2]:73.9~296.0 mmHg(1 mmHg=0.133 kPa),中位数176 mmHg,100~200 mmHg者7例(41.2%),<100 mmHg者2例(11.7%);患儿均需呼吸机辅助通气。其中无创呼吸机通气6例(35.3%),通气时间25~128 h,中位数65 h;有创呼吸机通气11例(64.7%),通气时间42~178 h,中位数70 h。有创呼吸机参数设置:保障小潮气量通气原则,FiO2 0.3~0.6,呼气末气道正压(PEEP) 4~12 cmH2O(1 cmH2O=0.098 kPa),吸气峰压(PIP) 15~41 cmH2O。
心肌损害2例(11.8%)。
轻度贫血6例(35.3%),中度贫血4例(23.5%)。
急性上消化道出血3例(17.6%)。
无明显受累。
尿素氮升高1例(5.9%)。
代谢性酸中毒4例(23.5%)。
其中4例合并其他病毒感染,分别为PIV Ⅳ、HRV、FluA H3N2和HMPV;2例合并肺炎支原体感染;痰细菌培养均为阴性,白细胞总数升高5例中C反应蛋白明显升高2例(>30 mg/L),临床考虑合并或继发细菌感染。
人博卡病毒虽然有学者怀疑其作为致病原的毒力,且人博卡病毒在动物模型及体外实验中致病机制尚未明确,但越来越多的研究[2,3]在严重急性呼吸道感染患儿童中检出了单一人博卡病毒,且有研究从病毒载量与疾病危重程度呈正相关的角度论证了人博卡病毒的致病性[4,5,6]。本研究8例合并其他病原体感染,其余9例未检测到其他病原体,支持人博卡病毒的致病性。
本研究结果显示,人博卡病毒呼吸道感染多发生于<2岁婴幼儿,占82.4%,与既往报道[7]相符。年龄越小,患病比率越高,这与年龄越小,免疫功能越低,病毒感染概率越大相符,但应注意的是人博卡病毒在1~3月龄患儿未检出,可能与此年龄段婴儿受来自母体的抗体保护有关[8]。男性患儿比例高,与既往报道[7]相符。
本研究结果显示,人博卡病毒呼吸道感染的高峰期为秋季,不同于其他常见呼吸道病毒高峰期为冬季的特点。有研究曾报道博卡病毒全年可以发病,冬春季高发[9],但韩国报道夏季高发[10],越南报道旱季高发[11],日本春季高发[12],国内报道长沙冬春季高发,苏州秋冬季高发,成都季节分布不明显[13],提示人博卡病毒的流行存在地域性和季节性差别,应根据本地流行病学资料进行分析。
本组患儿以咳嗽、呼吸困难为突出表现,其次为发热、喘息,肺部听诊以喘鸣音和湿啰音为主,呼吸音减低者均给予有创通气,提示呼吸音减低为重症患儿体征之一,应引起重视。患儿肺部影像学以斑片影和实变影为主,少见胸腔积液及气胸。
本研究中,4例患儿合并哮喘急性发作,且患儿出现喘息及喘鸣音的比例高,提示人博卡病毒与哮喘之间可能存在关联性。Allander等[14]的研究发现,急性喘息儿童鼻咽分泌物中人博卡病毒检出率高达19%。Vallet等[15]的研究发现,在166例哮喘急性发作的住院患儿中,人博卡病毒检出率达13%,明显高于哮喘稳定期患儿。邓昱等[16]的研究发现,哮喘持续状态患儿呼吸道分泌物中人博卡病毒检出率30%。Dina等[17]的研究提示,16例人博卡病毒阳性患儿中,28%的患儿存在喘息,12.5%诊断哮喘。均提示人博卡病毒感染与急性喘息具有密切相关性。一项研究发现10例在1岁内患人博卡病毒感染支气管炎的患儿随后发生了反复喘息,并且在5~7岁时均患有哮喘,近30%患儿需要住院治疗,患哮喘的危险程度高于RSV感染支气管炎患儿,其一秒用力呼气容积(FEV1)值亦低于后者[18]。人博卡病毒引起呼吸系统的病理改变尚不清楚,但有研究报道,人博卡病毒感染支气管后,在支气管上皮细胞胞核内大量增殖,产生局灶性细胞病变,并继发免疫炎症损伤,白细胞介素(IL)-2、IL-4、IL-6、IL-8、IL-1β、肿瘤坏死因子-α(TNF-α)、IL-10、IL-13、干扰素-γ(IFN-γ)等与喘息相关的细胞因子升高,细胞Th1/Th2失衡,Th2类细胞因子占优势,可能导致呼吸道慢性炎症、呼吸道高反应,日后发生反复喘息甚至哮喘[19]。本研究中,部分病例进行了细胞因子的检测,发现了IL-2R、IL-6、TNF-α、IL-10的升高,提示存在免疫炎症损伤,但是否发生慢性炎症改变引起呼吸道重塑应进行长期随诊观察。
人博卡病毒可引起上、下呼吸道感染,其中肺炎最常见。既往对重症人博卡病毒呼吸道感染病例仅有零散报道。Edner等[20]和Ursic等[21]曾报道重症人博卡病毒呼吸道感染患儿,以急性呼吸困难起病,二氧化碳分压(pCO2)高达82~147 mmHg,需要高呼吸机条件支持,PIP达55 cmH2O,合并严重气漏综合征,有创呼吸机通气9~10 d,其中1例同时需体外膜肺氧合(ECMO)治疗,最终均顺利脱机好转出院。Moesker等[2]对5年内收入PICU的重症急性呼吸道感染患儿进行了一项回顾性研究,共7例单一人博卡病毒感染病例,5例给予有创呼吸机通气,1例给予ECMO治疗,全部治愈好转。而本研究患儿均为收入PICU的住院患儿,均为重症病例,以下呼吸道感染为主,合并呼吸衰竭比例高达100%,其中以Ⅰ型呼吸衰竭为主,此类患儿多存在呼吸频率增快,呼吸窘迫,辅助呼吸肌做功增强,因此在增加呼吸功耗的同时,心率代偿性增快,加重了低氧和心肌氧耗,故此,积极呼吸机辅助通气、适当镇静减轻呼吸肌做功是非常重要的。人博卡病毒感染所致的呼吸衰竭,既可有严重肺实质病变导致换气功能障碍,又可有呼吸道阻力增高导致严重通气功能障碍。1例6个月患儿,以咳喘、发热起病,呼吸困难进行性加重,呼吸频率达60~80次/min,心率达190次/min,胸部影像学提示双肺大片实变影,肺内渗出增加,氧合指数仅73.9 mmHg,早期需要较高的呼吸机条件改善氧合。另1例1岁11个月患儿,既往有反复咳喘病史,此次感染博卡病毒后诱发喘息急性发作,呼气性呼吸困难明显,间断呼吸道痉挛,胸部影像学可见局部过度通气。此类患儿无创通气治疗通常疗效不佳,有创通气治疗时需要较高的压力用来克服明显增加的气道阻力,原则是采取低PEEP、慢频率、可允许高碳酸血症的通气策略,不急于降低pCO2,pH值7.25以上即可,充分镇静,耐心等待。
临床医师应高度重视人博卡病毒感染患儿,密切观察病情变化,及时调整治疗措施。本研究患儿虽然呼吸系统病情重,进展快,但恢复较快,机械通气时间短,合并其他脏器损伤不重,预后好,治愈8例,好转9例,无死亡病例,无呼吸机相关并发症发生。
综上所述,人博卡病毒是引起儿童重症下呼吸道感染的病原之一,感染者发生呼吸衰竭的比例高,机械通气比例高,在重症呼吸道感染患儿中应加强人博卡病毒的监测。





















