
版权归中华医学会所有。
未经授权,不得转载、摘编本刊文章,不得使用本刊的版式设计。
除非特别声明,本刊刊出的所有文章不代表中华医学会和本刊编委会的观点。
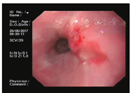
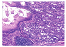
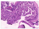
患者,男,58岁,因上腹部隐痛1年、加重1个月于2017年6月29日入院。患者于1年前无明显诱因出现上腹部隐痛不适,无呕血,间断黑便,1个月前症状明显加重,伴反酸、烧心。入院查体:无贫血貌,未触及颈部淋巴结肿大,上腹部压痛,无反跳痛及肌紧张。胃镜显示:食管距门齿39~41 cm处可见不规则溃疡性病变,环管腔近1/4,质脆易出血,见图1。内镜活检病理示:低分化腺癌,见图2。神经原特异性烯醇化酶(NSE)29.94 ng/ml,余肿瘤标志物无异常,胸部CT等检查未发现远处转移病灶。术前诊断:胃食管结合部腺癌;完善术前准备后全麻下行近端胃及部分食管切除、胃食管吻合术,术后病理回报:食管恶性肿瘤呈腺样及实性结构,局部见筛状结构,神经可见累及,脉管未见癌栓,侵及食管壁全层,未侵及胃食管交界处。获检淋巴结14枚,无淋巴结转移癌发生,pTNM分期:T3N0M0,ⅡA期。免疫组化:CK7(+),CK5/6 P63 P40(部分+),E-cad(+),CD117(小灶弱+),EGFR(+),P53(60%+),HPV16(-),EBER(-),Ki67(40%),CK20(-),Villin(局部+),TTF-1(+),NapsinA(-);形态学结合免疫标记结果符合食管腺样囊性癌,见图3,图4。术后恢复良好,顺利出院。术后患者拒绝行辅助化疗,转入放疗科行放射治疗(剂量50 Gy),术后3个月随访:患者状态较好,无进食困难,复查PET-CT未发现肿瘤复发转移灶。








腺样囊性癌(adenoid cystic carcinoma,ACC)是好发于涎腺组织、气管等部位的恶性肿瘤,多进展缓慢,易沿神经及脉管侵袭性生长。而发生于食管的腺样囊性癌(Esophageal adenoid cystic carcinoma,EACC)却极为少见,其约占总食管恶性肿瘤的0.04%~0.16%[1],首例食管腺样囊性癌由Gregg于1954年报道[2],此后陆续有相关病例报道,国内少有报道。EACC以老年男性多见,女性相对较少[3]。肿瘤多定位于食管中段,食管下段较少,因本病发病率极低,且缺乏系统分子水平的探究,具体发病机制及病因尚不清楚。据文献报道:头颈部腺样囊性癌的发生发展与MYB-NFIB融合基因、survivin基因等密切相关,但在EACC中是否存在类似关联尚待确证[4,5]。ACC主要是由腺上皮细胞及肌上皮细胞等组成,腺上皮及肌上皮细胞可分别形成真腺腔和假腺腔样结构,依据组织学特征可分为筛状型、管状型和实质型三种类型,以筛状型最为多见,而其恶性程度的高低与实性结构所占比例呈正相关。在同一瘤体中可存在多种组织学表型,并与基底样鳞状细胞癌(BSCC)、黏液表皮样癌、小细胞癌等肿瘤组织学具有较大相似性,不易区分。食管腺样囊腺癌具有多种上皮成分因而具有较为特殊的免疫表型,如内层腺上皮可表达CK7、CK5/6、CD117,而外层肌上皮可表达P63和平滑肌肌动蛋白(SMA)[6],联合检测这些免疫表型可辅助与组织学形态相似的肿瘤相鉴别。内镜活检常因留取样本组织较少,难以反映肿瘤本身整体性质,术前常误诊为鳞癌等其他肿瘤,该患者术前结合肿瘤位置及病理诊断为胃食管结合部腺癌,遂给予手术切除。术后病理支持食管腺样囊性癌诊断。头颈部腺样囊性癌常具有侵犯神经并沿其浸润性生长的特性,然而在食管腺样囊性癌中嗜神经侵袭的现象甚为少见,是由于其所处位置的神经分布与头颈部ACC不同,还是EACC具有不同的肿瘤特性所致,尚不得而知。但神经浸润目前常作为该病预后不良的标志[7],基于上述特征,提示该患者术后肿瘤易出现复发转移,预后欠佳。据文献报道:食管腺样囊性癌的平均总生存期约为25个月,病理学特征较差或伴淋巴结转移、远处转移者生存期往往更短[8]。由于EACC较罕见,目前尚无标准的治疗方案,手术根治性切除是其首选的治疗方式,术后辅助放化疗可提高肿瘤局部控制率,因此预防远处转移,也十分必要。而对于晚期不能手术的患者原则上是尽可能延缓肿瘤进展,改善患者生活质量。分子靶向治疗在腺样囊性癌的治疗中也逐渐崭露头角。De Dosso等[9]的研究报道指出:EGFR表达阳性且存在远处转移的食管腺样囊性癌患者应用西妥昔单抗可延缓肿瘤进展,改善患者预后。但本病更完善的治疗策略需进一步探索。
综上所述,食管腺样囊性癌是消化道相对罕见的肿瘤,容易出现误诊,精确的病理学检查对诊断至关重要,早期诊断有助于对患者病情的评估和治疗方式的选择。





















