
版权归中华医学会所有。
未经授权,不得转载、摘编本刊文章,不得使用本刊的版式设计。
除非特别声明,本刊刊出的所有文章不代表中华医学会和本刊编委会的观点。
羊水是充满于羊膜腔内的液体,羊水的多少及性质与胎儿的预后密切相关。在产前超声检查中,羊水一般呈无回声,但在孕晚期临产前常可发现羊水回声增强。目前,由于对羊水回声增强与羊水浑浊、胎粪污染的关系,有不同的观点和看法,对于产前超声发现的羊水回声增强的临床处理混乱,可造成过早干预或人为提前终止妊娠,使许多本可正常发育至足月的胎儿早产。本文就羊水回声增强的意义及处理进行讲座。
产前超声检查时,羊膜腔内的羊水一般表现为均匀一致的无回声,羊水内出现高回声或强回声点主要发生在孕晚期,孕早期和孕中期也偶尔出现。羊水回声增强的产前超声检查主要有以下3种表现。
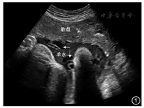
表现为羊水内充满致密的点状强回声,呈云雾状,见图1。常见于孕晚期,多为孕36周后。羊水中内容物可为胎脂或胎粪,文献报道,60%~95%的孕晚期羊水回声增强为胎脂所致;在回声增强的羊水的衬托下,脐带内的无回声可清晰显示[1]。


胎脂是1种复杂的脂质,类似于角质层,来源于脱落的上皮细胞及皮脂腺分泌物,为人类所特有。胎脂位于胎儿皮肤表面及羊水之间,对胎儿及新生儿起到多重防御保护作用。胎儿出生前,片状漂浮的胎脂常在孕36周后在羊水中发现[2]。羊水中胎脂的出现依赖于胎儿的中枢神经系统成熟程度,因此,羊水中出现胎脂是胎儿成熟的很好指标[3]。胎儿出生时,胎脂中的水分含量约为80%。出生后,胎脂可同时起到清洁、保湿、抗感染和抗氧化的作用,并有利于酸性外膜的形成和正常菌群的定植[4]。
胎粪主要来源于胎儿肠道的分泌物、脱落的细胞和吞咽的羊水。国外文献报道,在孕13周左右即可检测出小肠中的胎粪,随着胎粪不断累积,至孕18周可于胎儿结肠内观察到胎粪,而孕21周后则可显示胎儿直肠积粪[5]。胎儿排便被认为是1种常规的正常生理活动,有学者认为,胎儿排便最早在孕12周就可出现,直至胎儿出生[6]。胎儿排便的频率并不固定,在孕28~33周最频繁。肛门括约肌在胎儿排便中起到重要作用,而外括约肌的松弛与否与胎动相关。出生前,胎动减少,胎儿排便很难观察到,而且排便量减少。部分研究认为,胎儿缺氧时可出现排便增多及吞咽减少,从而造成羊水胎粪污染[7];还有一些研究认为,缺氧与羊水内的胎粪均可引起羊膜上皮的破坏和血管的损伤,出现羊水清除功能障碍,导致宫内环境恶化,最终造成羊水胎粪污染[8]。
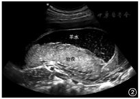
羊水内可见多发的颗粒样或小片状高回声,可随胎儿的运动或外力挤压而缓慢移动,呈"飘雪样",见图2。孕早期或孕中期发现胎儿露脑畸形、无脑畸形、羊膜带综合征等严重胎儿畸形时,可出现这种类型的强回声,多为破碎的胎脑组织、其他组织或出血漂浮于羊水中所致,出现所谓的"牛奶样羊水"[9,10];尤其是在孕妇侧动体位或胎动时更为明显。孕妇有阴道流血时,临床上也可观察到这种羊水回声增强,可能与合并羊膜腔内出血有关。羊膜腔内出血可为行绒毛穿刺取样术、羊膜腔穿刺术、经皮脐血穿刺术、宫内输血的并发症,是早产或死胎的高风险因素[11,12]。此外,当出现绒毛膜下出血及胎盘早剥时,也可出现羊膜腔内出血[12]。国外有病例报道,胎儿消化道出血也可出现羊水回声增强的超声表现[13,14,15]。


羊水内淤泥样沉积物(sludge)是指羊膜腔内的致密团状淤泥样、稍高回声沉积物,多近子宫颈内口或位于开放的子宫颈管内,可随孕妇体位改变而移动,见图3。Romero等[16]对羊水内淤泥样沉积物进行研究,抽出类"脓液"的物质,革兰染色显示其成分为上皮细胞、革兰阳性球菌及嗜中性粒细胞。淤泥样沉积物的出现与羊膜腔内感染有关。在无临床症状的孕妇中,羊水内淤泥样沉积物是出现足月前胎膜早破、自发性早产、羊膜腔微生物侵袭及组织学绒毛膜羊膜炎的独立风险因素[16,17,18]。除此之外,有学者持续观察胎儿肛门,可观察到胎儿排便,胎儿刚排出的胎粪可在羊水内形成淤泥样沉积物,一般呈不规则的稍高回声团,在胎儿肛门附近可观察到[6]。


声阻抗是超声诊断中最基本的物理量,为介质密度和声速的乘积,声像图中各种回声的差异主要由声阻抗的不同而形成的。羊水回声增强,是由羊水与内容物的声阻抗不同而造成的,声束经过正常羊水呈无超声波反射,因此声像图上表现为无回声,但当声束遇到羊水内容物(胎脂、胎粪、出血等)时,因声阻抗的不同,产生超声波反射,声像图上表现为点状、云雾状、团状回声,从而表现为羊水回声增强。
国外学者早在1978年就开始研究孕晚期羊水回声增强,并发现其与胎脂漂浮于羊水中有关[2]。1983年,Khaleghian[12]报道了1例胎粪引起羊水回声增强的病例,并对羊水中胎粪的超声表现进行了研究;该学者在250 ml的羊水中加入了10 ml的新鲜胎粪,并用频率为5 MHz的超声探头对其进行扫查,可观察到羊水因胎粪污染而回声增强。1984年,Benacerraf等[19]也报告了2例产前超声表现为羊水回声增高的病例,并证实其内容物为胎粪。此时,学者们对羊水回声增强是否代表了胎粪污染这一说法将信将疑。
随着对羊水回声增强的研究增多,不同的结果也随之出现。多个学者报道了胎脂导致羊水回声增强的病例,并对导致羊水回声增强的内容物进行探讨,认为除了胎粪,胎脂也可使羊水回声增强[20,21,22]。Brown等[23]对86例羊水回声增强病例中的19例行羊膜腔穿刺术,结果发现,其中18例的内容物为胎脂,仅有1例为胎粪。Petrikovsky等[24]在633例双胎中发现,19例的1个羊膜囊腔内羊水回声正常,另1个羊膜囊腔内羊水回声增强,其发生率为4%;对这19例双胎的羊水进行临床评估,发现羊水回声增强的双胎之一,6例(32%)的羊水清亮,12例(63%)为胎脂,1例(5%)为胎粪;而羊水回声正常的双胎之一,有9例(47%)羊水清亮,6例(32%)为胎脂,4例(21%)为胎粪。结果表明,导致羊水回声增强的内容物中胎脂最为常见,且羊水回声正常胎儿较羊水回声增强胎儿,发现为胎粪者的比例更高,所以该学者认为,超声发现羊水回声增强无法诊断为胎粪污染。Müngen等[25]对950例孕37周后的单胎胎儿,进行羊水回声增高与妊娠结局相关性的研究。羊水回声增强者66例,其中无胎粪污染59例,胎粪污染7例(10.6%);羊水回声正常者884例,其中85例(9.6%)有胎粪污染。该研究的结果表明,胎粪污染在羊水回声正常和回声增强者中的比例相近,因此,超声是否发现羊水回声增强与羊水胎粪污染无相关性,且该学者提出超声发现羊水回声增强与不良妊娠结局无相关性,因此不应以此超声发现而改变常规的产前管理。近年来,多项研究表明,胎脂为孕晚期羊水回声增强最常见的原因,不能因为发现羊水回声增强而提早终止妊娠[26]。
虽然最常见于孕晚期,但羊水回声增强在孕早、中期也可出现,且因其内容物的不同,临床意义也并不相同。孕早期如出现羊水回声增强,应仔细观察胎儿颅脑结构,排除无脑畸形、露脑畸形、羊膜带综合征等严重胎儿畸形,并观察是否存在绒毛膜下出血及是否近期实施过绒毛穿刺取样术等。孕中期超声检查发现的羊水回声增强,最常见的原因为羊膜腔内出血。该出血可以是行羊膜腔穿刺术、经皮脐血穿刺术或宫内输血的并发症,也可为绒毛膜下出血或胎盘早剥时表现出的血性羊水[12]。国外有多篇病例报道,发现胎儿可因食管炎或胃肠炎而出现消化道出血,从而出现羊水回声增强,多在孕晚期出现,此时超声详细扫查胎儿腹腔,多可观察到肠管扩张等消化道声像图改变[13,14,15]。
除羊水整体的回声改变,羊膜腔内的致密团状稍高回声沉积物也被归类于羊水回声增强。2005年,Espinoza等[18]首先详细地对羊水内致密团状稍高回声沉积物进行了阐述,发现早产且胎膜完整的病例中淤泥样沉积物的发生率为22.6%,明显高于正常妊娠的发生率(1.0%),且为微生物侵入羊膜腔、组织学绒毛膜羊膜炎和早产的危险因素。2006年,Bujold等[27]对羊膜腔内弱回声沉积物和致密回声沉积物进行对比研究,发现后者出现早产、检查后14 d内分娩、组织学检查确诊绒毛膜羊膜炎者的比例均高于前者,因此,该学者认为出现淤泥样沉积物后胎儿于孕34周前早产及检查后14 d内分娩的风险增加。Romero等[16]和Kusanovic等[17]指出,羊水内淤泥样沉积物是正在发生羊膜腔微生物侵袭和炎症的信号,且也是出现足月前胎膜早破、自发性早产、羊膜腔微生物侵袭及组织学检查确诊绒毛膜羊膜炎的独立风险因素,并研究了淤泥样沉积物为脓液样的物质,革兰染色可见上皮细胞、革兰阳性球菌及嗜中性粒细胞。2009年,Tskitishvili等[28]在2例绒毛膜下血肿胎儿的羊水中发现淤泥样沉积物,均临近子宫颈内口,其中1例发现羊膜腔内感染的征象,并指出产前存在淤泥样沉积物的新生儿合并其他疾病而进入新生儿ICU治疗者的比例,较无淤泥样沉积物的新生儿高。2012年,Nakayama等[29]报道了1例孕28周早产且伴发新生儿严重的脓毒血症和复发性气胸的病例,产前超声检查发现一不断增大的淤泥样沉积物位于子宫颈管内,该作者认为进行性增大的淤泥样沉积物预示着胎儿预后不良。
羊水浑浊并不是超声诊断,而是临床诊断,判别羊水浑浊的标准是在破膜时观察羊水的颜色,正常羊水为无色澄清液体;Ⅰ度污染的羊水呈淡绿或淡黄色,性状稀薄,提示胎儿有轻度缺氧,胎儿代偿机制正常;Ⅱ度污染的羊水呈深绿色,性状较稠,提示胎儿有急性缺氧,胎儿代偿机制尚正常;Ⅲ度污染的羊水呈黄棕色,性状黏稠,提示胎儿严重缺氧,胎儿失代偿。目前临床上也常靠刺破胎膜后,肉眼观察羊水颜色,或临产及宫口开大2 cm以上用羊膜镜观察,而无法在临产前或胎膜破裂前判断羊水性状。
而孕晚期产前超声观察到的羊水回声增强,如上所述,主要为胎脂所致,虽然胎粪也有可能出现羊水回声增强,但在超声图像上无法鉴别。且多数研究发现,胎儿的羊水回声增强与否,其最终胎粪污染的发生率并无差异,与妊娠结局也无关。因此,片面地认为羊水回声增强等同于胎粪污染所致的羊水浑浊,据此进行临床干预提前分娩,明显缺乏循证医学证据的支持。
超声检查无法鉴别胎脂或胎粪所致的羊水回声增强,两者所致的羊水回声增强在声像图上无明显差异,故产前超声无法诊断胎粪污染所致的羊水浑浊,只能通过羊膜腔穿刺术或临产时的羊膜镜检查诊断羊水浑浊。超声检查发现羊水回声增强时,不建议在超声诊断报告中提示或诊断羊水浑浊,产前超声报告中描述的羊水透声性的好坏,不等同于羊水清亮与否,透声与清亮是完全不同的两个概念,不能混为一谈。在孕晚期、特别是临产前,超声图像表现为羊水回声增强或透声性差的现象非常常见,不应人为干预提前终止妊娠,造成过度处理。
临床上,对羊水回声增强的理解,主要是担心胎儿是否存在宫内缺氧。目前,评价胎儿宫内缺氧的产前超声检查方法很多,包括胎儿的生物物理评分、多普勒超声评估胎儿脐动脉、静脉导管、大脑中动脉血流频谱等;对临床处理有指导意义的主要有脐动脉和静脉导管多普勒血流频谱。当胎儿出现宫内缺氧时,首先导致脐动脉血流阻力改变,然后才因脐动脉血流阻力的显著增高而导致胎儿心功能的改变,从而产生静脉导管血流的改变;反映在多普勒超声上则表现为波形异常,如脐动脉舒张末期血流消失或反向,静脉导管多普勒频谱的a波消失或反向,这些都是强烈提示临床干预的有效指标[3]。
综上所述,出现羊水回声增强的孕周、超声表现及内容物不同,代表的临床意义也不相同。(1)孕早、中期的羊水回声增强最常见于羊膜腔内出血,应注意有创产前诊断史,并重点观察绒毛膜、胎盘及胎儿结构。(2)于子宫颈内口处发现淤泥样沉积物,则应警惕微生物侵袭羊膜腔、组织学确诊的绒毛膜羊膜炎及早产的可能。(3)孕晚期羊水内云雾状回声,代表胎脂增多,是胎儿成熟的表现。(4)羊水回声增强与羊水回声不增强胎儿,两者的临床结局无差异。(5)超声检查发现羊水回声增强不是胎儿宫内缺氧的指征,也不是指导临床进行干预的指标。





















