
脆性X相关震颤/共济失调综合征(fragile X-associated tremor/ataxia syndrome,FXTAS)是一种晚发型神经系统退行性病变,由X染色体智能低下1型(fragile X mental retardation 1,FMR1)基因的前突变引起。目前国内尚无病例报道。我院收治了1例67岁男性,临床表现有震颤、共济失调步态,影像学有双侧小脑中脚对称性异常信号,经基因检测证实X染色体FMR1区的CGG重复次数为101次,处于前突变范围,确诊为FXTAS,现进行临床报道。
版权归中华医学会所有。
未经授权,不得转载、摘编本刊文章,不得使用本刊的版式设计。
除非特别声明,本刊刊出的所有文章不代表中华医学会和本刊编委会的观点。
脆性X相关震颤/共济失调综合征(fragile X-associated tremor/ataxia syndrome,FXTAS)是一种晚发型神经系统退行性疾病,由X染色体智能低下1型(fragile X mental retardation 1,FMR1)基因的前突变(premutation)引起,临床主要表现为意向性震颤、小脑性共济失调、帕金森症候群、认知功能减退、周围神经病及自主神经功能障碍[1]。影像学上该病以颅脑MRI的T2像出现小脑中脚对称性T2高信号为特征性表现[2]。该病临床较少见,且极易误诊,目前国内尚无典型病例报道。现将我院收治的1例经基因检测确诊为FXTAS的患者报道如下。
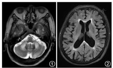
患者男性,67岁,农民,因"双下肢不自主抖动8年,加重伴走路不稳1年半"于2018年2月6日入院。患者8年前出现双下肢不自主抖动,仅在站立时出现,坐位或平躺时消失,症状较轻,不影响日常生活。1年半前患者感双下肢抖动较前加重,伴走路不稳、东倒西歪,不能走直线,上下楼梯需扶物,症状逐渐加重;8个月前出现双上肢不自主抖动,表现为拿筷、端碗时明显晃动。于当地医院诊断为"帕金森病",服用多巴丝肼片0.125 g,每日3次,均在餐前1小时服用。服药2个月左右,患者肢体抖动及走路不稳症状改善不明显,为明确诊断转来我院。患者自发病以来,无发热,无精神行为异常,无记忆力减退,无头晕,无视物障碍,无吞咽困难,无肢体麻木,无意识障碍,饮食睡眠正常,无快速眼球运动睡眠期行为障碍现象,近2年尿频、尿急,夜尿4~5次,大便正常,体重未见明显变化。家族史:患者父亲75岁时因胆道系统疾病去世,母亲70岁去世,具体原因不详,生前均无类似表现;患者有姐姐及妹妹各1人,均无患者类似表现。患者育有2女,大女儿及其子体健;二女儿体健,其子被诊断为"自闭症、多动症"。入院时体检:意识清楚,语言流利,正确对答,眼球各方向活动自如,无眼震及复视,双侧鼻唇沟对称,伸舌居中,四肢肌力均Ⅴ级,肌张力正常,深浅感觉检查未见明显异常,双侧轮替运动灵活,双侧指鼻试验、跟膝胫试验欠稳准,指鼻时可见意向性震颤,左上肢静止性震颤,双下肢直立性震颤,闭目难立征阳性,宽基底步态,四肢腱反射(++),双侧病理征未引出,脑膜刺激征阴性。辅助检查:血常规、肝肾功能、电解质、同型半胱氨酸、血脂分析、肝炎系列、梅毒、HIV化验未见明显异常。腰椎穿刺颅内压110 mmH2O(1 mmH2O=0.009 8 kPa),脑脊液无色透明,白细胞计数为0,脑脊液蛋白0.66 g/L(正常值0~0.45 g/L),葡萄糖及氯化物正常,细菌涂片(-)。肌电图神经传导及针极肌电图均未见明显异常。MMSE:28分(小学文化)。卧立位血压:站立1、3、5 min时与卧位时相比收缩压差值均<20 mmHg(1 mmHg=0.133 kPa),舒张压差值均<10 mmHg。泌尿系超声:前列腺结石,残余尿<10 ml。颅脑MRI:双侧桥臂、双侧大脑半球白质对称分布的异常信号(图1,图2)。脆性X染色体基因检测:通过PCR扩增结合微流控毛细管电泳技术,本患者FMR1基因5′UTR区的CGG重复次数为101次(正常或临界重复次数<45次,图3,图4),重复次数在前突变范围内。诊断:"脆性X相关震颤/共济失调综合征"。给予氯硝西泮0.5 mg,每日1次治疗,1周后加量至0.5 mg,每日2次。治疗1个月后,临床症状改善不明显。






FXTAS是由FMR1基因5′端非翻译区的CGG重复序列异常扩增所致。正常人群CGG重复次数为6~54次,而FXTAS患者CGG重复次数通常为55~200次,又被称为前突变;当重复次数超过200次时,则被称为基因全突变。与该基因突变相关的另外两种疾病为脆性X综合征和原发性卵巢功能不全,前者为基因全突变,多为儿童起病,主要表现为智能发育迟滞、自闭症及癫痫,许多患儿的外祖父60岁左右出现震颤及共济失调的症状;后者为前突变,该类女性通常40岁之前闭经,50岁以后发生FXTAS的概率为8%~16%[3,4,5]。
FXTAS多在55岁以后发病,男性多见,病程逐渐进展,以意向性震颤、小脑性共济失调步态、帕金森症候群、认知功能减退、周围神经病及自主神经功能障碍为主要临床表现。通常意向性震颤最早出现且进展缓慢,可见于80%的患者,以手部震颤最明显,头部震颤也较常见。50%的患者可见小脑性共济失调步态,表现为站立不稳、步基增宽,一般晚于震颤出现;国外报道,患者多在病程9年左右时需依靠助行器行走,病程16年左右不能下床[6]。帕金森症候群见于30%的患者,临床症状较帕金森病轻,行动迟缓、身体僵硬更常见[2]。周围神经病变特点为长度依赖、感觉运动神经均受累、轴索损害为著。自主神经功能障碍表现为直立性低血压、性功能减退及尿频等。认知功能损害主要表现为执行功能减退。除此之外,还可能合并焦虑、抑郁、睡眠障碍、头痛、甲状腺功能异常、不宁腿综合征等症状[7]。颅脑MRI双侧小脑中脚对称性T2高信号为本病特征性的影像表现,可见于60%的男性患者及13%的女性患者[6]。皮质下白质病变也较常见,部分患者FLAIR序列可见胼胝体压部高信号[8]。治疗方面目前尚无特效药物可延缓或阻止此病的进展,临床上仅能对症治疗,如氯硝西泮、扑痫酮、阿罗洛尔等可减轻震颤,左旋多巴可改善帕金森样症状,平衡康复训练对步态不稳有效。另外,脑深部刺激也可减轻震颤,但可能加重共济失调症状[2,9]。
本例患者59岁起病,慢性进展病程,临床上有意向性震颤、小脑性共济失调及静止性震颤等表现,且颅脑MRI有小脑中脚对称性T2高信号征,临床及影像学均符合FXTAS诊断,进一步基因检测证实FMR1基因处于前突变范围,FXTAS诊断明确。因患者母亲已故,不能通过病史或基因检测进一步验证患者基因突变是否来源于其母亲;患者外孙"自闭症"亦提示脆性X综合征可能,但因多种原因未行基因检查。本患者以直立性震颤起病,且合并多种形式的震颤,进展缓慢,疾病早期很难根据震颤情况诊断本病,临床上需要与帕金森病、原发性直立性震颤、特发性震颤、多系统萎缩、进行性核上性麻痹等疾病鉴别。意向性震颤和小脑性共济失调为本病突出的临床表现,当同时存在时,应高度怀疑本病。
总之,FXTAS发病率较低,多数临床医师对其认识不足,极易误诊。临床工作中遇到50岁以上男性,震颤合并小脑性共济失调,且颅脑MRI有小脑中脚对称性T2高信号表现时应考虑到本病,同时提高检测FMR1基因的意识。
无
None declared





















