
版权归中华医学会所有。
未经授权,不得转载、摘编本刊文章,不得使用本刊的版式设计。
除非特别声明,本刊刊出的所有文章不代表中华医学会和本刊编委会的观点。
多发性内生软骨瘤病病变位于一侧或两侧肢体,常表现为不对称分布[1],临床上少见,儿童长骨多发性对称性内生软骨瘤病更为罕见,至今国内外尚未见报道,遵义医学院附属医院收治该患儿1例。现报告如下。
患儿,男,10岁,因"左膝关节疼痛2个月"入院,2个月前患儿无明显诱因出现左膝关节疼痛,曾就诊于外院,考虑左膝关节关节结核可能,行针灸治疗,疼痛稍好转,后家长为进一步诊治来遵义医学院附属医院。入院查体:发育正常,营养良好,生命体征平稳,左膝关节无红肿,稍压痛,屈曲背伸活动不受限,双下肢等长,四肢无畸形,X线片提示心肺未见异常,双侧肱骨上段干骺端及双侧股骨下段干骺端、胫腓骨上段干骺端见多发骨性突起,考虑多发骨软骨瘤(图1)。外院查红细胞沉降率70 mm/1 h,抗链球菌溶血素"O"(+)。初步诊断:全身多发骨病变。


注:A:胸部正位片示双侧肱骨上段干骺端多发骨性突起;B:双膝关节正位片示双侧股骨下段干骺端、胫腓骨上段干骺端见骨质破坏,多发骨性突起,关节间隙未见狭窄;C:右膝关节侧位片示右侧股骨下段干骺端、胫腓骨上段干骺端见骨质破坏,多发骨性突起;D:左膝关节侧位片示左侧股骨下段干骺端、胫腓骨上段干骺端见骨质破坏,多发骨性突起 A:the chest X-ray showed that bilateral metaphysis of proximal humerus were multiple osseous protuberances;B:the bilateral knee joint X-ray showed that bilateral metaphysis of distal femur,proximal tibia and proximal fibula were bone destruction and multiple osseous protuberances,but there was no abnormality in the joint space;C:the right knee joint X-ray showed that right metaphysis of distal femur,proximal tibia and proximal fibula were bone destruction and multiple osseous protuberances;D:the left knee joint X-ray showed that left metaphysis of distal femur,proximal tibia and proximal fibula were bone destruction and multiple osseous protuberances
入院后行双膝关节CT检查,结果提示双侧股骨下段干骺端、胫腓骨上段干骺端见多发点、条形高密度影,边缘多发骨性突起,不规则骨质破坏区,两侧髌骨、股骨远端及胫腓骨近端骨骺边缘少许不规则骨质破坏、骨质增生硬化,双膝关节组成骨对应关系未见异常,关节间隙未见狭窄,周围软组织未见肿胀,考虑代谢性疾病、多发骨纤维结构不良、血液系统疾病、类风湿等良性病变(图2)。


注:A:双侧股骨下端干骺端见多发点、条形高密度影,边缘多发骨性突起,不规则骨质破坏区,两侧髌骨及股骨远端骨骺边缘少许不规则骨质破坏、骨质增生硬化;B:双侧胫腓骨上段干骺端见多发点、条形高密度影,边缘多发骨性突起,及不规则骨质破坏区,双侧胫腓骨近端骨骺边缘少许不规则骨质破坏、骨质增生硬化 A:bilateral metaphysis of distal femur showed multiple point or striped high density shadow,multiple osseous protuberances at the edge and irregular bone destruction area.Both sides of the patella and the edge of the epiphysis of the distal femur showed a few irregular fracture damage,hyperosteogeny and osseosclerosis;B:bilateral metaphysis of proximal tibia and fibula showed multiple point or striped high density shadow,multiple osseous protuberances at the edge and irregular bone destruction area.Both sides of the edge of the epiphysis of proximal tibia and fibula showed a few irregular fracture damage,hyperosteogeny and osseosclerosis
行发射型计算机断层扫描(ECT)检查,静脉注射显像剂99m锝-亚甲基二膦酸盐注射液(99mTcO4-MDP),剂量为20.0 mCi,3 h后行前、后位全身骨骼平面显像。结果显示双侧股骨下端、胫腓骨上端在血流、血池相放射性分布对称性增加,延迟相及全身骨显像见双侧肱骨头、双侧股骨下端及胫腓骨上端等干骺端对称性放射性浓聚,结合病史考虑神经母细胞瘤转移性骨肿瘤病变可能(图3)。行腹部超声提示未见明显异常。
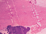
左侧股骨远端病灶活检术:术中见左侧股骨远端病灶处骨膜与骨皮质黏连,骨皮质变薄、表面粗糙,骨腔内病灶组织似玻璃软骨样组织。病理诊断:(左股骨远端)软骨瘤(图4)。出院诊断:双侧肱骨头、双侧髌骨、双侧股骨下端干骺端、双侧胫腓骨上端干骺端多发性软骨瘤。
儿童多发性内生软骨瘤病多发生于10岁以下儿童,男多于女,是一种少见的良性肿瘤[2],发病机制尚不清楚,PTHR1、IDH1、IDH2基因突变可能与发病有关[3],也可能与遗传有关[4]。该病发生在一侧或双侧肢体的四肢骨骼,多数呈不对称性分布,偶有发生于胸骨、肋骨、喉软骨等[5,6]。发病早期无特殊不适,患儿就诊时常表现为无痛性包块,严重者出现骨骼畸形,可能是骨骼在发育过程中,骨骺软骨细胞的发生代替了正常骨的钙化,或软骨内骨紊乱,从而形成骨内软骨斑块[7],进而向骨干发展,影响骨骼发育,导致畸形。本例患儿仅以局部疼痛就诊,未扪及包块,无四肢骨骼畸形,病变特点呈对称性,极为罕见。




诊断该病首选X线片,典型特点为骨干呈囊状膨胀或干骺端膨胀增宽,内有多发小囊状及柱状低密度区,其内可见斑点状、条索状或不规则钙化[8],若诊断困难,可进一步行CT检查,更能清楚显示瘤体内钙化。但病变初期影像学检查无特异性,易误诊。典型病理特点为瘤体内软骨细胞分隔成小叶状,细胞量较少,软骨细胞排列整齐,并见大量软骨基质[9]。本例患儿行X线片、CT、ECT检查均未提示内生性软骨瘤可能,影像学检查缺乏特异性,且该患儿仅有局部疼痛的临床表现及病变呈对称性分布,易误诊,故初步考虑内科疾病或恶性肿瘤骨转移可能,后行病灶活检病理诊断软骨瘤。
目前该病治疗方法不一,对于单发病变,主张手术,行病灶清除植骨或磷酸钙骨水泥填充[10]。对于多发病变,有学者建议无症状者随访[11],对引起临床症状的局部病灶手术。发生病理骨折者,予以骨折复位固定,可同时行病灶清除植骨,对肢体畸形者,予以畸形矫形术。该病术后并发症主要为感染、复发、关节僵硬、畸形、恶变等[12,13,14]。该病恶变率约为15%[15],行CT、磁共振成像(MRI)及骨扫描检查提示恶变的准确度为73%~94%,国外学者曾报道微小RNA在恶变过程中发挥重要作用[16]。发生恶变者应彻底切除或截肢,术后化疗。但无论采取何种方法治疗,均应对此病患者进行终身随访。





















