
版权归中华医学会所有。
未经授权,不得转载、摘编本刊文章,不得使用本刊的版式设计。
除非特别声明,本刊刊出的所有文章不代表中华医学会和本刊编委会的观点。
气肿性肾盂肾炎(emphysematous pyelonephritis,EPN)是一种由尿路产气病原菌引起,累及肾实质及肾周围组织的急性坏死性感染,多发生于糖尿病合并泌尿系梗阻的患者,最常见病原菌是大肠杆菌,病死率为40%。本文报道国内首例由光滑念珠菌在肾盂、输尿管及膀胱内形成真菌球,引起急性尿路梗阻致EPN且合并多器官功能障碍综合征(MODS),经非手术治疗成功治愈。现报告如下。
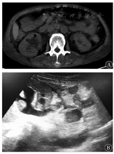
患者女,67岁,因"发热伴腰痛、少尿3 d"于2018年6月28日入院。患者入院前3 d发热,体温38.5℃,伴腰痛、少尿,于当地医院就诊。心电监测:P 130次/min,BP 108/74 mmHg。血常规:WBC 14.47×109/L。尿白细胞6897个/HP,细菌6589个/μl。Scr 180 μmol/L,BUN 13.7 mmol/L,Glu 21.8 mmol/L。腹CT:双肾增大,肾盂扩张,右肾气体密度影。初步诊断:泌尿系感染,急性肾损伤,2型糖尿病。予头孢哌酮舒巴坦、亚胺培南西司他丁抗感染及补液、降糖治疗。患者出现休克,少尿。6月27日血WBC 30.93×109/L;Scr 185 μmol/L,BUN 17 mmol/L。尿量300 ml/24 h。遂转诊至本院重症监护病房,入院诊断:EPN合并MODS。既往有2型糖尿病,糖尿病视网膜病变病史10年,未予监测及控制血糖。有反复泌尿系感染病史,自行口服抗生素治疗。去甲肾上腺素泵入。查体:T 39℃,P 110次/min,BP 100/60 mmHg,R 20次/min。嗜睡,贫血貌。心肺腹查体未见异常。血常规:WBC 34.4×109/L,Hb 86 g/L,Plt 54×109/L。血乳酸(Lac)4.9 mmol/L,Scr 166 μmol/L,BUN 18.68 mmol/L,Glu 15.5 mmol/L,Na+ 129.8 mmol/L。腹部CT示:双肾增大,双肾及输尿管扩张、积水,右侧肾盂及肾皮质见气体密度影。见图1A。泌尿系超声检查示:左肾集合系统分离1.0 cm,右肾集合系统分离1.7 cm,双肾盂内见絮状中等回声,范围分别为2.8 cm×1.4 cm及2.9 cm×1.5 cm,输尿管上段扩张1.1 cm,输尿管内见絮状中等回声,范围2.5 cm×1.0 cm,中等回声内均未见血流信号。见图1B。临床诊断:(1)气肿性肾盂肾炎;(2)感染性休克;(3)急性肾损伤;(4)代谢性酸中毒,电解质紊乱,低钠血症;(5)2型糖尿病;(6)贫血(中度)。治疗及随访:予美罗培南、利奈唑胺抗感染,输血、补液、升压,降糖等治疗。6月29日超声引导下右肾盂穿刺置管引流术,引出大量白色絮状物及少量白色团块。引流液离心后得灰白色沉渣两枚,病理检查结果提示为光滑念珠菌孢子及菌丝。2次尿液、引流液及血培养均为光滑念珠菌,药物敏感试验结果提示伏立康唑、两性霉素B敏感。2次G试验大于70 ng/L。立即予静脉点滴伏立康唑,两性霉素B局部灌洗。7月6日患者签字出院,院外序贯予伏立康唑口服。随访1个月,患者病愈。


注:A:CT;B:B超
气肿性肾盂肾炎最常见病原菌是革兰阴性杆菌,国外仅有数例念珠菌致EPN的报道。随着广谱抗菌药及免疫抑制剂应用,光滑念珠菌已成为第3位常见念珠菌病致病菌[1]。光滑念珠菌可在微需氧环境下形成假菌丝,菌丝在体腔内不断聚集,形成分支状或球状,称之为真菌球[2]。糖尿病患者肾组织葡萄糖浓度增加,为产气菌无氧酵解葡萄糖产酸产气提供微环境,肾实质坏死和气体积聚,病灶可融合成脓气腔,沿肾周筋膜蔓延致肾内外积液积脓。肾念珠菌病可见弥散型真菌浸润,肾乳头坏死,菌丝和坏死碎屑填充并阻塞管腔,形成的真菌球可引起肾盂肾炎及梗阻性肾病[3]。
EPN的CT检查表现特征呈"菠萝征",肾内见"气液平",气体穿透肾脂肪膜可进入腹腔。根据CT表现可将EPN分为4级:1级:气体局限在集合管系统内;2级:气体局限在肾实质内;3A级:气体或脓肿播散到肾周围组织;3B级:气体扩散到肾筋膜下;4级:两侧肾气肿性肾盂肾炎或孤立肾的气肿性肾盂肾炎。对于1级、2级EPN内科治疗或联合经皮肾穿刺引流术即可好转;对于3级且有<2个危险因素者,可尝试切开引流解除梗阻,引流无效者应行肾切除术;而对于3级且有≥2个危险因素者,立即行肾切除术是最佳选择。4级患者情况特殊,尽量保留肾脏的指导原则下,应先尝试引流,并随时做好肾切除的准备[4]。
本例患者为老年女性,虽无免疫功能抑制的证据,但糖尿病病史,血糖控制欠佳,易发EPN。有反复泌尿系感染病史,自行口服抗生素治疗,首诊医院予经验性应用广谱抗生素治疗无效,应考虑真菌型EPN。遗憾的是首诊基层医院未对本例患者的尿液及血液标本进行分离培养、鉴定和药物敏感性试验检查,进而未能及时的行抗真菌药物的分层治疗,延误了真菌型EPN的诊治。此外,本例腹CT检查示肾盂及肾皮质内见气体密度影,为EPN 2级,首诊医院未予经皮肾穿刺引流术,病情加重出现MODS。这都是临床工作中应该总结的经验和教训。





















