
探究EB病毒感染致出血性脑炎患儿的临床特征、致病机制,为儿科临床工作者提供诊断和治疗经验。
分析我院收治的1例EB病毒感染致出血性脑炎患儿的临床资料,同时复习相关文献。
1例既往健康的1岁男孩根据其临床表现、脑脊液检查,血液病原DNA检测和头部影像学检查诊断为EB病毒感染出血性脑炎,经治疗后虽明显好转,但继发癫痫及遗留神经系统后遗症。
EB病毒感染相关出血性脑炎比较罕见,并且具有致死性。因其临床表现多样,临床医生应依据血清学、临床表现、头MRI、脑电图及脑脊液等综合诊断,血清EB病毒DNA定量检测可监测疾病的进展、治疗疗效及预后。
版权归中华医学会所有。
未经授权,不得转载、摘编本刊文章,不得使用本刊的版式设计。
除非特别声明,本刊刊出的所有文章不代表中华医学会和本刊编委会的观点。
EB病毒为双链DNA疱疹病毒,感染后约2.0%~9.7%的儿童可进展为脑炎[1,2],相对少见。主要感染儿童及免疫功能正常的宿主。EB病毒感染导致出血性脑炎较为罕见,且有致死性,本研究仅检索到4例国外报道[3,4,5,6],国内暂无相关详细病例报道。本文报道了1例既往健康的1岁男孩,因发热、惊厥、意识障碍及嗜睡入院,脑脊液细胞数增多,以淋巴细胞为主,其改变符合病毒性脑炎。经血液病原学和影像学检查,诊断EB病毒感染相关出血性脑炎。同时结合文献分析,以增加临床医生对EB病毒感染相关出血性脑炎的认识,积累诊断和治疗经验。
既往健康的1岁1个月男孩,因发热、惊厥、意识障碍及嗜睡入住我院PICU。患儿5 d前行走不稳,3 d前出现发热,热峰38.5 ℃,发热较频繁,发热间隔4~6 h,伴呕吐,喷射性,为胃内容物,入院前1 d,患儿出现抽搐,表现为大发作,物理刺激2~3 min后抽搐缓解,抽搐时体温38.5 ℃,对症治疗后未见好转,抽搐更为频繁(5次/d)。
查体:体温37 ℃,心率128次/min,呼吸30次/min,血压91/48 mmHg(1 mmHg=0.133 kPa),抽搐中,神志不清,双瞳孔等大正圆,瞳孔直径2.5 mm,对光反射迟钝,淋巴结未触及肿大,扁桃体Ⅰ°肿大,呼吸平稳,三凹征(-),肝肋下3 cm,质Ⅰ°,肢端暖,颈强阳性,四肢肌张力升高,克氏征及布氏征阴性,双巴氏征阳性。Glasgow评分6分(语言1分,运动4分,睁眼1分)。
实验室检查:血气离子分析:Na+ 126 mmol/L,予患儿6 ml/kg高张钠补钠后复查钠离子升至134 mmol/L。血常规:WBC 10.9×109/L,N 71.9%,L 20.3%,Hb 120 g/L,PLT 225×109/L。CRP正常,降钙素原0.265 μg/ml,白细胞介素69.34 pg/ml,轻度升高,谷丙转氨酶及天冬氨酸转移酶、心肌标记物、DIC筛查、血氨正常,血细菌培养阴性,体液及细胞免疫功能基本正常。血清EB病毒IgM抗体阳性,EB病毒EA-IgG抗体阴性、EB病毒NA-IgG抗体阴性、EB病毒VCA-IgG抗体阴性。其余病毒(单纯疱疹病毒、巨细胞病毒、流感病毒等)IgM抗体均为阴性,肺炎支原体抗体IgM、IgG阴性,血清EB病毒DNA定量检测阳性1.78×103 copies/ml。脑脊液为无色透明,细胞总数23×106/L,白细胞23×106/L,分叶核细胞30%,单个核细胞69%;氯化物115 mmol/L,蛋白0.24 g/L,糖4.3 mmol/L。脑脊液中EB病毒、单纯疱疹病毒、巨细胞病毒、流感病毒IgM抗体阴性,结核分支杆菌及支原体DNA阴性。
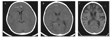
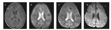
辅助检查:(1)脑电图:入院当日视频脑电图:背景节律减慢(双半球弥漫性2~3 Hz中波幅δ活动为主,夹杂4~6 Hz中波幅θ活动),弥漫性慢波,双额、左颞区尖波、尖慢波、多形性慢波周期性发放,左额为著,清醒期左顶尖波散发,监测到数次临床及临床下电发作。出院时动态脑电图:异常幼儿脑电图(背景活动为弥漫性δ波,睡眠期右侧中央、顶区、左侧顶区棘慢波、尖慢波非同步发放)。(2)头部影像学:入院当天头CT提示颅内出血(图1)。第2天头部MRI符合出血性脑炎表现(图2)。第17天头MRI示双侧额叶、左颞、顶叶弥漫病变,脑炎恢复期改变,左脑额叶脑出血范围较前缩小。弥散成像未见确切异常(图3)。(3)其他:双耳客观听阈检查正常,脑干听觉诱发电位正常,肝胆脾超声正常,双眼闪光视觉诱发电位正常。


A:入院当天头部CT示左侧额叶多发斑片状高密度影,周围见片状稍低密度影,左侧额叶多发出血灶;B、C:第27天头部CT示双侧额叶、顶叶、左侧颞叶见大面积低密度影,内散在点片状稍高密度影;左侧丘脑、双侧基底节区散在点片状低密度影;双侧侧脑室、第三脑室扩张。双侧基底节区腔梗。


A、B:双侧额叶及左侧颞、顶叶见多发斑片状长T1长T2信号,左侧额叶见小斑片状高T1低T2信号影。C、D:DWI图示脑内病变为弥散受限高信号影,表观弥散系数图见低信号征象。


A、B:双侧额叶及左侧颞、顶叶脑沟内多发斑片状短T1长T2信号,原左侧额叶小斑片样高T1低T2信号影范围较前缩小。C、D:DWI图示原弥散受限高信号未见显示,相应位置呈低信号,相应表观弥散系数图未见异常低信号征象。
诊疗经过:患儿入院后间断有局灶性抽搐发作,伴血氧下降,口周发绀(紫绀),咪达唑仑静脉注射起始剂量2 μg/(kg·min)逐渐升高至4 μg/(kg·min)持续镇静止抽,5 d后停用静脉镇静药物,给予左乙拉西坦和托吡酯口服后无明显临床抽搐发作。初步考虑患儿为颅内感染,入院后即予患儿甘露醇联合速尿降颅压,先予单磷酸阿糖胞苷3 d后改为更昔洛韦10 d抗病毒,丙种球蛋白(2 g/kg)治疗。患儿入院后持续发热,化学和普通物理降温效果欠佳,呈弛张热表现,予全身冰毯亚低温可维持体温正常。入院第9天,即更昔洛韦治疗第4天,患儿发热间隔延长至24~48 h,日1次,热峰38 ℃左右,停用冰毯特殊降温,于病后2周左右体温平稳。复查EB病毒DNA定量为阴性,4.22×102 copies/ml,监测血常规、CRP及PCT等未见升高,天冬氨酸转移酶波动在38~194 U/L。住院第11天复查脑脊液细胞总数减少至正常,EB病毒IgM抗体仍为阴性(表1)。尽管此患儿脑脊液未找到EB病毒,但根据患儿血清学、临床表现、影像学及治疗转归诊断为EB病毒感染所致出血性脑炎。入院第14天,患儿巴氏征阴性,颈强(+)。入院第17天,颈强消失,患儿四肢肌力低,Ⅰ级,膝腱反射及跟腱反射略亢进,但患儿基本无自主肢体活动,不会抬头、翻身及坐,偶有眼球向一侧凝视,无发热及抽搐,Glasgow评分10分(语言1分,运动5分,睁眼4分)。继续口服左乙拉西坦和托吡酯,并进行康复训练。

患儿入院当天和入院第11天两次脑脊液检查结果比较
患儿入院当天和入院第11天两次脑脊液检查结果比较
| 时间 | 外观 | 细胞总数(×106/L) | 中性粒细胞百分比(%) | 单个核细胞百分比(%) | 细菌、结核及隐球菌 | 糖(mmol/L) | 氯化物(mmol/L) | 蛋白(g/L) | EB病毒、支原体及单纯疱疹病毒 |
|---|---|---|---|---|---|---|---|---|---|
| 入院当天 | 无色透明 | 23.0 | 30.4 | 69.6 | 阴性 | 4.38 | 115.5 | 0.24 | 阴性 |
| 入院11 d | 无色透明 | 10.0 | 10.0 | 90.0 | - | 3.35 | 114.9 | 0.37 | 阴性 |
3个月随访,患儿行康复治疗中,无发作性抽搐,脑电图仍有癫痫波,左乙拉西坦加量30%;意识不清,肢体运动差,运动及语言发育明显倒退,仍随访中。
EB病毒易感染大多数的儿童及青少年,大约有90%的成人为隐性EB病毒感染[7],但其也是自限性的良性疾病。约5%的患者在急性期的感染可以表现出脑炎、脑膜炎、急性脱髓鞘脑脊髓炎[8]、小脑炎、横贯性脊髓炎、吉兰-巴雷综合征等各种神经系统并发症[9,10]。既往关于此类的研究相对较少,EB病毒感染相关的出血性脑炎既往报道4例。Francisci等[3]报道了首例致死病例,在脑脊液及脑组织尸检中发现EB病毒PCR均为阳性。第2例由Takeuchi等[4]在脑脊液及颅内减压术活检中发现EB病毒为阳性,此患者存活。第3例为Sabat等[5]在长期服用激素的免疫缺陷的炎症性肠病患者的脑脊液中发现病毒阳性,此患者在没有侵袭性治疗措施下预后较好。第4例由Ascencão等[6]报道58岁的健康成人在脑脊液中发现EB病毒阳性,在没有手术及侵袭性治疗方式下存活,尽管缺少了脑组织活检为其证实。而此例患儿免疫功能正常,血清中发现病毒阳性,对症治疗后存活,但随访至目前预后较差。
EB病毒感染神经系统的表现可能是由于EB病毒对神经系统的直接侵袭,或是由于抗体介导的感染后免疫反应所致[11]。已有文献报道EB病毒感染的三种组织病理学机制:(1)水肿-出血;(2)血管周围单核细胞浸润和病毒在大脑皮质细胞的包裹;(3)血管周围淋巴细胞的炎性反应与脑白质的脱髓鞘病变(急性期的感染与自身免疫反应相关)[8]。而EB病毒脑炎导致的出血水肿性改变主要见于原发感染或见于儿童。EB病毒感染损害血管内皮细胞,血管壁完整性受到破坏,血管通透性升高,脑炎后期可形成脑萎缩。
EB病毒脑炎的临床表现各异,临床医生需与其他疾病导致的颅内感染鉴别。对于临床怀疑的脑炎,推荐的检查手段包括腰椎穿刺、血培养、血清学及神经系统的影像学检测等。在此病例中,患儿前后2次腰椎穿刺脑脊液细胞数10×106/L~23×106/L,以单核细胞为主,EB病毒、单纯疱疹病毒、隐球菌等培养均为阴性,糖、蛋白及氯化物正常;血清EB病毒IgM抗体阳性,EA-IgG、NA-IgG及VCA-IgG抗体阴性,血清EB病毒DNA定量检测阳性。支原体、虫媒病毒及呼吸道病毒等均为阴性。经更昔洛韦治疗后复查EB病毒DNA定量转为阴性。因此EB病毒脑炎诊断主要依据临床症状、影像学改变、血清学检测或在脑脊液中发现EB病毒DNA定量[12]。在一些PCR检测阴性的病例中,血清学检测可有助于病情的判断。对于寻找病因困难的临床病例,脑组织活检也可作为一种办法。研究显示大约有60%脑炎患者的脑脊液中可以找到病原学证据。Doja等[13]在一项10年的回顾性研究中发现,只有21例(6%)的脑炎患者可以确定为EB病毒感染,而在这21例EB病毒脑炎患者中,只有10例脑脊液中的EB病毒PCR阳性。其表现具有非特异性,如发热、头痛、惊厥、脑电图背景节律减慢及头MRI异常,本例患儿与Doja等的报道结果类似。因此尽管此患儿脑脊液未找到EB病毒,但根据患儿血清学检查结果、临床表现、影像学及治疗转归,可以明确诊断为EB病毒感染所致出血性脑炎。
大多数EB病毒原发感染为急性感染,在儿童期约50%的原发性感染可表现为传染性单核细胞增多症[14]。但EB病毒感染出现中枢神经系统症状时,也可以缺乏传染性单核细胞增多症典型症状。此患儿血清病原学:EB病毒IgM抗体阳性,EA-IgG抗体、NA-IgG抗体、VCA-IgG抗体阴性,提示为急性感染。由于EB病毒感染的血清学反应复杂多样,因此仅应用血清学检查可能造成漏诊,应结合EB病毒DNA载量进行判断。血清中的EB病毒DNA是感染的直接证据,其水平与疾病种类、活动与否及严重程度呈正相关[15],因此EB病毒DNA的拷贝数下降与预后相关。此患儿入院时血清EB病毒DNA定量检测阳性:1.78×103 copies/ml,尽管2周左右复查EB病毒DNA定量检测转为阴性(4.22×102 copies/ml),但患儿病毒载量仍较高,提示预后不佳,与临床表现一致。同时有研究表明,传染性单核细胞增多症患儿外周血EB病毒核酸载量在2周内达到高峰,随后很快下降,病程22 d后,几乎所有患儿血清中均检测不到EB病毒DNA拷贝数[16]。
EB病毒感染致病的发病机制均与免疫功能紊乱有关,动态监测EB病毒载量和细胞免疫功能能反映疾病状态和进展的风险[17]。原发EB病毒感染及EB病毒感染再活动均可发生EB病毒脑炎。急性EB病毒脑炎为病毒的直接侵袭,导致脑水肿、出血、血管周围白细胞浸润、小胶质细胞增殖。而慢性活动性EB病毒感染为免疫复合物的沉积、感染后炎性反应介导的神经系统损害,其中多为中枢神经系统脱髓鞘病变[18]。
脑炎在MRI检查时可以表现为正常或弥漫性水肿或炎症性改变。EB病毒脑炎有脑炎样的症状,同时MRI检查可有出血表现。由于EB病毒易侵犯深髓质核,在影像学上可见多发的半球皮质、脑干、丘脑及基底节T2加权及FLAIR的高信号影[19],慢性EB病毒感染及神经系统病变复发时很少存在广泛性大脑白质的损伤[1,20]。头MRI对于检测此类颅内病变敏感性最高。Hashemian等[21]报道1例10岁女孩EB病毒脑炎,表现为意识障碍、行为异常、惊厥及排尿中断,步态不稳及颈强,脑脊液病毒阴性,血清学EB-VCA阳性,脑电图示慢波,头MRI提示基底节FLAIR呈现高信号,脑内病变为弥散受限高信号影,由此除外血管病变及中风,给予对症治疗,6周后语言及运动功能逐渐恢复。此患儿先后2次头MRI检查显示额、颞、顶叶多发斑片状长T1长T2信号,左侧额叶见小斑片样高T1低T2信号影,DWI图示脑内病变为弥散受限高信号影。脑电图结果为周期性尖波和慢波改变,有助于对脑炎的诊断,但脑电图诊断的特异度相对较低[22]。
EB病毒脑炎的预后是多变的,有的患者在没有干预的情况下也可以完全恢复,但大部分患者可遗留神经系统后遗症:认知障碍、局灶性神经缺陷或是死亡。特别是存在基底节及丘脑病变的患儿易遗留癫痫或肢体活动障碍等后遗症。本例患儿头MRI进展迅速,在2周后有大面积梗死表现(图3),预后相对较差。
所有作者均声明不存在利益冲突





















