
分析原发性气管支气管肺淀粉样变性(PTBA)的临床特点。
对中南大学湘雅医院2002年1月—2018年6月经病理学检查确诊的11例PTBA患者的临床症状、实验室及影像学检查、支气管镜检查及治疗等资料进行回顾性分析,并根据支气管镜下病变程度和范围对该病进行分期。
患者主要临床症状为咳嗽和咳痰,其次为气促和咯血;胸部CT表现为肺部渗出(4/11)、结节肿块(5/11)、间质改变(2/11),或气管支气管壁增厚(5/11)、管腔狭窄(4/11);支气管镜可见黏膜肥厚(8/11)、结节状隆起(3/11)、管腔狭窄(6/11)。根据病变累及部位,1例仅累及肺部,10例累及气管和(或)支气管,伴(8/10)或不伴(2/10)肺部病变。根据镜下分期,Ⅰ期2例(2/10),病变局限;Ⅱ期2例(2/10),病变弥漫;Ⅲ期6例(6/10),弥漫性病变伴有管腔狭窄。
PTBA为呼吸系统罕见病,临床症状缺乏特异性,肺部影像学表现多样,支气管镜下可见气管黏膜肥厚、结节隆起,晚期患者可表现为气管狭窄。
版权归中华医学会所有。
未经授权,不得转载、摘编本刊文章,不得使用本刊的版式设计。
除非特别声明,本刊刊出的所有文章不代表中华医学会和本刊编委会的观点。
淀粉样变性是指细胞外淀粉样物质的异常沉着,影响组织细胞正常功能所导致的一组临床综合征[1,2]。当淀粉样物质局限性沉着于肺实质、肺间质以及气管支气管黏膜下,而不累及其他组织器官时,称原发性气管支气管肺淀粉样变性(PTBA)。PTBA是一种罕见疾病[3],病因尚不明确,临床表现缺乏特异性,易误诊漏诊。本研究对11例PTBA患者的临床资料进行回顾性分析,探讨其临床表现、影像学特点、支气管镜下特点及其诊治方法。
中南大学湘雅医院2002年1月—2018年6月收治的11例PTBA患者。
入选标准:(1)组织病理学证实为淀粉样变性(苏木精-伊红染色光镜下可见均质、粉染,无结构的淀粉样物质沉积);(2)病变仅限于气管、支气管和(或)肺实质而不累及肺外组织。
收集患者的临床资料,包括性别、年龄、临床表现、实验室检查、影像学检查、肺功能、支气管镜以及病理学检查结果和治疗方案并进行总结分析。
参考Zhu等[4]制定的支气管镜下气管骨化症病变分期标准,即根据支气管镜下病变累及范围以及管腔狭窄程度,将气管支气管淀粉样变性分为3期:Ⅰ期(早期,轻度)、Ⅱ期(中期,中度)、Ⅲ期(晚期,重度)三个阶段,Ⅰ期支气管镜下表现为局部或散在的结节或黏膜病变,无管腔狭窄;Ⅱ期镜下表现为弥漫性黏膜病变而无管腔狭窄;Ⅲ期镜下表现为气管壁多灶光滑无蒂隆起或黏膜普遍肥厚变形伴有管腔狭窄。
11例患者中,男9例,女2例。年龄(54±13)岁,发病年龄22~69岁。5例有吸烟史。患者的临床资料详见表1。

11例原发性气管支气管肺淀粉样变性患者的临床资料
11例原发性气管支气管肺淀粉样变性患者的临床资料
| 病例 | 性别 | 年龄 | 临床表现 | 实验室检查 | 肺部CT | 支气管镜下表现 | 肺功能 | 病理活检 | 治疗 | 预后 | 分期 |
|---|---|---|---|---|---|---|---|---|---|---|---|
| 1 | 男 | 22 | 发热、咳嗽、乏力、头晕、体重下降 | CA125∶ 47 U/ml | 气管下段隆突口处软组织肿块影,纵隔内多发肿大淋巴结 | 隆突局部黏膜隆起,管腔无狭窄 | 正常 | 支气管镜活检:气管淀粉样物质沉积症,刚果红(+) | 对症支持 | 好转 | Ⅰ |
| 2 | 男 | 50 | 咯血、气促、背痛、胸痛 | 无特殊 | 双肺多发团块状病灶,其内见斑片状钙化灶,部分病灶内见支气管走行,支气管狭窄,未见截断 | 气管黏膜广泛肥厚隆起,支气管狭窄 | 未查 | 肺穿刺活检:致密云絮状无结构嗜酸物质沉积,考虑结节性肺淀粉样沉积症。刚果红(+),抗酸(-) | 对症支持 | 稳定 | Ⅲ |
| 3 | 男 | 48 | 咳嗽、胸痛、血痰、乏力、体重下降 | WBC: 11.8× 109/L; ESR: 50 mm/ 1h | 左侧纵隔旁肿块,伴主动脉弓、纵隔多发淋巴结肿大,双肺片状渗出性病变;双肺胸膜增厚;支气管扩张 | 气管黏膜肥厚,瘢痕形成,可见结节伴少量坏死组织 | 未查 | 支气管镜活检:黏膜慢性炎,鳞状上皮增生,间质淀粉样改变,刚果红(+) | 对症支持 | 好转 | Ⅱ |
| 4 | 男 | 45 | 无特殊 | 无特殊 | 双肺多发结节,部分结节内见钙化 | 无明显异常 | 正常 | 肺穿刺活检:多灶性淀粉样变性伴边缘浆细胞非典型增生。手术肺组织病理:多灶性淀粉样变,刚果红(+) | 手术切除 | 稳定 | 未累及气管支气管 |
| 5 | 男 | 53 | 咳嗽、咳痰、血痰、气促 | WBC: 10.3× 109/L | 支气管广泛性管壁增厚、局部钙化,右中肺不张;支气管扩张 | 气管黏膜广泛肿胀肥厚充血,凹凸不平,管腔狭窄,右中叶支气管完全闭塞 | 中重度阻塞性通气功能障碍 | 支气管镜活检:黏膜慢性炎并淀粉样物质沉积,抗酸(-),PAS(-),刚果红(+) | 马法兰联合甲泼尼龙;支气管镜Nd-YAG激光治疗2次 | 好转 | Ⅲ |
| 6 | 女 | 53 | 咳嗽、咳痰、皮疹 | WBC: 12.5× 109/L; CA19-9∶ 197.7 U/ ml | 双肺间质性病变,可见磨玻璃影、网格影、蜂窝影及斑片状密度增高影 | 气管中段局部黏膜结节状隆起 | 未查 | 支气管镜活检:支气管黏膜息肉样增生,黏膜内见淀粉样物质沉积,刚果红(+) | 甲泼尼龙联合吡非尼酮 | 稳定 | Ⅰ |
| 7 | 男 | 63 | 咳嗽、咳痰、气促 | 无特殊 | 气管及支气管壁增厚,支气管管腔局部狭窄 | 气管黏膜广泛肥厚充血,支气管管腔狭窄 | 中度阻塞性通气功能障碍 | 支气管镜活检:黏膜慢性炎,间质淀粉样变;刚果 | 对症支持 | 好转 | Ⅲ |
| 8 | 女 | 65 | 气促、咳嗽、咳痰、咯血 | 无特殊 | 双肺广泛气管壁增厚,部分管壁钙化,双肺斑片状渗出性病灶 | 气管广泛黏膜肥厚、凹凸不平,管腔狭窄,局部见瘢痕组织 | 重度阻塞性通气功能障碍 | 支气管镜活检:黏膜慢性炎伴淀粉样物质沉积,刚果红(+) | 对症支持 | 失访 | Ⅲ |
| 9 | 男 | 67 | 咳嗽、咳痰、气促、声嘶 | CA125: 51 U/ ml, ESR: 52 mm/ 1 h | 气管及各段支气管壁增厚钙化,右肺中叶支气管闭塞,肺部多发结节影,双下肺支气管扩张并感染 | 支气管黏膜广泛肥厚肿胀、凹凸不平,声门、气管、隆突见结节样隆起,管腔狭窄 | 重度阻塞性通气功能障碍,轻度限制性通气功能障碍 | 支气管镜活检:淀粉样物质沉积,刚果红(+) | 对症支持 | 好转 | Ⅲ |
| 10 | 男 | 69 | 咳嗽、咳痰、胸痛、盗汗 | 无特殊 | 左肺团块状病灶,纵隔淋巴结肿大,双侧胸膜增厚,双下肺少许渗出灶 | 支气管壁黏膜肥厚充血 | 中度阻塞性通气障碍 | 手术肺组织:黏膜慢性炎症并淀粉样物质沉积,刚果红(+) | 手术切除 | 失访 | Ⅱ |
| 11 | 男 | 55 | 咳嗽、咳痰、气促 | ESR: 120 mm/ 1 h | 支气管壁增厚,管腔向心性狭窄,右中叶支气管远端闭塞,右中叶部分不张,双肺门及纵隔淋巴结增大,继发肺间质纤维化;胸膜下肺大泡,肺气肿 | 气管广泛黏膜肥厚,右中叶支气管远端狭窄、闭塞,右中叶不张 | 中度阻塞性功能障碍、中度弥散功能障碍 | 支气管镜+肺穿刺活检:见红染、均质样物质伴钙化,符合淀粉样物质沉积;PAS(-),刚果红(+) | 对症支持 | 稳定 | Ⅲ |
注:ESR:红细胞沉降率
最常见临床症状为咳嗽(9/11),其次为咳痰(8/11)、气促(5/11)、咯血(3/11),其他表现有发热(1/11)、乏力(2/11)、胸痛(3/11)、声音嘶哑(1/11)等。2例体查无异常肺部体征,5例肺部可闻及散在干、湿啰音,2例听诊双肺呼吸音低,2例见桶状胸,1例颈部淋巴结肿大。
11例肝肾功能检查均正常,3例血常规示白细胞稍高;3例红细胞沉降率增高。2例肿瘤标志物CA-125偏高,1例肿瘤标志物CA-199高,4例行风湿免疫全套及狼疮全套检查均未见异常。
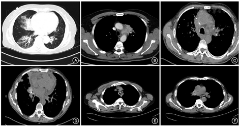
11例均行心脏彩超及肝脏、脾脏和肾脏彩超检查未见明显异常,1例行全身PET-CT扫描可见气管支气管壁代谢稍高,余全身未见异常代谢灶;肺部CT,6例可见气管支气管壁增厚、狭窄或钙化,5例表现为肺部团块状病变或者肺部结节样病变,4例示渗出性病灶或斑片样密度增高影,1例表现为气管下段软组织肿块影,4例纵隔淋巴结肿大,2例表现为弥漫性肺间质病变,可见磨玻璃密度影、网格影、蜂窝影、斑片影以及纤维化病灶(CT主要表现见图1)。


注:A.病例8,女性,65岁,见支气管壁增厚,右中、下肺见索条状及斑片状密度增高影;B.病例3,男性,48岁,见左侧纵隔旁团块状病变;C.病例9,男性,67岁,见气管黏膜下线形钙化,双肺多发结节,部分钙化;D.图C同一患者右中叶近端闭塞,周围见软组织密度灶,其内可见多发钙化灶;E.病例7,男性,63岁,见气管壁不均匀增厚、环形狭窄并黏膜下钙化;F.图E同一患者两侧主支气管局部钙化并管腔狭窄
所收集11例患者中,1例患者支气管镜检查未见明显异常表现,10例累及气管和(或)支气管,2例伴肺部病变,8例不伴肺部病变。其中,2例(2/10)支气管镜下表现为气管支气管黏膜局部或散在病变(图2A),2例(2/10)支气管镜下可见气管弥漫性充血肿胀,多发结节样隆起,管腔无狭窄(图2B)。6例(6/10)支气管镜下可见不同程度的黏膜隆起、肥厚、结节以及管腔狭窄(图2C)。早、中、晚期各为2、2、6例。


注:A.气管散在结节样隆起(箭头所示);B.气管弥漫性充血肿胀,多发结节样隆起,管腔无狭窄;C.气管黏膜显著肿胀肥厚,结节样隆起致管腔显著狭窄
11例患者中有8例患者行肺功能检查,其中Ⅰ期1例,其肺功能正常;Ⅱ期1例,其肺功能示中度阻塞性通气功能障碍;Ⅲ期6例,其肺功能为不同程度的中、重度阻塞性通气功能障碍。
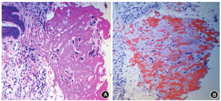
11例患者中9例经支气管镜取得组织送病理检查确诊,3例经CT引导下经皮肺穿刺活检送病理确诊,2例经外科手术病理确诊;2例同时行支气管镜活检和CT引导下经皮肺穿刺活检送病理确诊。所有病例病理表现为:淀粉样物质沉积,刚果红染色(+)(图3)。


注:A.可见片状嗜伊红均质淀粉样物质沉积(HE ×200);B.可见无定形橘红色淀粉样物质(刚果红×200)
11例患者中,7例行对症支持治疗,包括抗感染、抗病毒、止咳化痰治疗等,2例行外科手术局部肺叶切除治疗,1例接受了2次支气管镜下Nd-YAG激光治疗,1例激素联合马法兰治疗。9例接受了随访,其中5例治疗后好转,4例情况稳定无加重。
淀粉样变性是由于淀粉样物质沉积于细胞外引起的一种代谢性疾病,最常累及的部位是肾脏、心脏和胃肠道等,较少累及呼吸系统[5]。根据病因分为原发性和继发性淀粉样变,原发性淀粉样变指无前期疾病或同时伴发的疾病(除外多发性骨髓瘤或Waldenstrom巨球蛋白血症),继发性淀粉样变伴发于慢性疾病,如肿瘤、结缔组织疾病等。PTBA属于原发性淀粉样变性的一种,病变仅局限于气管支气管或肺。PTBA极为少见,国内外该病相关文献报道仅数百例且多为个案报道。研究显示,PTBA男女比例约1.6∶1[6],本组11例病例中男女比例为9∶2,提示本病患病人群存在性别差异。
PTBA临床表现无特异性,本组病例的主要症状为咳嗽和咳痰,其次为气促以及咯血。PTBA在临床上易误诊漏诊,肺部影像学检查和支气管镜检查对其诊断至关重要,支气管镜可观察到单发或多灶性隆起的宽基底光滑结节、支气管内广泛性肥厚狭窄。PTBA的胸部CT主要表现为气管支气管壁局限性或广泛增厚、管腔狭窄,也可表现为肺部肿块、纵隔淋巴结肿大、间质性肺炎或肺纤维化,可伴局部病灶钙化、肺不张等[7]。本研究中胸部CT最常见表现为呼吸道管壁的广泛增厚和(或)管腔狭窄及钙化,另有其他表现为肺部结节或者团块影、肺间质病变、纵隔内多发增大淋巴结等,提示该病的肺部影像学表现多样,易误诊为肺癌、肺部感染等。
根据病变累及的部位,PTBA可分为气管支气管淀粉样变性(TBA)、肺结节性淀粉样变性、浸润性肺间质性淀粉样变和淋巴结淀粉样变4种亚型,其中TBA是最常见的亚型[8],本组病例中TBA占90%。既往没有PTBA严重程度分期分级的报道,本研究参考Zhu等[4]的分期标准将PTBA分为3期,其中Ⅲ期患者即已发生气管管腔狭窄的例数最多,与Ⅰ、Ⅱ期患者相比Ⅲ期患者的肺功能出现明显下降,气促症状也更为严重。本研究首次引用该分期方法对PTBA患者进行分期,对该病的临床诊治及预后有一定指导意义。
组织病理学检查为确诊该病的金标准[9],获取病理组织的主要方法有经纤维支气管镜活检、经皮肺穿刺活检、外科手术切除后的标本等。病理HE染色呈嗜伊红性、PAS染色呈浅红色、刚果红染色呈玫瑰红色,在偏光显微镜下则呈典型的黄色双折光。在伍安等[10]报道的1例原发性气管支气管肺淀粉样变个案中,患者先后2次行常规刚果红染色均阴性,最后1次行高锰酸钾化刚果红染色呈阳性后得以确诊。这提示若临床高度怀疑本病但刚果红染色阴性时,需加作高锰酸钾化刚果红染色或进行γ轻链、κ轻链等特殊染色防止漏诊或误诊。
PTBA尚无确切有效的治疗方案。主要治疗方法包括:(1)经支气管镜介入治疗:激光、冷冻或支架植入治疗等,研究报道,镜下治疗的主要并发症为大咯血[11];(2)外科手术治疗;(3)药物治疗:包括左旋苯丙氨酸氮芥联合波尼松方案、激素联合马法兰方案、免疫抑制剂等治疗,效果尚不确切;(4)放射治疗等。
综上所述,PTBA极为罕见,发病机制不明确,临床表现缺乏特异性,容易误诊及漏诊。肺部CT及支气管镜检查是诊断该病的重要手段,其中,支气管镜检查对于该病的诊断及分期具有重要的意义及治疗价值。
所有作者均声明不存在利益冲突





















