
肺炎支原体(MP)是呼吸道感染的常见病原体,青壮年人群MP的感染率更高,部分患者可出现多系统、多器官损害,甚至仅以肺外表现为主要临床特征,初期易误诊。
版权归中华医学会所有。
未经授权,不得转载、摘编本刊文章,不得使用本刊的版式设计。
除非特别声明,本刊刊出的所有文章不代表中华医学会和本刊编委会的观点。
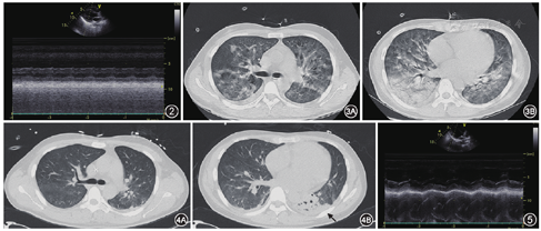
患者男,25岁,因"发热7 d,气促伴皮疹3 d"于2018年10月18日入院。入院前7 d无明显诱因出现发热,体温最高40.0 ℃,伴干咳,外院予头孢氨苄抗感染、退热处理后好转。入院前3 d再次发热,体温38.5 ℃,气促,活动后明显,伴全身乏力、肌肉酸痛、咳嗽、咳少许白黏痰,气促渐加重并出现端坐呼吸,结膜充血畏光,躯干及大腿遍布皮疹,遂急诊入我院。体检:体温37.6 ℃,心率108次/min,呼吸25次/min,血压94/58 mmHg[1 mmHg=0.133 kPa,去甲肾上腺素0.5 μg·kg-1·min-1],血氧饱和度(SpO2)80%(FiO2 41%)。急性面容,口唇黏膜局部破溃,结膜充血水肿,四肢湿冷,躯干及双侧大腿皮肤遍布斑丘疹,稍高于皮面,压之未见褪色,局部融合成片(图1)。颈静脉充盈,双肺大量湿性啰音。心音低钝,心率108次/min,律齐,各瓣膜听诊区未闻及杂音,腹软,无压痛、反跳痛,双下肢无水肿。辅助检查:血常规:白细胞26.1×109/L,中性粒细胞比值96.8%,血小板96×109/L。血生化:总胆红素21 μmol/L,谷丙转氨酶122 U/L,谷草转氨酶106 U/L,尿素氮7.4 mmol/L,肌酐128 μmol/L;肌钙蛋白I 26.37 μg/L;N端前脑钠肽28 100 ng/L;C反应蛋白(CRP)>200 mg/L;降钙素原2.31 μg/L;血沉(ESR)52 mm/1 h。血气分析(FiO2 41%):pH值7.238,动脉二氧化碳分压42.7 mmHg,动脉氧分压46.2 mmHg,乳酸3.8 mmol/L,碱剩余-8.5 mmol/L。心电图:窦性心动过速,T波低平(Ⅱ、Ⅲ、AVF、V4-V9)。心脏超声:房室大小正常,左室各壁收缩运动明显减弱,左室射血分数(LVEF)20%(图2)。胸部CT:双肺多发渗出性病变,近肺门处明显(图3)。初步诊断:(1)重症心肌炎、心源性休克;(2)肺部感染、Ⅰ型呼吸衰竭。为进一步治疗收住ICU病房。




入ICU后即予气管插管接呼吸机辅助呼吸,SpO2升至93%左右,予莫西沙星抗感染,利巴韦林+奥司他韦抗病毒,甲泼尼龙80 mg每日2次抗炎,丙种球蛋白20 g每日1次冲击,连续性床旁血液净化(CRRT),左西孟旦强心,红霉素眼膏保护结膜,辅以改善心肌代谢及营养支持等治疗。相关检查:自身免疫全套正常;痰培养、血培养未见细菌真菌生长;肺泡灌洗液检查未培养出细菌、真菌;血曲霉菌抗原及D-葡聚糖均阴性;麻疹病原学检查阴性;相关病毒(柯萨奇病毒、埃可病毒、腺病毒、EB病毒、巨细胞病毒、流感病毒、呼吸道合胞病毒、风疹病毒、单纯疱疹病毒)IgM均阴性;肺炎支原体(MP)IgM阳性(1∶320)。请皮肤科协助会诊考虑斯-琼综合征,继续目前治疗措施。治疗5 d后患者结膜充血水肿明显缓解,躯干及大腿皮疹颜色变淡,融合,循环稳定,停用去甲肾上腺素及丙种球蛋白,甲泼尼龙减量为40 mg每日1次。治疗第7天复查胸部CT:右肺病灶基本吸收,左肺下叶少许渗出性病变(图4);心脏超声:各房室腔大小及功能未见明显异常,LVEF 56%(图5);病情明显好转,予停甲泼尼龙,拔除气管插管。治疗第10天停用莫西沙星,治疗第14天各项生命体征平稳,结膜遗留少许充血,口唇黏膜恢复正常,躯干及大腿皮疹完全消退,康复出院。出院诊断:(1)重症心肌炎、心源性休克;(2)支原体肺炎(MPP)、Ⅰ型呼吸衰竭;(3)斯-琼综合征。
MP感染除了引起呼吸道疾病外,还可导致多种肺外并发症,其机制目前认为除了MP感染的直接损伤外,还与自身免疫损伤有关[1]。有研究发现,肺部实变、ESR增高、CRP增高、发病7 d后才使用敏感抗生素分别为MPP出现肺外并发症的独立危险因素[2],该患者上述4个独立危险因素并存,其MP感染致MPP的同时并发重症心肌炎及斯-琼综合征,病情极危重。
MPP呼吸道症状多较突出,临床上只有极少数可并发重症心肌炎,易漏诊、误诊。该患者为25岁青年男性,有前驱上呼吸道感染史,经头孢类抗生素治疗后效果不明显,随后出现心肌损害,很快进展至心源性休克、呼吸衰竭,结合心脏超声检查,重症心肌炎诊断明确,我们及时给予了机械通气改善氧合、CRRT脱水减轻肺水肿、激素抑制心肌炎症、丙种球蛋白冲击等处理,为后续的治疗争取了时间。对MP敏感的抗生素为大环内酯类、氟喹诺酮类或四环素类,入ICU后我们经验性地使用了莫西沙星抗感染,虽然后续筛查常见嗜心肌病毒IgM均为阴性,但仍不能完全除外病毒感染所致心肌炎,治疗中我们也继续使用了抗病毒药物,病情得到显著改善。
斯-琼综合征是以皮肤、黏膜非化脓性炎症为特征的严重渗出性多形性红斑,目前认为与抗原抗体的变态反应有关,其诊断主要依靠临床表现,包括特征性的皮疹,如靶样环形红斑、斑丘疹、结节、水疱、紫癜及两处或两处以上的黏膜病变,皮肤病变表现广泛,躯干部更为多见,黏膜病变以结膜炎及口唇炎更常见且严重,确诊仍有赖于组织活检[3,4]。该患者的皮疹在发热4 d后出现,主要分布在躯干及大腿皮肤,以斑丘疹为主,黏膜损害主要累及结膜及口唇局部黏膜,无脓性分泌物,临床表现符合斯-琼综合征。治疗主要是针对MP使用敏感抗生素,重症患者加用激素及丙种球蛋白治疗,同时加强皮肤黏膜的保护,避免感染,该患者经过治疗后皮疹很快消退,口唇黏膜修复,结膜充血水肿明显改善,最后康复出院。
成人MPP同时并发重症心肌炎及斯-琼综合征临床上罕见,且不易被识别,故对于不明原因发热并发严重心肌、皮肤黏膜损害的患者,需考虑到MP感染的可能,以期尽早给予针对性检查及治疗。
所有作者均声明不存在利益冲突





















